急性髓性白血病与 NUP98::LNP1 融合模拟慢性髓性白血病

IF 1.3 4区 医学 Q3 HEMATOLOGY
Turkish Journal of Hematology Pub Date : 2025-05-22 Epub Date: 2025-03-17 DOI:10.4274/tjh.galenos.2025.2024.0391
Haiyang Wang, Yu Peng, Zailin Yang
{"title":"急性髓性白血病与 NUP98::LNP1 融合模拟慢性髓性白血病","authors":"Haiyang Wang, Yu Peng, Zailin Yang","doi":"10.4274/tjh.galenos.2025.2024.0391","DOIUrl":null,"url":null,"abstract":"","PeriodicalId":23362,"journal":{"name":"Turkish Journal of Hematology","volume":" ","pages":"142-143"},"PeriodicalIF":1.3000,"publicationDate":"2025-05-22","publicationTypes":"Journal Article","fieldsOfStudy":null,"isOpenAccess":false,"openAccessPdf":"https://www.ncbi.nlm.nih.gov/pmc/articles/PMC12099463/pdf/","citationCount":"0","resultStr":"{\"title\":\"Acute Myeloid Leukemia with <i>NUP98::LNP1</i> Fusion Mimicking Chronic Myeloid Leukemia\",\"authors\":\"Haiyang Wang, Yu Peng, Zailin Yang\",\"doi\":\"10.4274/tjh.galenos.2025.2024.0391\",\"DOIUrl\":null,\"url\":null,\"abstract\":\"\",\"PeriodicalId\":23362,\"journal\":{\"name\":\"Turkish Journal of Hematology\",\"volume\":\" \",\"pages\":\"142-143\"},\"PeriodicalIF\":1.3000,\"publicationDate\":\"2025-05-22\",\"publicationTypes\":\"Journal Article\",\"fieldsOfStudy\":null,\"isOpenAccess\":false,\"openAccessPdf\":\"https://www.ncbi.nlm.nih.gov/pmc/articles/PMC12099463/pdf/\",\"citationCount\":\"0\",\"resultStr\":null,\"platform\":\"Semanticscholar\",\"paperid\":null,\"PeriodicalName\":\"Turkish Journal of Hematology\",\"FirstCategoryId\":\"3\",\"ListUrlMain\":\"https://doi.org/10.4274/tjh.galenos.2025.2024.0391\",\"RegionNum\":4,\"RegionCategory\":\"医学\",\"ArticlePicture\":[],\"TitleCN\":null,\"AbstractTextCN\":null,\"PMCID\":null,\"EPubDate\":\"2025/3/17 0:00:00\",\"PubModel\":\"Epub\",\"JCR\":\"Q3\",\"JCRName\":\"HEMATOLOGY\",\"Score\":null,\"Total\":0}","platform":"Semanticscholar","paperid":null,"PeriodicalName":"Turkish Journal of Hematology","FirstCategoryId":"3","ListUrlMain":"https://doi.org/10.4274/tjh.galenos.2025.2024.0391","RegionNum":4,"RegionCategory":"医学","ArticlePicture":[],"TitleCN":null,"AbstractTextCN":null,"PMCID":null,"EPubDate":"2025/3/17 0:00:00","PubModel":"Epub","JCR":"Q3","JCRName":"HEMATOLOGY","Score":null,"Total":0}
引用次数: 0

摘要

本文章由计算机程序翻译,如有差异,请以英文原文为准。

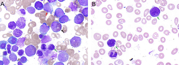
Acute Myeloid Leukemia with <i>NUP98::LNP1</i> Fusion Mimicking Chronic Myeloid Leukemia

Acute Myeloid Leukemia with NUP98::LNP1 Fusion Mimicking Chronic Myeloid Leukemia
求助全文
通过发布文献求助,成功后即可免费获取论文全文。 去求助
来源期刊
CiteScore
2.90
自引率
3.80%
发文量
45
审稿时长
1 months
期刊介绍: The Turkish Journal of Hematology is published quarterly (March, June, September, and December) by the Turkish Society of Hematology. It is an independent, non-profit peer-reviewed international English-language periodical encompassing subjects relevant to hematology. The Editorial Board of The Turkish Journal of Hematology adheres to the principles of the World Association of Medical Editors (WAME), International Council of Medical Journal Editors (ICMJE), Committee on Publication Ethics (COPE), Consolidated Standards of Reporting Trials (CONSORT) and Strengthening the Reporting of Observational Studies in Epidemiology (STROBE). The aim of The Turkish Journal of Hematology is to publish original hematological research of the highest scientific quality and clinical relevance. Additionally, educational material, reviews on basic developments, editorial short notes, images in hematology, and letters from hematology specialists and clinicians covering their experience and comments on hematology and related medical fields as well as social subjects are published. As of December 2015, The Turkish Journal of Hematology does not accept case reports. Important new findings or data about interesting hematological cases may be submitted as a brief report.
×
引用
GB/T 7714-2015
复制
MLA
复制
APA
复制
导出至
BibTeX EndNote RefMan NoteFirst NoteExpress
×
提示
您的信息不完整,为了账户安全,请先补充。
现在去补充
×
提示
您因"违规操作"
具体请查看互助需知
我知道了
×
提示
确定
请完成安全验证×
copy
已复制链接
快去分享给好友吧!
我知道了
右上角分享
点击右上角分享
0
联系我们:info@booksci.cn Book学术提供免费学术资源搜索服务,方便国内外学者检索中英文文献。致力于提供最便捷和优质的服务体验。 Copyright © 2023 布克学术 All rights reserved.
京ICP备2023020795号-1
ghs 京公网安备 11010802042870号
Book学术文献互助
Book学术文献互助群
群 号:604180095
Book学术官方微信