甲状腺间变性癌综合治疗1例。

IF 2.8 4区 医学 Q3 BIOTECHNOLOGY & APPLIED MICROBIOLOGY
OncoTargets and therapy Pub Date : 2025-03-10 eCollection Date: 2025-01-01 DOI:10.2147/OTT.S504279
JiaQi Liu, Jun Chu
{"title":"甲状腺间变性癌综合治疗1例。","authors":"JiaQi Liu, Jun Chu","doi":"10.2147/OTT.S504279","DOIUrl":null,"url":null,"abstract":"<p><strong>Background: </strong>Anaplastic thyroid cancer (ATC) is a rare, highly aggressive malignancy that accounts for less than 2% of thyroid cancers but contributes significantly to morbidity and mortality. Despite its rapid progression and poor prognosis, recent advances in targeted therapies and immunotherapies offer some hope for treatment.</p><p><strong>Case presentation: </strong>A 55-year-old female with no prior thyroid disease was diagnosed with advanced ATC after a routine check-up revealed a neck mass. She presented with a tumor compressing the trachea, recurrent laryngeal nerve, and carotid sinus, accompanied by Horner's syndrome. Fine-needle aspiration confirmed anaplastic sarcoma. After a multidisciplinary consultation, the patient was treated with anlotinib, tislelizumab, and albumin-bound paclitaxel, resulting in significant tumor shrinkage and symptomatic relief. However, due to financial constraints, treatment was discontinued. One month later, the tumor rapidly progressed, leading to tracheal compression and asphyxiation, causing her death.</p><p><strong>Conclusion: </strong>This case highlights the potential benefits of combination therapy for advanced ATC, demonstrating significant temporary improvements. However, the discontinuation of treatment due to financial limitations led to rapid disease progression, underscoring the importance of continuous, accessible care. This case also emphasizes the impact of socio-economic factors on patient outcomes and survival in aggressive cancers.</p>","PeriodicalId":19534,"journal":{"name":"OncoTargets and therapy","volume":"18 ","pages":"325-333"},"PeriodicalIF":2.8000,"publicationDate":"2025-03-10","publicationTypes":"Journal Article","fieldsOfStudy":null,"isOpenAccess":false,"openAccessPdf":"https://www.ncbi.nlm.nih.gov/pmc/articles/PMC11908399/pdf/","citationCount":"0","resultStr":"{\"title\":\"Comprehensive Treatment of Anaplastic Thyroid Cancer: A Case Report.\",\"authors\":\"JiaQi Liu, Jun Chu\",\"doi\":\"10.2147/OTT.S504279\",\"DOIUrl\":null,\"url\":null,\"abstract\":\"<p><strong>Background: </strong>Anaplastic thyroid cancer (ATC) is a rare, highly aggressive malignancy that accounts for less than 2% of thyroid cancers but contributes significantly to morbidity and mortality. Despite its rapid progression and poor prognosis, recent advances in targeted therapies and immunotherapies offer some hope for treatment.</p><p><strong>Case presentation: </strong>A 55-year-old female with no prior thyroid disease was diagnosed with advanced ATC after a routine check-up revealed a neck mass. She presented with a tumor compressing the trachea, recurrent laryngeal nerve, and carotid sinus, accompanied by Horner's syndrome. Fine-needle aspiration confirmed anaplastic sarcoma. After a multidisciplinary consultation, the patient was treated with anlotinib, tislelizumab, and albumin-bound paclitaxel, resulting in significant tumor shrinkage and symptomatic relief. However, due to financial constraints, treatment was discontinued. One month later, the tumor rapidly progressed, leading to tracheal compression and asphyxiation, causing her death.</p><p><strong>Conclusion: </strong>This case highlights the potential benefits of combination therapy for advanced ATC, demonstrating significant temporary improvements. However, the discontinuation of treatment due to financial limitations led to rapid disease progression, underscoring the importance of continuous, accessible care. This case also emphasizes the impact of socio-economic factors on patient outcomes and survival in aggressive cancers.</p>\",\"PeriodicalId\":19534,\"journal\":{\"name\":\"OncoTargets and therapy\",\"volume\":\"18 \",\"pages\":\"325-333\"},\"PeriodicalIF\":2.8000,\"publicationDate\":\"2025-03-10\",\"publicationTypes\":\"Journal Article\",\"fieldsOfStudy\":null,\"isOpenAccess\":false,\"openAccessPdf\":\"https://www.ncbi.nlm.nih.gov/pmc/articles/PMC11908399/pdf/\",\"citationCount\":\"0\",\"resultStr\":null,\"platform\":\"Semanticscholar\",\"paperid\":null,\"PeriodicalName\":\"OncoTargets and therapy\",\"FirstCategoryId\":\"3\",\"ListUrlMain\":\"https://doi.org/10.2147/OTT.S504279\",\"RegionNum\":4,\"RegionCategory\":\"医学\",\"ArticlePicture\":[],\"TitleCN\":null,\"AbstractTextCN\":null,\"PMCID\":null,\"EPubDate\":\"2025/1/1 0:00:00\",\"PubModel\":\"eCollection\",\"JCR\":\"Q3\",\"JCRName\":\"BIOTECHNOLOGY & APPLIED MICROBIOLOGY\",\"Score\":null,\"Total\":0}","platform":"Semanticscholar","paperid":null,"PeriodicalName":"OncoTargets and therapy","FirstCategoryId":"3","ListUrlMain":"https://doi.org/10.2147/OTT.S504279","RegionNum":4,"RegionCategory":"医学","ArticlePicture":[],"TitleCN":null,"AbstractTextCN":null,"PMCID":null,"EPubDate":"2025/1/1 0:00:00","PubModel":"eCollection","JCR":"Q3","JCRName":"BIOTECHNOLOGY & APPLIED MICROBIOLOGY","Score":null,"Total":0}
引用次数: 0

摘要

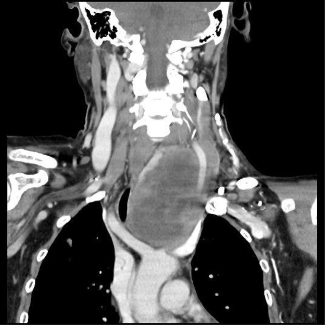
背景:间变性甲状腺癌(ATC)是一种罕见的、高度侵袭性的恶性肿瘤,占甲状腺癌的不到2%,但对发病率和死亡率有重要影响。尽管其进展迅速且预后差,但靶向治疗和免疫治疗的最新进展为治疗提供了一些希望。病例介绍:一名55岁女性,既往无甲状腺疾病,常规检查后发现颈部肿块,诊断为晚期ATC。她表现为肿瘤压迫气管、喉返神经和颈动脉窦,并伴有霍纳综合征。细针穿刺证实间变性肉瘤。在多学科会诊后,患者接受了anlotinib、tislelizumab和白蛋白结合紫杉醇治疗,肿瘤明显缩小,症状缓解。然而,由于财政限制,治疗停止了。一个月后,肿瘤迅速发展,导致气管压迫和窒息,导致她死亡。结论:该病例强调了联合治疗晚期ATC的潜在益处,显示出显着的暂时性改善。然而,由于资金限制而停止治疗导致疾病迅速进展,强调了持续、可获得的护理的重要性。该病例还强调了社会经济因素对侵袭性癌症患者预后和生存的影响。
本文章由计算机程序翻译,如有差异,请以英文原文为准。

Comprehensive Treatment of Anaplastic Thyroid Cancer: A Case Report.

Comprehensive Treatment of Anaplastic Thyroid Cancer: A Case Report.

Comprehensive Treatment of Anaplastic Thyroid Cancer: A Case Report.

Comprehensive Treatment of Anaplastic Thyroid Cancer: A Case Report.

Background: Anaplastic thyroid cancer (ATC) is a rare, highly aggressive malignancy that accounts for less than 2% of thyroid cancers but contributes significantly to morbidity and mortality. Despite its rapid progression and poor prognosis, recent advances in targeted therapies and immunotherapies offer some hope for treatment.

Case presentation: A 55-year-old female with no prior thyroid disease was diagnosed with advanced ATC after a routine check-up revealed a neck mass. She presented with a tumor compressing the trachea, recurrent laryngeal nerve, and carotid sinus, accompanied by Horner's syndrome. Fine-needle aspiration confirmed anaplastic sarcoma. After a multidisciplinary consultation, the patient was treated with anlotinib, tislelizumab, and albumin-bound paclitaxel, resulting in significant tumor shrinkage and symptomatic relief. However, due to financial constraints, treatment was discontinued. One month later, the tumor rapidly progressed, leading to tracheal compression and asphyxiation, causing her death.

Conclusion: This case highlights the potential benefits of combination therapy for advanced ATC, demonstrating significant temporary improvements. However, the discontinuation of treatment due to financial limitations led to rapid disease progression, underscoring the importance of continuous, accessible care. This case also emphasizes the impact of socio-economic factors on patient outcomes and survival in aggressive cancers.

求助全文
通过发布文献求助,成功后即可免费获取论文全文。 去求助
来源期刊
OncoTargets and therapy
OncoTargets and therapy BIOTECHNOLOGY & APPLIED MICROBIOLOGY-ONCOLOGY
CiteScore
9.70
自引率
0.00%
发文量
221
审稿时长
1 months
期刊介绍: OncoTargets and Therapy is an international, peer-reviewed journal focusing on molecular aspects of cancer research, that is, the molecular diagnosis of and targeted molecular or precision therapy for all types of cancer. The journal is characterized by the rapid reporting of high-quality original research, basic science, reviews and evaluations, expert opinion and commentary that shed novel insight on a cancer or cancer subtype. Specific topics covered by the journal include: -Novel therapeutic targets and innovative agents -Novel therapeutic regimens for improved benefit and/or decreased side effects -Early stage clinical trials Further considerations when submitting to OncoTargets and Therapy: -Studies containing in vivo animal model data will be considered favorably. -Tissue microarray analyses will not be considered except in cases where they are supported by comprehensive biological studies involving multiple cell lines. -Biomarker association studies will be considered only when validated by comprehensive in vitro data and analysis of human tissue samples. -Studies utilizing publicly available data (e.g. GWAS/TCGA/GEO etc.) should add to the body of knowledge about a specific disease or relevant phenotype and must be validated using the authors’ own data through replication in an independent sample set and functional follow-up. -Bioinformatics studies must be validated using the authors’ own data through replication in an independent sample set and functional follow-up. -Single nucleotide polymorphism (SNP) studies will not be considered.
×
引用
GB/T 7714-2015
复制
MLA
复制
APA
复制
导出至
BibTeX EndNote RefMan NoteFirst NoteExpress
×
提示
您的信息不完整,为了账户安全,请先补充。
现在去补充
×
提示
您因"违规操作"
具体请查看互助需知
我知道了
×
提示
确定
请完成安全验证×
copy
已复制链接
快去分享给好友吧!
我知道了
右上角分享
点击右上角分享
0
联系我们:info@booksci.cn Book学术提供免费学术资源搜索服务,方便国内外学者检索中英文文献。致力于提供最便捷和优质的服务体验。 Copyright © 2023 布克学术 All rights reserved.
京ICP备2023020795号-1
ghs 京公网安备 11010802042870号
Book学术文献互助
Book学术文献互助群
群 号:604180095
Book学术官方微信