下一代测序在鉴别免疫组织化学不明确的小儿肉瘤中的重要性

IF 0.6 Q4 ONCOLOGY
Case Reports in Oncological Medicine Pub Date : 2025-03-13 eCollection Date: 2025-01-01 DOI:10.1155/crom/9926653
Chong Bin He, Dan Pham, Rachel S Kronenfeld, Andrew Rosenberg, Jessica Ardente, Aditi Dhir
{"title":"下一代测序在鉴别免疫组织化学不明确的小儿肉瘤中的重要性","authors":"Chong Bin He, Dan Pham, Rachel S Kronenfeld, Andrew Rosenberg, Jessica Ardente, Aditi Dhir","doi":"10.1155/crom/9926653","DOIUrl":null,"url":null,"abstract":"<p><p>Bone and soft-tissue sarcomas encompass over 70 histologic subtypes, posing diagnostic challenges due to overlapping characteristics. Molecular analyses, such as fluorescence in situ hybridization (FISH) and reverse transcription polymerase chain reaction (RT-PCR), aid in identifying specific genomic alterations but are often limited, particularly when prior histological findings are inconclusive. Next-generation sequencing (NGS) offers high-throughput testing via a targeted sequencing panel, addressing these limitations. This case series highlights the utility of NGS in diagnosing two pediatric patients with immunobiologically ambiguous Ewing sarcoma (ES) and clear cell sarcoma (CCS), emphasizing its role as a powerful tool in solid tumor diagnosis.</p>","PeriodicalId":9636,"journal":{"name":"Case Reports in Oncological Medicine","volume":"2025 ","pages":"9926653"},"PeriodicalIF":0.6000,"publicationDate":"2025-03-13","publicationTypes":"Journal Article","fieldsOfStudy":null,"isOpenAccess":false,"openAccessPdf":"https://www.ncbi.nlm.nih.gov/pmc/articles/PMC11925606/pdf/","citationCount":"0","resultStr":"{\"title\":\"The Importance of Next-Generation Sequencing in Identifying Immunohistochemically Ambiguous Pediatric Sarcomas.\",\"authors\":\"Chong Bin He, Dan Pham, Rachel S Kronenfeld, Andrew Rosenberg, Jessica Ardente, Aditi Dhir\",\"doi\":\"10.1155/crom/9926653\",\"DOIUrl\":null,\"url\":null,\"abstract\":\"<p><p>Bone and soft-tissue sarcomas encompass over 70 histologic subtypes, posing diagnostic challenges due to overlapping characteristics. Molecular analyses, such as fluorescence in situ hybridization (FISH) and reverse transcription polymerase chain reaction (RT-PCR), aid in identifying specific genomic alterations but are often limited, particularly when prior histological findings are inconclusive. Next-generation sequencing (NGS) offers high-throughput testing via a targeted sequencing panel, addressing these limitations. This case series highlights the utility of NGS in diagnosing two pediatric patients with immunobiologically ambiguous Ewing sarcoma (ES) and clear cell sarcoma (CCS), emphasizing its role as a powerful tool in solid tumor diagnosis.</p>\",\"PeriodicalId\":9636,\"journal\":{\"name\":\"Case Reports in Oncological Medicine\",\"volume\":\"2025 \",\"pages\":\"9926653\"},\"PeriodicalIF\":0.6000,\"publicationDate\":\"2025-03-13\",\"publicationTypes\":\"Journal Article\",\"fieldsOfStudy\":null,\"isOpenAccess\":false,\"openAccessPdf\":\"https://www.ncbi.nlm.nih.gov/pmc/articles/PMC11925606/pdf/\",\"citationCount\":\"0\",\"resultStr\":null,\"platform\":\"Semanticscholar\",\"paperid\":null,\"PeriodicalName\":\"Case Reports in Oncological Medicine\",\"FirstCategoryId\":\"1085\",\"ListUrlMain\":\"https://doi.org/10.1155/crom/9926653\",\"RegionNum\":0,\"RegionCategory\":null,\"ArticlePicture\":[],\"TitleCN\":null,\"AbstractTextCN\":null,\"PMCID\":null,\"EPubDate\":\"2025/1/1 0:00:00\",\"PubModel\":\"eCollection\",\"JCR\":\"Q4\",\"JCRName\":\"ONCOLOGY\",\"Score\":null,\"Total\":0}","platform":"Semanticscholar","paperid":null,"PeriodicalName":"Case Reports in Oncological Medicine","FirstCategoryId":"1085","ListUrlMain":"https://doi.org/10.1155/crom/9926653","RegionNum":0,"RegionCategory":null,"ArticlePicture":[],"TitleCN":null,"AbstractTextCN":null,"PMCID":null,"EPubDate":"2025/1/1 0:00:00","PubModel":"eCollection","JCR":"Q4","JCRName":"ONCOLOGY","Score":null,"Total":0}
引用次数: 0

摘要

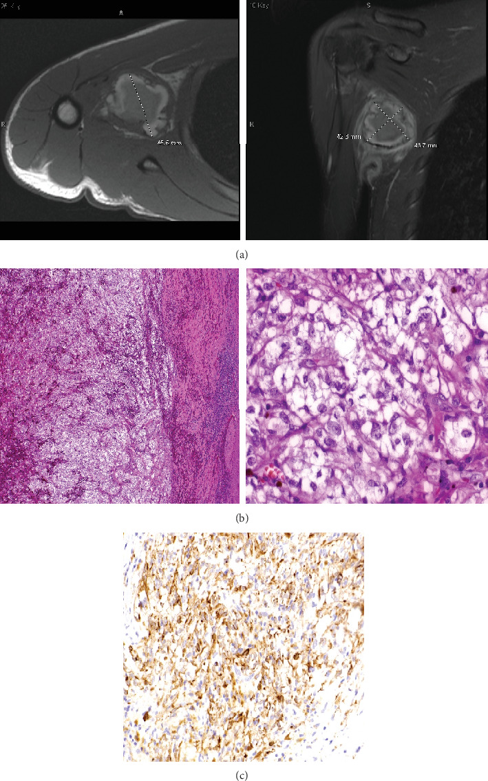
骨与软组织肉瘤包括 70 多种组织学亚型,由于其特征相互重叠,给诊断带来了挑战。荧光原位杂交(FISH)和反转录聚合酶链反应(RT-PCR)等分子分析有助于确定特定的基因组改变,但往往有局限性,尤其是在之前的组织学检查结果不确定的情况下。下一代测序(NGS)通过有针对性的测序面板提供高通量检测,解决了这些局限性。本病例系列着重介绍了 NGS 在诊断两名免疫生物学不明确的尤文肉瘤(ES)和透明细胞肉瘤(CCS)儿科患者中的作用,强调了 NGS 作为实体瘤诊断利器的作用。
本文章由计算机程序翻译,如有差异,请以英文原文为准。

The Importance of Next-Generation Sequencing in Identifying Immunohistochemically Ambiguous Pediatric Sarcomas.

The Importance of Next-Generation Sequencing in Identifying Immunohistochemically Ambiguous Pediatric Sarcomas.

The Importance of Next-Generation Sequencing in Identifying Immunohistochemically Ambiguous Pediatric Sarcomas.

Bone and soft-tissue sarcomas encompass over 70 histologic subtypes, posing diagnostic challenges due to overlapping characteristics. Molecular analyses, such as fluorescence in situ hybridization (FISH) and reverse transcription polymerase chain reaction (RT-PCR), aid in identifying specific genomic alterations but are often limited, particularly when prior histological findings are inconclusive. Next-generation sequencing (NGS) offers high-throughput testing via a targeted sequencing panel, addressing these limitations. This case series highlights the utility of NGS in diagnosing two pediatric patients with immunobiologically ambiguous Ewing sarcoma (ES) and clear cell sarcoma (CCS), emphasizing its role as a powerful tool in solid tumor diagnosis.

求助全文
通过发布文献求助,成功后即可免费获取论文全文。 去求助
来源期刊
自引率
0.00%
发文量
11
审稿时长
16 weeks
期刊介绍: Case Reports in Oncological Medicine is a peer-reviewed, Open Access journal that publishes case reports and case series related to breast cancer, lung cancer, gastrointestinal cancer, skin cancer, head and neck cancer, paediatric oncology, neurooncology as well as genitourinary cancer.
×
引用
GB/T 7714-2015
复制
MLA
复制
APA
复制
导出至
BibTeX EndNote RefMan NoteFirst NoteExpress
×
提示
您的信息不完整,为了账户安全,请先补充。
现在去补充
×
提示
您因"违规操作"
具体请查看互助需知
我知道了
×
提示
确定
请完成安全验证×
copy
已复制链接
快去分享给好友吧!
我知道了
右上角分享
点击右上角分享
0
联系我们:info@booksci.cn Book学术提供免费学术资源搜索服务,方便国内外学者检索中英文文献。致力于提供最便捷和优质的服务体验。 Copyright © 2023 布克学术 All rights reserved.
京ICP备2023020795号-1
ghs 京公网安备 11010802042870号
Book学术文献互助
Book学术文献互助群
群 号:604180095
Book学术官方微信