肿瘤出芽作为口腔鳞状细胞癌的独立预后组织病理学标志物-印度三级保健中心的经验。

IF 2.1 Q4 PATHOLOGY
Anand Vijaya Narayanan, Krishnapriya Umashankar, Sithara Aravind, Sangeetha K Nayanar, Sandeep Vijay
{"title":"肿瘤出芽作为口腔鳞状细胞癌的独立预后组织病理学标志物-印度三级保健中心的经验。","authors":"Anand Vijaya Narayanan, Krishnapriya Umashankar, Sithara Aravind, Sangeetha K Nayanar, Sandeep Vijay","doi":"10.5146/tjpath.2025.13761","DOIUrl":null,"url":null,"abstract":"<p><strong>Objective: </strong>Oral squamous cell carcinoma is the most common head and neck malignancy reported worldwide. Tumor budding represents a histopathological feature characterized by the presence of isolated single/small clusters of cancer cells dispersed within the stroma at the invasive tumor front. Its prognostic significance has not been studied much in lip and oral squamous cell carcinomas in India. The aim of this study was to investigate the prognostic role of tumor budding in a large single-center retrospective cohort of 333 patients with oral squamous cell carcinoma at a tertiary cancer center in North Kerala, India.</p><p><strong>Material and methods: </strong>The primary resection slides of 333 patients with oral squamous cell carcinoma from 2018 to 2020 were retrieved from the pathology archives and were evaluated by two independent pathologists for tumor budding and other histopathological parameters. The survival data were collected from the patient files.</p><p><strong>Results: </strong>We found a significant association between tumor budding and other known histopathological prognosticators using Chi-square analysis. Univariate logistic analysis showed tumor budding, depth of invasion ( > 10 mm), worst pattern of invasion 5, and perineural invasion were significantly associated with locoregional recurrence/distant metastasis. Multivariate logistic regression analysis identified tumor budding as an independent prognostic marker for locoregional recurrence/distant metastasis. Univariate cox proportionality analysis showed that tumor budding, depth of invasion ( > 10 mm), worst pattern of invasion 5, pathological T4 stage, and perineural invasion were associated with decreased overall survival and poor disease-free survival in patients with oral squamous cell carcinoma. Multivariate cox proportionality analysis showed tumor budding as the only independent predictor for decreased overall survival and poor disease-free survival.</p><p><strong>Conclusion: </strong>Based on this study, we can conclude that tumor budding is a simple and a reliable independent prognosticator that facilitates personalized management in patients with oral squamous cell carcinoma.</p>","PeriodicalId":45415,"journal":{"name":"Turkish Journal of Pathology","volume":" ","pages":"31-41"},"PeriodicalIF":2.1000,"publicationDate":"2025-01-01","publicationTypes":"Journal Article","fieldsOfStudy":null,"isOpenAccess":false,"openAccessPdf":"https://www.ncbi.nlm.nih.gov/pmc/articles/PMC12206397/pdf/","citationCount":"0","resultStr":"{\"title\":\"Tumor Budding as an Independent Prognostic Histopathological Marker in Oral Squamous Cell Carcinoma - An Indian Tertiary Care Center Experience.\",\"authors\":\"Anand Vijaya Narayanan, Krishnapriya Umashankar, Sithara Aravind, Sangeetha K Nayanar, Sandeep Vijay\",\"doi\":\"10.5146/tjpath.2025.13761\",\"DOIUrl\":null,\"url\":null,\"abstract\":\"<p><strong>Objective: </strong>Oral squamous cell carcinoma is the most common head and neck malignancy reported worldwide. Tumor budding represents a histopathological feature characterized by the presence of isolated single/small clusters of cancer cells dispersed within the stroma at the invasive tumor front. Its prognostic significance has not been studied much in lip and oral squamous cell carcinomas in India. The aim of this study was to investigate the prognostic role of tumor budding in a large single-center retrospective cohort of 333 patients with oral squamous cell carcinoma at a tertiary cancer center in North Kerala, India.</p><p><strong>Material and methods: </strong>The primary resection slides of 333 patients with oral squamous cell carcinoma from 2018 to 2020 were retrieved from the pathology archives and were evaluated by two independent pathologists for tumor budding and other histopathological parameters. The survival data were collected from the patient files.</p><p><strong>Results: </strong>We found a significant association between tumor budding and other known histopathological prognosticators using Chi-square analysis. Univariate logistic analysis showed tumor budding, depth of invasion ( > 10 mm), worst pattern of invasion 5, and perineural invasion were significantly associated with locoregional recurrence/distant metastasis. Multivariate logistic regression analysis identified tumor budding as an independent prognostic marker for locoregional recurrence/distant metastasis. Univariate cox proportionality analysis showed that tumor budding, depth of invasion ( > 10 mm), worst pattern of invasion 5, pathological T4 stage, and perineural invasion were associated with decreased overall survival and poor disease-free survival in patients with oral squamous cell carcinoma. Multivariate cox proportionality analysis showed tumor budding as the only independent predictor for decreased overall survival and poor disease-free survival.</p><p><strong>Conclusion: </strong>Based on this study, we can conclude that tumor budding is a simple and a reliable independent prognosticator that facilitates personalized management in patients with oral squamous cell carcinoma.</p>\",\"PeriodicalId\":45415,\"journal\":{\"name\":\"Turkish Journal of Pathology\",\"volume\":\" \",\"pages\":\"31-41\"},\"PeriodicalIF\":2.1000,\"publicationDate\":\"2025-01-01\",\"publicationTypes\":\"Journal Article\",\"fieldsOfStudy\":null,\"isOpenAccess\":false,\"openAccessPdf\":\"https://www.ncbi.nlm.nih.gov/pmc/articles/PMC12206397/pdf/\",\"citationCount\":\"0\",\"resultStr\":null,\"platform\":\"Semanticscholar\",\"paperid\":null,\"PeriodicalName\":\"Turkish Journal of Pathology\",\"FirstCategoryId\":\"1085\",\"ListUrlMain\":\"https://doi.org/10.5146/tjpath.2025.13761\",\"RegionNum\":0,\"RegionCategory\":null,\"ArticlePicture\":[],\"TitleCN\":null,\"AbstractTextCN\":null,\"PMCID\":null,\"EPubDate\":\"\",\"PubModel\":\"\",\"JCR\":\"Q4\",\"JCRName\":\"PATHOLOGY\",\"Score\":null,\"Total\":0}","platform":"Semanticscholar","paperid":null,"PeriodicalName":"Turkish Journal of Pathology","FirstCategoryId":"1085","ListUrlMain":"https://doi.org/10.5146/tjpath.2025.13761","RegionNum":0,"RegionCategory":null,"ArticlePicture":[],"TitleCN":null,"AbstractTextCN":null,"PMCID":null,"EPubDate":"","PubModel":"","JCR":"Q4","JCRName":"PATHOLOGY","Score":null,"Total":0}
引用次数: 0

摘要

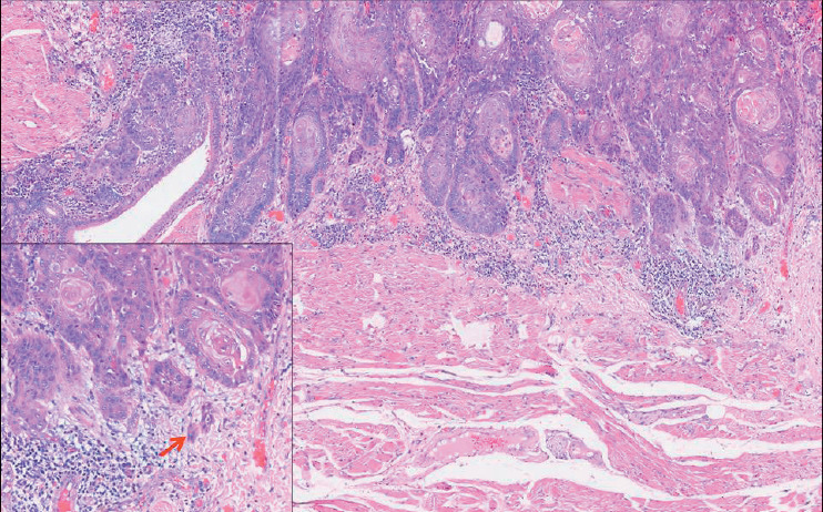
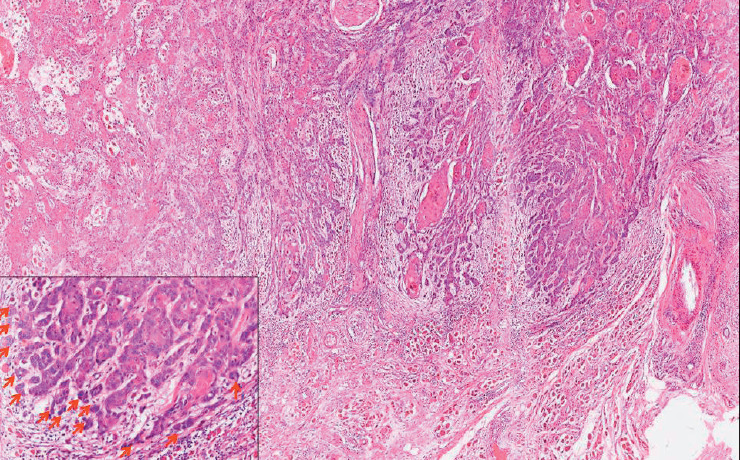
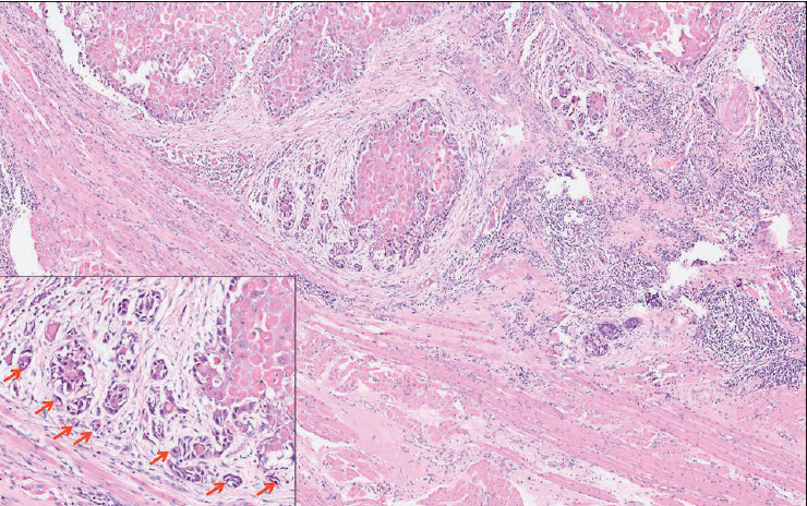
目的:口腔鳞状细胞癌是世界上最常见的头颈部恶性肿瘤。肿瘤出芽是一种组织病理学特征,其特征是在侵袭性肿瘤前部的基质中分散存在孤立的单个/小簇癌细胞。在印度,其在唇部和口腔鳞状细胞癌中的预后意义尚未得到太多研究。本研究的目的是在印度北喀拉拉邦的一个三级癌症中心对333例口腔鳞状细胞癌患者进行大型单中心回顾性队列研究,探讨肿瘤出芽在预后中的作用。材料与方法:从病理档案中检索2018 - 2020年333例口腔鳞状细胞癌的初切切片,由2名独立病理学家对肿瘤出芽及其他组织病理参数进行评估。生存数据从患者档案中收集。结果:我们使用卡方分析发现肿瘤出芽与其他已知的组织病理学预后因子之间存在显著关联。单因素logistic分析显示,肿瘤出芽、浸润深度(bbb10 mm)、最坏浸润方式5和神经周围浸润与局部复发/远处转移显著相关。多因素logistic回归分析发现肿瘤出芽是局部复发/远处转移的独立预后指标。单因素cox比例分析显示,口腔鳞状细胞癌患者的肿瘤出芽、浸润深度(bbb10 mm)、最坏浸润方式5、病理T4分期和神经周围浸润与总生存期降低和无病生存期差相关。多变量cox比例分析显示,肿瘤出芽是总生存期下降和无病生存期差的唯一独立预测因子。结论:基于本研究,我们可以得出结论,肿瘤出芽是一个简单可靠的独立预后指标,有助于口腔鳞状细胞癌患者的个性化治疗。
本文章由计算机程序翻译,如有差异,请以英文原文为准。

Tumor Budding as an Independent Prognostic Histopathological Marker in Oral Squamous Cell Carcinoma - An Indian Tertiary Care Center Experience.

Tumor Budding as an Independent Prognostic Histopathological Marker in Oral Squamous Cell Carcinoma - An Indian Tertiary Care Center Experience.

Tumor Budding as an Independent Prognostic Histopathological Marker in Oral Squamous Cell Carcinoma - An Indian Tertiary Care Center Experience.

Tumor Budding as an Independent Prognostic Histopathological Marker in Oral Squamous Cell Carcinoma - An Indian Tertiary Care Center Experience.

Objective: Oral squamous cell carcinoma is the most common head and neck malignancy reported worldwide. Tumor budding represents a histopathological feature characterized by the presence of isolated single/small clusters of cancer cells dispersed within the stroma at the invasive tumor front. Its prognostic significance has not been studied much in lip and oral squamous cell carcinomas in India. The aim of this study was to investigate the prognostic role of tumor budding in a large single-center retrospective cohort of 333 patients with oral squamous cell carcinoma at a tertiary cancer center in North Kerala, India.

Material and methods: The primary resection slides of 333 patients with oral squamous cell carcinoma from 2018 to 2020 were retrieved from the pathology archives and were evaluated by two independent pathologists for tumor budding and other histopathological parameters. The survival data were collected from the patient files.

Results: We found a significant association between tumor budding and other known histopathological prognosticators using Chi-square analysis. Univariate logistic analysis showed tumor budding, depth of invasion ( > 10 mm), worst pattern of invasion 5, and perineural invasion were significantly associated with locoregional recurrence/distant metastasis. Multivariate logistic regression analysis identified tumor budding as an independent prognostic marker for locoregional recurrence/distant metastasis. Univariate cox proportionality analysis showed that tumor budding, depth of invasion ( > 10 mm), worst pattern of invasion 5, pathological T4 stage, and perineural invasion were associated with decreased overall survival and poor disease-free survival in patients with oral squamous cell carcinoma. Multivariate cox proportionality analysis showed tumor budding as the only independent predictor for decreased overall survival and poor disease-free survival.

Conclusion: Based on this study, we can conclude that tumor budding is a simple and a reliable independent prognosticator that facilitates personalized management in patients with oral squamous cell carcinoma.

求助全文
通过发布文献求助,成功后即可免费获取论文全文。 去求助
来源期刊
CiteScore
1.90
自引率
10.00%
发文量
23
审稿时长
14 weeks
×
引用
GB/T 7714-2015
复制
MLA
复制
APA
复制
导出至
BibTeX EndNote RefMan NoteFirst NoteExpress
×
提示
您的信息不完整,为了账户安全,请先补充。
现在去补充
×
提示
您因"违规操作"
具体请查看互助需知
我知道了
×
提示
确定
请完成安全验证×
copy
已复制链接
快去分享给好友吧!
我知道了
右上角分享
点击右上角分享
0
联系我们:info@booksci.cn Book学术提供免费学术资源搜索服务,方便国内外学者检索中英文文献。致力于提供最便捷和优质的服务体验。 Copyright © 2023 布克学术 All rights reserved.
京ICP备2023020795号-1
ghs 京公网安备 11010802042870号
Book学术文献互助
Book学术文献互助群
群 号:604180095
Book学术官方微信