揭示罕见乳腺肿瘤:诊断的挑战和见解。

Discoveries (Craiova, Romania) Pub Date : 2024-12-31 eCollection Date: 2024-10-01 DOI:10.15190/d.2024.19
Rasheeda Mohamedali, Nilay Nishith, Rahul Raj, Nishtha Ahuja, Aishwarya Sharma, Puneet Kaur Somal, Ravikiran N Pawar, Sankalp Sancheti
{"title":"揭示罕见乳腺肿瘤:诊断的挑战和见解。","authors":"Rasheeda Mohamedali, Nilay Nishith, Rahul Raj, Nishtha Ahuja, Aishwarya Sharma, Puneet Kaur Somal, Ravikiran N Pawar, Sankalp Sancheti","doi":"10.15190/d.2024.19","DOIUrl":null,"url":null,"abstract":"<p><p>Breast neoplasm encompasses a diversified range of different diseases characterized by unique biological and pathological features, clinical presentation, response to treatments, clinical behavior, and outcome. The histological variability has profound prognostic implications, thus playing a pivotal role in diagnosing breast neoplasm. Special histologies can occur rarely, and most information on outcomes and treatments is mainly derived from small series and case reports. Thus, reporting such unusual occurrences is of utmost importance. This is a retrospective study of four years in which 11 cases of breast neoplasm diagnosed on histopathology were assessed. The clinical details were acquired from an electronic search. The hematoxylin and eosin and immunohistochemistry slides were retrieved from the archives to review the histopathological features. The patient's age ranged from 32 to 72 years (median: 51 years).  Eleven unusual cases of breast neoplasms were diagnosed and categorized according to the latest World Health Organisation (WHO) classification. These cases include rare and salivary gland type tumors (2 cases), neuroendocrine neoplasms (1 case), hamartomas of the breast (2 cases), fibroblastic and myofibroblastic tumors of the breast (1 case), peripheral nerve sheath tumor (1 case) and hematolymphoid tumors of the breast (4 cases). The management of unusual breast cancer histotypes represents a real challenge in daily clinical practice. Our data suggest that these variants are distinct clinicopathological entities with unique hormonal receptor statuses. The occurrence of such entities is rare, and they demonstrate different clinical behaviors and responses to treatment, suggesting that a few genomic-specific events might also drive them. Therefore, it is important to indulge in future research on such rare breast neoplasms.</p>","PeriodicalId":72829,"journal":{"name":"Discoveries (Craiova, Romania)","volume":"12 4","pages":"e200"},"PeriodicalIF":0.0000,"publicationDate":"2024-12-31","publicationTypes":"Journal Article","fieldsOfStudy":null,"isOpenAccess":false,"openAccessPdf":"https://www.ncbi.nlm.nih.gov/pmc/articles/PMC11910015/pdf/","citationCount":"0","resultStr":"{\"title\":\"Unveiling Rare Breast Neoplasms: Diagnostic Challenges and Insights.\",\"authors\":\"Rasheeda Mohamedali, Nilay Nishith, Rahul Raj, Nishtha Ahuja, Aishwarya Sharma, Puneet Kaur Somal, Ravikiran N Pawar, Sankalp Sancheti\",\"doi\":\"10.15190/d.2024.19\",\"DOIUrl\":null,\"url\":null,\"abstract\":\"<p><p>Breast neoplasm encompasses a diversified range of different diseases characterized by unique biological and pathological features, clinical presentation, response to treatments, clinical behavior, and outcome. The histological variability has profound prognostic implications, thus playing a pivotal role in diagnosing breast neoplasm. Special histologies can occur rarely, and most information on outcomes and treatments is mainly derived from small series and case reports. Thus, reporting such unusual occurrences is of utmost importance. This is a retrospective study of four years in which 11 cases of breast neoplasm diagnosed on histopathology were assessed. The clinical details were acquired from an electronic search. The hematoxylin and eosin and immunohistochemistry slides were retrieved from the archives to review the histopathological features. The patient's age ranged from 32 to 72 years (median: 51 years).  Eleven unusual cases of breast neoplasms were diagnosed and categorized according to the latest World Health Organisation (WHO) classification. These cases include rare and salivary gland type tumors (2 cases), neuroendocrine neoplasms (1 case), hamartomas of the breast (2 cases), fibroblastic and myofibroblastic tumors of the breast (1 case), peripheral nerve sheath tumor (1 case) and hematolymphoid tumors of the breast (4 cases). The management of unusual breast cancer histotypes represents a real challenge in daily clinical practice. Our data suggest that these variants are distinct clinicopathological entities with unique hormonal receptor statuses. The occurrence of such entities is rare, and they demonstrate different clinical behaviors and responses to treatment, suggesting that a few genomic-specific events might also drive them. Therefore, it is important to indulge in future research on such rare breast neoplasms.</p>\",\"PeriodicalId\":72829,\"journal\":{\"name\":\"Discoveries (Craiova, Romania)\",\"volume\":\"12 4\",\"pages\":\"e200\"},\"PeriodicalIF\":0.0000,\"publicationDate\":\"2024-12-31\",\"publicationTypes\":\"Journal Article\",\"fieldsOfStudy\":null,\"isOpenAccess\":false,\"openAccessPdf\":\"https://www.ncbi.nlm.nih.gov/pmc/articles/PMC11910015/pdf/\",\"citationCount\":\"0\",\"resultStr\":null,\"platform\":\"Semanticscholar\",\"paperid\":null,\"PeriodicalName\":\"Discoveries (Craiova, Romania)\",\"FirstCategoryId\":\"1085\",\"ListUrlMain\":\"https://doi.org/10.15190/d.2024.19\",\"RegionNum\":0,\"RegionCategory\":null,\"ArticlePicture\":[],\"TitleCN\":null,\"AbstractTextCN\":null,\"PMCID\":null,\"EPubDate\":\"2024/10/1 0:00:00\",\"PubModel\":\"eCollection\",\"JCR\":\"\",\"JCRName\":\"\",\"Score\":null,\"Total\":0}","platform":"Semanticscholar","paperid":null,"PeriodicalName":"Discoveries (Craiova, Romania)","FirstCategoryId":"1085","ListUrlMain":"https://doi.org/10.15190/d.2024.19","RegionNum":0,"RegionCategory":null,"ArticlePicture":[],"TitleCN":null,"AbstractTextCN":null,"PMCID":null,"EPubDate":"2024/10/1 0:00:00","PubModel":"eCollection","JCR":"","JCRName":"","Score":null,"Total":0}
引用次数: 0

摘要

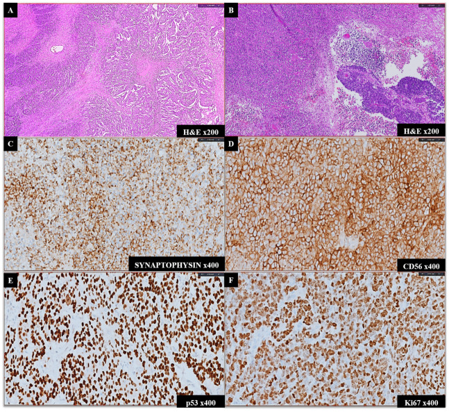
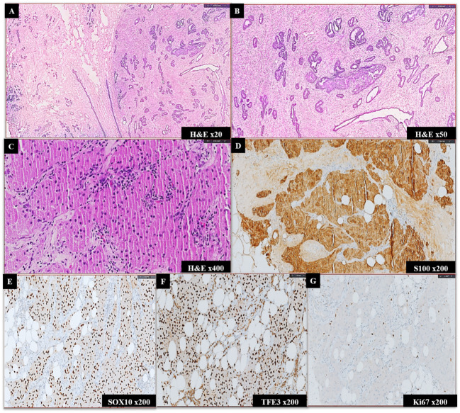
乳腺肿瘤包括多种不同的疾病,具有独特的生物学和病理学特征、临床表现、对治疗的反应、临床行为和结果。组织学变异性具有深远的预后意义,因此在诊断乳腺肿瘤中起着关键作用。特殊的组织学很少发生,大多数关于结果和治疗的信息主要来自小系列和病例报告。因此,报告这种不寻常的事件是极其重要的。这是一项为期四年的回顾性研究,对11例经组织病理学诊断的乳腺肿瘤进行了评估。临床细节是通过电子检索获得的。从档案中检索苏木精、伊红和免疫组织化学切片,以回顾组织病理学特征。患者年龄32 ~ 72岁(中位51岁)。根据最新的世界卫生组织(WHO)分类,对11例不寻常的乳腺肿瘤进行了诊断和分类。包括罕见及唾液腺型肿瘤(2例)、神经内分泌肿瘤(1例)、乳腺错构瘤(2例)、乳腺纤维母细胞及肌纤维母细胞肿瘤(1例)、周围神经鞘肿瘤(1例)、乳腺血淋巴样肿瘤(4例)。在日常临床实践中,异常乳腺癌组织型的管理是一个真正的挑战。我们的数据表明,这些变异是独特的临床病理实体,具有独特的激素受体状态。这种实体的发生是罕见的,它们表现出不同的临床行为和对治疗的反应,这表明一些基因组特异性事件也可能驱动它们。因此,未来对这类罕见乳腺肿瘤的研究是非常重要的。
本文章由计算机程序翻译,如有差异,请以英文原文为准。

Unveiling Rare Breast Neoplasms: Diagnostic Challenges and Insights.

Unveiling Rare Breast Neoplasms: Diagnostic Challenges and Insights.

Unveiling Rare Breast Neoplasms: Diagnostic Challenges and Insights.

Unveiling Rare Breast Neoplasms: Diagnostic Challenges and Insights.

Breast neoplasm encompasses a diversified range of different diseases characterized by unique biological and pathological features, clinical presentation, response to treatments, clinical behavior, and outcome. The histological variability has profound prognostic implications, thus playing a pivotal role in diagnosing breast neoplasm. Special histologies can occur rarely, and most information on outcomes and treatments is mainly derived from small series and case reports. Thus, reporting such unusual occurrences is of utmost importance. This is a retrospective study of four years in which 11 cases of breast neoplasm diagnosed on histopathology were assessed. The clinical details were acquired from an electronic search. The hematoxylin and eosin and immunohistochemistry slides were retrieved from the archives to review the histopathological features. The patient's age ranged from 32 to 72 years (median: 51 years).  Eleven unusual cases of breast neoplasms were diagnosed and categorized according to the latest World Health Organisation (WHO) classification. These cases include rare and salivary gland type tumors (2 cases), neuroendocrine neoplasms (1 case), hamartomas of the breast (2 cases), fibroblastic and myofibroblastic tumors of the breast (1 case), peripheral nerve sheath tumor (1 case) and hematolymphoid tumors of the breast (4 cases). The management of unusual breast cancer histotypes represents a real challenge in daily clinical practice. Our data suggest that these variants are distinct clinicopathological entities with unique hormonal receptor statuses. The occurrence of such entities is rare, and they demonstrate different clinical behaviors and responses to treatment, suggesting that a few genomic-specific events might also drive them. Therefore, it is important to indulge in future research on such rare breast neoplasms.

求助全文
通过发布文献求助,成功后即可免费获取论文全文。 去求助
来源期刊
自引率
0.00%
发文量
0
×
引用
GB/T 7714-2015
复制
MLA
复制
APA
复制
导出至
BibTeX EndNote RefMan NoteFirst NoteExpress
×
提示
您的信息不完整,为了账户安全,请先补充。
现在去补充
×
提示
您因"违规操作"
具体请查看互助需知
我知道了
×
提示
确定
请完成安全验证×
copy
已复制链接
快去分享给好友吧!
我知道了
右上角分享
点击右上角分享
0
联系我们:info@booksci.cn Book学术提供免费学术资源搜索服务,方便国内外学者检索中英文文献。致力于提供最便捷和优质的服务体验。 Copyright © 2023 布克学术 All rights reserved.
京ICP备2023020795号-1
ghs 京公网安备 11010802042870号
Book学术文献互助
Book学术文献互助群
群 号:604180095
Book学术官方微信