纵向胰空肠吻合术在胰头恶性肿瘤合并慢性胰腺炎切除术中的胰消化重建一例报告。

IF 0.7 Q4 SURGERY
Surgical Case Reports Pub Date : 2025-01-01 Epub Date: 2025-03-04 DOI:10.70352/scrj.cr.24-0015
Hironori Hayashi, Yuichiro Furutani, Hiroaki Sugita, Kei Sugano, Takahiro Yoshimura, Tetsuro Oda, Daisuke Fujimori, Koichiro Sawada, Masanori Kotake, Kaeko Oyama, Shintaro Yagi, Takuo Hara
{"title":"纵向胰空肠吻合术在胰头恶性肿瘤合并慢性胰腺炎切除术中的胰消化重建一例报告。","authors":"Hironori Hayashi, Yuichiro Furutani, Hiroaki Sugita, Kei Sugano, Takahiro Yoshimura, Tetsuro Oda, Daisuke Fujimori, Koichiro Sawada, Masanori Kotake, Kaeko Oyama, Shintaro Yagi, Takuo Hara","doi":"10.70352/scrj.cr.24-0015","DOIUrl":null,"url":null,"abstract":"<p><strong>Introduction: </strong>With progress in pancreatic surgery, a preservation of residual organ function has become more important. Pancreatic malignancies are occasionally accompanied by chronic pancreatitis (CP) and pancreatolithiasis (PL). Longitudinal pancreatojejunostomy (LPJ) is reportedly a useful method of surgical management in cases of CP with PL. We describe a patient with pancreatic head intraductal papillary mucinous carcinoma (IPMC) concomitant with PL, who underwent subtotal stomach-preserving pancreaticoduodenectomy (SSPPD) and LPJ for reconstruction.</p><p><strong>Case presentation: </strong>A man in his 70s was referred to our hospital with a pancreatic head tumor. He had been treated for CP, diabetes mellitus, and chronic kidney disease. Imaging revealed a cystic pancreatic head tumor with a solid component that was histologically confirmed as IPMC. In addition, multiple calcifications suggestive of PL were observed in the pancreatic body and tail. SSPPD and LPJ were performed to excise the PL as much as possible and preserve the residual pancreatic function. The postoperative course was uneventful, and no abdominal symptoms or tumor recurrences were observed for approximately 8 months after surgery.</p><p><strong>Conclusion: </strong>This patient with IPMC with residual pancreatic PL was treated with SSPPD and LPJ to maximize the residual pancreatic function and reduce the occurrence of postoperative pancreatitis.</p>","PeriodicalId":22096,"journal":{"name":"Surgical Case Reports","volume":"11 1","pages":""},"PeriodicalIF":0.7000,"publicationDate":"2025-01-01","publicationTypes":"Journal Article","fieldsOfStudy":null,"isOpenAccess":false,"openAccessPdf":"https://www.ncbi.nlm.nih.gov/pmc/articles/PMC11905986/pdf/","citationCount":"0","resultStr":"{\"title\":\"Longitudinal Pancreatojejunostomy for Pancreaticodigestive Reconstruction in the Resection of Pancreatic Head Malignancy with Chronic Pancreatitis: A Case Report.\",\"authors\":\"Hironori Hayashi, Yuichiro Furutani, Hiroaki Sugita, Kei Sugano, Takahiro Yoshimura, Tetsuro Oda, Daisuke Fujimori, Koichiro Sawada, Masanori Kotake, Kaeko Oyama, Shintaro Yagi, Takuo Hara\",\"doi\":\"10.70352/scrj.cr.24-0015\",\"DOIUrl\":null,\"url\":null,\"abstract\":\"<p><strong>Introduction: </strong>With progress in pancreatic surgery, a preservation of residual organ function has become more important. Pancreatic malignancies are occasionally accompanied by chronic pancreatitis (CP) and pancreatolithiasis (PL). Longitudinal pancreatojejunostomy (LPJ) is reportedly a useful method of surgical management in cases of CP with PL. We describe a patient with pancreatic head intraductal papillary mucinous carcinoma (IPMC) concomitant with PL, who underwent subtotal stomach-preserving pancreaticoduodenectomy (SSPPD) and LPJ for reconstruction.</p><p><strong>Case presentation: </strong>A man in his 70s was referred to our hospital with a pancreatic head tumor. He had been treated for CP, diabetes mellitus, and chronic kidney disease. Imaging revealed a cystic pancreatic head tumor with a solid component that was histologically confirmed as IPMC. In addition, multiple calcifications suggestive of PL were observed in the pancreatic body and tail. SSPPD and LPJ were performed to excise the PL as much as possible and preserve the residual pancreatic function. The postoperative course was uneventful, and no abdominal symptoms or tumor recurrences were observed for approximately 8 months after surgery.</p><p><strong>Conclusion: </strong>This patient with IPMC with residual pancreatic PL was treated with SSPPD and LPJ to maximize the residual pancreatic function and reduce the occurrence of postoperative pancreatitis.</p>\",\"PeriodicalId\":22096,\"journal\":{\"name\":\"Surgical Case Reports\",\"volume\":\"11 1\",\"pages\":\"\"},\"PeriodicalIF\":0.7000,\"publicationDate\":\"2025-01-01\",\"publicationTypes\":\"Journal Article\",\"fieldsOfStudy\":null,\"isOpenAccess\":false,\"openAccessPdf\":\"https://www.ncbi.nlm.nih.gov/pmc/articles/PMC11905986/pdf/\",\"citationCount\":\"0\",\"resultStr\":null,\"platform\":\"Semanticscholar\",\"paperid\":null,\"PeriodicalName\":\"Surgical Case Reports\",\"FirstCategoryId\":\"1085\",\"ListUrlMain\":\"https://doi.org/10.70352/scrj.cr.24-0015\",\"RegionNum\":0,\"RegionCategory\":null,\"ArticlePicture\":[],\"TitleCN\":null,\"AbstractTextCN\":null,\"PMCID\":null,\"EPubDate\":\"2025/3/4 0:00:00\",\"PubModel\":\"Epub\",\"JCR\":\"Q4\",\"JCRName\":\"SURGERY\",\"Score\":null,\"Total\":0}","platform":"Semanticscholar","paperid":null,"PeriodicalName":"Surgical Case Reports","FirstCategoryId":"1085","ListUrlMain":"https://doi.org/10.70352/scrj.cr.24-0015","RegionNum":0,"RegionCategory":null,"ArticlePicture":[],"TitleCN":null,"AbstractTextCN":null,"PMCID":null,"EPubDate":"2025/3/4 0:00:00","PubModel":"Epub","JCR":"Q4","JCRName":"SURGERY","Score":null,"Total":0}
引用次数: 0

摘要

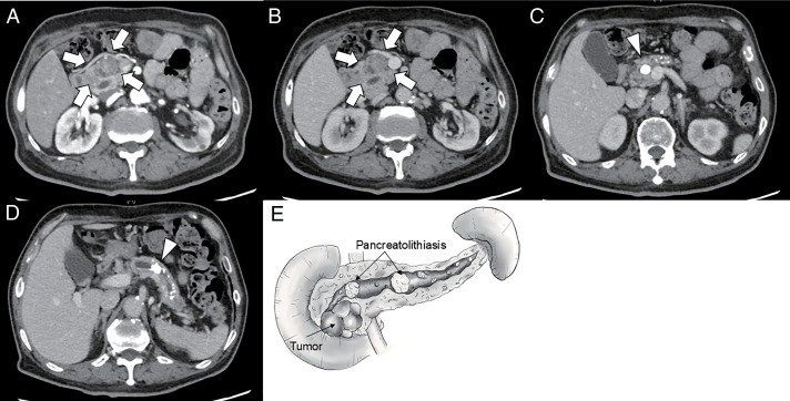
导言:随着胰腺手术的进展,保留器官的残余功能变得越来越重要。胰腺恶性肿瘤偶尔伴有慢性胰腺炎(CP)和胰石症(PL)。纵向胰空肠吻合术(LPJ)是一种有效的手术治疗CP合并PL的方法。我们描述了一例胰头导管内乳头状粘液癌(IPMC)合并PL的患者,接受了保胃胰十二指肠大部切除术(SSPPD)和LPJ重建。病例介绍:一名70多岁的男子因胰腺头部肿瘤转诊至我院。他曾接受过CP、糖尿病和慢性肾脏疾病的治疗。影像学显示一囊性胰头肿瘤伴实性成分,组织学证实为IPMC。胰腺体和尾部可见多处钙化,提示前列腺增生。采用SSPPD和LPJ,尽可能切除胰脏,保留胰脏功能。术后过程平稳,术后约8个月未见腹部症状或肿瘤复发。结论:本例IPMC合并胰腺残留PL患者采用SSPPD联合LPJ治疗,可最大限度地恢复胰腺残留功能,减少术后胰腺炎的发生。
本文章由计算机程序翻译,如有差异,请以英文原文为准。

Longitudinal Pancreatojejunostomy for Pancreaticodigestive Reconstruction in the Resection of Pancreatic Head Malignancy with Chronic Pancreatitis: A Case Report.

Longitudinal Pancreatojejunostomy for Pancreaticodigestive Reconstruction in the Resection of Pancreatic Head Malignancy with Chronic Pancreatitis: A Case Report.

Longitudinal Pancreatojejunostomy for Pancreaticodigestive Reconstruction in the Resection of Pancreatic Head Malignancy with Chronic Pancreatitis: A Case Report.

Longitudinal Pancreatojejunostomy for Pancreaticodigestive Reconstruction in the Resection of Pancreatic Head Malignancy with Chronic Pancreatitis: A Case Report.

Introduction: With progress in pancreatic surgery, a preservation of residual organ function has become more important. Pancreatic malignancies are occasionally accompanied by chronic pancreatitis (CP) and pancreatolithiasis (PL). Longitudinal pancreatojejunostomy (LPJ) is reportedly a useful method of surgical management in cases of CP with PL. We describe a patient with pancreatic head intraductal papillary mucinous carcinoma (IPMC) concomitant with PL, who underwent subtotal stomach-preserving pancreaticoduodenectomy (SSPPD) and LPJ for reconstruction.

Case presentation: A man in his 70s was referred to our hospital with a pancreatic head tumor. He had been treated for CP, diabetes mellitus, and chronic kidney disease. Imaging revealed a cystic pancreatic head tumor with a solid component that was histologically confirmed as IPMC. In addition, multiple calcifications suggestive of PL were observed in the pancreatic body and tail. SSPPD and LPJ were performed to excise the PL as much as possible and preserve the residual pancreatic function. The postoperative course was uneventful, and no abdominal symptoms or tumor recurrences were observed for approximately 8 months after surgery.

Conclusion: This patient with IPMC with residual pancreatic PL was treated with SSPPD and LPJ to maximize the residual pancreatic function and reduce the occurrence of postoperative pancreatitis.

求助全文
通过发布文献求助,成功后即可免费获取论文全文。 去求助
来源期刊
自引率
0.00%
发文量
218
审稿时长
13 weeks
×
引用
GB/T 7714-2015
复制
MLA
复制
APA
复制
导出至
BibTeX EndNote RefMan NoteFirst NoteExpress
×
提示
您的信息不完整,为了账户安全,请先补充。
现在去补充
×
提示
您因"违规操作"
具体请查看互助需知
我知道了
×
提示
确定
请完成安全验证×
copy
已复制链接
快去分享给好友吧!
我知道了
右上角分享
点击右上角分享
0
联系我们:info@booksci.cn Book学术提供免费学术资源搜索服务,方便国内外学者检索中英文文献。致力于提供最便捷和优质的服务体验。 Copyright © 2023 布克学术 All rights reserved.
京ICP备2023020795号-1
ghs 京公网安备 11010802042870号
Book学术文献互助
Book学术文献互助群
群 号:604180095
Book学术官方微信