半剂量和三分之一剂量光动力治疗慢性中枢性浆液性脉络膜视网膜病变的比较疗效:一项回顾性研究。

IF 2.4 Q2 OPHTHALMOLOGY
Mohsen Farvardin, Dorna Eghtedari, Maryam Shahmohammadi, Mohammadkarim Johari
{"title":"半剂量和三分之一剂量光动力治疗慢性中枢性浆液性脉络膜视网膜病变的比较疗效:一项回顾性研究。","authors":"Mohsen Farvardin, Dorna Eghtedari, Maryam Shahmohammadi, Mohammadkarim Johari","doi":"10.1186/s40942-025-00657-6","DOIUrl":null,"url":null,"abstract":"<p><strong>Purpose: </strong>To compare the efficacy and safety of half-dose and one-third-dose photodynamic therapy (PDT) with verteporfin in patients with chronic central serous chorioretinopathy (CSC).</p><p><strong>Methods: </strong>This retrospective study included 72 eyes from 72 patients with chronic CSC treated with either one-third-dose (2 mg/m²) or half-dose (3 mg/m²) PDT. Best-corrected visual acuity (BCVA), central retinal thickness (CRT), subretinal fluid (SRF) thickness, subfoveal choroidal thickness (SFCT), and optical coherence tomography (OCT) features were evaluated at baseline, 3 months, and 12 months. Fluorescein angiography (FA) was used to guide laser application. Treatment outcomes, including SRF resolution, BCVA gain, and recurrence rates, were compared between the two groups.</p><p><strong>Results: </strong>At 12 months, complete SRF resolution was achieved in 40 eyes (78.4%) in the half-dose group and 15 eyes (71.4%) in the one-third-dose group. The recurrence rate of SRF was significantly higher in the one-third-dose group (20%) compared to the half-dose group (7.5%) (P =.015). BCVA improved significantly in both groups, with mean increases from 72.4 ± 3.9 to 77.1 ± 5.6 letters in the one-third-dose group and from 74.4 ± 4.2 to 80.2 ± 2.19 letters in the half-dose group. The proportion of patients achieving a ≥ 10-letter gain was higher in the half-dose group (52%) compared to the one-third-dose group (28.5%, P =.001). Both groups exhibited significant reductions in CRT, SRF thickness, and SFCT (P <.001), with no significant intergroup differences. Baseline CRT and fluorescein leakage patterns influenced treatment response.</p><p><strong>Conclusions: </strong>Both one-third-dose and half-dose PDT effectively improved visual and anatomical outcomes in patients with chronic CSC. However, half-dose PDT demonstrated superior efficacy in achieving SRF resolution and greater visual acuity gains with a lower recurrence rate.</p><p><strong>Clinical trial number: </strong>Not applicable.</p>","PeriodicalId":14289,"journal":{"name":"International Journal of Retina and Vitreous","volume":"11 1","pages":"32"},"PeriodicalIF":2.4000,"publicationDate":"2025-03-18","publicationTypes":"Journal Article","fieldsOfStudy":null,"isOpenAccess":false,"openAccessPdf":"https://www.ncbi.nlm.nih.gov/pmc/articles/PMC11921750/pdf/","citationCount":"0","resultStr":"{\"title\":\"Comparative efficacy of half-dose and one-third-dose photodynamic therapy in chronic central serous chorioretinopathy: a retrospective study.\",\"authors\":\"Mohsen Farvardin, Dorna Eghtedari, Maryam Shahmohammadi, Mohammadkarim Johari\",\"doi\":\"10.1186/s40942-025-00657-6\",\"DOIUrl\":null,\"url\":null,\"abstract\":\"<p><strong>Purpose: </strong>To compare the efficacy and safety of half-dose and one-third-dose photodynamic therapy (PDT) with verteporfin in patients with chronic central serous chorioretinopathy (CSC).</p><p><strong>Methods: </strong>This retrospective study included 72 eyes from 72 patients with chronic CSC treated with either one-third-dose (2 mg/m²) or half-dose (3 mg/m²) PDT. Best-corrected visual acuity (BCVA), central retinal thickness (CRT), subretinal fluid (SRF) thickness, subfoveal choroidal thickness (SFCT), and optical coherence tomography (OCT) features were evaluated at baseline, 3 months, and 12 months. Fluorescein angiography (FA) was used to guide laser application. Treatment outcomes, including SRF resolution, BCVA gain, and recurrence rates, were compared between the two groups.</p><p><strong>Results: </strong>At 12 months, complete SRF resolution was achieved in 40 eyes (78.4%) in the half-dose group and 15 eyes (71.4%) in the one-third-dose group. The recurrence rate of SRF was significantly higher in the one-third-dose group (20%) compared to the half-dose group (7.5%) (P =.015). BCVA improved significantly in both groups, with mean increases from 72.4 ± 3.9 to 77.1 ± 5.6 letters in the one-third-dose group and from 74.4 ± 4.2 to 80.2 ± 2.19 letters in the half-dose group. The proportion of patients achieving a ≥ 10-letter gain was higher in the half-dose group (52%) compared to the one-third-dose group (28.5%, P =.001). Both groups exhibited significant reductions in CRT, SRF thickness, and SFCT (P <.001), with no significant intergroup differences. Baseline CRT and fluorescein leakage patterns influenced treatment response.</p><p><strong>Conclusions: </strong>Both one-third-dose and half-dose PDT effectively improved visual and anatomical outcomes in patients with chronic CSC. However, half-dose PDT demonstrated superior efficacy in achieving SRF resolution and greater visual acuity gains with a lower recurrence rate.</p><p><strong>Clinical trial number: </strong>Not applicable.</p>\",\"PeriodicalId\":14289,\"journal\":{\"name\":\"International Journal of Retina and Vitreous\",\"volume\":\"11 1\",\"pages\":\"32\"},\"PeriodicalIF\":2.4000,\"publicationDate\":\"2025-03-18\",\"publicationTypes\":\"Journal Article\",\"fieldsOfStudy\":null,\"isOpenAccess\":false,\"openAccessPdf\":\"https://www.ncbi.nlm.nih.gov/pmc/articles/PMC11921750/pdf/\",\"citationCount\":\"0\",\"resultStr\":null,\"platform\":\"Semanticscholar\",\"paperid\":null,\"PeriodicalName\":\"International Journal of Retina and Vitreous\",\"FirstCategoryId\":\"1085\",\"ListUrlMain\":\"https://doi.org/10.1186/s40942-025-00657-6\",\"RegionNum\":0,\"RegionCategory\":null,\"ArticlePicture\":[],\"TitleCN\":null,\"AbstractTextCN\":null,\"PMCID\":null,\"EPubDate\":\"\",\"PubModel\":\"\",\"JCR\":\"Q2\",\"JCRName\":\"OPHTHALMOLOGY\",\"Score\":null,\"Total\":0}","platform":"Semanticscholar","paperid":null,"PeriodicalName":"International Journal of Retina and Vitreous","FirstCategoryId":"1085","ListUrlMain":"https://doi.org/10.1186/s40942-025-00657-6","RegionNum":0,"RegionCategory":null,"ArticlePicture":[],"TitleCN":null,"AbstractTextCN":null,"PMCID":null,"EPubDate":"","PubModel":"","JCR":"Q2","JCRName":"OPHTHALMOLOGY","Score":null,"Total":0}
引用次数: 0

摘要

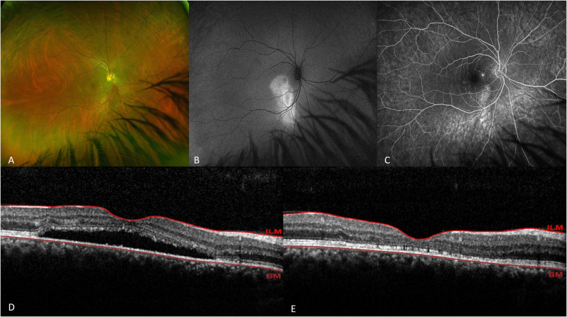
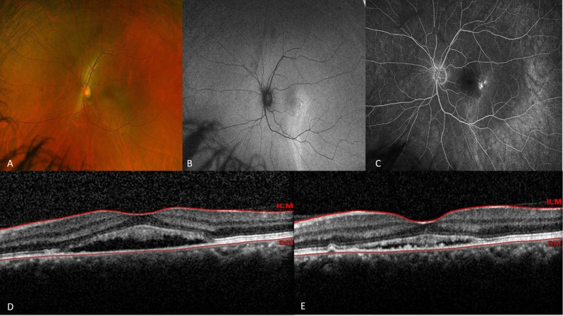
目的:比较维替泊芬半剂量和三剂量光动力疗法(PDT)治疗慢性中枢性浆液性脉络膜视网膜病变(CSC)的疗效和安全性。方法:本回顾性研究包括72例慢性CSC患者的72只眼,分别接受三分之一剂量(2mg /m²)或半剂量(3mg /m²)PDT治疗。在基线、3个月和12个月时评估最佳矫正视力(BCVA)、视网膜中央厚度(CRT)、视网膜下液(SRF)厚度、中央凹下脉络膜厚度(SFCT)和光学相干断层扫描(OCT)特征。荧光素血管造影(FA)指导激光应用。比较两组患者的治疗结果,包括SRF缓解、BCVA增加和复发率。结果:12个月时,半剂量组40只眼(78.4%)SRF完全消退,1 / 3剂量组15只眼(71.4%)SRF完全消退。1 / 3剂量组SRF复发率(20%)明显高于半剂量组(7.5%)(P = 0.015)。两组患者BCVA均有显著改善,1 / 3剂量组BCVA平均从72.4±3.9个字母增加到77.1±5.6个字母,半剂量组BCVA平均从74.4±4.2个字母增加到80.2±2.19个字母。半剂量组获得≥10个字母增益的患者比例(52%)高于三剂量组(28.5%,P =.001)。两组患者的CRT、SRF厚度和SFCT均有显著降低(P结论:三分之一剂量和半剂量PDT均能有效改善慢性CSC患者的视觉和解剖结果。然而,半剂量PDT在实现SRF分辨率和更大的视力改善方面表现出更好的疗效,复发率更低。临床试验号:不适用。
本文章由计算机程序翻译,如有差异,请以英文原文为准。

Comparative efficacy of half-dose and one-third-dose photodynamic therapy in chronic central serous chorioretinopathy: a retrospective study.

Comparative efficacy of half-dose and one-third-dose photodynamic therapy in chronic central serous chorioretinopathy: a retrospective study.

Comparative efficacy of half-dose and one-third-dose photodynamic therapy in chronic central serous chorioretinopathy: a retrospective study.

Comparative efficacy of half-dose and one-third-dose photodynamic therapy in chronic central serous chorioretinopathy: a retrospective study.

Purpose: To compare the efficacy and safety of half-dose and one-third-dose photodynamic therapy (PDT) with verteporfin in patients with chronic central serous chorioretinopathy (CSC).

Methods: This retrospective study included 72 eyes from 72 patients with chronic CSC treated with either one-third-dose (2 mg/m²) or half-dose (3 mg/m²) PDT. Best-corrected visual acuity (BCVA), central retinal thickness (CRT), subretinal fluid (SRF) thickness, subfoveal choroidal thickness (SFCT), and optical coherence tomography (OCT) features were evaluated at baseline, 3 months, and 12 months. Fluorescein angiography (FA) was used to guide laser application. Treatment outcomes, including SRF resolution, BCVA gain, and recurrence rates, were compared between the two groups.

Results: At 12 months, complete SRF resolution was achieved in 40 eyes (78.4%) in the half-dose group and 15 eyes (71.4%) in the one-third-dose group. The recurrence rate of SRF was significantly higher in the one-third-dose group (20%) compared to the half-dose group (7.5%) (P =.015). BCVA improved significantly in both groups, with mean increases from 72.4 ± 3.9 to 77.1 ± 5.6 letters in the one-third-dose group and from 74.4 ± 4.2 to 80.2 ± 2.19 letters in the half-dose group. The proportion of patients achieving a ≥ 10-letter gain was higher in the half-dose group (52%) compared to the one-third-dose group (28.5%, P =.001). Both groups exhibited significant reductions in CRT, SRF thickness, and SFCT (P <.001), with no significant intergroup differences. Baseline CRT and fluorescein leakage patterns influenced treatment response.

Conclusions: Both one-third-dose and half-dose PDT effectively improved visual and anatomical outcomes in patients with chronic CSC. However, half-dose PDT demonstrated superior efficacy in achieving SRF resolution and greater visual acuity gains with a lower recurrence rate.

Clinical trial number: Not applicable.

求助全文
通过发布文献求助,成功后即可免费获取论文全文。 去求助
来源期刊
CiteScore
3.50
自引率
4.30%
发文量
81
审稿时长
19 weeks
期刊介绍: International Journal of Retina and Vitreous focuses on the ophthalmic subspecialty of vitreoretinal disorders. The journal presents original articles on new approaches to diagnosis, outcomes of clinical trials, innovations in pharmacological therapy and surgical techniques, as well as basic science advances that impact clinical practice. Topical areas include, but are not limited to: -Imaging of the retina, choroid and vitreous -Innovations in optical coherence tomography (OCT) -Small-gauge vitrectomy, retinal detachment, chromovitrectomy -Electroretinography (ERG), microperimetry, other functional tests -Intraocular tumors -Retinal pharmacotherapy & drug delivery -Diabetic retinopathy & other vascular diseases -Age-related macular degeneration (AMD) & other macular entities
×
引用
GB/T 7714-2015
复制
MLA
复制
APA
复制
导出至
BibTeX EndNote RefMan NoteFirst NoteExpress
×
提示
您的信息不完整,为了账户安全,请先补充。
现在去补充
×
提示
您因"违规操作"
具体请查看互助需知
我知道了
×
提示
确定
请完成安全验证×
copy
已复制链接
快去分享给好友吧!
我知道了
右上角分享
点击右上角分享
0
联系我们:info@booksci.cn Book学术提供免费学术资源搜索服务,方便国内外学者检索中英文文献。致力于提供最便捷和优质的服务体验。 Copyright © 2023 布克学术 All rights reserved.
京ICP备2023020795号-1
ghs 京公网安备 11010802042870号
Book学术文献互助
Book学术文献互助群
群 号:604180095
Book学术官方微信