母犬乳腺癌骨转移的组织病理学、免疫组织化学及影像学特征:附1例报告。

Brazilian journal of veterinary medicine Pub Date : 2025-03-19 eCollection Date: 2025-01-01 DOI:10.29374/2527-2179.bjvm009124
Ana Paula Vargas Garcia, Fernanda Rezende Souza, Luiz Flávio Telles, Antônio Carlos Lacreta, Mary Suzan Varaschin, Geovanni Dantas Cassali
{"title":"母犬乳腺癌骨转移的组织病理学、免疫组织化学及影像学特征:附1例报告。","authors":"Ana Paula Vargas Garcia, Fernanda Rezende Souza, Luiz Flávio Telles, Antônio Carlos Lacreta, Mary Suzan Varaschin, Geovanni Dantas Cassali","doi":"10.29374/2527-2179.bjvm009124","DOIUrl":null,"url":null,"abstract":"<p><p>In the present case report, the histopathological and immunohistochemical characteristics of the two cases of bone metastasis of mammary carcinoma in bitches are described. The animal in the first case is a 10 years old female poodle. The physical examination revealed a mass in the left abdominal caudal (M4) and inguinal (M5) mammary glands with a six-month evolution. The imaging exams of the right pelvic limb revealed areas of bone lysis in the distal portion of the femur. No evidence of metastases was observed in the thorax on thoracic radiographs. Microscopic evaluations were consistent with the diagnosis of malignant adenomyoepithelioma. The mass in the distal region of the femur has characteristics similar to those observed in the mammary gland mass. The animal in the second case was a nine-year-old female mixed-breed euthanized due to the unfavorable prognosis of the disease. Histopathological evaluation of the primary tumor in M3, M4, and M5 was consistent with the diagnosis of grade II cribriform carcinoma. Metastatic foci were observed in the lung, liver, kidney, adrenal, proximal metaphyseal region of the right humerus extending to the distal diaphyseal region, and axillary and medial iliac lymph nodes' parenchyma. Immunohistochemistry was performed for markers Ki67, Cox-2, ER, PR, Pan-CK, p63 and HER-2 in the primary tumor and bone metastasis in both cases. High proliferation rate, positivity for hormone receptors, Pan-CK and p63 were observed in both cases. HER-2 was negative in the primary tumor and bone metastasis and COX-2 was negative in the primary tumor of both cases, negative in the metastasis of case 01 and positive in the metastasis of case 02.</p>","PeriodicalId":72458,"journal":{"name":"Brazilian journal of veterinary medicine","volume":"47 ","pages":"e009124"},"PeriodicalIF":0.0000,"publicationDate":"2025-03-19","publicationTypes":"Journal Article","fieldsOfStudy":null,"isOpenAccess":false,"openAccessPdf":"https://www.ncbi.nlm.nih.gov/pmc/articles/PMC11924272/pdf/","citationCount":"0","resultStr":"{\"title\":\"Histopathological, immunohistochemical and imaging features of bone metastases of mammary carcinoma in bitches: cases report.\",\"authors\":\"Ana Paula Vargas Garcia, Fernanda Rezende Souza, Luiz Flávio Telles, Antônio Carlos Lacreta, Mary Suzan Varaschin, Geovanni Dantas Cassali\",\"doi\":\"10.29374/2527-2179.bjvm009124\",\"DOIUrl\":null,\"url\":null,\"abstract\":\"<p><p>In the present case report, the histopathological and immunohistochemical characteristics of the two cases of bone metastasis of mammary carcinoma in bitches are described. The animal in the first case is a 10 years old female poodle. The physical examination revealed a mass in the left abdominal caudal (M4) and inguinal (M5) mammary glands with a six-month evolution. The imaging exams of the right pelvic limb revealed areas of bone lysis in the distal portion of the femur. No evidence of metastases was observed in the thorax on thoracic radiographs. Microscopic evaluations were consistent with the diagnosis of malignant adenomyoepithelioma. The mass in the distal region of the femur has characteristics similar to those observed in the mammary gland mass. The animal in the second case was a nine-year-old female mixed-breed euthanized due to the unfavorable prognosis of the disease. Histopathological evaluation of the primary tumor in M3, M4, and M5 was consistent with the diagnosis of grade II cribriform carcinoma. Metastatic foci were observed in the lung, liver, kidney, adrenal, proximal metaphyseal region of the right humerus extending to the distal diaphyseal region, and axillary and medial iliac lymph nodes' parenchyma. Immunohistochemistry was performed for markers Ki67, Cox-2, ER, PR, Pan-CK, p63 and HER-2 in the primary tumor and bone metastasis in both cases. High proliferation rate, positivity for hormone receptors, Pan-CK and p63 were observed in both cases. HER-2 was negative in the primary tumor and bone metastasis and COX-2 was negative in the primary tumor of both cases, negative in the metastasis of case 01 and positive in the metastasis of case 02.</p>\",\"PeriodicalId\":72458,\"journal\":{\"name\":\"Brazilian journal of veterinary medicine\",\"volume\":\"47 \",\"pages\":\"e009124\"},\"PeriodicalIF\":0.0000,\"publicationDate\":\"2025-03-19\",\"publicationTypes\":\"Journal Article\",\"fieldsOfStudy\":null,\"isOpenAccess\":false,\"openAccessPdf\":\"https://www.ncbi.nlm.nih.gov/pmc/articles/PMC11924272/pdf/\",\"citationCount\":\"0\",\"resultStr\":null,\"platform\":\"Semanticscholar\",\"paperid\":null,\"PeriodicalName\":\"Brazilian journal of veterinary medicine\",\"FirstCategoryId\":\"1085\",\"ListUrlMain\":\"https://doi.org/10.29374/2527-2179.bjvm009124\",\"RegionNum\":0,\"RegionCategory\":null,\"ArticlePicture\":[],\"TitleCN\":null,\"AbstractTextCN\":null,\"PMCID\":null,\"EPubDate\":\"2025/1/1 0:00:00\",\"PubModel\":\"eCollection\",\"JCR\":\"\",\"JCRName\":\"\",\"Score\":null,\"Total\":0}","platform":"Semanticscholar","paperid":null,"PeriodicalName":"Brazilian journal of veterinary medicine","FirstCategoryId":"1085","ListUrlMain":"https://doi.org/10.29374/2527-2179.bjvm009124","RegionNum":0,"RegionCategory":null,"ArticlePicture":[],"TitleCN":null,"AbstractTextCN":null,"PMCID":null,"EPubDate":"2025/1/1 0:00:00","PubModel":"eCollection","JCR":"","JCRName":"","Score":null,"Total":0}
引用次数: 0

摘要

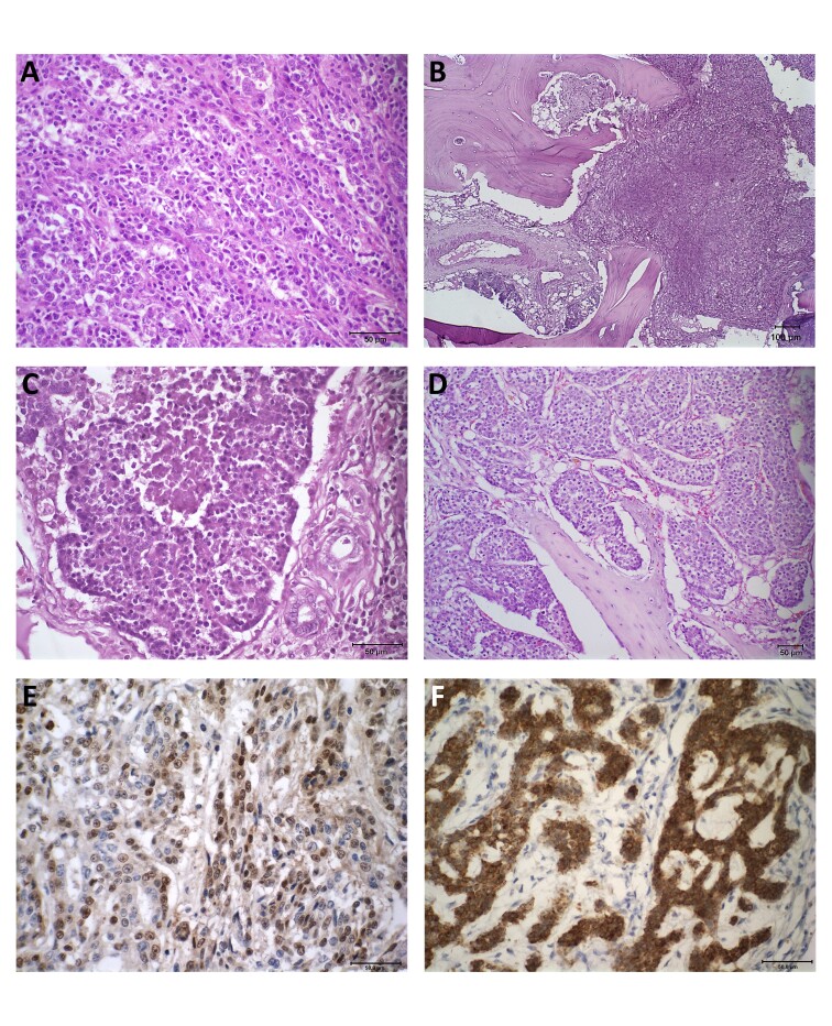
本文报告了两例母犬乳腺癌骨转移的组织病理学和免疫组织化学特征。第一个病例中的动物是一只10岁的雌性贵宾犬。体格检查发现左侧腹部尾侧(M4)和腹股沟(M5)乳腺肿块,六个月前发展。右侧骨盆肢体的影像学检查显示股骨远端部分有骨溶解。胸部x线片未见转移灶。显微镜检查结果与恶性腺肌瘤的诊断一致。股骨远端肿块的特征与乳腺肿块相似。第二个病例的动物是一只9岁的雌性杂交动物,由于疾病预后不良而被安乐死。M3, M4和M5原发肿瘤的组织病理学评估与II级筛状癌的诊断一致。肺、肝、肾、肾上腺、右肱骨干骺端近端延伸至干骺端远端、腋窝及髂内侧淋巴结实质均可见转移灶。免疫组化检测Ki67、Cox-2、ER、PR、Pan-CK、p63和HER-2在原发肿瘤和骨转移中的表达。两例细胞均有较高的增殖率,激素受体、Pan-CK和p63阳性。HER-2在原发肿瘤和骨转移中均为阴性,COX-2在原发肿瘤中均为阴性,在病例01转移中为阴性,在病例02转移中为阳性。
本文章由计算机程序翻译,如有差异,请以英文原文为准。

Histopathological, immunohistochemical and imaging features of bone metastases of mammary carcinoma in bitches: cases report.

Histopathological, immunohistochemical and imaging features of bone metastases of mammary carcinoma in bitches: cases report.

Histopathological, immunohistochemical and imaging features of bone metastases of mammary carcinoma in bitches: cases report.

In the present case report, the histopathological and immunohistochemical characteristics of the two cases of bone metastasis of mammary carcinoma in bitches are described. The animal in the first case is a 10 years old female poodle. The physical examination revealed a mass in the left abdominal caudal (M4) and inguinal (M5) mammary glands with a six-month evolution. The imaging exams of the right pelvic limb revealed areas of bone lysis in the distal portion of the femur. No evidence of metastases was observed in the thorax on thoracic radiographs. Microscopic evaluations were consistent with the diagnosis of malignant adenomyoepithelioma. The mass in the distal region of the femur has characteristics similar to those observed in the mammary gland mass. The animal in the second case was a nine-year-old female mixed-breed euthanized due to the unfavorable prognosis of the disease. Histopathological evaluation of the primary tumor in M3, M4, and M5 was consistent with the diagnosis of grade II cribriform carcinoma. Metastatic foci were observed in the lung, liver, kidney, adrenal, proximal metaphyseal region of the right humerus extending to the distal diaphyseal region, and axillary and medial iliac lymph nodes' parenchyma. Immunohistochemistry was performed for markers Ki67, Cox-2, ER, PR, Pan-CK, p63 and HER-2 in the primary tumor and bone metastasis in both cases. High proliferation rate, positivity for hormone receptors, Pan-CK and p63 were observed in both cases. HER-2 was negative in the primary tumor and bone metastasis and COX-2 was negative in the primary tumor of both cases, negative in the metastasis of case 01 and positive in the metastasis of case 02.

求助全文
通过发布文献求助,成功后即可免费获取论文全文。 去求助
来源期刊
自引率
0.00%
发文量
0
×
引用
GB/T 7714-2015
复制
MLA
复制
APA
复制
导出至
BibTeX EndNote RefMan NoteFirst NoteExpress
×
提示
您的信息不完整,为了账户安全,请先补充。
现在去补充
×
提示
您因"违规操作"
具体请查看互助需知
我知道了
×
提示
确定
请完成安全验证×
copy
已复制链接
快去分享给好友吧!
我知道了
右上角分享
点击右上角分享
0
联系我们:info@booksci.cn Book学术提供免费学术资源搜索服务,方便国内外学者检索中英文文献。致力于提供最便捷和优质的服务体验。 Copyright © 2023 布克学术 All rights reserved.
京ICP备2023020795号-1
ghs 京公网安备 11010802042870号
Book学术文献互助
Book学术文献互助群
群 号:604180095
Book学术官方微信