小鼠皮下植入纤维素/海藻酸盐/磷灰石锶膜的毒性、局部生物相容性、生物降解和全身代谢评价。

IF 1.3
Acta cirurgica brasileira Pub Date : 2025-03-14 eCollection Date: 2025-01-01 DOI:10.1590/acb401925
Juliana Dantas da Costa, Erika Iara de Souza Araújo, Juan Feliphe Silva de Castro, Tamiris Bezerra Costa, Érika Patrícia Chagas Gomes Luz, Rodrigo Silveira Vieira, Igor Iuco Castro-Silva
{"title":"小鼠皮下植入纤维素/海藻酸盐/磷灰石锶膜的毒性、局部生物相容性、生物降解和全身代谢评价。","authors":"Juliana Dantas da Costa, Erika Iara de Souza Araújo, Juan Feliphe Silva de Castro, Tamiris Bezerra Costa, Érika Patrícia Chagas Gomes Luz, Rodrigo Silveira Vieira, Igor Iuco Castro-Silva","doi":"10.1590/acb401925","DOIUrl":null,"url":null,"abstract":"<p><strong>Purpose: </strong>To evaluate membranes originating from pure or oxidized bacterial cellulose (BC)/alginate/strontium apatite hydrogels regarding toxicity, biocompatibility, biodegradation and metabolism.</p><p><strong>Methods: </strong>The toxicity was measured by incubating the materials with Artemia salina for 24 h, and mortality and the 50% lethal concentration were determined in comparison to potassium dichromate by Probit analysis. Local biocompatibility and biodegradation were evaluated by subcutaneous assay in 75 Swiss mice; the test groups were compared to sham and collagen membrane at one, three and nine weeks. The histopathology of tissue irritation followed the ISO 10993-6 standard, and the integrity of the biomaterials scored by quartiles. Metabolic analysis of relative weight and the intensity of catalase, iodine and nitrite were carried out for liver, kidneys and tibias of the tested animals.</p><p><strong>Results: </strong>All cellulose-based materials were nontoxic, biocompatible, and none presented nitrosative stress. The oxidized BC was more resorbable, and the non-oxidized BC had greater renal biochemical reactivity.</p><p><strong>Conclusion: </strong>The membranes suggest applicability as regenerative barriers. However, long-term studies in bone defects are necessary to elucidate their osteopromoting efficiency.</p>","PeriodicalId":93850,"journal":{"name":"Acta cirurgica brasileira","volume":"40 ","pages":"e401925"},"PeriodicalIF":1.3000,"publicationDate":"2025-03-14","publicationTypes":"Journal Article","fieldsOfStudy":null,"isOpenAccess":false,"openAccessPdf":"https://www.ncbi.nlm.nih.gov/pmc/articles/PMC11908739/pdf/","citationCount":"0","resultStr":"{\"title\":\"Evaluation of toxicity, local biocompatibility, biodegradation, and systemic metabolism of cellulose/alginate/strontium apatite membranes implanted subcutaneously in mice.\",\"authors\":\"Juliana Dantas da Costa, Erika Iara de Souza Araújo, Juan Feliphe Silva de Castro, Tamiris Bezerra Costa, Érika Patrícia Chagas Gomes Luz, Rodrigo Silveira Vieira, Igor Iuco Castro-Silva\",\"doi\":\"10.1590/acb401925\",\"DOIUrl\":null,\"url\":null,\"abstract\":\"<p><strong>Purpose: </strong>To evaluate membranes originating from pure or oxidized bacterial cellulose (BC)/alginate/strontium apatite hydrogels regarding toxicity, biocompatibility, biodegradation and metabolism.</p><p><strong>Methods: </strong>The toxicity was measured by incubating the materials with Artemia salina for 24 h, and mortality and the 50% lethal concentration were determined in comparison to potassium dichromate by Probit analysis. Local biocompatibility and biodegradation were evaluated by subcutaneous assay in 75 Swiss mice; the test groups were compared to sham and collagen membrane at one, three and nine weeks. The histopathology of tissue irritation followed the ISO 10993-6 standard, and the integrity of the biomaterials scored by quartiles. Metabolic analysis of relative weight and the intensity of catalase, iodine and nitrite were carried out for liver, kidneys and tibias of the tested animals.</p><p><strong>Results: </strong>All cellulose-based materials were nontoxic, biocompatible, and none presented nitrosative stress. The oxidized BC was more resorbable, and the non-oxidized BC had greater renal biochemical reactivity.</p><p><strong>Conclusion: </strong>The membranes suggest applicability as regenerative barriers. However, long-term studies in bone defects are necessary to elucidate their osteopromoting efficiency.</p>\",\"PeriodicalId\":93850,\"journal\":{\"name\":\"Acta cirurgica brasileira\",\"volume\":\"40 \",\"pages\":\"e401925\"},\"PeriodicalIF\":1.3000,\"publicationDate\":\"2025-03-14\",\"publicationTypes\":\"Journal Article\",\"fieldsOfStudy\":null,\"isOpenAccess\":false,\"openAccessPdf\":\"https://www.ncbi.nlm.nih.gov/pmc/articles/PMC11908739/pdf/\",\"citationCount\":\"0\",\"resultStr\":null,\"platform\":\"Semanticscholar\",\"paperid\":null,\"PeriodicalName\":\"Acta cirurgica brasileira\",\"FirstCategoryId\":\"1085\",\"ListUrlMain\":\"https://doi.org/10.1590/acb401925\",\"RegionNum\":0,\"RegionCategory\":null,\"ArticlePicture\":[],\"TitleCN\":null,\"AbstractTextCN\":null,\"PMCID\":null,\"EPubDate\":\"2025/1/1 0:00:00\",\"PubModel\":\"eCollection\",\"JCR\":\"\",\"JCRName\":\"\",\"Score\":null,\"Total\":0}","platform":"Semanticscholar","paperid":null,"PeriodicalName":"Acta cirurgica brasileira","FirstCategoryId":"1085","ListUrlMain":"https://doi.org/10.1590/acb401925","RegionNum":0,"RegionCategory":null,"ArticlePicture":[],"TitleCN":null,"AbstractTextCN":null,"PMCID":null,"EPubDate":"2025/1/1 0:00:00","PubModel":"eCollection","JCR":"","JCRName":"","Score":null,"Total":0}
引用次数: 0

摘要

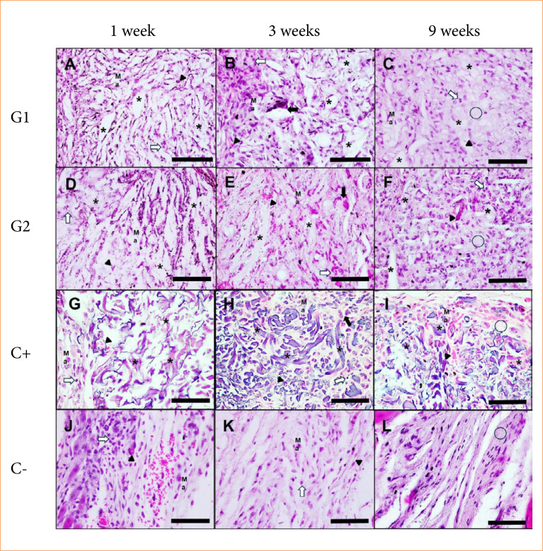
目的:评价纯或氧化细菌纤维素/海藻酸盐/磷灰石锶水凝胶膜的毒性、生物相容性、生物降解和代谢。方法:用盐蒿孵育24 h测定毒性,用Probit法测定致死率和50%致死浓度,并与重铬酸钾进行比较。采用皮下法评价75只瑞士小鼠的局部生物相容性和生物降解性;实验组在第1周、第3周和第9周与假手术组和胶原膜组进行比较。组织刺激的组织病理学符合ISO 10993-6标准,生物材料的完整性按四分位数评分。对实验动物的肝脏、肾脏和胫骨进行相对体重和过氧化氢酶、碘和亚硝酸盐浓度的代谢分析。结果:所有纤维素基材料均无毒,具有生物相容性,无亚硝化应激。氧化的BC更易被吸收,而未氧化的BC具有更大的肾脏生化反应性。结论:该膜可作为再生屏障。然而,需要对骨缺损的长期研究来阐明其促骨作用。
本文章由计算机程序翻译,如有差异,请以英文原文为准。

Evaluation of toxicity, local biocompatibility, biodegradation, and systemic metabolism of cellulose/alginate/strontium apatite membranes implanted subcutaneously in mice.

Evaluation of toxicity, local biocompatibility, biodegradation, and systemic metabolism of cellulose/alginate/strontium apatite membranes implanted subcutaneously in mice.

Evaluation of toxicity, local biocompatibility, biodegradation, and systemic metabolism of cellulose/alginate/strontium apatite membranes implanted subcutaneously in mice.

Evaluation of toxicity, local biocompatibility, biodegradation, and systemic metabolism of cellulose/alginate/strontium apatite membranes implanted subcutaneously in mice.

Purpose: To evaluate membranes originating from pure or oxidized bacterial cellulose (BC)/alginate/strontium apatite hydrogels regarding toxicity, biocompatibility, biodegradation and metabolism.

Methods: The toxicity was measured by incubating the materials with Artemia salina for 24 h, and mortality and the 50% lethal concentration were determined in comparison to potassium dichromate by Probit analysis. Local biocompatibility and biodegradation were evaluated by subcutaneous assay in 75 Swiss mice; the test groups were compared to sham and collagen membrane at one, three and nine weeks. The histopathology of tissue irritation followed the ISO 10993-6 standard, and the integrity of the biomaterials scored by quartiles. Metabolic analysis of relative weight and the intensity of catalase, iodine and nitrite were carried out for liver, kidneys and tibias of the tested animals.

Results: All cellulose-based materials were nontoxic, biocompatible, and none presented nitrosative stress. The oxidized BC was more resorbable, and the non-oxidized BC had greater renal biochemical reactivity.

Conclusion: The membranes suggest applicability as regenerative barriers. However, long-term studies in bone defects are necessary to elucidate their osteopromoting efficiency.

求助全文
通过发布文献求助,成功后即可免费获取论文全文。 去求助
来源期刊
自引率
0.00%
发文量
0
×
引用
GB/T 7714-2015
复制
MLA
复制
APA
复制
导出至
BibTeX EndNote RefMan NoteFirst NoteExpress
×
提示
您的信息不完整,为了账户安全,请先补充。
现在去补充
×
提示
您因"违规操作"
具体请查看互助需知
我知道了
×
提示
确定
请完成安全验证×
copy
已复制链接
快去分享给好友吧!
我知道了
右上角分享
点击右上角分享
0
联系我们:info@booksci.cn Book学术提供免费学术资源搜索服务,方便国内外学者检索中英文文献。致力于提供最便捷和优质的服务体验。 Copyright © 2023 布克学术 All rights reserved.
京ICP备2023020795号-1
ghs 京公网安备 11010802042870号
Book学术文献互助
Book学术文献互助群
群 号:604180095
Book学术官方微信