印度一群四角羚羊(四角羚羊)爆发与坏死性梭杆菌相关的足腐病。

IF 1.1 4区 农林科学 Q3 ZOOLOGY
Veterinary Research Forum Pub Date : 2025-01-01 Epub Date: 2025-01-15 DOI:10.30466/vrf.2024.2028598.4269
Susitha Rajkumar, Loveleen Maria Vaz, Mathavan Anandhi, Karikalan Mathesh, Shivasharanappa Nayakvadi, Solomon Rajkumar, Shirish Dadarao Narnaware
{"title":"印度一群四角羚羊(四角羚羊)爆发与坏死性梭杆菌相关的足腐病。","authors":"Susitha Rajkumar, Loveleen Maria Vaz, Mathavan Anandhi, Karikalan Mathesh, Shivasharanappa Nayakvadi, Solomon Rajkumar, Shirish Dadarao Narnaware","doi":"10.30466/vrf.2024.2028598.4269","DOIUrl":null,"url":null,"abstract":"<p><p>An outbreak of contagious foot rot due to <i>Fusobacterium necrophorum</i> infection was reported in a herd of four-horned antelopes (<i>Tetracerus quadricornis</i>) in a wildlife sanctuary at Goa, India. The infected animals showed signs of anorexia, limping and foot lesions, like erosions and sloughing of hooves. Mortality was recorded in two antelopes in which gross lesions, like generalized congestion of skeletal muscles and internal organs, and multi-focal to coalescing abscesses in lung, pleura, and diaphragm were observed. Histopathological evaluation of interdigital skin showed zones of coagulative necrosis, infiltration of mononuclear inflammatory cells, congestion, hemorrhage, and thrombosis in the dermis. Lung showed extensive areas of consolidation with alveolar edema, hyperemic alveolar capillaries, hemorrhage, and infiltration of inflammatory cells. The bacterial culture from heart blood, lung, liver, and kidney tissues revealed isolation of <i>F. necrophorum</i> being also confirmed by polymerase chain reaction (PCR) using amplification of <i>lktA</i> gene of <i>F. necrophorum</i>. In addition, the PCR also confirmed the presence of <i>F. necrophorum</i> DNA in the interdigital skin, lung, and liver tissues. Phylogenetic analysis showed that the <i>F. necrophorum</i> isolate from the present study grouped closely with isolates from Australia, China, Pakistan, and Iraq, as well as an Indian isolate from goat. The affected live animals were treated with oral antibiotics, anti-inflammatory medicines, and vitamin supplements for seven days, and recovered. This study confirmed the first outbreak of contagious foot rot and systemic infection with <i>F. necrophorum</i> in a herd of four-horned antelopes in India.</p>","PeriodicalId":23989,"journal":{"name":"Veterinary Research Forum","volume":"16 1","pages":"51-56"},"PeriodicalIF":1.1000,"publicationDate":"2025-01-01","publicationTypes":"Journal Article","fieldsOfStudy":null,"isOpenAccess":false,"openAccessPdf":"https://www.ncbi.nlm.nih.gov/pmc/articles/PMC11905959/pdf/","citationCount":"0","resultStr":"{\"title\":\"An outbreak of Fusobacterium necrophorum associated foot rot in a herd of four-horned antelope (<i>Tetracerus quadricornis</i>) in India.\",\"authors\":\"Susitha Rajkumar, Loveleen Maria Vaz, Mathavan Anandhi, Karikalan Mathesh, Shivasharanappa Nayakvadi, Solomon Rajkumar, Shirish Dadarao Narnaware\",\"doi\":\"10.30466/vrf.2024.2028598.4269\",\"DOIUrl\":null,\"url\":null,\"abstract\":\"<p><p>An outbreak of contagious foot rot due to <i>Fusobacterium necrophorum</i> infection was reported in a herd of four-horned antelopes (<i>Tetracerus quadricornis</i>) in a wildlife sanctuary at Goa, India. The infected animals showed signs of anorexia, limping and foot lesions, like erosions and sloughing of hooves. Mortality was recorded in two antelopes in which gross lesions, like generalized congestion of skeletal muscles and internal organs, and multi-focal to coalescing abscesses in lung, pleura, and diaphragm were observed. Histopathological evaluation of interdigital skin showed zones of coagulative necrosis, infiltration of mononuclear inflammatory cells, congestion, hemorrhage, and thrombosis in the dermis. Lung showed extensive areas of consolidation with alveolar edema, hyperemic alveolar capillaries, hemorrhage, and infiltration of inflammatory cells. The bacterial culture from heart blood, lung, liver, and kidney tissues revealed isolation of <i>F. necrophorum</i> being also confirmed by polymerase chain reaction (PCR) using amplification of <i>lktA</i> gene of <i>F. necrophorum</i>. In addition, the PCR also confirmed the presence of <i>F. necrophorum</i> DNA in the interdigital skin, lung, and liver tissues. Phylogenetic analysis showed that the <i>F. necrophorum</i> isolate from the present study grouped closely with isolates from Australia, China, Pakistan, and Iraq, as well as an Indian isolate from goat. The affected live animals were treated with oral antibiotics, anti-inflammatory medicines, and vitamin supplements for seven days, and recovered. This study confirmed the first outbreak of contagious foot rot and systemic infection with <i>F. necrophorum</i> in a herd of four-horned antelopes in India.</p>\",\"PeriodicalId\":23989,\"journal\":{\"name\":\"Veterinary Research Forum\",\"volume\":\"16 1\",\"pages\":\"51-56\"},\"PeriodicalIF\":1.1000,\"publicationDate\":\"2025-01-01\",\"publicationTypes\":\"Journal Article\",\"fieldsOfStudy\":null,\"isOpenAccess\":false,\"openAccessPdf\":\"https://www.ncbi.nlm.nih.gov/pmc/articles/PMC11905959/pdf/\",\"citationCount\":\"0\",\"resultStr\":null,\"platform\":\"Semanticscholar\",\"paperid\":null,\"PeriodicalName\":\"Veterinary Research Forum\",\"FirstCategoryId\":\"97\",\"ListUrlMain\":\"https://doi.org/10.30466/vrf.2024.2028598.4269\",\"RegionNum\":4,\"RegionCategory\":\"农林科学\",\"ArticlePicture\":[],\"TitleCN\":null,\"AbstractTextCN\":null,\"PMCID\":null,\"EPubDate\":\"2025/1/15 0:00:00\",\"PubModel\":\"Epub\",\"JCR\":\"Q3\",\"JCRName\":\"ZOOLOGY\",\"Score\":null,\"Total\":0}","platform":"Semanticscholar","paperid":null,"PeriodicalName":"Veterinary Research Forum","FirstCategoryId":"97","ListUrlMain":"https://doi.org/10.30466/vrf.2024.2028598.4269","RegionNum":4,"RegionCategory":"农林科学","ArticlePicture":[],"TitleCN":null,"AbstractTextCN":null,"PMCID":null,"EPubDate":"2025/1/15 0:00:00","PubModel":"Epub","JCR":"Q3","JCRName":"ZOOLOGY","Score":null,"Total":0}
引用次数: 0

摘要

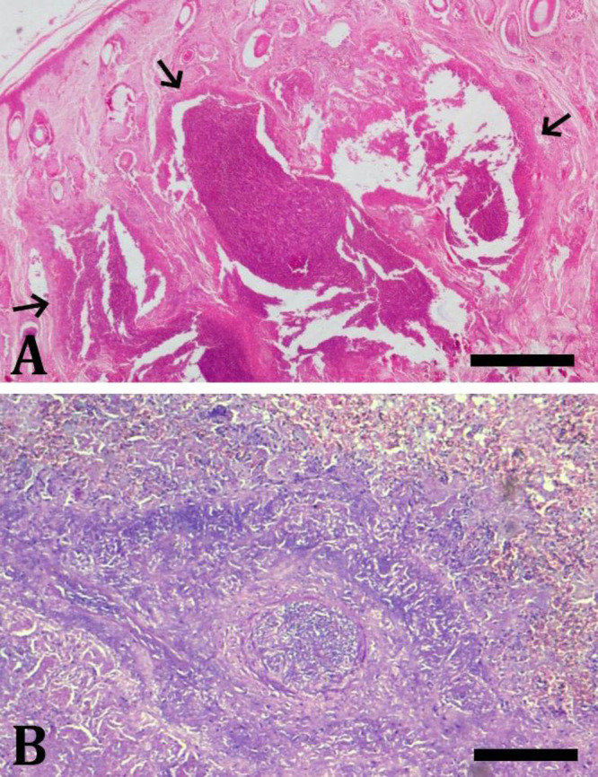
据报道,在印度果阿的一个野生动物保护区,一群四角羚羊(四角羚羊)发生了由坏死梭杆菌感染引起的传染性足腐病暴发。受感染的动物表现出厌食症、跛行和足部损伤的迹象,如蹄子的侵蚀和脱落。2只羚羊的死亡率被记录下来,其中大体病变,如骨骼肌和内脏充血,以及肺、胸膜和隔膜的多灶性合并脓肿。指间皮肤的组织病理学检查显示真皮内有凝固性坏死区、单核炎性细胞浸润、充血、出血和血栓形成。肺显示肺泡水肿、肺泡毛细血管充血、出血和炎症细胞浸润的广泛实变。从心脏血液、肺、肝和肾组织中进行细菌培养,利用扩增necrophorum的lktA基因,聚合酶链反应(PCR)证实了该细菌的分离。此外,PCR还证实了指间皮肤、肺和肝组织中存在坏死镰刀菌DNA。系统发育分析表明,从本研究中分离出的necrophorum分离株与来自澳大利亚、中国、巴基斯坦和伊拉克的分离株以及来自印度山羊的分离株密切相关。受感染的活体动物口服抗生素、抗炎药和维生素补充剂7天后恢复。本研究证实在印度的一群四角羚羊中首次暴发了传染性足腐病和全身感染的坏死羊角菌。
本文章由计算机程序翻译,如有差异,请以英文原文为准。

An outbreak of Fusobacterium necrophorum associated foot rot in a herd of four-horned antelope (<i>Tetracerus quadricornis</i>) in India.

An outbreak of Fusobacterium necrophorum associated foot rot in a herd of four-horned antelope (<i>Tetracerus quadricornis</i>) in India.

An outbreak of Fusobacterium necrophorum associated foot rot in a herd of four-horned antelope (Tetracerus quadricornis) in India.

An outbreak of contagious foot rot due to Fusobacterium necrophorum infection was reported in a herd of four-horned antelopes (Tetracerus quadricornis) in a wildlife sanctuary at Goa, India. The infected animals showed signs of anorexia, limping and foot lesions, like erosions and sloughing of hooves. Mortality was recorded in two antelopes in which gross lesions, like generalized congestion of skeletal muscles and internal organs, and multi-focal to coalescing abscesses in lung, pleura, and diaphragm were observed. Histopathological evaluation of interdigital skin showed zones of coagulative necrosis, infiltration of mononuclear inflammatory cells, congestion, hemorrhage, and thrombosis in the dermis. Lung showed extensive areas of consolidation with alveolar edema, hyperemic alveolar capillaries, hemorrhage, and infiltration of inflammatory cells. The bacterial culture from heart blood, lung, liver, and kidney tissues revealed isolation of F. necrophorum being also confirmed by polymerase chain reaction (PCR) using amplification of lktA gene of F. necrophorum. In addition, the PCR also confirmed the presence of F. necrophorum DNA in the interdigital skin, lung, and liver tissues. Phylogenetic analysis showed that the F. necrophorum isolate from the present study grouped closely with isolates from Australia, China, Pakistan, and Iraq, as well as an Indian isolate from goat. The affected live animals were treated with oral antibiotics, anti-inflammatory medicines, and vitamin supplements for seven days, and recovered. This study confirmed the first outbreak of contagious foot rot and systemic infection with F. necrophorum in a herd of four-horned antelopes in India.

求助全文
通过发布文献求助,成功后即可免费获取论文全文。 去求助
来源期刊
Veterinary Research Forum
Veterinary Research Forum Veterinary-General Veterinary
CiteScore
1.50
自引率
0.00%
发文量
0
审稿时长
8 weeks
期刊介绍: Veterinary Research Forum (VRF) is a quarterly international journal committed to publish worldwide contributions on all aspects of veterinary science and medicine, including anatomy and histology, physiology and pharmacology, anatomic and clinical pathology, parasitology, microbiology, immunology and epidemiology, food hygiene, poultry science, fish and aquaculture, anesthesia and surgery, large and small animal internal medicine, large and small animal reproduction, biotechnology and diagnostic imaging of domestic, companion and farm animals.
×
引用
GB/T 7714-2015
复制
MLA
复制
APA
复制
导出至
BibTeX EndNote RefMan NoteFirst NoteExpress
×
提示
您的信息不完整,为了账户安全,请先补充。
现在去补充
×
提示
您因"违规操作"
具体请查看互助需知
我知道了
×
提示
确定
请完成安全验证×
copy
已复制链接
快去分享给好友吧!
我知道了
右上角分享
点击右上角分享
0
联系我们:info@booksci.cn Book学术提供免费学术资源搜索服务,方便国内外学者检索中英文文献。致力于提供最便捷和优质的服务体验。 Copyright © 2023 布克学术 All rights reserved.
京ICP备2023020795号-1
ghs 京公网安备 11010802042870号
Book学术文献互助
Book学术文献互助群
群 号:604180095
Book学术官方微信