基于悉尼淋巴结细胞学报告系统的淋巴结细针穿刺评估及恶性肿瘤风险评估。

IF 1 4区 医学 Q4 MEDICAL LABORATORY TECHNOLOGY
Journal of Cytology Pub Date : 2024-01-01 Epub Date: 2025-02-11 DOI:10.4103/joc.joc_20_24
Shreshtha Ghosh, Priyadarshini Guha, Shweta Verma, Neelima Gupta, Jitendra Kumar Vimal, Pallavi Prasad, Gitika Pant
{"title":"基于悉尼淋巴结细胞学报告系统的淋巴结细针穿刺评估及恶性肿瘤风险评估。","authors":"Shreshtha Ghosh, Priyadarshini Guha, Shweta Verma, Neelima Gupta, Jitendra Kumar Vimal, Pallavi Prasad, Gitika Pant","doi":"10.4103/joc.joc_20_24","DOIUrl":null,"url":null,"abstract":"<p><strong>Background: </strong>Fine-needle aspiration cytology (FNAC) being the first-line of technique is considered the most popular method for diagnosing lymphadenopathy. Diagnosis of a lymph node lesion is challenging due to the vast diversity in lymph node cytology. There has been a lack of standard guidelines for cytopathological reporting of lymph nodes. Sydney System has been recently proposed to provide consensus guidelines for the classification and reporting of lymph node FNAC and to maintain uniformity in reporting.</p><p><strong>Aims: </strong>The present study aimed to analyze the utility of the proposed Sydney System.</p><p><strong>Materials and methods: </strong>We retrospectively studied lymph node FNAC cases which were retrieved from hospital records with relevant clinical and radiological details along with the histopathological follow-up to assess the risk of malignancy in each category.</p><p><strong>Results: </strong>A total of 1572 cases from lymph nodes were reclassified according to the Sydney System. The most common site was cervical lymph nodes followed by intrabdominal, mediastinal, inguinal, and axillary. The risk of malignancy was found to be highest for category V (93.5%) and least for category II (13.7%) followed by category IV (66.6%), category III (33.3%), and category I (25%). The diagnostic accuracy of our study was 90.1%.</p><p><strong>Conclusions: </strong>The proposed Sydney System is helpful in the systematization and standardization of lymph node FNA diagnosis and reporting. It provides increased efficacy in clinical management with enhanced communication between clinicians and cytopathologists. Moreover, clinical practice would also benefit from management recommendations specific to diagnostic categories with increasing risk of malignancy.</p>","PeriodicalId":50217,"journal":{"name":"Journal of Cytology","volume":"42 1","pages":"11-19"},"PeriodicalIF":1.0000,"publicationDate":"2024-01-01","publicationTypes":"Journal Article","fieldsOfStudy":null,"isOpenAccess":false,"openAccessPdf":"https://www.ncbi.nlm.nih.gov/pmc/articles/PMC11896121/pdf/","citationCount":"0","resultStr":"{\"title\":\"Evaluation of Fine-Needle Aspiration of Lymph Nodes and Assessment of Risk of Malignancy Based on the Sydney System of Reporting Lymph Node Cytology.\",\"authors\":\"Shreshtha Ghosh, Priyadarshini Guha, Shweta Verma, Neelima Gupta, Jitendra Kumar Vimal, Pallavi Prasad, Gitika Pant\",\"doi\":\"10.4103/joc.joc_20_24\",\"DOIUrl\":null,\"url\":null,\"abstract\":\"<p><strong>Background: </strong>Fine-needle aspiration cytology (FNAC) being the first-line of technique is considered the most popular method for diagnosing lymphadenopathy. Diagnosis of a lymph node lesion is challenging due to the vast diversity in lymph node cytology. There has been a lack of standard guidelines for cytopathological reporting of lymph nodes. Sydney System has been recently proposed to provide consensus guidelines for the classification and reporting of lymph node FNAC and to maintain uniformity in reporting.</p><p><strong>Aims: </strong>The present study aimed to analyze the utility of the proposed Sydney System.</p><p><strong>Materials and methods: </strong>We retrospectively studied lymph node FNAC cases which were retrieved from hospital records with relevant clinical and radiological details along with the histopathological follow-up to assess the risk of malignancy in each category.</p><p><strong>Results: </strong>A total of 1572 cases from lymph nodes were reclassified according to the Sydney System. The most common site was cervical lymph nodes followed by intrabdominal, mediastinal, inguinal, and axillary. The risk of malignancy was found to be highest for category V (93.5%) and least for category II (13.7%) followed by category IV (66.6%), category III (33.3%), and category I (25%). The diagnostic accuracy of our study was 90.1%.</p><p><strong>Conclusions: </strong>The proposed Sydney System is helpful in the systematization and standardization of lymph node FNA diagnosis and reporting. It provides increased efficacy in clinical management with enhanced communication between clinicians and cytopathologists. Moreover, clinical practice would also benefit from management recommendations specific to diagnostic categories with increasing risk of malignancy.</p>\",\"PeriodicalId\":50217,\"journal\":{\"name\":\"Journal of Cytology\",\"volume\":\"42 1\",\"pages\":\"11-19\"},\"PeriodicalIF\":1.0000,\"publicationDate\":\"2024-01-01\",\"publicationTypes\":\"Journal Article\",\"fieldsOfStudy\":null,\"isOpenAccess\":false,\"openAccessPdf\":\"https://www.ncbi.nlm.nih.gov/pmc/articles/PMC11896121/pdf/\",\"citationCount\":\"0\",\"resultStr\":null,\"platform\":\"Semanticscholar\",\"paperid\":null,\"PeriodicalName\":\"Journal of Cytology\",\"FirstCategoryId\":\"3\",\"ListUrlMain\":\"https://doi.org/10.4103/joc.joc_20_24\",\"RegionNum\":4,\"RegionCategory\":\"医学\",\"ArticlePicture\":[],\"TitleCN\":null,\"AbstractTextCN\":null,\"PMCID\":null,\"EPubDate\":\"2025/2/11 0:00:00\",\"PubModel\":\"Epub\",\"JCR\":\"Q4\",\"JCRName\":\"MEDICAL LABORATORY TECHNOLOGY\",\"Score\":null,\"Total\":0}","platform":"Semanticscholar","paperid":null,"PeriodicalName":"Journal of Cytology","FirstCategoryId":"3","ListUrlMain":"https://doi.org/10.4103/joc.joc_20_24","RegionNum":4,"RegionCategory":"医学","ArticlePicture":[],"TitleCN":null,"AbstractTextCN":null,"PMCID":null,"EPubDate":"2025/2/11 0:00:00","PubModel":"Epub","JCR":"Q4","JCRName":"MEDICAL LABORATORY TECHNOLOGY","Score":null,"Total":0}
引用次数: 0

摘要

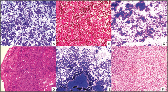
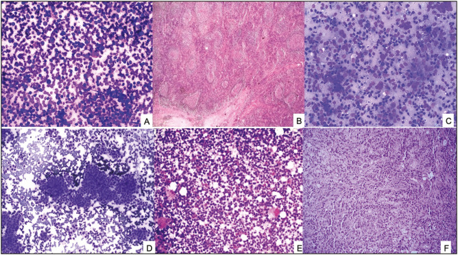
背景:细针穿刺细胞学(FNAC)作为一线技术被认为是诊断淋巴结病最常用的方法。由于淋巴结细胞学的巨大多样性,淋巴结病变的诊断是具有挑战性的。淋巴结的细胞病理学报告缺乏标准的指导方针。悉尼系统最近被提议为淋巴结FNAC的分类和报告提供共识指南,并保持报告的统一性。目的:本研究旨在分析拟议的悉尼系统的效用。材料和方法:我们回顾性研究从医院记录中检索的淋巴结FNAC病例,并提供相关的临床和放射学细节以及组织病理学随访,以评估每种类型的恶性肿瘤风险。结果:1572例淋巴结按悉尼分类法重新分类。最常见的部位是颈部淋巴结,其次是腹腔、纵隔、腹股沟和腋窝淋巴结。恶性肿瘤的风险最高的是V类(93.5%),最低的是II类(13.7%),其次是IV类(66.6%),III类(33.3%)和I类(25%)。本研究的诊断准确率为90.1%。结论:提出的Sydney系统有助于淋巴结FNA诊断和报告的系统化和规范化。它通过加强临床医生和细胞病理学家之间的交流,提高了临床管理的效率。此外,临床实践也将受益于针对恶性肿瘤风险增加的诊断类别的管理建议。
本文章由计算机程序翻译,如有差异,请以英文原文为准。

Evaluation of Fine-Needle Aspiration of Lymph Nodes and Assessment of Risk of Malignancy Based on the Sydney System of Reporting Lymph Node Cytology.

Evaluation of Fine-Needle Aspiration of Lymph Nodes and Assessment of Risk of Malignancy Based on the Sydney System of Reporting Lymph Node Cytology.

Evaluation of Fine-Needle Aspiration of Lymph Nodes and Assessment of Risk of Malignancy Based on the Sydney System of Reporting Lymph Node Cytology.

Background: Fine-needle aspiration cytology (FNAC) being the first-line of technique is considered the most popular method for diagnosing lymphadenopathy. Diagnosis of a lymph node lesion is challenging due to the vast diversity in lymph node cytology. There has been a lack of standard guidelines for cytopathological reporting of lymph nodes. Sydney System has been recently proposed to provide consensus guidelines for the classification and reporting of lymph node FNAC and to maintain uniformity in reporting.

Aims: The present study aimed to analyze the utility of the proposed Sydney System.

Materials and methods: We retrospectively studied lymph node FNAC cases which were retrieved from hospital records with relevant clinical and radiological details along with the histopathological follow-up to assess the risk of malignancy in each category.

Results: A total of 1572 cases from lymph nodes were reclassified according to the Sydney System. The most common site was cervical lymph nodes followed by intrabdominal, mediastinal, inguinal, and axillary. The risk of malignancy was found to be highest for category V (93.5%) and least for category II (13.7%) followed by category IV (66.6%), category III (33.3%), and category I (25%). The diagnostic accuracy of our study was 90.1%.

Conclusions: The proposed Sydney System is helpful in the systematization and standardization of lymph node FNA diagnosis and reporting. It provides increased efficacy in clinical management with enhanced communication between clinicians and cytopathologists. Moreover, clinical practice would also benefit from management recommendations specific to diagnostic categories with increasing risk of malignancy.

求助全文
通过发布文献求助,成功后即可免费获取论文全文。 去求助
来源期刊
Journal of Cytology
Journal of Cytology MEDICAL LABORATORY TECHNOLOGY-
CiteScore
1.80
自引率
7.70%
发文量
34
审稿时长
46 weeks
期刊介绍: The Journal of Cytology is the official Quarterly publication of the Indian Academy of Cytologists. It is in the 25th year of publication in the year 2008. The journal covers all aspects of diagnostic cytology, including fine needle aspiration cytology, gynecological and non-gynecological cytology. Articles on ancillary techniques, like cytochemistry, immunocytochemistry, electron microscopy, molecular cytopathology, as applied to cytological material are also welcome. The journal gives preference to clinically oriented studies over experimental and animal studies. The Journal would publish peer-reviewed original research papers, case reports, systematic reviews, meta-analysis, and debates.
×
引用
GB/T 7714-2015
复制
MLA
复制
APA
复制
导出至
BibTeX EndNote RefMan NoteFirst NoteExpress
×
提示
您的信息不完整,为了账户安全,请先补充。
现在去补充
×
提示
您因"违规操作"
具体请查看互助需知
我知道了
×
提示
确定
请完成安全验证×
copy
已复制链接
快去分享给好友吧!
我知道了
右上角分享
点击右上角分享
0
联系我们:info@booksci.cn Book学术提供免费学术资源搜索服务,方便国内外学者检索中英文文献。致力于提供最便捷和优质的服务体验。 Copyright © 2023 布克学术 All rights reserved.
京ICP备2023020795号-1
ghs 京公网安备 11010802042870号
Book学术文献互助
Book学术文献互助群
群 号:604180095
Book学术官方微信