原发性全髋关节置换术后肌肉脂肪浸润影响短期行走速度。

IF 1.5
Progress in rehabilitation medicine Pub Date : 2025-03-15 eCollection Date: 2025-01-01 DOI:10.2490/prm.20250007
Atsushi Shinonaga, Hiromi Matsumoto, Mana Uekawa, Kengo Fujii, Hiroki Sato, Shuro Furuichi, Shigeru Mitani, Shigeharu Tanaka, Naoki Deguchi, Ryo Tanaka
{"title":"原发性全髋关节置换术后肌肉脂肪浸润影响短期行走速度。","authors":"Atsushi Shinonaga, Hiromi Matsumoto, Mana Uekawa, Kengo Fujii, Hiroki Sato, Shuro Furuichi, Shigeru Mitani, Shigeharu Tanaka, Naoki Deguchi, Ryo Tanaka","doi":"10.2490/prm.20250007","DOIUrl":null,"url":null,"abstract":"<p><strong>Objectives: </strong>This study aimed to determine the relationship between preoperative fatty infiltration of the lower extremity muscles and walking speed at 2 weeks after total hip arthroplasty (THA).</p><p><strong>Methods: </strong>This was a single-institution retrospective cohort study. Participants in this study were patients undergoing primary THA. Fatty infiltration in each muscle (bilateral psoas major, gluteus maximus, gluteus medius, gluteus minimus, quadriceps, and triceps surae) was assessed using non-contrast X-ray computed tomography images obtained during a detailed preoperative examination. The outcome of this study was the normal comfortable walking speed at 2 weeks after THA. Decreased walking speed was defined as less than 0.8 m/s (non-decreased group, coded 0; decreased group, coded 1). Multivariate logistic regression analysis was used to analyze the relationship between fatty infiltration of each skeletal muscle and walking speed.</p><p><strong>Results: </strong>A total of 168 participants were included in the analysis. On the operative side, the analysis identified fatty infiltration of the gluteus medius (odds ratio, 0.95; 95% confidence interval, 0.91-0.99) as a determinant of decreased walking speed after THA. On the nonoperative side, the analysis identified fatty infiltration of the quadriceps (odds ratio, 0.91; 95% confidence interval, 0.83-0.99) as a determinant of decreased walking speed after THA.</p><p><strong>Conclusions: </strong>In patients undergoing THA, increased fatty infiltration of the gluteus medius on the operative side and the quadriceps on the nonoperative side were associated with decreased walking speed at 2 weeks postoperatively.</p>","PeriodicalId":74584,"journal":{"name":"Progress in rehabilitation medicine","volume":"10 ","pages":"20250007"},"PeriodicalIF":1.5000,"publicationDate":"2025-03-15","publicationTypes":"Journal Article","fieldsOfStudy":null,"isOpenAccess":false,"openAccessPdf":"https://www.ncbi.nlm.nih.gov/pmc/articles/PMC11920832/pdf/","citationCount":"0","resultStr":"{\"title\":\"Fatty Infiltration of Muscles Influences Short-term Walking Speed after Primary Total Hip Arthroplasty.\",\"authors\":\"Atsushi Shinonaga, Hiromi Matsumoto, Mana Uekawa, Kengo Fujii, Hiroki Sato, Shuro Furuichi, Shigeru Mitani, Shigeharu Tanaka, Naoki Deguchi, Ryo Tanaka\",\"doi\":\"10.2490/prm.20250007\",\"DOIUrl\":null,\"url\":null,\"abstract\":\"<p><strong>Objectives: </strong>This study aimed to determine the relationship between preoperative fatty infiltration of the lower extremity muscles and walking speed at 2 weeks after total hip arthroplasty (THA).</p><p><strong>Methods: </strong>This was a single-institution retrospective cohort study. Participants in this study were patients undergoing primary THA. Fatty infiltration in each muscle (bilateral psoas major, gluteus maximus, gluteus medius, gluteus minimus, quadriceps, and triceps surae) was assessed using non-contrast X-ray computed tomography images obtained during a detailed preoperative examination. The outcome of this study was the normal comfortable walking speed at 2 weeks after THA. Decreased walking speed was defined as less than 0.8 m/s (non-decreased group, coded 0; decreased group, coded 1). Multivariate logistic regression analysis was used to analyze the relationship between fatty infiltration of each skeletal muscle and walking speed.</p><p><strong>Results: </strong>A total of 168 participants were included in the analysis. On the operative side, the analysis identified fatty infiltration of the gluteus medius (odds ratio, 0.95; 95% confidence interval, 0.91-0.99) as a determinant of decreased walking speed after THA. On the nonoperative side, the analysis identified fatty infiltration of the quadriceps (odds ratio, 0.91; 95% confidence interval, 0.83-0.99) as a determinant of decreased walking speed after THA.</p><p><strong>Conclusions: </strong>In patients undergoing THA, increased fatty infiltration of the gluteus medius on the operative side and the quadriceps on the nonoperative side were associated with decreased walking speed at 2 weeks postoperatively.</p>\",\"PeriodicalId\":74584,\"journal\":{\"name\":\"Progress in rehabilitation medicine\",\"volume\":\"10 \",\"pages\":\"20250007\"},\"PeriodicalIF\":1.5000,\"publicationDate\":\"2025-03-15\",\"publicationTypes\":\"Journal Article\",\"fieldsOfStudy\":null,\"isOpenAccess\":false,\"openAccessPdf\":\"https://www.ncbi.nlm.nih.gov/pmc/articles/PMC11920832/pdf/\",\"citationCount\":\"0\",\"resultStr\":null,\"platform\":\"Semanticscholar\",\"paperid\":null,\"PeriodicalName\":\"Progress in rehabilitation medicine\",\"FirstCategoryId\":\"1085\",\"ListUrlMain\":\"https://doi.org/10.2490/prm.20250007\",\"RegionNum\":0,\"RegionCategory\":null,\"ArticlePicture\":[],\"TitleCN\":null,\"AbstractTextCN\":null,\"PMCID\":null,\"EPubDate\":\"2025/1/1 0:00:00\",\"PubModel\":\"eCollection\",\"JCR\":\"\",\"JCRName\":\"\",\"Score\":null,\"Total\":0}","platform":"Semanticscholar","paperid":null,"PeriodicalName":"Progress in rehabilitation medicine","FirstCategoryId":"1085","ListUrlMain":"https://doi.org/10.2490/prm.20250007","RegionNum":0,"RegionCategory":null,"ArticlePicture":[],"TitleCN":null,"AbstractTextCN":null,"PMCID":null,"EPubDate":"2025/1/1 0:00:00","PubModel":"eCollection","JCR":"","JCRName":"","Score":null,"Total":0}
引用次数: 0

摘要

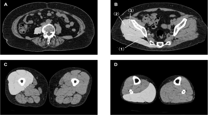
目的:本研究旨在确定术前下肢肌肉脂肪浸润与全髋关节置换术(THA)后2周行走速度的关系。方法:这是一项单机构回顾性队列研究。本研究的参与者为原发性THA患者。通过术前详细检查获得的非对比x线计算机断层扫描图像,评估每块肌肉(双侧腰肌、臀大肌、臀中肌、臀小肌、股四头肌和面三头肌)的脂肪浸润情况。本研究的结果是THA术后2周的正常舒适步行速度。步行速度下降定义为小于0.8 m/s(未下降组,编码0;减少组,编码1)。采用多因素logistic回归分析各骨骼肌脂肪浸润与步行速度的关系。结果:共有168名参与者被纳入分析。在手术侧,分析发现脂肪浸润臀中肌(优势比,0.95;95%可信区间,0.91-0.99)是THA后步行速度下降的决定因素。在非手术侧,分析发现股四头肌脂肪浸润(优势比,0.91;95%可信区间,0.83-0.99)是THA后步行速度下降的决定因素。结论:在接受THA的患者中,手术侧臀中肌和非手术侧股四头肌脂肪浸润增加与术后2周行走速度下降有关。
本文章由计算机程序翻译,如有差异,请以英文原文为准。

Fatty Infiltration of Muscles Influences Short-term Walking Speed after Primary Total Hip Arthroplasty.

Fatty Infiltration of Muscles Influences Short-term Walking Speed after Primary Total Hip Arthroplasty.

Fatty Infiltration of Muscles Influences Short-term Walking Speed after Primary Total Hip Arthroplasty.

Objectives: This study aimed to determine the relationship between preoperative fatty infiltration of the lower extremity muscles and walking speed at 2 weeks after total hip arthroplasty (THA).

Methods: This was a single-institution retrospective cohort study. Participants in this study were patients undergoing primary THA. Fatty infiltration in each muscle (bilateral psoas major, gluteus maximus, gluteus medius, gluteus minimus, quadriceps, and triceps surae) was assessed using non-contrast X-ray computed tomography images obtained during a detailed preoperative examination. The outcome of this study was the normal comfortable walking speed at 2 weeks after THA. Decreased walking speed was defined as less than 0.8 m/s (non-decreased group, coded 0; decreased group, coded 1). Multivariate logistic regression analysis was used to analyze the relationship between fatty infiltration of each skeletal muscle and walking speed.

Results: A total of 168 participants were included in the analysis. On the operative side, the analysis identified fatty infiltration of the gluteus medius (odds ratio, 0.95; 95% confidence interval, 0.91-0.99) as a determinant of decreased walking speed after THA. On the nonoperative side, the analysis identified fatty infiltration of the quadriceps (odds ratio, 0.91; 95% confidence interval, 0.83-0.99) as a determinant of decreased walking speed after THA.

Conclusions: In patients undergoing THA, increased fatty infiltration of the gluteus medius on the operative side and the quadriceps on the nonoperative side were associated with decreased walking speed at 2 weeks postoperatively.

求助全文
通过发布文献求助,成功后即可免费获取论文全文。 去求助
来源期刊
自引率
0.00%
发文量
0
×
引用
GB/T 7714-2015
复制
MLA
复制
APA
复制
导出至
BibTeX EndNote RefMan NoteFirst NoteExpress
×
提示
您的信息不完整,为了账户安全,请先补充。
现在去补充
×
提示
您因"违规操作"
具体请查看互助需知
我知道了
×
提示
确定
请完成安全验证×
copy
已复制链接
快去分享给好友吧!
我知道了
右上角分享
点击右上角分享
0
联系我们:info@booksci.cn Book学术提供免费学术资源搜索服务,方便国内外学者检索中英文文献。致力于提供最便捷和优质的服务体验。 Copyright © 2023 布克学术 All rights reserved.
京ICP备2023020795号-1
ghs 京公网安备 11010802042870号
Book学术文献互助
Book学术文献互助群
群 号:604180095
Book学术官方微信