胫骨平台平截骨:基质金属蛋白酶在颅十字韧带断裂后犬膝关节稳定长期监测中的意义。

IF 1.1 4区 农林科学 Q3 ZOOLOGY
Veterinary Research Forum Pub Date : 2025-01-01 Epub Date: 2025-02-15 DOI:10.30466/vrf.2023.2017099.4089
Dragan Jevrem Ristanović, Jelena Vladimir Francuski Andrić, Milena Danilo Radaković, Kristina Adam Spariosu, Ivan Željko Vlahek, Marija Tomo Lipar, Petar Sreten Milosavljević, Mario Ivan Kreszinger
{"title":"胫骨平台平截骨:基质金属蛋白酶在颅十字韧带断裂后犬膝关节稳定长期监测中的意义。","authors":"Dragan Jevrem Ristanović, Jelena Vladimir Francuski Andrić, Milena Danilo Radaković, Kristina Adam Spariosu, Ivan Željko Vlahek, Marija Tomo Lipar, Petar Sreten Milosavljević, Mario Ivan Kreszinger","doi":"10.30466/vrf.2023.2017099.4089","DOIUrl":null,"url":null,"abstract":"<p><p>Cranial cruciate ligament rupture is one of the most common causes of osteoarthritis in dogs. Surgical stabilization is obligatory and tibial plateau levelling osteotomy (TPLO) is the most commonly used surgical technique. Studies on the long-term monitoring of matrix metallo-proteinases (MMPs) and acute-phase proteins are limited, especially those with parallel monitoring of changes in the serum, synovial fluid (SF) and urine. We aimed to describe long-term changes in 1) MMPs: gelatinases and caseinases, 2) APPs: ceruloplasmin, haptoglobin and paraoxonase-1, and 3) the correlation of MMPs in the serum, SF and urine with lameness in dogs 2 and 6 months undergoing TPLO. From 17 dogs diagnosed with cranial cruciate ligament rupture, sera, SF and urine samples were collected preoperative 2 and 6 months after the surgery. Relative activity (RA) of MMPs was measured in all samples using zymography. Acute-phase proteins were measured in the serum and SF using spectrophotometry and agarose gel electrophoresis. Relative activity of MMPs in serum was not change at different sampling points. In SF, a marked decrease in MMPs RA was evident, however, only RA of caseinases was significantly reduced during the recovery period. In urine, RA of caseinases was positively correlated with the lameness score with decreasing activity trend during time. Serum and synovial acute-phase proteins were not changed after surgery, which was consistent with the agarose gel analyses. Decreased activity of caseinases pointed to reduced degradation of extracellular matrix after TPLO. Synovial and urine caseinases are potential biomarkers in predicting the recovery outcome following stifle stabilization.</p>","PeriodicalId":23989,"journal":{"name":"Veterinary Research Forum","volume":"16 2","pages":"63-69"},"PeriodicalIF":1.1000,"publicationDate":"2025-01-01","publicationTypes":"Journal Article","fieldsOfStudy":null,"isOpenAccess":false,"openAccessPdf":"https://www.ncbi.nlm.nih.gov/pmc/articles/PMC11910979/pdf/","citationCount":"0","resultStr":"{\"title\":\"Tibial plateau levelling osteotomy: significance of matrix metalloproteinases in long-term monitoring of canine stifle stabilization after cranial cruciate ligament rupture.\",\"authors\":\"Dragan Jevrem Ristanović, Jelena Vladimir Francuski Andrić, Milena Danilo Radaković, Kristina Adam Spariosu, Ivan Željko Vlahek, Marija Tomo Lipar, Petar Sreten Milosavljević, Mario Ivan Kreszinger\",\"doi\":\"10.30466/vrf.2023.2017099.4089\",\"DOIUrl\":null,\"url\":null,\"abstract\":\"<p><p>Cranial cruciate ligament rupture is one of the most common causes of osteoarthritis in dogs. Surgical stabilization is obligatory and tibial plateau levelling osteotomy (TPLO) is the most commonly used surgical technique. Studies on the long-term monitoring of matrix metallo-proteinases (MMPs) and acute-phase proteins are limited, especially those with parallel monitoring of changes in the serum, synovial fluid (SF) and urine. We aimed to describe long-term changes in 1) MMPs: gelatinases and caseinases, 2) APPs: ceruloplasmin, haptoglobin and paraoxonase-1, and 3) the correlation of MMPs in the serum, SF and urine with lameness in dogs 2 and 6 months undergoing TPLO. From 17 dogs diagnosed with cranial cruciate ligament rupture, sera, SF and urine samples were collected preoperative 2 and 6 months after the surgery. Relative activity (RA) of MMPs was measured in all samples using zymography. Acute-phase proteins were measured in the serum and SF using spectrophotometry and agarose gel electrophoresis. Relative activity of MMPs in serum was not change at different sampling points. In SF, a marked decrease in MMPs RA was evident, however, only RA of caseinases was significantly reduced during the recovery period. In urine, RA of caseinases was positively correlated with the lameness score with decreasing activity trend during time. Serum and synovial acute-phase proteins were not changed after surgery, which was consistent with the agarose gel analyses. Decreased activity of caseinases pointed to reduced degradation of extracellular matrix after TPLO. Synovial and urine caseinases are potential biomarkers in predicting the recovery outcome following stifle stabilization.</p>\",\"PeriodicalId\":23989,\"journal\":{\"name\":\"Veterinary Research Forum\",\"volume\":\"16 2\",\"pages\":\"63-69\"},\"PeriodicalIF\":1.1000,\"publicationDate\":\"2025-01-01\",\"publicationTypes\":\"Journal Article\",\"fieldsOfStudy\":null,\"isOpenAccess\":false,\"openAccessPdf\":\"https://www.ncbi.nlm.nih.gov/pmc/articles/PMC11910979/pdf/\",\"citationCount\":\"0\",\"resultStr\":null,\"platform\":\"Semanticscholar\",\"paperid\":null,\"PeriodicalName\":\"Veterinary Research Forum\",\"FirstCategoryId\":\"97\",\"ListUrlMain\":\"https://doi.org/10.30466/vrf.2023.2017099.4089\",\"RegionNum\":4,\"RegionCategory\":\"农林科学\",\"ArticlePicture\":[],\"TitleCN\":null,\"AbstractTextCN\":null,\"PMCID\":null,\"EPubDate\":\"2025/2/15 0:00:00\",\"PubModel\":\"Epub\",\"JCR\":\"Q3\",\"JCRName\":\"ZOOLOGY\",\"Score\":null,\"Total\":0}","platform":"Semanticscholar","paperid":null,"PeriodicalName":"Veterinary Research Forum","FirstCategoryId":"97","ListUrlMain":"https://doi.org/10.30466/vrf.2023.2017099.4089","RegionNum":4,"RegionCategory":"农林科学","ArticlePicture":[],"TitleCN":null,"AbstractTextCN":null,"PMCID":null,"EPubDate":"2025/2/15 0:00:00","PubModel":"Epub","JCR":"Q3","JCRName":"ZOOLOGY","Score":null,"Total":0}
引用次数: 0

摘要

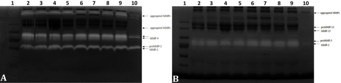
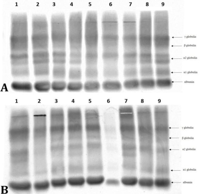
颅十字韧带断裂是犬骨关节炎最常见的原因之一。手术稳定是必须的,胫骨平台平截骨(TPLO)是最常用的手术技术。长期监测基质金属蛋白酶(MMPs)和急性期蛋白的研究有限,特别是同时监测血清、滑液(SF)和尿液变化的研究。我们的目的是描述1)MMPs:明胶酶和酪酶的长期变化,2)app:铜蓝蛋白、触球蛋白和对氧磷酶-1,以及3)血清、SF和尿液中MMPs与接受TPLO 2和6个月的跛行的相关性。术前2个月和术后6个月采集17只确诊为颅交叉韧带破裂犬的血清、SF和尿液样本。用酶谱法测定所有样品中MMPs的相对活性(RA)。用分光光度法和琼脂糖凝胶电泳法测定血清和SF中的急性期蛋白。不同采样点血清中MMPs的相对活性没有变化。在SF中,MMPs RA明显下降,然而,只有病例酶的RA在恢复期显著降低。尿中酪酶RA与跛行评分呈正相关,且随时间呈下降趋势。手术后血清和滑膜急性期蛋白没有改变,这与琼脂糖凝胶分析一致。酪酶活性降低表明TPLO后细胞外基质降解减少。滑膜和尿液酪蛋白酶是预测膝关节稳定术后恢复结果的潜在生物标志物。
本文章由计算机程序翻译,如有差异,请以英文原文为准。

Tibial plateau levelling osteotomy: significance of matrix metalloproteinases in long-term monitoring of canine stifle stabilization after cranial cruciate ligament rupture.

Tibial plateau levelling osteotomy: significance of matrix metalloproteinases in long-term monitoring of canine stifle stabilization after cranial cruciate ligament rupture.

Tibial plateau levelling osteotomy: significance of matrix metalloproteinases in long-term monitoring of canine stifle stabilization after cranial cruciate ligament rupture.

Tibial plateau levelling osteotomy: significance of matrix metalloproteinases in long-term monitoring of canine stifle stabilization after cranial cruciate ligament rupture.

Cranial cruciate ligament rupture is one of the most common causes of osteoarthritis in dogs. Surgical stabilization is obligatory and tibial plateau levelling osteotomy (TPLO) is the most commonly used surgical technique. Studies on the long-term monitoring of matrix metallo-proteinases (MMPs) and acute-phase proteins are limited, especially those with parallel monitoring of changes in the serum, synovial fluid (SF) and urine. We aimed to describe long-term changes in 1) MMPs: gelatinases and caseinases, 2) APPs: ceruloplasmin, haptoglobin and paraoxonase-1, and 3) the correlation of MMPs in the serum, SF and urine with lameness in dogs 2 and 6 months undergoing TPLO. From 17 dogs diagnosed with cranial cruciate ligament rupture, sera, SF and urine samples were collected preoperative 2 and 6 months after the surgery. Relative activity (RA) of MMPs was measured in all samples using zymography. Acute-phase proteins were measured in the serum and SF using spectrophotometry and agarose gel electrophoresis. Relative activity of MMPs in serum was not change at different sampling points. In SF, a marked decrease in MMPs RA was evident, however, only RA of caseinases was significantly reduced during the recovery period. In urine, RA of caseinases was positively correlated with the lameness score with decreasing activity trend during time. Serum and synovial acute-phase proteins were not changed after surgery, which was consistent with the agarose gel analyses. Decreased activity of caseinases pointed to reduced degradation of extracellular matrix after TPLO. Synovial and urine caseinases are potential biomarkers in predicting the recovery outcome following stifle stabilization.

求助全文
通过发布文献求助,成功后即可免费获取论文全文。 去求助
来源期刊
Veterinary Research Forum
Veterinary Research Forum Veterinary-General Veterinary
CiteScore
1.50
自引率
0.00%
发文量
0
审稿时长
8 weeks
期刊介绍: Veterinary Research Forum (VRF) is a quarterly international journal committed to publish worldwide contributions on all aspects of veterinary science and medicine, including anatomy and histology, physiology and pharmacology, anatomic and clinical pathology, parasitology, microbiology, immunology and epidemiology, food hygiene, poultry science, fish and aquaculture, anesthesia and surgery, large and small animal internal medicine, large and small animal reproduction, biotechnology and diagnostic imaging of domestic, companion and farm animals.
×
引用
GB/T 7714-2015
复制
MLA
复制
APA
复制
导出至
BibTeX EndNote RefMan NoteFirst NoteExpress
×
提示
您的信息不完整,为了账户安全,请先补充。
现在去补充
×
提示
您因"违规操作"
具体请查看互助需知
我知道了
×
提示
确定
请完成安全验证×
copy
已复制链接
快去分享给好友吧!
我知道了
右上角分享
点击右上角分享
0
联系我们:info@booksci.cn Book学术提供免费学术资源搜索服务,方便国内外学者检索中英文文献。致力于提供最便捷和优质的服务体验。 Copyright © 2023 布克学术 All rights reserved.
京ICP备2023020795号-1
ghs 京公网安备 11010802042870号
Book学术文献互助
Book学术文献互助群
群 号:604180095
Book学术官方微信