髂静脉再通和支架植入术后髂动脉闭塞2例。

IF 0.7
Vascular and endovascular surgery Pub Date : 2025-07-01 Epub Date: 2025-03-21 DOI:10.1177/15385744251327018
Thomas Pennix, Zayed Metwalli, Peiman Habibollahi
{"title":"髂静脉再通和支架植入术后髂动脉闭塞2例。","authors":"Thomas Pennix, Zayed Metwalli, Peiman Habibollahi","doi":"10.1177/15385744251327018","DOIUrl":null,"url":null,"abstract":"<p><p>Ileocaval venous thrombosis and outflow obstruction is a condition with many possible causes that typically presents with symptoms related to venous congestion or insufficiency. Recent device development and availability of endovascular stenting and venoplasty for lifestyle-limiting symptoms refractory to conservative management has led to increased interest in these procedures. While several common complications of venous stent placement have been well-described, 1 uncommon and emergent complication is nearby arterial compression or occlusion. Here we present 2 cases of iliac artery occlusion occurring after iliac venous recanalization and stenting, and discuss possible factors that may contribute to this uncommon complication.</p>","PeriodicalId":94265,"journal":{"name":"Vascular and endovascular surgery","volume":" ","pages":"554-561"},"PeriodicalIF":0.7000,"publicationDate":"2025-07-01","publicationTypes":"Journal Article","fieldsOfStudy":null,"isOpenAccess":false,"openAccessPdf":"https://www.ncbi.nlm.nih.gov/pmc/articles/PMC12095876/pdf/","citationCount":"0","resultStr":"{\"title\":\"Iliac Artery Occlusion Following Iliac Vein Recanalization and Stenting in Two Patients.\",\"authors\":\"Thomas Pennix, Zayed Metwalli, Peiman Habibollahi\",\"doi\":\"10.1177/15385744251327018\",\"DOIUrl\":null,\"url\":null,\"abstract\":\"<p><p>Ileocaval venous thrombosis and outflow obstruction is a condition with many possible causes that typically presents with symptoms related to venous congestion or insufficiency. Recent device development and availability of endovascular stenting and venoplasty for lifestyle-limiting symptoms refractory to conservative management has led to increased interest in these procedures. While several common complications of venous stent placement have been well-described, 1 uncommon and emergent complication is nearby arterial compression or occlusion. Here we present 2 cases of iliac artery occlusion occurring after iliac venous recanalization and stenting, and discuss possible factors that may contribute to this uncommon complication.</p>\",\"PeriodicalId\":94265,\"journal\":{\"name\":\"Vascular and endovascular surgery\",\"volume\":\" \",\"pages\":\"554-561\"},\"PeriodicalIF\":0.7000,\"publicationDate\":\"2025-07-01\",\"publicationTypes\":\"Journal Article\",\"fieldsOfStudy\":null,\"isOpenAccess\":false,\"openAccessPdf\":\"https://www.ncbi.nlm.nih.gov/pmc/articles/PMC12095876/pdf/\",\"citationCount\":\"0\",\"resultStr\":null,\"platform\":\"Semanticscholar\",\"paperid\":null,\"PeriodicalName\":\"Vascular and endovascular surgery\",\"FirstCategoryId\":\"1085\",\"ListUrlMain\":\"https://doi.org/10.1177/15385744251327018\",\"RegionNum\":0,\"RegionCategory\":null,\"ArticlePicture\":[],\"TitleCN\":null,\"AbstractTextCN\":null,\"PMCID\":null,\"EPubDate\":\"2025/3/21 0:00:00\",\"PubModel\":\"Epub\",\"JCR\":\"\",\"JCRName\":\"\",\"Score\":null,\"Total\":0}","platform":"Semanticscholar","paperid":null,"PeriodicalName":"Vascular and endovascular surgery","FirstCategoryId":"1085","ListUrlMain":"https://doi.org/10.1177/15385744251327018","RegionNum":0,"RegionCategory":null,"ArticlePicture":[],"TitleCN":null,"AbstractTextCN":null,"PMCID":null,"EPubDate":"2025/3/21 0:00:00","PubModel":"Epub","JCR":"","JCRName":"","Score":null,"Total":0}
引用次数: 0

摘要

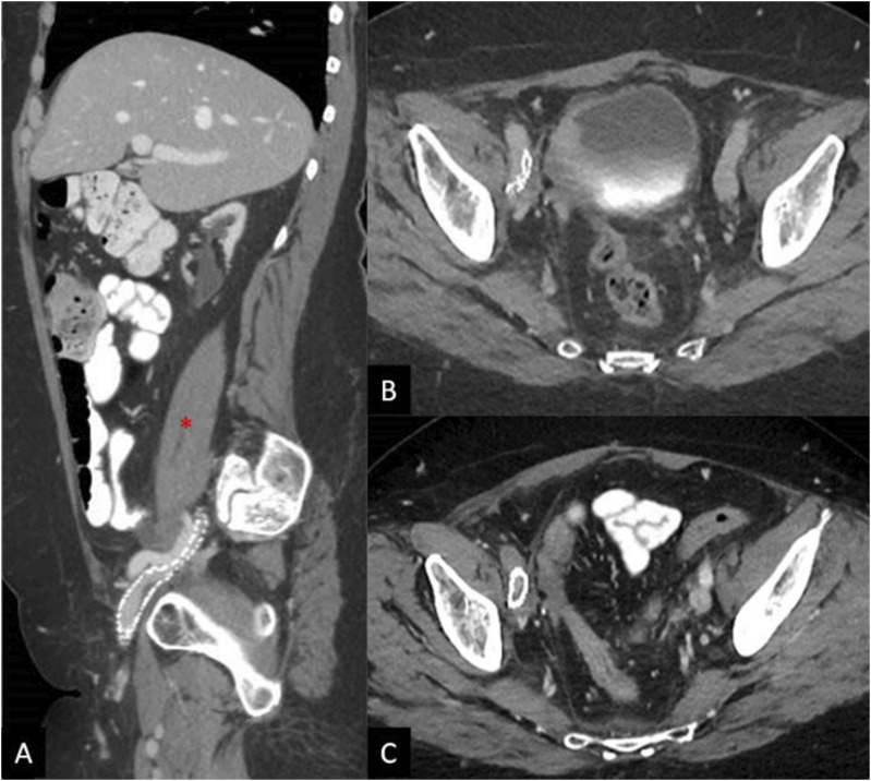
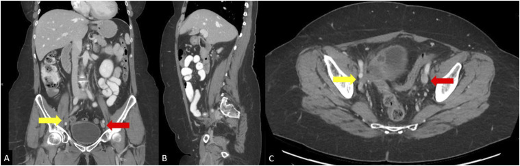
回腔静脉血栓形成和流出梗阻是一种有许多可能原因的疾病,通常表现为与静脉充血或不全有关的症状。最近的设备发展和血管内支架置入术和静脉成形术对生活方式限制症状的可用性难以保守治疗,导致对这些手术的兴趣增加。虽然静脉支架置入的几种常见并发症已经有了很好的描述,但一种罕见和紧急的并发症是附近动脉压迫或闭塞。在此,我们报告2例髂静脉再通和支架置入后发生髂动脉闭塞的病例,并讨论可能导致这种罕见并发症的因素。
本文章由计算机程序翻译,如有差异,请以英文原文为准。

Iliac Artery Occlusion Following Iliac Vein Recanalization and Stenting in Two Patients.

Iliac Artery Occlusion Following Iliac Vein Recanalization and Stenting in Two Patients.

Iliac Artery Occlusion Following Iliac Vein Recanalization and Stenting in Two Patients.

Iliac Artery Occlusion Following Iliac Vein Recanalization and Stenting in Two Patients.

Ileocaval venous thrombosis and outflow obstruction is a condition with many possible causes that typically presents with symptoms related to venous congestion or insufficiency. Recent device development and availability of endovascular stenting and venoplasty for lifestyle-limiting symptoms refractory to conservative management has led to increased interest in these procedures. While several common complications of venous stent placement have been well-described, 1 uncommon and emergent complication is nearby arterial compression or occlusion. Here we present 2 cases of iliac artery occlusion occurring after iliac venous recanalization and stenting, and discuss possible factors that may contribute to this uncommon complication.

求助全文
通过发布文献求助,成功后即可免费获取论文全文。 去求助
来源期刊
自引率
0.00%
发文量
0
×
引用
GB/T 7714-2015
复制
MLA
复制
APA
复制
导出至
BibTeX EndNote RefMan NoteFirst NoteExpress
×
提示
您的信息不完整,为了账户安全,请先补充。
现在去补充
×
提示
您因"违规操作"
具体请查看互助需知
我知道了
×
提示
确定
请完成安全验证×
copy
已复制链接
快去分享给好友吧!
我知道了
右上角分享
点击右上角分享
0
联系我们:info@booksci.cn Book学术提供免费学术资源搜索服务,方便国内外学者检索中英文文献。致力于提供最便捷和优质的服务体验。 Copyright © 2023 布克学术 All rights reserved.
京ICP备2023020795号-1
ghs 京公网安备 11010802042870号
Book学术文献互助
Book学术文献互助群
群 号:604180095
Book学术官方微信