女性胸膜间皮瘤并遗传ATM突变1例报告。

4区 医学
Annals of translational medicine Pub Date : 2025-02-28 Epub Date: 2025-02-25 DOI:10.21037/atm-24-138
Marta Seca, B C John Cho, Angelina Tryon, Steven A Narod
{"title":"女性胸膜间皮瘤并遗传ATM突变1例报告。","authors":"Marta Seca, B C John Cho, Angelina Tryon, Steven A Narod","doi":"10.21037/atm-24-138","DOIUrl":null,"url":null,"abstract":"<p><strong>Background: </strong>Pleural mesothelioma (PM) is a rare and aggressive malignancy primarily linked to asbestos exposure. Up to 80% of patients have a history of such exposure. Several studies have investigated the possibility of a genetic predisposition for a subgroup of PM patients, but the data remains inconsistent. The ataxia-telangiectasia mutated (<i>ATM</i>) gene, crucial for DNA repair, is implicated in cancer susceptibility, with heterozygous mutations increasing risks, notably in breast and pancreatic cancers.</p><p><strong>Case description: </strong>We present a case of a 42-year-old woman, with no asbestos exposure history, diagnosed with metastatic PM. Initial treatment with immunotherapy showed limited efficacy. Given the rarity in young females, she opted for genetic testing via \"The Screen Project\", revealing a pathogenic <i>ATM</i> mutation. Due to enhanced radiosensitivity in <i>ATM</i> mutation carriers, to reduce adverse events conventional palliative radiotherapy (RT) was chosen over stereotactic hypofractionated RT. A follow-up computed tomography (CT) scan after 4 weeks indicated disease burden reduction.</p><p><strong>Conclusions: </strong>This case highlights the importance of genetic testing in atypical PM cases, guiding treatment decisions tailored to individual genetic profiles. Awareness of <i>ATM</i> mutations can optimize therapeutic strategies, particularly regarding RT choices, in managing this challenging malignancy. Integrating genetic insights into clinical practice holds promise for enhancing treatment outcomes and refining management strategies in PM and related conditions.</p>","PeriodicalId":8216,"journal":{"name":"Annals of translational medicine","volume":"13 1","pages":"8"},"PeriodicalIF":0.0000,"publicationDate":"2025-02-28","publicationTypes":"Journal Article","fieldsOfStudy":null,"isOpenAccess":false,"openAccessPdf":"https://www.ncbi.nlm.nih.gov/pmc/articles/PMC11921236/pdf/","citationCount":"0","resultStr":"{\"title\":\"A woman with a pleural mesothelioma and an inherited <i>ATM</i> mutation-a case report.\",\"authors\":\"Marta Seca, B C John Cho, Angelina Tryon, Steven A Narod\",\"doi\":\"10.21037/atm-24-138\",\"DOIUrl\":null,\"url\":null,\"abstract\":\"<p><strong>Background: </strong>Pleural mesothelioma (PM) is a rare and aggressive malignancy primarily linked to asbestos exposure. Up to 80% of patients have a history of such exposure. Several studies have investigated the possibility of a genetic predisposition for a subgroup of PM patients, but the data remains inconsistent. The ataxia-telangiectasia mutated (<i>ATM</i>) gene, crucial for DNA repair, is implicated in cancer susceptibility, with heterozygous mutations increasing risks, notably in breast and pancreatic cancers.</p><p><strong>Case description: </strong>We present a case of a 42-year-old woman, with no asbestos exposure history, diagnosed with metastatic PM. Initial treatment with immunotherapy showed limited efficacy. Given the rarity in young females, she opted for genetic testing via \\\"The Screen Project\\\", revealing a pathogenic <i>ATM</i> mutation. Due to enhanced radiosensitivity in <i>ATM</i> mutation carriers, to reduce adverse events conventional palliative radiotherapy (RT) was chosen over stereotactic hypofractionated RT. A follow-up computed tomography (CT) scan after 4 weeks indicated disease burden reduction.</p><p><strong>Conclusions: </strong>This case highlights the importance of genetic testing in atypical PM cases, guiding treatment decisions tailored to individual genetic profiles. Awareness of <i>ATM</i> mutations can optimize therapeutic strategies, particularly regarding RT choices, in managing this challenging malignancy. Integrating genetic insights into clinical practice holds promise for enhancing treatment outcomes and refining management strategies in PM and related conditions.</p>\",\"PeriodicalId\":8216,\"journal\":{\"name\":\"Annals of translational medicine\",\"volume\":\"13 1\",\"pages\":\"8\"},\"PeriodicalIF\":0.0000,\"publicationDate\":\"2025-02-28\",\"publicationTypes\":\"Journal Article\",\"fieldsOfStudy\":null,\"isOpenAccess\":false,\"openAccessPdf\":\"https://www.ncbi.nlm.nih.gov/pmc/articles/PMC11921236/pdf/\",\"citationCount\":\"0\",\"resultStr\":null,\"platform\":\"Semanticscholar\",\"paperid\":null,\"PeriodicalName\":\"Annals of translational medicine\",\"FirstCategoryId\":\"3\",\"ListUrlMain\":\"https://doi.org/10.21037/atm-24-138\",\"RegionNum\":4,\"RegionCategory\":\"医学\",\"ArticlePicture\":[],\"TitleCN\":null,\"AbstractTextCN\":null,\"PMCID\":null,\"EPubDate\":\"2025/2/25 0:00:00\",\"PubModel\":\"Epub\",\"JCR\":\"\",\"JCRName\":\"\",\"Score\":null,\"Total\":0}","platform":"Semanticscholar","paperid":null,"PeriodicalName":"Annals of translational medicine","FirstCategoryId":"3","ListUrlMain":"https://doi.org/10.21037/atm-24-138","RegionNum":4,"RegionCategory":"医学","ArticlePicture":[],"TitleCN":null,"AbstractTextCN":null,"PMCID":null,"EPubDate":"2025/2/25 0:00:00","PubModel":"Epub","JCR":"","JCRName":"","Score":null,"Total":0}
引用次数: 0

摘要

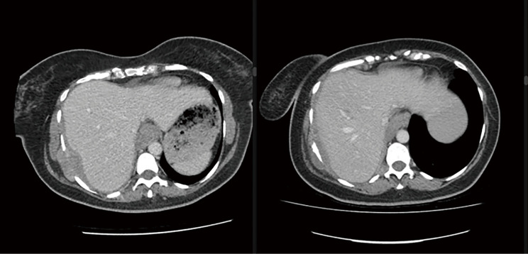
背景:胸膜间皮瘤(PM)是一种罕见的侵袭性恶性肿瘤,主要与接触石棉有关。多达 80% 的患者有此类接触史。有几项研究调查了间皮瘤患者亚群遗传易感性的可能性,但数据仍不一致。共济失调-特朗日病突变(ATM)基因对DNA修复至关重要,它与癌症易感性有关,杂合突变会增加患癌风险,尤其是乳腺癌和胰腺癌:我们介绍了一例 42 岁女性的病例,她没有石棉接触史,被诊断为转移性 PM。最初采用免疫疗法进行治疗,但疗效有限。鉴于该病在年轻女性中的罕见性,她选择通过 "筛查项目 "进行基因检测,结果发现了致病性 ATM 突变。由于ATM突变携带者的放射敏感性增强,为了减少不良反应,她选择了常规姑息放疗(RT),而不是立体定向低分次RT。4周后的随访计算机断层扫描(CT)显示疾病负担减轻:本病例强调了基因检测在非典型 PM 病例中的重要性,可根据个体遗传特征指导治疗决策。对ATM基因突变的认识可以优化治疗策略,尤其是在RT选择方面,从而控制这种具有挑战性的恶性肿瘤。将遗传学知识融入临床实践有望提高治疗效果,并完善PM及相关疾病的管理策略。
本文章由计算机程序翻译,如有差异,请以英文原文为准。

A woman with a pleural mesothelioma and an inherited <i>ATM</i> mutation-a case report.

A woman with a pleural mesothelioma and an inherited ATM mutation-a case report.

Background: Pleural mesothelioma (PM) is a rare and aggressive malignancy primarily linked to asbestos exposure. Up to 80% of patients have a history of such exposure. Several studies have investigated the possibility of a genetic predisposition for a subgroup of PM patients, but the data remains inconsistent. The ataxia-telangiectasia mutated (ATM) gene, crucial for DNA repair, is implicated in cancer susceptibility, with heterozygous mutations increasing risks, notably in breast and pancreatic cancers.

Case description: We present a case of a 42-year-old woman, with no asbestos exposure history, diagnosed with metastatic PM. Initial treatment with immunotherapy showed limited efficacy. Given the rarity in young females, she opted for genetic testing via "The Screen Project", revealing a pathogenic ATM mutation. Due to enhanced radiosensitivity in ATM mutation carriers, to reduce adverse events conventional palliative radiotherapy (RT) was chosen over stereotactic hypofractionated RT. A follow-up computed tomography (CT) scan after 4 weeks indicated disease burden reduction.

Conclusions: This case highlights the importance of genetic testing in atypical PM cases, guiding treatment decisions tailored to individual genetic profiles. Awareness of ATM mutations can optimize therapeutic strategies, particularly regarding RT choices, in managing this challenging malignancy. Integrating genetic insights into clinical practice holds promise for enhancing treatment outcomes and refining management strategies in PM and related conditions.

求助全文
通过发布文献求助,成功后即可免费获取论文全文。 去求助
来源期刊
自引率
0.00%
发文量
769
期刊介绍: The Annals of Translational Medicine (Ann Transl Med; ATM; Print ISSN 2305-5839; Online ISSN 2305-5847) is an international, peer-reviewed Open Access journal featuring original and observational investigations in the broad fields of laboratory, clinical, and public health research, aiming to provide practical up-to-date information in significant research from all subspecialties of medicine and to broaden the readers’ vision and horizon from bench to bed and bed to bench. It is published quarterly (April 2013- Dec. 2013), monthly (Jan. 2014 - Feb. 2015), biweekly (March 2015-) and openly distributed worldwide. Annals of Translational Medicine is indexed in PubMed in Sept 2014 and in SCIE in 2018. Specific areas of interest include, but not limited to, multimodality therapy, epidemiology, biomarkers, imaging, biology, pathology, and technical advances related to medicine. Submissions describing preclinical research with potential for application to human disease, and studies describing research obtained from preliminary human experimentation with potential to further the understanding of biological mechanism underlying disease are encouraged. Also warmly welcome are studies describing public health research pertinent to clinic, disease diagnosis and prevention, or healthcare policy.
 With a focus on interdisciplinary academic cooperation, ATM aims to expedite the translation of scientific discovery into new or improved standards of management and health outcomes practice.
×
引用
GB/T 7714-2015
复制
MLA
复制
APA
复制
导出至
BibTeX EndNote RefMan NoteFirst NoteExpress
×
提示
您的信息不完整,为了账户安全,请先补充。
现在去补充
×
提示
您因"违规操作"
具体请查看互助需知
我知道了
×
提示
确定
请完成安全验证×
copy
已复制链接
快去分享给好友吧!
我知道了
右上角分享
点击右上角分享
0
联系我们:info@booksci.cn Book学术提供免费学术资源搜索服务,方便国内外学者检索中英文文献。致力于提供最便捷和优质的服务体验。 Copyright © 2023 布克学术 All rights reserved.
京ICP备2023020795号-1
ghs 京公网安备 11010802042870号
Book学术文献互助
Book学术文献互助群
群 号:604180095
Book学术官方微信