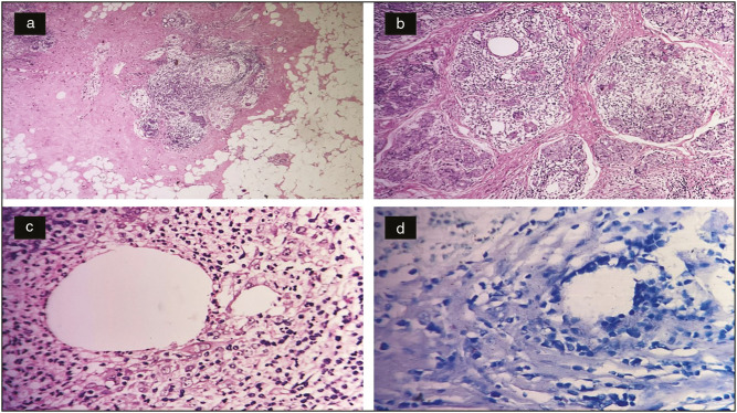
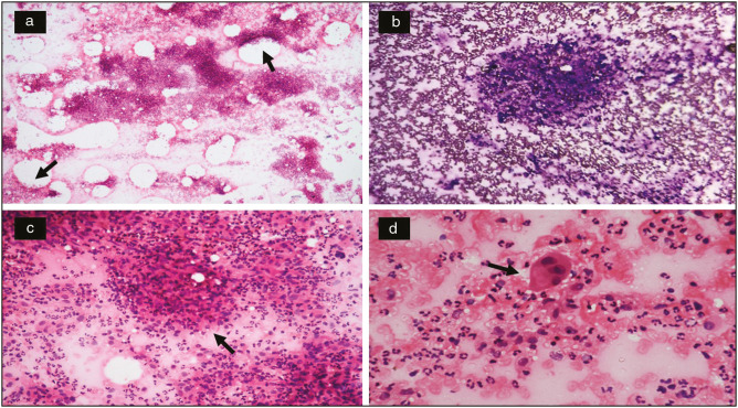
囊性中性粒细胞肉芽肿性乳腺炎:细胞学评价。

IF 1 4区 医学 Q4 MEDICAL LABORATORY TECHNOLOGY
Journal of Cytology Pub Date : 2024-01-01 Epub Date: 2025-02-11 DOI:10.4103/joc.joc_47_24
Aatish Saraswat, Vikram Singh, Chinmay Shrikrishna Pendharkar, Somasundaram Venkatesan
{"title":"囊性中性粒细胞肉芽肿性乳腺炎:细胞学评价。","authors":"Aatish Saraswat, Vikram Singh, Chinmay Shrikrishna Pendharkar, Somasundaram Venkatesan","doi":"10.4103/joc.joc_47_24","DOIUrl":null,"url":null,"abstract":"","PeriodicalId":50217,"journal":{"name":"Journal of Cytology","volume":"42 1","pages":"54-56"},"PeriodicalIF":1.0000,"publicationDate":"2024-01-01","publicationTypes":"Journal Article","fieldsOfStudy":null,"isOpenAccess":false,"openAccessPdf":"https://www.ncbi.nlm.nih.gov/pmc/articles/PMC11896114/pdf/","citationCount":"0","resultStr":"{\"title\":\"Cystic Neutrophilic Granulomatous Mastitis: A Cytological Evaluation.\",\"authors\":\"Aatish Saraswat, Vikram Singh, Chinmay Shrikrishna Pendharkar, Somasundaram Venkatesan\",\"doi\":\"10.4103/joc.joc_47_24\",\"DOIUrl\":null,\"url\":null,\"abstract\":\"\",\"PeriodicalId\":50217,\"journal\":{\"name\":\"Journal of Cytology\",\"volume\":\"42 1\",\"pages\":\"54-56\"},\"PeriodicalIF\":1.0000,\"publicationDate\":\"2024-01-01\",\"publicationTypes\":\"Journal Article\",\"fieldsOfStudy\":null,\"isOpenAccess\":false,\"openAccessPdf\":\"https://www.ncbi.nlm.nih.gov/pmc/articles/PMC11896114/pdf/\",\"citationCount\":\"0\",\"resultStr\":null,\"platform\":\"Semanticscholar\",\"paperid\":null,\"PeriodicalName\":\"Journal of Cytology\",\"FirstCategoryId\":\"3\",\"ListUrlMain\":\"https://doi.org/10.4103/joc.joc_47_24\",\"RegionNum\":4,\"RegionCategory\":\"医学\",\"ArticlePicture\":[],\"TitleCN\":null,\"AbstractTextCN\":null,\"PMCID\":null,\"EPubDate\":\"2025/2/11 0:00:00\",\"PubModel\":\"Epub\",\"JCR\":\"Q4\",\"JCRName\":\"MEDICAL LABORATORY TECHNOLOGY\",\"Score\":null,\"Total\":0}","platform":"Semanticscholar","paperid":null,"PeriodicalName":"Journal of Cytology","FirstCategoryId":"3","ListUrlMain":"https://doi.org/10.4103/joc.joc_47_24","RegionNum":4,"RegionCategory":"医学","ArticlePicture":[],"TitleCN":null,"AbstractTextCN":null,"PMCID":null,"EPubDate":"2025/2/11 0:00:00","PubModel":"Epub","JCR":"Q4","JCRName":"MEDICAL LABORATORY TECHNOLOGY","Score":null,"Total":0}
引用次数: 0

摘要

本文章由计算机程序翻译,如有差异,请以英文原文为准。

Cystic Neutrophilic Granulomatous Mastitis: A Cytological Evaluation.

Cystic Neutrophilic Granulomatous Mastitis: A Cytological Evaluation.

Cystic Neutrophilic Granulomatous Mastitis: A Cytological Evaluation.

Cystic Neutrophilic Granulomatous Mastitis: A Cytological Evaluation.
求助全文
通过发布文献求助,成功后即可免费获取论文全文。 去求助
来源期刊
Journal of Cytology
Journal of Cytology MEDICAL LABORATORY TECHNOLOGY-
CiteScore
1.80
自引率
7.70%
发文量
34
审稿时长
46 weeks
期刊介绍: The Journal of Cytology is the official Quarterly publication of the Indian Academy of Cytologists. It is in the 25th year of publication in the year 2008. The journal covers all aspects of diagnostic cytology, including fine needle aspiration cytology, gynecological and non-gynecological cytology. Articles on ancillary techniques, like cytochemistry, immunocytochemistry, electron microscopy, molecular cytopathology, as applied to cytological material are also welcome. The journal gives preference to clinically oriented studies over experimental and animal studies. The Journal would publish peer-reviewed original research papers, case reports, systematic reviews, meta-analysis, and debates.
×
引用
GB/T 7714-2015
复制
MLA
复制
APA
复制
导出至
BibTeX EndNote RefMan NoteFirst NoteExpress
×
提示
您的信息不完整,为了账户安全,请先补充。
现在去补充
×
提示
您因"违规操作"
具体请查看互助需知
我知道了
×
提示
确定
请完成安全验证×
copy
已复制链接
快去分享给好友吧!
我知道了
右上角分享
点击右上角分享
0
联系我们:info@booksci.cn Book学术提供免费学术资源搜索服务,方便国内外学者检索中英文文献。致力于提供最便捷和优质的服务体验。 Copyright © 2023 布克学术 All rights reserved.
京ICP备2023020795号-1
ghs 京公网安备 11010802042870号
Book学术文献互助
Book学术文献互助群
群 号:604180095
Book学术官方微信