免疫组织化学在减少“不确定意义异型性”(AUS)中的作用浆液细胞学分类。

IF 1 4区 医学 Q4 MEDICAL LABORATORY TECHNOLOGY
Journal of Cytology Pub Date : 2025-01-01 Epub Date: 2025-02-11 DOI:10.4103/joc.joc_212_23
Enver Yarikkaya, Senay Erdogan-Durmus
{"title":"免疫组织化学在减少“不确定意义异型性”(AUS)中的作用浆液细胞学分类。","authors":"Enver Yarikkaya, Senay Erdogan-Durmus","doi":"10.4103/joc.joc_212_23","DOIUrl":null,"url":null,"abstract":"<p><strong>Background and aims: </strong>The International Serous Fluid Cytopathology Reporting System aimed to establish standardized protocols to ensure consistency in the reporting of serous fluid cytological specimens. In the search for higher diagnostic accuracy and a reduction in indeterminate categories, such as atypia of undetermined significance (AUS), ancillary tests like immunohistochemical (IHC) staining panels were performed. In our study, we aimed to evaluate whether the category of cases diagnosed as AUS by initial examination would change at the end of IHC studies.</p><p><strong>Materials and methods: </strong>In total, 375 serous fluid cytology samples were examined in our laboratory for 10 months. Of these, 37 cases that were initially diagnosed as AUS were included in the study. A control group, comprising 20 cases initially diagnosed as negative for malignancy (NFM) was used. For the IHC study, sections from cell blocks were used for each group Then, the slides were stained with Ep-CAM/epithelial specific antigen (MOC31), Hector Battifora mesothelial-1 (HBME-1), and cluster of differentiation 68 (CD68).</p><p><strong>Results: </strong>Following the IHC study involving MOC31, HBME-1, and CD68, a significant reclassification was observed in cases initially diagnosed as AUS. Specifically, in 86.1% of these cases, a definitive categorization into either NFM or malignant was achieved. Statistical analysis revealed a significant difference between the two groups in terms of achieving a definitive category after the IHC study (<i>P</i> < 0.05).</p><p><strong>Conclusion: </strong>Our study emphasizes the critical importance of enhancing the initial IHC panel, initially composed of epithelial and mesothelial markers, with CD68. This strategic addition contributed significantly to the reduction of cases categorized as AUS.</p>","PeriodicalId":50217,"journal":{"name":"Journal of Cytology","volume":"42 1","pages":"43-47"},"PeriodicalIF":1.0000,"publicationDate":"2025-01-01","publicationTypes":"Journal Article","fieldsOfStudy":null,"isOpenAccess":false,"openAccessPdf":"https://www.ncbi.nlm.nih.gov/pmc/articles/PMC11896120/pdf/","citationCount":"0","resultStr":"{\"title\":\"The Role of Immunohistochemistry in Reducing the \\\"Atypia of Undetermined Significance (AUS)\\\" Category in Serous Fluid Cytology.\",\"authors\":\"Enver Yarikkaya, Senay Erdogan-Durmus\",\"doi\":\"10.4103/joc.joc_212_23\",\"DOIUrl\":null,\"url\":null,\"abstract\":\"<p><strong>Background and aims: </strong>The International Serous Fluid Cytopathology Reporting System aimed to establish standardized protocols to ensure consistency in the reporting of serous fluid cytological specimens. In the search for higher diagnostic accuracy and a reduction in indeterminate categories, such as atypia of undetermined significance (AUS), ancillary tests like immunohistochemical (IHC) staining panels were performed. In our study, we aimed to evaluate whether the category of cases diagnosed as AUS by initial examination would change at the end of IHC studies.</p><p><strong>Materials and methods: </strong>In total, 375 serous fluid cytology samples were examined in our laboratory for 10 months. Of these, 37 cases that were initially diagnosed as AUS were included in the study. A control group, comprising 20 cases initially diagnosed as negative for malignancy (NFM) was used. For the IHC study, sections from cell blocks were used for each group Then, the slides were stained with Ep-CAM/epithelial specific antigen (MOC31), Hector Battifora mesothelial-1 (HBME-1), and cluster of differentiation 68 (CD68).</p><p><strong>Results: </strong>Following the IHC study involving MOC31, HBME-1, and CD68, a significant reclassification was observed in cases initially diagnosed as AUS. Specifically, in 86.1% of these cases, a definitive categorization into either NFM or malignant was achieved. Statistical analysis revealed a significant difference between the two groups in terms of achieving a definitive category after the IHC study (<i>P</i> < 0.05).</p><p><strong>Conclusion: </strong>Our study emphasizes the critical importance of enhancing the initial IHC panel, initially composed of epithelial and mesothelial markers, with CD68. This strategic addition contributed significantly to the reduction of cases categorized as AUS.</p>\",\"PeriodicalId\":50217,\"journal\":{\"name\":\"Journal of Cytology\",\"volume\":\"42 1\",\"pages\":\"43-47\"},\"PeriodicalIF\":1.0000,\"publicationDate\":\"2025-01-01\",\"publicationTypes\":\"Journal Article\",\"fieldsOfStudy\":null,\"isOpenAccess\":false,\"openAccessPdf\":\"https://www.ncbi.nlm.nih.gov/pmc/articles/PMC11896120/pdf/\",\"citationCount\":\"0\",\"resultStr\":null,\"platform\":\"Semanticscholar\",\"paperid\":null,\"PeriodicalName\":\"Journal of Cytology\",\"FirstCategoryId\":\"3\",\"ListUrlMain\":\"https://doi.org/10.4103/joc.joc_212_23\",\"RegionNum\":4,\"RegionCategory\":\"医学\",\"ArticlePicture\":[],\"TitleCN\":null,\"AbstractTextCN\":null,\"PMCID\":null,\"EPubDate\":\"2025/2/11 0:00:00\",\"PubModel\":\"Epub\",\"JCR\":\"Q4\",\"JCRName\":\"MEDICAL LABORATORY TECHNOLOGY\",\"Score\":null,\"Total\":0}","platform":"Semanticscholar","paperid":null,"PeriodicalName":"Journal of Cytology","FirstCategoryId":"3","ListUrlMain":"https://doi.org/10.4103/joc.joc_212_23","RegionNum":4,"RegionCategory":"医学","ArticlePicture":[],"TitleCN":null,"AbstractTextCN":null,"PMCID":null,"EPubDate":"2025/2/11 0:00:00","PubModel":"Epub","JCR":"Q4","JCRName":"MEDICAL LABORATORY TECHNOLOGY","Score":null,"Total":0}
引用次数: 0

摘要

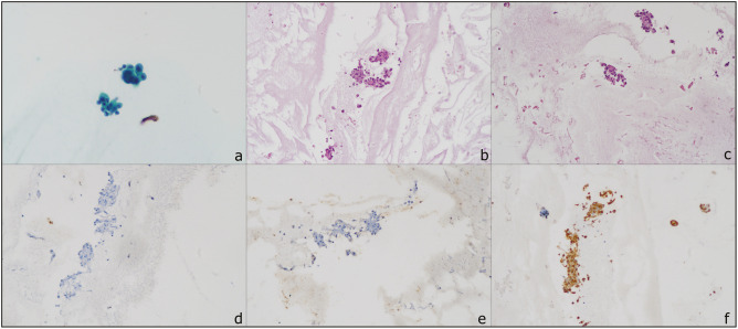
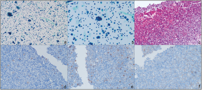
背景和目的:国际浆液细胞病理学报告系统旨在建立标准化的协议,以确保浆液细胞学标本报告的一致性。为了寻求更高的诊断准确性和减少不确定类别,如未确定意义的异型性(AUS),进行了免疫组织化学(IHC)染色板等辅助测试。在我们的研究中,我们的目的是评估在IHC研究结束时,通过初始检查诊断为AUS的病例类别是否会改变。材料和方法:共375例浆液细胞学样本在我们实验室进行了10个月的检查。其中,37例最初被诊断为AUS的病例被纳入研究。对照组包括20例最初诊断为恶性肿瘤阴性(NFM)的病例。在免疫组化研究中,每组使用细胞块切片,然后用Ep-CAM/上皮特异性抗原(MOC31)、Hector Battifora mesothelial-1 (HBME-1)和分化集群68 (CD68)对载玻片进行染色。结果:在涉及MOC31、HBME-1和CD68的IHC研究中,在最初诊断为AUS的病例中观察到明显的重新分类。具体来说,在86.1%的病例中,明确的分类为NFM或恶性。统计分析显示,两组在IHC研究后获得明确的分类方面差异有统计学意义(P < 0.05)。结论:我们的研究强调了用CD68增强最初由上皮和间皮标记物组成的初始免疫组合体的重要性。这一战略性的增加大大有助于减少归类为AUS的病例。
本文章由计算机程序翻译,如有差异,请以英文原文为准。

The Role of Immunohistochemistry in Reducing the "Atypia of Undetermined Significance (AUS)" Category in Serous Fluid Cytology.

The Role of Immunohistochemistry in Reducing the "Atypia of Undetermined Significance (AUS)" Category in Serous Fluid Cytology.

The Role of Immunohistochemistry in Reducing the "Atypia of Undetermined Significance (AUS)" Category in Serous Fluid Cytology.

Background and aims: The International Serous Fluid Cytopathology Reporting System aimed to establish standardized protocols to ensure consistency in the reporting of serous fluid cytological specimens. In the search for higher diagnostic accuracy and a reduction in indeterminate categories, such as atypia of undetermined significance (AUS), ancillary tests like immunohistochemical (IHC) staining panels were performed. In our study, we aimed to evaluate whether the category of cases diagnosed as AUS by initial examination would change at the end of IHC studies.

Materials and methods: In total, 375 serous fluid cytology samples were examined in our laboratory for 10 months. Of these, 37 cases that were initially diagnosed as AUS were included in the study. A control group, comprising 20 cases initially diagnosed as negative for malignancy (NFM) was used. For the IHC study, sections from cell blocks were used for each group Then, the slides were stained with Ep-CAM/epithelial specific antigen (MOC31), Hector Battifora mesothelial-1 (HBME-1), and cluster of differentiation 68 (CD68).

Results: Following the IHC study involving MOC31, HBME-1, and CD68, a significant reclassification was observed in cases initially diagnosed as AUS. Specifically, in 86.1% of these cases, a definitive categorization into either NFM or malignant was achieved. Statistical analysis revealed a significant difference between the two groups in terms of achieving a definitive category after the IHC study (P < 0.05).

Conclusion: Our study emphasizes the critical importance of enhancing the initial IHC panel, initially composed of epithelial and mesothelial markers, with CD68. This strategic addition contributed significantly to the reduction of cases categorized as AUS.

求助全文
通过发布文献求助,成功后即可免费获取论文全文。 去求助
来源期刊
Journal of Cytology
Journal of Cytology MEDICAL LABORATORY TECHNOLOGY-
CiteScore
1.80
自引率
7.70%
发文量
34
审稿时长
46 weeks
期刊介绍: The Journal of Cytology is the official Quarterly publication of the Indian Academy of Cytologists. It is in the 25th year of publication in the year 2008. The journal covers all aspects of diagnostic cytology, including fine needle aspiration cytology, gynecological and non-gynecological cytology. Articles on ancillary techniques, like cytochemistry, immunocytochemistry, electron microscopy, molecular cytopathology, as applied to cytological material are also welcome. The journal gives preference to clinically oriented studies over experimental and animal studies. The Journal would publish peer-reviewed original research papers, case reports, systematic reviews, meta-analysis, and debates.
×
引用
GB/T 7714-2015
复制
MLA
复制
APA
复制
导出至
BibTeX EndNote RefMan NoteFirst NoteExpress
×
提示
您的信息不完整,为了账户安全,请先补充。
现在去补充
×
提示
您因"违规操作"
具体请查看互助需知
我知道了
×
提示
确定
请完成安全验证×
copy
已复制链接
快去分享给好友吧!
我知道了
右上角分享
点击右上角分享
0
联系我们:info@booksci.cn Book学术提供免费学术资源搜索服务,方便国内外学者检索中英文文献。致力于提供最便捷和优质的服务体验。 Copyright © 2023 布克学术 All rights reserved.
京ICP备2023020795号-1
ghs 京公网安备 11010802042870号
Book学术文献互助
Book学术文献互助群
群 号:604180095
Book学术官方微信