第二版报告唾液腺细胞病理学的米兰系统:系统应用,结果和细胞组织学的相关性。

IF 1 4区 医学 Q4 MEDICAL LABORATORY TECHNOLOGY
Journal of Cytology Pub Date : 2024-01-01 Epub Date: 2025-02-11 DOI:10.4103/joc.joc_24_24
Magdalena Onyszczuk, Bogna Drozdzowska
{"title":"第二版报告唾液腺细胞病理学的米兰系统:系统应用,结果和细胞组织学的相关性。","authors":"Magdalena Onyszczuk, Bogna Drozdzowska","doi":"10.4103/joc.joc_24_24","DOIUrl":null,"url":null,"abstract":"<p><strong>Background: </strong>Fine needle aspiration (FNA) cytology for salivary gland lesions is sensitive and specific for diagnosing and treating salivary gland pathologies. The objective of the Milan System for Reporting Salivary Gland Cytopathology (MSRSGC) is to organize the diagnostic information from the FNA into a uniform reporting terminology.</p><p><strong>Aims: </strong>The study was conducted retrospectively to reclassify previous diagnoses into the MSRSGC categories to determine the cytohistological concordance and assess the risk stratification by calculating the risk of malignancy (ROM) for different categories.</p><p><strong>Materials and methods: </strong>A total of 248 FNA cases of salivary gland lesions were analyzed and reclassified according to the second edition of the MSRSGC. The histological diagnosis was considered the gold standard. The ROM for each category was calculated based on 101 histopathologic follow-up cases.</p><p><strong>Results: </strong>Of the 248 patients, 1.2% were classified as nondiagnostic, 37.9% as nonneoplastic, 1.2% as atypia of undetermined significance (AUS), 52.8% as benign neoplasm, 0.4% as uncertain malignant potential (SUMP), 0.4% as suspicious of malignancy (SFM), and 6.1% as malignant neoplasm. Histopathological correlation was available in 101 cases. The ROM was 0% for nonneoplastic lesions and benign neoplasms, and 100% for AUS, SUMP, SFM, and malignant categories. The sensitivity, specificity, positive predictive value, and negative predictive value of FNA cytology in diagnosing salivary gland lesions using MSRSGC were found to be 76.5%, 100%, 100%, and 95.3%, respectively.</p><p><strong>Conclusion: </strong>The use of the MSRSGC helps in triaging patients with salivary gland lesions, increases the effectiveness of communication between clinicians and pathologists, and thus facilitates individualized patient management.</p>","PeriodicalId":50217,"journal":{"name":"Journal of Cytology","volume":"42 1","pages":"1-10"},"PeriodicalIF":1.0000,"publicationDate":"2024-01-01","publicationTypes":"Journal Article","fieldsOfStudy":null,"isOpenAccess":false,"openAccessPdf":"https://www.ncbi.nlm.nih.gov/pmc/articles/PMC11896119/pdf/","citationCount":"0","resultStr":"{\"title\":\"The Second Edition of the Milan System for Reporting Salivary Gland Cytopathology: System Application, Outcome, and Cytohistological Correlation.\",\"authors\":\"Magdalena Onyszczuk, Bogna Drozdzowska\",\"doi\":\"10.4103/joc.joc_24_24\",\"DOIUrl\":null,\"url\":null,\"abstract\":\"<p><strong>Background: </strong>Fine needle aspiration (FNA) cytology for salivary gland lesions is sensitive and specific for diagnosing and treating salivary gland pathologies. The objective of the Milan System for Reporting Salivary Gland Cytopathology (MSRSGC) is to organize the diagnostic information from the FNA into a uniform reporting terminology.</p><p><strong>Aims: </strong>The study was conducted retrospectively to reclassify previous diagnoses into the MSRSGC categories to determine the cytohistological concordance and assess the risk stratification by calculating the risk of malignancy (ROM) for different categories.</p><p><strong>Materials and methods: </strong>A total of 248 FNA cases of salivary gland lesions were analyzed and reclassified according to the second edition of the MSRSGC. The histological diagnosis was considered the gold standard. The ROM for each category was calculated based on 101 histopathologic follow-up cases.</p><p><strong>Results: </strong>Of the 248 patients, 1.2% were classified as nondiagnostic, 37.9% as nonneoplastic, 1.2% as atypia of undetermined significance (AUS), 52.8% as benign neoplasm, 0.4% as uncertain malignant potential (SUMP), 0.4% as suspicious of malignancy (SFM), and 6.1% as malignant neoplasm. Histopathological correlation was available in 101 cases. The ROM was 0% for nonneoplastic lesions and benign neoplasms, and 100% for AUS, SUMP, SFM, and malignant categories. The sensitivity, specificity, positive predictive value, and negative predictive value of FNA cytology in diagnosing salivary gland lesions using MSRSGC were found to be 76.5%, 100%, 100%, and 95.3%, respectively.</p><p><strong>Conclusion: </strong>The use of the MSRSGC helps in triaging patients with salivary gland lesions, increases the effectiveness of communication between clinicians and pathologists, and thus facilitates individualized patient management.</p>\",\"PeriodicalId\":50217,\"journal\":{\"name\":\"Journal of Cytology\",\"volume\":\"42 1\",\"pages\":\"1-10\"},\"PeriodicalIF\":1.0000,\"publicationDate\":\"2024-01-01\",\"publicationTypes\":\"Journal Article\",\"fieldsOfStudy\":null,\"isOpenAccess\":false,\"openAccessPdf\":\"https://www.ncbi.nlm.nih.gov/pmc/articles/PMC11896119/pdf/\",\"citationCount\":\"0\",\"resultStr\":null,\"platform\":\"Semanticscholar\",\"paperid\":null,\"PeriodicalName\":\"Journal of Cytology\",\"FirstCategoryId\":\"3\",\"ListUrlMain\":\"https://doi.org/10.4103/joc.joc_24_24\",\"RegionNum\":4,\"RegionCategory\":\"医学\",\"ArticlePicture\":[],\"TitleCN\":null,\"AbstractTextCN\":null,\"PMCID\":null,\"EPubDate\":\"2025/2/11 0:00:00\",\"PubModel\":\"Epub\",\"JCR\":\"Q4\",\"JCRName\":\"MEDICAL LABORATORY TECHNOLOGY\",\"Score\":null,\"Total\":0}","platform":"Semanticscholar","paperid":null,"PeriodicalName":"Journal of Cytology","FirstCategoryId":"3","ListUrlMain":"https://doi.org/10.4103/joc.joc_24_24","RegionNum":4,"RegionCategory":"医学","ArticlePicture":[],"TitleCN":null,"AbstractTextCN":null,"PMCID":null,"EPubDate":"2025/2/11 0:00:00","PubModel":"Epub","JCR":"Q4","JCRName":"MEDICAL LABORATORY TECHNOLOGY","Score":null,"Total":0}
引用次数: 0

摘要

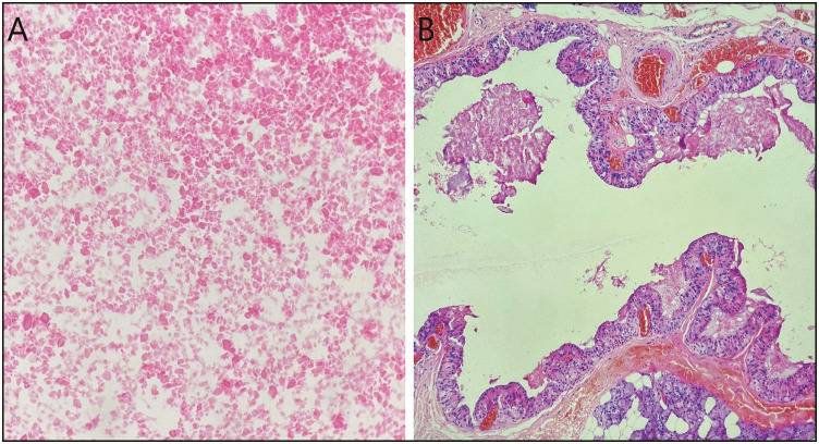
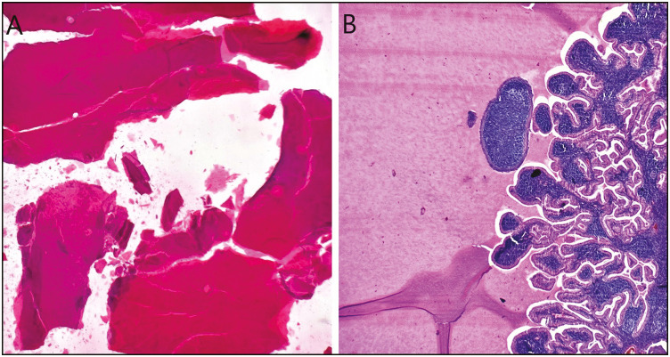
背景:细针穿刺(FNA)细胞学检查对涎腺病变的诊断和治疗具有敏感性和特异性。米兰唾液腺细胞病理学报告系统(MSRSGC)的目标是将来自FNA的诊断信息组织成统一的报告术语。目的:本研究采用回顾性方法对既往诊断进行MSRSGC分类,以确定细胞组织学一致性,并通过计算不同分类的恶性肿瘤(ROM)风险来评估风险分层。材料与方法:对248例FNA涎腺病变病例进行分析,并按照第二版MSRSGC重新分类。组织学诊断被认为是金标准。根据101例组织病理学随访病例计算每一类的ROM。结果:248例患者中,1.2%为不可诊断性,37.9%为非肿瘤性,1.2%为不确定意义异型(AUS), 52.8%为良性肿瘤,0.4%为不确定恶性潜能(SUMP), 0.4%为可疑恶性肿瘤(SFM), 6.1%为恶性肿瘤。101例有组织病理学相关性。非肿瘤性病变和良性肿瘤的ROM为0%,AUS、SUMP、SFM和恶性肿瘤的ROM为100%。FNA细胞学在MSRSGC诊断唾液腺病变中的敏感性为76.5%,特异性为100%,阳性预测值为100%,阴性预测值为95.3%。结论:使用MSRSGC有助于对唾液腺病变患者进行分诊,提高临床医师与病理医师之间沟通的有效性,从而促进患者的个性化管理。
本文章由计算机程序翻译,如有差异,请以英文原文为准。

The Second Edition of the Milan System for Reporting Salivary Gland Cytopathology: System Application, Outcome, and Cytohistological Correlation.

The Second Edition of the Milan System for Reporting Salivary Gland Cytopathology: System Application, Outcome, and Cytohistological Correlation.

The Second Edition of the Milan System for Reporting Salivary Gland Cytopathology: System Application, Outcome, and Cytohistological Correlation.

The Second Edition of the Milan System for Reporting Salivary Gland Cytopathology: System Application, Outcome, and Cytohistological Correlation.

Background: Fine needle aspiration (FNA) cytology for salivary gland lesions is sensitive and specific for diagnosing and treating salivary gland pathologies. The objective of the Milan System for Reporting Salivary Gland Cytopathology (MSRSGC) is to organize the diagnostic information from the FNA into a uniform reporting terminology.

Aims: The study was conducted retrospectively to reclassify previous diagnoses into the MSRSGC categories to determine the cytohistological concordance and assess the risk stratification by calculating the risk of malignancy (ROM) for different categories.

Materials and methods: A total of 248 FNA cases of salivary gland lesions were analyzed and reclassified according to the second edition of the MSRSGC. The histological diagnosis was considered the gold standard. The ROM for each category was calculated based on 101 histopathologic follow-up cases.

Results: Of the 248 patients, 1.2% were classified as nondiagnostic, 37.9% as nonneoplastic, 1.2% as atypia of undetermined significance (AUS), 52.8% as benign neoplasm, 0.4% as uncertain malignant potential (SUMP), 0.4% as suspicious of malignancy (SFM), and 6.1% as malignant neoplasm. Histopathological correlation was available in 101 cases. The ROM was 0% for nonneoplastic lesions and benign neoplasms, and 100% for AUS, SUMP, SFM, and malignant categories. The sensitivity, specificity, positive predictive value, and negative predictive value of FNA cytology in diagnosing salivary gland lesions using MSRSGC were found to be 76.5%, 100%, 100%, and 95.3%, respectively.

Conclusion: The use of the MSRSGC helps in triaging patients with salivary gland lesions, increases the effectiveness of communication between clinicians and pathologists, and thus facilitates individualized patient management.

求助全文
通过发布文献求助,成功后即可免费获取论文全文。 去求助
来源期刊
Journal of Cytology
Journal of Cytology MEDICAL LABORATORY TECHNOLOGY-
CiteScore
1.80
自引率
7.70%
发文量
34
审稿时长
46 weeks
期刊介绍: The Journal of Cytology is the official Quarterly publication of the Indian Academy of Cytologists. It is in the 25th year of publication in the year 2008. The journal covers all aspects of diagnostic cytology, including fine needle aspiration cytology, gynecological and non-gynecological cytology. Articles on ancillary techniques, like cytochemistry, immunocytochemistry, electron microscopy, molecular cytopathology, as applied to cytological material are also welcome. The journal gives preference to clinically oriented studies over experimental and animal studies. The Journal would publish peer-reviewed original research papers, case reports, systematic reviews, meta-analysis, and debates.
×
引用
GB/T 7714-2015
复制
MLA
复制
APA
复制
导出至
BibTeX EndNote RefMan NoteFirst NoteExpress
×
提示
您的信息不完整,为了账户安全,请先补充。
现在去补充
×
提示
您因"违规操作"
具体请查看互助需知
我知道了
×
提示
确定
请完成安全验证×
copy
已复制链接
快去分享给好友吧!
我知道了
右上角分享
点击右上角分享
0
联系我们:info@booksci.cn Book学术提供免费学术资源搜索服务,方便国内外学者检索中英文文献。致力于提供最便捷和优质的服务体验。 Copyright © 2023 布克学术 All rights reserved.
京ICP备2023020795号-1
ghs 京公网安备 11010802042870号
Book学术文献互助
Book学术文献互助群
群 号:604180095
Book学术官方微信