早期帕金森病的结膜印模细胞学和泪膜分析。

IF 1.4 4区 医学 Q3 OPHTHALMOLOGY
European Journal of Ophthalmology Pub Date : 2025-09-01 Epub Date: 2025-03-19 DOI:10.1177/11206721251330472
Ali Tezcan, Refik Oltulu, Pembe Oltulu, Ali Osman Gundogan, Selman Belviranli
{"title":"早期帕金森病的结膜印模细胞学和泪膜分析。","authors":"Ali Tezcan, Refik Oltulu, Pembe Oltulu, Ali Osman Gundogan, Selman Belviranli","doi":"10.1177/11206721251330472","DOIUrl":null,"url":null,"abstract":"<p><p>PurposeWe aimed to evaluate conjunctival impression cytology (CIC) findings, tear parameters, and ocular surface in early-stage Parkinson's patients and compare the results with the control group.MethodsThis cross-sectional comparative study included 49 early-stage Parkinson's Disease (PD) patients and 45 healthy individuals as a control group. Clinical staging of Parkinson's patients was performed according to the Hoehn-Yahr Scale. Those with stages 1 and 2 were defined as early-stage PD. Ocular surface disease index (OSDI) questionnaire, tear breakup time (TBUT), Schirmer test, and CIC were applied to the patient and control groups.ResultsThere was no significant difference between the two groups in terms of mean age and gender (<i>p</i> = 0.606, <i>p</i> = 0.357, respectively). Schirmer test and TBUT results in the PD group were significantly lower compared to the control group (<i>p</i> < 0.001, <i>p</i> < 0.001). Meanwhile, the OSDI score and CIC stage of the PD group were significantly higher than that of the control group (<i>p</i> < 0.001, <i>p</i> < 0.001).ConclusionsIn early-stage PD, decreased TBUT and Schirmer test values, conjunctival goblet cell loss, and squamous metaplasia development indicate that the ocular surface is affected. Early diagnosis of dry eye in Parkinson's patients is important for preventing complications such as ocular surface damage and visual disturbances.</p>","PeriodicalId":12000,"journal":{"name":"European Journal of Ophthalmology","volume":" ","pages":"1621-1626"},"PeriodicalIF":1.4000,"publicationDate":"2025-09-01","publicationTypes":"Journal Article","fieldsOfStudy":null,"isOpenAccess":false,"openAccessPdf":"https://www.ncbi.nlm.nih.gov/pmc/articles/PMC12381395/pdf/","citationCount":"0","resultStr":"{\"title\":\"Conjunctival impression cytology and tear film analysis in early-stage Parkinson's disease.\",\"authors\":\"Ali Tezcan, Refik Oltulu, Pembe Oltulu, Ali Osman Gundogan, Selman Belviranli\",\"doi\":\"10.1177/11206721251330472\",\"DOIUrl\":null,\"url\":null,\"abstract\":\"<p><p>PurposeWe aimed to evaluate conjunctival impression cytology (CIC) findings, tear parameters, and ocular surface in early-stage Parkinson's patients and compare the results with the control group.MethodsThis cross-sectional comparative study included 49 early-stage Parkinson's Disease (PD) patients and 45 healthy individuals as a control group. Clinical staging of Parkinson's patients was performed according to the Hoehn-Yahr Scale. Those with stages 1 and 2 were defined as early-stage PD. Ocular surface disease index (OSDI) questionnaire, tear breakup time (TBUT), Schirmer test, and CIC were applied to the patient and control groups.ResultsThere was no significant difference between the two groups in terms of mean age and gender (<i>p</i> = 0.606, <i>p</i> = 0.357, respectively). Schirmer test and TBUT results in the PD group were significantly lower compared to the control group (<i>p</i> < 0.001, <i>p</i> < 0.001). Meanwhile, the OSDI score and CIC stage of the PD group were significantly higher than that of the control group (<i>p</i> < 0.001, <i>p</i> < 0.001).ConclusionsIn early-stage PD, decreased TBUT and Schirmer test values, conjunctival goblet cell loss, and squamous metaplasia development indicate that the ocular surface is affected. Early diagnosis of dry eye in Parkinson's patients is important for preventing complications such as ocular surface damage and visual disturbances.</p>\",\"PeriodicalId\":12000,\"journal\":{\"name\":\"European Journal of Ophthalmology\",\"volume\":\" \",\"pages\":\"1621-1626\"},\"PeriodicalIF\":1.4000,\"publicationDate\":\"2025-09-01\",\"publicationTypes\":\"Journal Article\",\"fieldsOfStudy\":null,\"isOpenAccess\":false,\"openAccessPdf\":\"https://www.ncbi.nlm.nih.gov/pmc/articles/PMC12381395/pdf/\",\"citationCount\":\"0\",\"resultStr\":null,\"platform\":\"Semanticscholar\",\"paperid\":null,\"PeriodicalName\":\"European Journal of Ophthalmology\",\"FirstCategoryId\":\"3\",\"ListUrlMain\":\"https://doi.org/10.1177/11206721251330472\",\"RegionNum\":4,\"RegionCategory\":\"医学\",\"ArticlePicture\":[],\"TitleCN\":null,\"AbstractTextCN\":null,\"PMCID\":null,\"EPubDate\":\"2025/3/19 0:00:00\",\"PubModel\":\"Epub\",\"JCR\":\"Q3\",\"JCRName\":\"OPHTHALMOLOGY\",\"Score\":null,\"Total\":0}","platform":"Semanticscholar","paperid":null,"PeriodicalName":"European Journal of Ophthalmology","FirstCategoryId":"3","ListUrlMain":"https://doi.org/10.1177/11206721251330472","RegionNum":4,"RegionCategory":"医学","ArticlePicture":[],"TitleCN":null,"AbstractTextCN":null,"PMCID":null,"EPubDate":"2025/3/19 0:00:00","PubModel":"Epub","JCR":"Q3","JCRName":"OPHTHALMOLOGY","Score":null,"Total":0}
引用次数: 0

摘要

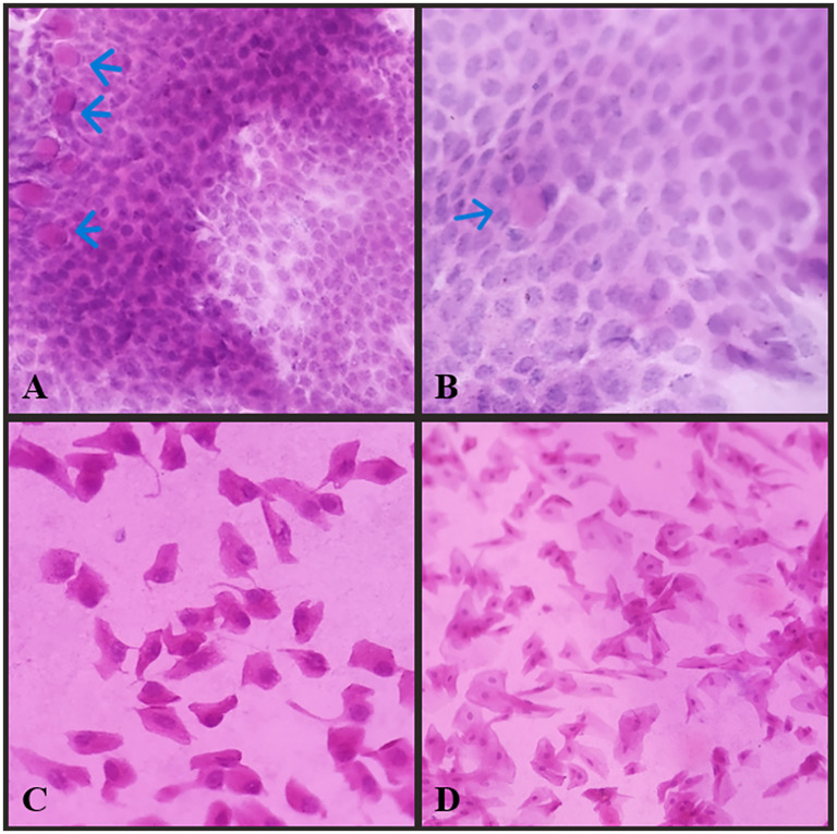
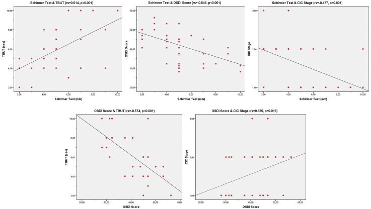
目的评价早期帕金森病患者的结膜印象细胞学(CIC)检查结果、泪液参数和眼表,并与对照组进行比较。方法采用横断面对比研究方法,选取49例早期帕金森病(PD)患者和45例健康人作为对照组。根据Hoehn-Yahr量表对帕金森病患者进行临床分期。1期和2期患者被定义为早期PD。患者和对照组采用眼表疾病指数(OSDI)问卷、泪液破裂时间(TBUT)、Schirmer检验和CIC。结果两组患者的平均年龄和性别差异无统计学意义(p = 0.606, p = 0.357)。PD组的Schirmer test和TBUT结果显著低于对照组(p p p p p p
本文章由计算机程序翻译,如有差异,请以英文原文为准。

Conjunctival impression cytology and tear film analysis in early-stage Parkinson's disease.

Conjunctival impression cytology and tear film analysis in early-stage Parkinson's disease.

Conjunctival impression cytology and tear film analysis in early-stage Parkinson's disease.

Conjunctival impression cytology and tear film analysis in early-stage Parkinson's disease.

PurposeWe aimed to evaluate conjunctival impression cytology (CIC) findings, tear parameters, and ocular surface in early-stage Parkinson's patients and compare the results with the control group.MethodsThis cross-sectional comparative study included 49 early-stage Parkinson's Disease (PD) patients and 45 healthy individuals as a control group. Clinical staging of Parkinson's patients was performed according to the Hoehn-Yahr Scale. Those with stages 1 and 2 were defined as early-stage PD. Ocular surface disease index (OSDI) questionnaire, tear breakup time (TBUT), Schirmer test, and CIC were applied to the patient and control groups.ResultsThere was no significant difference between the two groups in terms of mean age and gender (p = 0.606, p = 0.357, respectively). Schirmer test and TBUT results in the PD group were significantly lower compared to the control group (p < 0.001, p < 0.001). Meanwhile, the OSDI score and CIC stage of the PD group were significantly higher than that of the control group (p < 0.001, p < 0.001).ConclusionsIn early-stage PD, decreased TBUT and Schirmer test values, conjunctival goblet cell loss, and squamous metaplasia development indicate that the ocular surface is affected. Early diagnosis of dry eye in Parkinson's patients is important for preventing complications such as ocular surface damage and visual disturbances.

求助全文
通过发布文献求助,成功后即可免费获取论文全文。 去求助
来源期刊
CiteScore
3.60
自引率
0.00%
发文量
372
审稿时长
3-8 weeks
期刊介绍: The European Journal of Ophthalmology was founded in 1991 and is issued in print bi-monthly. It publishes only peer-reviewed original research reporting clinical observations and laboratory investigations with clinical relevance focusing on new diagnostic and surgical techniques, instrument and therapy updates, results of clinical trials and research findings.
×
引用
GB/T 7714-2015
复制
MLA
复制
APA
复制
导出至
BibTeX EndNote RefMan NoteFirst NoteExpress
×
提示
您的信息不完整,为了账户安全,请先补充。
现在去补充
×
提示
您因"违规操作"
具体请查看互助需知
我知道了
×
提示
确定
请完成安全验证×
copy
已复制链接
快去分享给好友吧!
我知道了
右上角分享
点击右上角分享
0
联系我们:info@booksci.cn Book学术提供免费学术资源搜索服务,方便国内外学者检索中英文文献。致力于提供最便捷和优质的服务体验。 Copyright © 2023 布克学术 All rights reserved.
京ICP备2023020795号-1
ghs 京公网安备 11010802042870号
Book学术文献互助
Book学术文献互助群
群 号:604180095
Book学术官方微信