浆细胞出去游泳!积液和脑脊液累及骨髓瘤的研究:来自三级肿瘤中心的10年经验。

IF 1 4区 医学 Q4 MEDICAL LABORATORY TECHNOLOGY
Journal of Cytology Pub Date : 2024-01-01 Epub Date: 2025-02-11 DOI:10.4103/joc.joc_87_24
Sayantan De, Satarupa Samanta, Majal Shah
{"title":"浆细胞出去游泳!积液和脑脊液累及骨髓瘤的研究:来自三级肿瘤中心的10年经验。","authors":"Sayantan De, Satarupa Samanta, Majal Shah","doi":"10.4103/joc.joc_87_24","DOIUrl":null,"url":null,"abstract":"<p><strong>Background: </strong>Multiple myeloma (MM), a hematological malignancy marked by clonal plasma cells in the bone marrow, occasionally presents with myelomatous effusion-a rare condition with a median survival of <4 months. Central nervous system involvement (CNS-MM), characterized by plasma cell infiltration in the CNS, leptomeninges, or cerebrospinal fluid (CSF), is similarly rare and associated with dismal outcomes.</p><p><strong>Aims: </strong>To analyze the plasma cell involvement in body fluids and CSF in plasma cell neoplasms, correlating these findings with treatment strategies and patient outcomes.</p><p><strong>Materials and methods: </strong>This retrospective study was conducted in the Oncopathology Department of a tertiary state cancer institute over 10 years (2013-July 2024). It included cases of plasma cell neoplasms with confirmed involvement of body cavity fluids or CSF. Data reviewed included epidemiological profiles, biochemical and hematological findings, immunohistochemistry results, treatment regimens, and follow-up information.</p><p><strong>Results: </strong>A total of 16 cases demonstrated neoplastic plasma cell involvement: 12 cases in pleural fluid and 4 cases in CSF. Of these, nine cases were diagnosed with MM, five cases with plasmacytoma, and two cases with plasma cell leukemia. Treatment included chemotherapy (10 patients), palliative radiotherapy (4 patients), combined palliative radiotherapy and chemotherapy (1 patient), and curative radiotherapy with chemotherapy (1 patient). Despite these interventions, the mean survival was only 2 months.</p><p><strong>Conclusion: </strong>Myelomatous involvement of effusion fluids and CSF is associated with a grim prognosis. These findings underscore the urgent need for multidisciplinary research and the development of innovative therapeutic strategies to improve outcomes for these patients.</p>","PeriodicalId":50217,"journal":{"name":"Journal of Cytology","volume":"42 1","pages":"48-53"},"PeriodicalIF":1.0000,"publicationDate":"2024-01-01","publicationTypes":"Journal Article","fieldsOfStudy":null,"isOpenAccess":false,"openAccessPdf":"https://www.ncbi.nlm.nih.gov/pmc/articles/PMC11896116/pdf/","citationCount":"0","resultStr":"{\"title\":\"Plasma Cells Out for a Swim! A Study on Myelomatous Involvement of Effusion Fluid and Cerebrospinal Fluid: A 10-Year Experience from a Tertiary Cancer Center.\",\"authors\":\"Sayantan De, Satarupa Samanta, Majal Shah\",\"doi\":\"10.4103/joc.joc_87_24\",\"DOIUrl\":null,\"url\":null,\"abstract\":\"<p><strong>Background: </strong>Multiple myeloma (MM), a hematological malignancy marked by clonal plasma cells in the bone marrow, occasionally presents with myelomatous effusion-a rare condition with a median survival of <4 months. Central nervous system involvement (CNS-MM), characterized by plasma cell infiltration in the CNS, leptomeninges, or cerebrospinal fluid (CSF), is similarly rare and associated with dismal outcomes.</p><p><strong>Aims: </strong>To analyze the plasma cell involvement in body fluids and CSF in plasma cell neoplasms, correlating these findings with treatment strategies and patient outcomes.</p><p><strong>Materials and methods: </strong>This retrospective study was conducted in the Oncopathology Department of a tertiary state cancer institute over 10 years (2013-July 2024). It included cases of plasma cell neoplasms with confirmed involvement of body cavity fluids or CSF. Data reviewed included epidemiological profiles, biochemical and hematological findings, immunohistochemistry results, treatment regimens, and follow-up information.</p><p><strong>Results: </strong>A total of 16 cases demonstrated neoplastic plasma cell involvement: 12 cases in pleural fluid and 4 cases in CSF. Of these, nine cases were diagnosed with MM, five cases with plasmacytoma, and two cases with plasma cell leukemia. Treatment included chemotherapy (10 patients), palliative radiotherapy (4 patients), combined palliative radiotherapy and chemotherapy (1 patient), and curative radiotherapy with chemotherapy (1 patient). Despite these interventions, the mean survival was only 2 months.</p><p><strong>Conclusion: </strong>Myelomatous involvement of effusion fluids and CSF is associated with a grim prognosis. These findings underscore the urgent need for multidisciplinary research and the development of innovative therapeutic strategies to improve outcomes for these patients.</p>\",\"PeriodicalId\":50217,\"journal\":{\"name\":\"Journal of Cytology\",\"volume\":\"42 1\",\"pages\":\"48-53\"},\"PeriodicalIF\":1.0000,\"publicationDate\":\"2024-01-01\",\"publicationTypes\":\"Journal Article\",\"fieldsOfStudy\":null,\"isOpenAccess\":false,\"openAccessPdf\":\"https://www.ncbi.nlm.nih.gov/pmc/articles/PMC11896116/pdf/\",\"citationCount\":\"0\",\"resultStr\":null,\"platform\":\"Semanticscholar\",\"paperid\":null,\"PeriodicalName\":\"Journal of Cytology\",\"FirstCategoryId\":\"3\",\"ListUrlMain\":\"https://doi.org/10.4103/joc.joc_87_24\",\"RegionNum\":4,\"RegionCategory\":\"医学\",\"ArticlePicture\":[],\"TitleCN\":null,\"AbstractTextCN\":null,\"PMCID\":null,\"EPubDate\":\"2025/2/11 0:00:00\",\"PubModel\":\"Epub\",\"JCR\":\"Q4\",\"JCRName\":\"MEDICAL LABORATORY TECHNOLOGY\",\"Score\":null,\"Total\":0}","platform":"Semanticscholar","paperid":null,"PeriodicalName":"Journal of Cytology","FirstCategoryId":"3","ListUrlMain":"https://doi.org/10.4103/joc.joc_87_24","RegionNum":4,"RegionCategory":"医学","ArticlePicture":[],"TitleCN":null,"AbstractTextCN":null,"PMCID":null,"EPubDate":"2025/2/11 0:00:00","PubModel":"Epub","JCR":"Q4","JCRName":"MEDICAL LABORATORY TECHNOLOGY","Score":null,"Total":0}
引用次数: 0

摘要

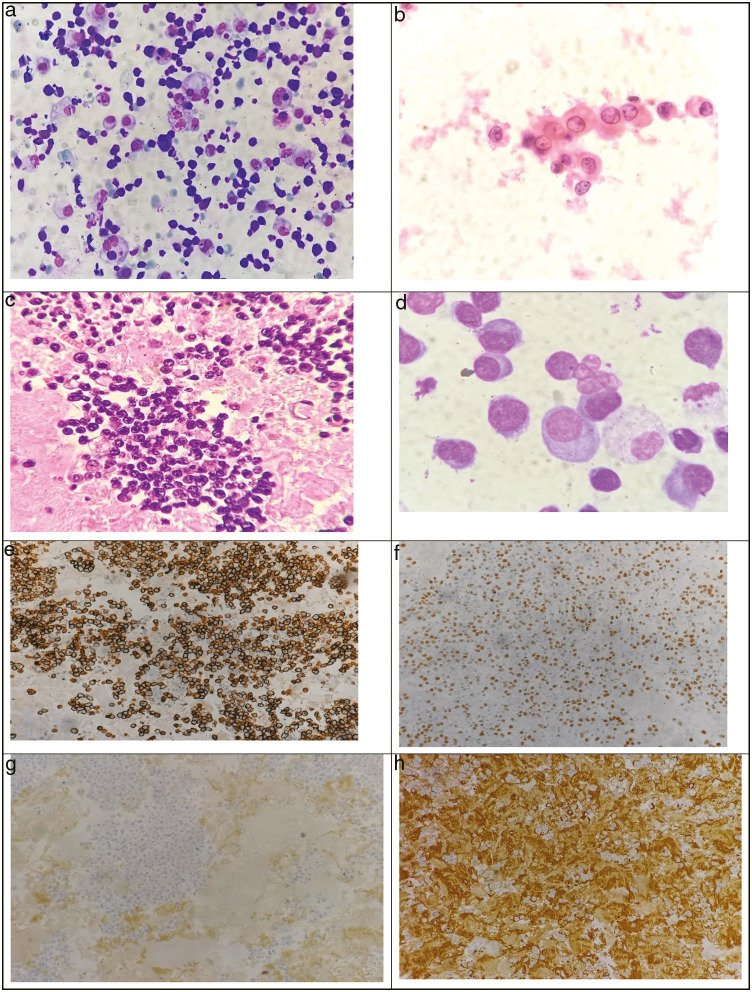
背景:多发性骨髓瘤(MM)是一种以骨髓中克隆浆细胞为特征的血液系统恶性肿瘤,偶尔会出现骨髓瘤性积液,这是一种罕见的疾病,中位生存期为:目的:分析浆细胞在浆细胞肿瘤中对体液和脑脊液的影响,并将这些发现与治疗策略和患者预后联系起来。材料和方法:本回顾性研究在某三级国立癌症研究所肿瘤病理学系进行,历时10年(2013- 2024年7月)。其中包括确认累及体腔液或脑脊液的浆细胞肿瘤病例。回顾的数据包括流行病学资料、生化和血液学结果、免疫组织化学结果、治疗方案和随访信息。结果:16例肿瘤浆细胞累及:12例胸腔积液,4例脑脊液。其中,9例诊断为MM, 5例诊断为浆细胞瘤,2例诊断为浆细胞白血病。治疗包括化疗(10例)、姑息放疗(4例)、姑息放疗加化疗(1例)、治疗性放疗加化疗(1例)。尽管采取了这些干预措施,平均生存期仅为2个月。结论:骨髓瘤累及积液和脑脊液预后不良。这些发现强调了多学科研究和创新治疗策略发展的迫切需要,以改善这些患者的预后。
本文章由计算机程序翻译,如有差异,请以英文原文为准。

Plasma Cells Out for a Swim! A Study on Myelomatous Involvement of Effusion Fluid and Cerebrospinal Fluid: A 10-Year Experience from a Tertiary Cancer Center.

Plasma Cells Out for a Swim! A Study on Myelomatous Involvement of Effusion Fluid and Cerebrospinal Fluid: A 10-Year Experience from a Tertiary Cancer Center.

Background: Multiple myeloma (MM), a hematological malignancy marked by clonal plasma cells in the bone marrow, occasionally presents with myelomatous effusion-a rare condition with a median survival of <4 months. Central nervous system involvement (CNS-MM), characterized by plasma cell infiltration in the CNS, leptomeninges, or cerebrospinal fluid (CSF), is similarly rare and associated with dismal outcomes.

Aims: To analyze the plasma cell involvement in body fluids and CSF in plasma cell neoplasms, correlating these findings with treatment strategies and patient outcomes.

Materials and methods: This retrospective study was conducted in the Oncopathology Department of a tertiary state cancer institute over 10 years (2013-July 2024). It included cases of plasma cell neoplasms with confirmed involvement of body cavity fluids or CSF. Data reviewed included epidemiological profiles, biochemical and hematological findings, immunohistochemistry results, treatment regimens, and follow-up information.

Results: A total of 16 cases demonstrated neoplastic plasma cell involvement: 12 cases in pleural fluid and 4 cases in CSF. Of these, nine cases were diagnosed with MM, five cases with plasmacytoma, and two cases with plasma cell leukemia. Treatment included chemotherapy (10 patients), palliative radiotherapy (4 patients), combined palliative radiotherapy and chemotherapy (1 patient), and curative radiotherapy with chemotherapy (1 patient). Despite these interventions, the mean survival was only 2 months.

Conclusion: Myelomatous involvement of effusion fluids and CSF is associated with a grim prognosis. These findings underscore the urgent need for multidisciplinary research and the development of innovative therapeutic strategies to improve outcomes for these patients.

求助全文
通过发布文献求助,成功后即可免费获取论文全文。 去求助
来源期刊
Journal of Cytology
Journal of Cytology MEDICAL LABORATORY TECHNOLOGY-
CiteScore
1.80
自引率
7.70%
发文量
34
审稿时长
46 weeks
期刊介绍: The Journal of Cytology is the official Quarterly publication of the Indian Academy of Cytologists. It is in the 25th year of publication in the year 2008. The journal covers all aspects of diagnostic cytology, including fine needle aspiration cytology, gynecological and non-gynecological cytology. Articles on ancillary techniques, like cytochemistry, immunocytochemistry, electron microscopy, molecular cytopathology, as applied to cytological material are also welcome. The journal gives preference to clinically oriented studies over experimental and animal studies. The Journal would publish peer-reviewed original research papers, case reports, systematic reviews, meta-analysis, and debates.
×
引用
GB/T 7714-2015
复制
MLA
复制
APA
复制
导出至
BibTeX EndNote RefMan NoteFirst NoteExpress
×
提示
您的信息不完整,为了账户安全,请先补充。
现在去补充
×
提示
您因"违规操作"
具体请查看互助需知
我知道了
×
提示
确定
请完成安全验证×
copy
已复制链接
快去分享给好友吧!
我知道了
右上角分享
点击右上角分享
0
联系我们:info@booksci.cn Book学术提供免费学术资源搜索服务,方便国内外学者检索中英文文献。致力于提供最便捷和优质的服务体验。 Copyright © 2023 布克学术 All rights reserved.
京ICP备2023020795号-1
ghs 京公网安备 11010802042870号
Book学术文献互助
Book学术文献互助群
群 号:604180095
Book学术官方微信