侵袭性骨破坏性眼眶曲霉菌病在免疫功能正常的儿童:1例报告。

IF 2.3 Q1 OPHTHALMOLOGY
Seyed Mohsen Rafizadeh, Amir Mousavi, Mohammad Taher Rajabi, Amirhossein Aghajani, Zohreh Nozarian, Amin Zand
{"title":"侵袭性骨破坏性眼眶曲霉菌病在免疫功能正常的儿童:1例报告。","authors":"Seyed Mohsen Rafizadeh, Amir Mousavi, Mohammad Taher Rajabi, Amirhossein Aghajani, Zohreh Nozarian, Amin Zand","doi":"10.1186/s12348-025-00485-7","DOIUrl":null,"url":null,"abstract":"<p><strong>Purpose: </strong>To report a case of invasive sino-orbital aspergillosis, a rare condition in a healthy child. The patient presented with orbital involvement and bone destruction, an exceedingly uncommon occurrence that mimics other invasive inflammatory or neoplastic orbital lesions.</p><p><strong>Case presentation: </strong>A 4-year-old female presented with an ill-defined, irregular, erythematous mass-like lesion measuring 8 × 10 mm on the left upper eyelid. Orbital computed tomography (CT) revealed an infiltrative soft tissue mass with bone erosions and destruction on the medial side of the frontal bone, extending toward the fronto-maxillary suture in the anterior orbit. Except for the left anterior ethmoidal sinus, the other paranasal sinuses were nearly clear. Magnetic resonance imaging (MRI) showed enhancement of the adjacent dura mater near the site of bony erosion and lesion expansion. The lesion was surgically excised, with drainage of mucopurulent discharge. Pathological examination revealed necrotizing granulomatous inflammation and fungal hyphae, with Aspergillus fumigatus growth confirmed by culture. The patient was diagnosed with invasive orbital aspergillosis. She was treated with intravenous and then oral voriconazole, and there was no recurrence of the disease.</p><p><strong>Conclusions: </strong>Invasive orbital aspergillosis with bone destruction of the orbital walls can occur in immunocompetent individuals, including children, without any predisposing factors. It can mimic other invasive orbital diseases, leading to delayed diagnosis and treatment, which may result in life-threatening outcomes if intracranial spread occurs. Therefore, timely orbital biopsy of the lesions is crucial.</p>","PeriodicalId":16600,"journal":{"name":"Journal of Ophthalmic Inflammation and Infection","volume":"15 1","pages":"30"},"PeriodicalIF":2.3000,"publicationDate":"2025-03-19","publicationTypes":"Journal Article","fieldsOfStudy":null,"isOpenAccess":false,"openAccessPdf":"https://www.ncbi.nlm.nih.gov/pmc/articles/PMC11923318/pdf/","citationCount":"0","resultStr":"{\"title\":\"Invasive bony destructive orbital aspergillosis in an immunocompetent child: a case report.\",\"authors\":\"Seyed Mohsen Rafizadeh, Amir Mousavi, Mohammad Taher Rajabi, Amirhossein Aghajani, Zohreh Nozarian, Amin Zand\",\"doi\":\"10.1186/s12348-025-00485-7\",\"DOIUrl\":null,\"url\":null,\"abstract\":\"<p><strong>Purpose: </strong>To report a case of invasive sino-orbital aspergillosis, a rare condition in a healthy child. The patient presented with orbital involvement and bone destruction, an exceedingly uncommon occurrence that mimics other invasive inflammatory or neoplastic orbital lesions.</p><p><strong>Case presentation: </strong>A 4-year-old female presented with an ill-defined, irregular, erythematous mass-like lesion measuring 8 × 10 mm on the left upper eyelid. Orbital computed tomography (CT) revealed an infiltrative soft tissue mass with bone erosions and destruction on the medial side of the frontal bone, extending toward the fronto-maxillary suture in the anterior orbit. Except for the left anterior ethmoidal sinus, the other paranasal sinuses were nearly clear. Magnetic resonance imaging (MRI) showed enhancement of the adjacent dura mater near the site of bony erosion and lesion expansion. The lesion was surgically excised, with drainage of mucopurulent discharge. Pathological examination revealed necrotizing granulomatous inflammation and fungal hyphae, with Aspergillus fumigatus growth confirmed by culture. The patient was diagnosed with invasive orbital aspergillosis. She was treated with intravenous and then oral voriconazole, and there was no recurrence of the disease.</p><p><strong>Conclusions: </strong>Invasive orbital aspergillosis with bone destruction of the orbital walls can occur in immunocompetent individuals, including children, without any predisposing factors. It can mimic other invasive orbital diseases, leading to delayed diagnosis and treatment, which may result in life-threatening outcomes if intracranial spread occurs. Therefore, timely orbital biopsy of the lesions is crucial.</p>\",\"PeriodicalId\":16600,\"journal\":{\"name\":\"Journal of Ophthalmic Inflammation and Infection\",\"volume\":\"15 1\",\"pages\":\"30\"},\"PeriodicalIF\":2.3000,\"publicationDate\":\"2025-03-19\",\"publicationTypes\":\"Journal Article\",\"fieldsOfStudy\":null,\"isOpenAccess\":false,\"openAccessPdf\":\"https://www.ncbi.nlm.nih.gov/pmc/articles/PMC11923318/pdf/\",\"citationCount\":\"0\",\"resultStr\":null,\"platform\":\"Semanticscholar\",\"paperid\":null,\"PeriodicalName\":\"Journal of Ophthalmic Inflammation and Infection\",\"FirstCategoryId\":\"1085\",\"ListUrlMain\":\"https://doi.org/10.1186/s12348-025-00485-7\",\"RegionNum\":0,\"RegionCategory\":null,\"ArticlePicture\":[],\"TitleCN\":null,\"AbstractTextCN\":null,\"PMCID\":null,\"EPubDate\":\"\",\"PubModel\":\"\",\"JCR\":\"Q1\",\"JCRName\":\"OPHTHALMOLOGY\",\"Score\":null,\"Total\":0}","platform":"Semanticscholar","paperid":null,"PeriodicalName":"Journal of Ophthalmic Inflammation and Infection","FirstCategoryId":"1085","ListUrlMain":"https://doi.org/10.1186/s12348-025-00485-7","RegionNum":0,"RegionCategory":null,"ArticlePicture":[],"TitleCN":null,"AbstractTextCN":null,"PMCID":null,"EPubDate":"","PubModel":"","JCR":"Q1","JCRName":"OPHTHALMOLOGY","Score":null,"Total":0}
引用次数: 0

摘要

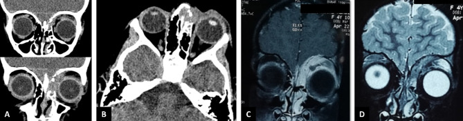
目的:报告一例在健康儿童中罕见的侵袭性眼眶曲霉病。患者表现为眼眶受累和骨破坏,这是一种非常罕见的情况,类似于其他侵袭性炎症或肿瘤眼眶病变。病例表现:一名4岁女性,左上眼睑有一模糊、不规则的红斑肿块样病变,大小为8 × 10 mm。眼眶计算机断层扫描(CT)显示一浸润性软组织肿块伴骨侵蚀和破坏,位于额骨内侧,向眶前额颌缝处延伸。除左侧筛前窦外,其他鼻窦基本清晰。磁共振成像(MRI)显示邻近硬脑膜增强附近的骨侵蚀和病变扩大。手术切除病变,排出粘液化脓性分泌物。病理检查发现坏死性肉芽肿性炎症和真菌菌丝,培养证实烟曲霉生长。患者被诊断为侵袭性眼眶曲霉病。经静脉滴注后口服伏立康唑治疗,无复发。结论:侵袭性眼眶曲霉病伴眼眶壁骨破坏可发生在免疫能力强的个体,包括儿童,没有任何易感因素。它可以模仿其他侵袭性眼眶疾病,导致诊断和治疗延迟,如果发生颅内扩散,可能导致危及生命的结果。因此,及时对眼眶病变进行活检至关重要。
本文章由计算机程序翻译,如有差异,请以英文原文为准。

Invasive bony destructive orbital aspergillosis in an immunocompetent child: a case report.

Invasive bony destructive orbital aspergillosis in an immunocompetent child: a case report.

Invasive bony destructive orbital aspergillosis in an immunocompetent child: a case report.

Invasive bony destructive orbital aspergillosis in an immunocompetent child: a case report.

Purpose: To report a case of invasive sino-orbital aspergillosis, a rare condition in a healthy child. The patient presented with orbital involvement and bone destruction, an exceedingly uncommon occurrence that mimics other invasive inflammatory or neoplastic orbital lesions.

Case presentation: A 4-year-old female presented with an ill-defined, irregular, erythematous mass-like lesion measuring 8 × 10 mm on the left upper eyelid. Orbital computed tomography (CT) revealed an infiltrative soft tissue mass with bone erosions and destruction on the medial side of the frontal bone, extending toward the fronto-maxillary suture in the anterior orbit. Except for the left anterior ethmoidal sinus, the other paranasal sinuses were nearly clear. Magnetic resonance imaging (MRI) showed enhancement of the adjacent dura mater near the site of bony erosion and lesion expansion. The lesion was surgically excised, with drainage of mucopurulent discharge. Pathological examination revealed necrotizing granulomatous inflammation and fungal hyphae, with Aspergillus fumigatus growth confirmed by culture. The patient was diagnosed with invasive orbital aspergillosis. She was treated with intravenous and then oral voriconazole, and there was no recurrence of the disease.

Conclusions: Invasive orbital aspergillosis with bone destruction of the orbital walls can occur in immunocompetent individuals, including children, without any predisposing factors. It can mimic other invasive orbital diseases, leading to delayed diagnosis and treatment, which may result in life-threatening outcomes if intracranial spread occurs. Therefore, timely orbital biopsy of the lesions is crucial.

求助全文
通过发布文献求助,成功后即可免费获取论文全文。 去求助
来源期刊
CiteScore
3.80
自引率
3.40%
发文量
39
审稿时长
13 weeks
×
引用
GB/T 7714-2015
复制
MLA
复制
APA
复制
导出至
BibTeX EndNote RefMan NoteFirst NoteExpress
×
提示
您的信息不完整,为了账户安全,请先补充。
现在去补充
×
提示
您因"违规操作"
具体请查看互助需知
我知道了
×
提示
确定
请完成安全验证×
copy
已复制链接
快去分享给好友吧!
我知道了
右上角分享
点击右上角分享
0
联系我们:info@booksci.cn Book学术提供免费学术资源搜索服务,方便国内外学者检索中英文文献。致力于提供最便捷和优质的服务体验。 Copyright © 2023 布克学术 All rights reserved.
京ICP备2023020795号-1
ghs 京公网安备 11010802042870号
Book学术文献互助
Book学术文献互助群
群 号:604180095
Book学术官方微信