为177Lu-PSMA-617放射性配体疗法中的肾脏剂量测定开发无CT SPECT采集协议。

IF 2.5 4区 医学 Q2 RADIOLOGY, NUCLEAR MEDICINE & MEDICAL IMAGING
Molecular Imaging and Biology Pub Date : 2025-06-01 Epub Date: 2025-03-20 DOI:10.1007/s11307-025-01998-2
Christian Happel, Larissa Völler, Benjamin Bockisch, Daniel Groener, Britta Leonhäuser, Frank Grünwald, Amir Sabet
{"title":"为177Lu-PSMA-617放射性配体疗法中的肾脏剂量测定开发无CT SPECT采集协议。","authors":"Christian Happel, Larissa Völler, Benjamin Bockisch, Daniel Groener, Britta Leonhäuser, Frank Grünwald, Amir Sabet","doi":"10.1007/s11307-025-01998-2","DOIUrl":null,"url":null,"abstract":"<p><strong>Purpose: </strong>Targeted radioligand therapy of metastatic castration-resistant prostate cancer (mCRPC) with <sup>177</sup>Lu-PSMA (RLT) requires sufficient dose monitoring of the kidneys. Currently, dosimetry using SPECT/CT-imaging is the most preferred method. However, SPECT/CT is a time-consuming procedure and comprises additional radiation exposure to the patient. Moreover, not every therapeutic nuclear medicine facility has access to SPECT/CT. Therefore, the aim of this study was to develop a new procedure of kidney dosimetry without the use of SPECT/CT and evaluate this method in a large cohort of patients with mCRPC undergoing RLT.</p><p><strong>Procedures: </strong>A dedicated torso phantom with kidneys filled with a solution of <sup>177</sup>Lu-PSMA was used for quantitative calibration of a SPECT-camera. The calculated sensitivity was adapted according to the individual attenuation of the patient in four directions from the kidney surface to the body surface (ventral, dorsal, left and right) obtained from a previously performed CT. A total of 196 patients undergoing 926 cycles of <sup>177</sup>Lu-PSMA therapy were retrospectively analyzed. Abdominal SPECT was performed 24, 48 and 72 h after administration of <sup>177</sup>Lu-PSMA including scatter and dead-time correction in every patient. Kidney dose was calculated using an individual attenuation-based procedure and compared to values from international literature.</p><p><strong>Results: </strong>Volumes of interest of the kidneys were drawn in the three sequential SPECT-images to calculate intra-renal effective half-life. Absolute quantification of activity in the kidneys was accomplished obtaining a patient individual sensitivity based on the individual attenuation in the patient. Kidney dose was then calculated applying a bi-exponential time activity curve in Microsoft EXCEL. Mean kidney dose per administered activity was 0.54 (± 0.26) Gy/GBq.</p><p><strong>Conclusions: </strong>With the presented procedure a reliable kidney dosimetry is possible without the use of SPECT/CT. Facilities without SPECT/CT are therefore able to perform an adequate kidney dosimetry without additional radiation exposure for the patient.</p>","PeriodicalId":18760,"journal":{"name":"Molecular Imaging and Biology","volume":" ","pages":"400-409"},"PeriodicalIF":2.5000,"publicationDate":"2025-06-01","publicationTypes":"Journal Article","fieldsOfStudy":null,"isOpenAccess":false,"openAccessPdf":"https://www.ncbi.nlm.nih.gov/pmc/articles/PMC12162791/pdf/","citationCount":"0","resultStr":"{\"title\":\"Development of a CT-less SPECT Acquisition Protocol for Kidney Dosimetry in <sup>177</sup>Lu-PSMA-617 Radioligand Therapy.\",\"authors\":\"Christian Happel, Larissa Völler, Benjamin Bockisch, Daniel Groener, Britta Leonhäuser, Frank Grünwald, Amir Sabet\",\"doi\":\"10.1007/s11307-025-01998-2\",\"DOIUrl\":null,\"url\":null,\"abstract\":\"<p><strong>Purpose: </strong>Targeted radioligand therapy of metastatic castration-resistant prostate cancer (mCRPC) with <sup>177</sup>Lu-PSMA (RLT) requires sufficient dose monitoring of the kidneys. Currently, dosimetry using SPECT/CT-imaging is the most preferred method. However, SPECT/CT is a time-consuming procedure and comprises additional radiation exposure to the patient. Moreover, not every therapeutic nuclear medicine facility has access to SPECT/CT. Therefore, the aim of this study was to develop a new procedure of kidney dosimetry without the use of SPECT/CT and evaluate this method in a large cohort of patients with mCRPC undergoing RLT.</p><p><strong>Procedures: </strong>A dedicated torso phantom with kidneys filled with a solution of <sup>177</sup>Lu-PSMA was used for quantitative calibration of a SPECT-camera. The calculated sensitivity was adapted according to the individual attenuation of the patient in four directions from the kidney surface to the body surface (ventral, dorsal, left and right) obtained from a previously performed CT. A total of 196 patients undergoing 926 cycles of <sup>177</sup>Lu-PSMA therapy were retrospectively analyzed. Abdominal SPECT was performed 24, 48 and 72 h after administration of <sup>177</sup>Lu-PSMA including scatter and dead-time correction in every patient. Kidney dose was calculated using an individual attenuation-based procedure and compared to values from international literature.</p><p><strong>Results: </strong>Volumes of interest of the kidneys were drawn in the three sequential SPECT-images to calculate intra-renal effective half-life. Absolute quantification of activity in the kidneys was accomplished obtaining a patient individual sensitivity based on the individual attenuation in the patient. Kidney dose was then calculated applying a bi-exponential time activity curve in Microsoft EXCEL. Mean kidney dose per administered activity was 0.54 (± 0.26) Gy/GBq.</p><p><strong>Conclusions: </strong>With the presented procedure a reliable kidney dosimetry is possible without the use of SPECT/CT. Facilities without SPECT/CT are therefore able to perform an adequate kidney dosimetry without additional radiation exposure for the patient.</p>\",\"PeriodicalId\":18760,\"journal\":{\"name\":\"Molecular Imaging and Biology\",\"volume\":\" \",\"pages\":\"400-409\"},\"PeriodicalIF\":2.5000,\"publicationDate\":\"2025-06-01\",\"publicationTypes\":\"Journal Article\",\"fieldsOfStudy\":null,\"isOpenAccess\":false,\"openAccessPdf\":\"https://www.ncbi.nlm.nih.gov/pmc/articles/PMC12162791/pdf/\",\"citationCount\":\"0\",\"resultStr\":null,\"platform\":\"Semanticscholar\",\"paperid\":null,\"PeriodicalName\":\"Molecular Imaging and Biology\",\"FirstCategoryId\":\"3\",\"ListUrlMain\":\"https://doi.org/10.1007/s11307-025-01998-2\",\"RegionNum\":4,\"RegionCategory\":\"医学\",\"ArticlePicture\":[],\"TitleCN\":null,\"AbstractTextCN\":null,\"PMCID\":null,\"EPubDate\":\"2025/3/20 0:00:00\",\"PubModel\":\"Epub\",\"JCR\":\"Q2\",\"JCRName\":\"RADIOLOGY, NUCLEAR MEDICINE & MEDICAL IMAGING\",\"Score\":null,\"Total\":0}","platform":"Semanticscholar","paperid":null,"PeriodicalName":"Molecular Imaging and Biology","FirstCategoryId":"3","ListUrlMain":"https://doi.org/10.1007/s11307-025-01998-2","RegionNum":4,"RegionCategory":"医学","ArticlePicture":[],"TitleCN":null,"AbstractTextCN":null,"PMCID":null,"EPubDate":"2025/3/20 0:00:00","PubModel":"Epub","JCR":"Q2","JCRName":"RADIOLOGY, NUCLEAR MEDICINE & MEDICAL IMAGING","Score":null,"Total":0}
引用次数: 0

摘要

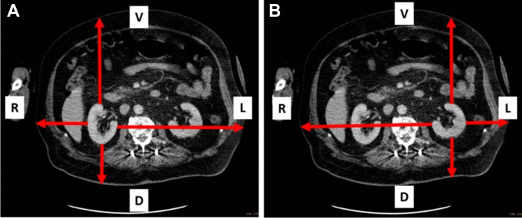
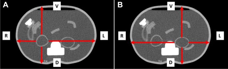
目的:用177Lu-PSMA (RLT)靶向放射治疗转移性去势抵抗性前列腺癌(mCRPC)需要对肾脏进行足够的剂量监测。目前,使用SPECT/ ct成像的剂量测定是最优选的方法。然而,SPECT/CT是一个耗时的过程,并且包括对患者的额外辐射暴露。此外,并不是每个核医学治疗机构都能使用SPECT/CT。因此,本研究的目的是开发一种不使用SPECT/CT的肾剂量测定新方法,并在接受RLT的mCRPC患者中对该方法进行评估。操作步骤:使用专用躯干模型,肾脏充满177Lu-PSMA溶液,用于spect相机的定量校准。计算出的灵敏度是根据先前进行的CT从肾表面到体表(腹、背、左、右)四个方向的个体衰减进行调整的。回顾性分析196例接受926个周期177Lu-PSMA治疗的患者。在给予177Lu-PSMA后24、48和72小时进行腹部SPECT,包括散射和死时校正。肾脏剂量采用基于个体减毒的方法计算,并与国际文献中的数值进行比较。结果:在三个连续的spect图像中绘制肾脏感兴趣的体积,以计算肾内有效半衰期。肾脏活性的绝对定量是根据患者的个体衰减完成的,获得了患者的个体敏感性。然后在Microsoft EXCEL中应用双指数时间活度曲线计算肾脏剂量。每次给药活性的肾脏平均剂量为0.54(±0.26)Gy/GBq。结论:采用本方法可以在不使用SPECT/CT的情况下进行可靠的肾脏剂量测定。因此,没有SPECT/CT的设施能够在不给患者额外辐射暴露的情况下进行充分的肾脏剂量测定。
本文章由计算机程序翻译,如有差异,请以英文原文为准。

Development of a CT-less SPECT Acquisition Protocol for Kidney Dosimetry in <sup>177</sup>Lu-PSMA-617 Radioligand Therapy.

Development of a CT-less SPECT Acquisition Protocol for Kidney Dosimetry in <sup>177</sup>Lu-PSMA-617 Radioligand Therapy.

Development of a CT-less SPECT Acquisition Protocol for Kidney Dosimetry in <sup>177</sup>Lu-PSMA-617 Radioligand Therapy.

Development of a CT-less SPECT Acquisition Protocol for Kidney Dosimetry in 177Lu-PSMA-617 Radioligand Therapy.

Purpose: Targeted radioligand therapy of metastatic castration-resistant prostate cancer (mCRPC) with 177Lu-PSMA (RLT) requires sufficient dose monitoring of the kidneys. Currently, dosimetry using SPECT/CT-imaging is the most preferred method. However, SPECT/CT is a time-consuming procedure and comprises additional radiation exposure to the patient. Moreover, not every therapeutic nuclear medicine facility has access to SPECT/CT. Therefore, the aim of this study was to develop a new procedure of kidney dosimetry without the use of SPECT/CT and evaluate this method in a large cohort of patients with mCRPC undergoing RLT.

Procedures: A dedicated torso phantom with kidneys filled with a solution of 177Lu-PSMA was used for quantitative calibration of a SPECT-camera. The calculated sensitivity was adapted according to the individual attenuation of the patient in four directions from the kidney surface to the body surface (ventral, dorsal, left and right) obtained from a previously performed CT. A total of 196 patients undergoing 926 cycles of 177Lu-PSMA therapy were retrospectively analyzed. Abdominal SPECT was performed 24, 48 and 72 h after administration of 177Lu-PSMA including scatter and dead-time correction in every patient. Kidney dose was calculated using an individual attenuation-based procedure and compared to values from international literature.

Results: Volumes of interest of the kidneys were drawn in the three sequential SPECT-images to calculate intra-renal effective half-life. Absolute quantification of activity in the kidneys was accomplished obtaining a patient individual sensitivity based on the individual attenuation in the patient. Kidney dose was then calculated applying a bi-exponential time activity curve in Microsoft EXCEL. Mean kidney dose per administered activity was 0.54 (± 0.26) Gy/GBq.

Conclusions: With the presented procedure a reliable kidney dosimetry is possible without the use of SPECT/CT. Facilities without SPECT/CT are therefore able to perform an adequate kidney dosimetry without additional radiation exposure for the patient.

求助全文
通过发布文献求助,成功后即可免费获取论文全文。 去求助
来源期刊
CiteScore
6.90
自引率
3.20%
发文量
95
审稿时长
3 months
期刊介绍: Molecular Imaging and Biology (MIB) invites original contributions (research articles, review articles, commentaries, etc.) on the utilization of molecular imaging (i.e., nuclear imaging, optical imaging, autoradiography and pathology, MRI, MPI, ultrasound imaging, radiomics/genomics etc.) to investigate questions related to biology and health. The objective of MIB is to provide a forum to the discovery of molecular mechanisms of disease through the use of imaging techniques. We aim to investigate the biological nature of disease in patients and establish new molecular imaging diagnostic and therapy procedures. Some areas that are covered are: Preclinical and clinical imaging of macromolecular targets (e.g., genes, receptors, enzymes) involved in significant biological processes. The design, characterization, and study of new molecular imaging probes and contrast agents for the functional interrogation of macromolecular targets. Development and evaluation of imaging systems including instrumentation, image reconstruction algorithms, image analysis, and display. Development of molecular assay approaches leading to quantification of the biological information obtained in molecular imaging. Study of in vivo animal models of disease for the development of new molecular diagnostics and therapeutics. Extension of in vitro and in vivo discoveries using disease models, into well designed clinical research investigations. Clinical molecular imaging involving clinical investigations, clinical trials and medical management or cost-effectiveness studies.
×
引用
GB/T 7714-2015
复制
MLA
复制
APA
复制
导出至
BibTeX EndNote RefMan NoteFirst NoteExpress
×
提示
您的信息不完整,为了账户安全,请先补充。
现在去补充
×
提示
您因"违规操作"
具体请查看互助需知
我知道了
×
提示
确定
请完成安全验证×
copy
已复制链接
快去分享给好友吧!
我知道了
右上角分享
点击右上角分享
0
联系我们:info@booksci.cn Book学术提供免费学术资源搜索服务,方便国内外学者检索中英文文献。致力于提供最便捷和优质的服务体验。 Copyright © 2023 布克学术 All rights reserved.
京ICP备2023020795号-1
ghs 京公网安备 11010802042870号
Book学术文献互助
Book学术文献互助群
群 号:604180095
Book学术官方微信