免疫细胞化学法检测宫颈阴道液基标本中ProExC和p16ink4a生物标志物及其与人乳头瘤病毒的关系

IF 1 4区 医学 Q4 MEDICAL LABORATORY TECHNOLOGY
Journal of Cytology Pub Date : 2024-01-01 Epub Date: 2025-02-11 DOI:10.4103/joc.joc_57_24
Zeynep Turkmen Usta, Zeynep Sagnak Yilmaz, Safak Ersoz, Sevdegul Aydin Mungan, Umit Cobanoglu, Suleyman Guven
{"title":"免疫细胞化学法检测宫颈阴道液基标本中ProExC和p16ink4a生物标志物及其与人乳头瘤病毒的关系","authors":"Zeynep Turkmen Usta, Zeynep Sagnak Yilmaz, Safak Ersoz, Sevdegul Aydin Mungan, Umit Cobanoglu, Suleyman Guven","doi":"10.4103/joc.joc_57_24","DOIUrl":null,"url":null,"abstract":"<p><strong>Background: </strong>This study investigated the determination of human papillomavirus (HPV) types in smears with and without lesions, and the sensitivity, specificity, positive predictive value, and negative predictive value of the ProExC and p16 biomarkers in smears with lesions.</p><p><strong>Materials and methods: </strong>A total of 192 cervicovaginal smears were included in the study. ProExC (BD) and p16ink4a antibodies were applied to the lesion-containing samples by immunocytochemical method. If HPV was present, its type was determined. Patient biopsy specimens were used as a gold standard to confirm the lesion type. In addition, atypical squamous cells of undetermined significance, low-grade squamous intraepithelial lesion (SIL), atypical squamous cells, cannot exclude high-grade SIL (HSIL), and HSIL, atypical glandular cells, and the relationship between two biomarkers in cases diagnosed with squamous cell carcinoma were investigated.</p><p><strong>Results: </strong>Of these, 192 cases included in our study, 119 had lesional smears and 73 had no lesional cells. Of the 191 cases in which HPV was investigated, 105 were negative and 86 were positive for HPV types 16, 18, and others. A statistically significant difference was found between HPV positivity and smears with lesions (<i>P</i> = 0.0001). p16 and ProExC positivity was extensive in cases with more severe lesions. A strong correlation was observed between high-risk HPV (+) and HSIL-detected cases.</p><p><strong>Conclusion: </strong>ProExC and p16 are biomarkers that facilitate the diagnosis of HSIL. Nuclear staining for the ProExC marker is easier to apply to cytological samples than p16.</p>","PeriodicalId":50217,"journal":{"name":"Journal of Cytology","volume":"42 1","pages":"20-26"},"PeriodicalIF":1.0000,"publicationDate":"2024-01-01","publicationTypes":"Journal Article","fieldsOfStudy":null,"isOpenAccess":false,"openAccessPdf":"https://www.ncbi.nlm.nih.gov/pmc/articles/PMC11896117/pdf/","citationCount":"0","resultStr":"{\"title\":\"Comparison of ProExC and p16ink4a Biological Markers in Lesional Smears With the Immunocytochemical Method and Relationship With Human Papillomavirus in Liquid-based Cervicovaginal Specimens.\",\"authors\":\"Zeynep Turkmen Usta, Zeynep Sagnak Yilmaz, Safak Ersoz, Sevdegul Aydin Mungan, Umit Cobanoglu, Suleyman Guven\",\"doi\":\"10.4103/joc.joc_57_24\",\"DOIUrl\":null,\"url\":null,\"abstract\":\"<p><strong>Background: </strong>This study investigated the determination of human papillomavirus (HPV) types in smears with and without lesions, and the sensitivity, specificity, positive predictive value, and negative predictive value of the ProExC and p16 biomarkers in smears with lesions.</p><p><strong>Materials and methods: </strong>A total of 192 cervicovaginal smears were included in the study. ProExC (BD) and p16ink4a antibodies were applied to the lesion-containing samples by immunocytochemical method. If HPV was present, its type was determined. Patient biopsy specimens were used as a gold standard to confirm the lesion type. In addition, atypical squamous cells of undetermined significance, low-grade squamous intraepithelial lesion (SIL), atypical squamous cells, cannot exclude high-grade SIL (HSIL), and HSIL, atypical glandular cells, and the relationship between two biomarkers in cases diagnosed with squamous cell carcinoma were investigated.</p><p><strong>Results: </strong>Of these, 192 cases included in our study, 119 had lesional smears and 73 had no lesional cells. Of the 191 cases in which HPV was investigated, 105 were negative and 86 were positive for HPV types 16, 18, and others. A statistically significant difference was found between HPV positivity and smears with lesions (<i>P</i> = 0.0001). p16 and ProExC positivity was extensive in cases with more severe lesions. A strong correlation was observed between high-risk HPV (+) and HSIL-detected cases.</p><p><strong>Conclusion: </strong>ProExC and p16 are biomarkers that facilitate the diagnosis of HSIL. Nuclear staining for the ProExC marker is easier to apply to cytological samples than p16.</p>\",\"PeriodicalId\":50217,\"journal\":{\"name\":\"Journal of Cytology\",\"volume\":\"42 1\",\"pages\":\"20-26\"},\"PeriodicalIF\":1.0000,\"publicationDate\":\"2024-01-01\",\"publicationTypes\":\"Journal Article\",\"fieldsOfStudy\":null,\"isOpenAccess\":false,\"openAccessPdf\":\"https://www.ncbi.nlm.nih.gov/pmc/articles/PMC11896117/pdf/\",\"citationCount\":\"0\",\"resultStr\":null,\"platform\":\"Semanticscholar\",\"paperid\":null,\"PeriodicalName\":\"Journal of Cytology\",\"FirstCategoryId\":\"3\",\"ListUrlMain\":\"https://doi.org/10.4103/joc.joc_57_24\",\"RegionNum\":4,\"RegionCategory\":\"医学\",\"ArticlePicture\":[],\"TitleCN\":null,\"AbstractTextCN\":null,\"PMCID\":null,\"EPubDate\":\"2025/2/11 0:00:00\",\"PubModel\":\"Epub\",\"JCR\":\"Q4\",\"JCRName\":\"MEDICAL LABORATORY TECHNOLOGY\",\"Score\":null,\"Total\":0}","platform":"Semanticscholar","paperid":null,"PeriodicalName":"Journal of Cytology","FirstCategoryId":"3","ListUrlMain":"https://doi.org/10.4103/joc.joc_57_24","RegionNum":4,"RegionCategory":"医学","ArticlePicture":[],"TitleCN":null,"AbstractTextCN":null,"PMCID":null,"EPubDate":"2025/2/11 0:00:00","PubModel":"Epub","JCR":"Q4","JCRName":"MEDICAL LABORATORY TECHNOLOGY","Score":null,"Total":0}
引用次数: 0

摘要

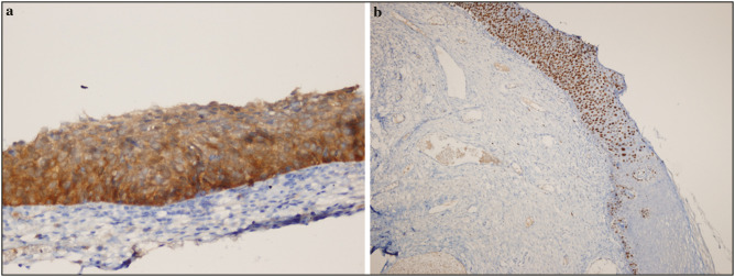
背景:本研究探讨了有病变和无病变涂片中人乳头瘤病毒(HPV)类型的检测,以及有病变涂片中ProExC和p16生物标志物的敏感性、特异性、阳性预测值和阴性预测值。材料与方法:本研究共纳入192例宫颈阴道涂片。采用免疫细胞化学方法将ProExC (BD)和p16ink4a抗体应用于含病变样品。如果存在HPV,则确定其类型。患者活检标本作为确认病变类型的金标准。此外,我们还研究了意义不明的非典型鳞状细胞、低级别鳞状上皮内病变(SIL)、非典型鳞状细胞、不能排除高级别鳞状上皮内病变(HSIL)和HSIL、非典型腺细胞,以及两种生物标志物在鳞状细胞癌诊断中的关系。结果:我们研究的192例病例中,119例有病变涂片,73例无病变细胞。在191例HPV调查中,105例为阴性,86例为HPV 16型,18型和其他类型阳性。HPV阳性与病变涂片之间的差异有统计学意义(P = 0.0001)。p16和ProExC在病变较严重的病例中广泛阳性。高危HPV(+)与hsil检测病例之间存在很强的相关性。结论:ProExC和p16是促进HSIL诊断的生物标志物。ProExC标记物的核染色比p16更容易应用于细胞学样品。
本文章由计算机程序翻译,如有差异,请以英文原文为准。

Comparison of ProExC and p16ink4a Biological Markers in Lesional Smears With the Immunocytochemical Method and Relationship With Human Papillomavirus in Liquid-based Cervicovaginal Specimens.

Comparison of ProExC and p16ink4a Biological Markers in Lesional Smears With the Immunocytochemical Method and Relationship With Human Papillomavirus in Liquid-based Cervicovaginal Specimens.

Comparison of ProExC and p16ink4a Biological Markers in Lesional Smears With the Immunocytochemical Method and Relationship With Human Papillomavirus in Liquid-based Cervicovaginal Specimens.

Comparison of ProExC and p16ink4a Biological Markers in Lesional Smears With the Immunocytochemical Method and Relationship With Human Papillomavirus in Liquid-based Cervicovaginal Specimens.

Background: This study investigated the determination of human papillomavirus (HPV) types in smears with and without lesions, and the sensitivity, specificity, positive predictive value, and negative predictive value of the ProExC and p16 biomarkers in smears with lesions.

Materials and methods: A total of 192 cervicovaginal smears were included in the study. ProExC (BD) and p16ink4a antibodies were applied to the lesion-containing samples by immunocytochemical method. If HPV was present, its type was determined. Patient biopsy specimens were used as a gold standard to confirm the lesion type. In addition, atypical squamous cells of undetermined significance, low-grade squamous intraepithelial lesion (SIL), atypical squamous cells, cannot exclude high-grade SIL (HSIL), and HSIL, atypical glandular cells, and the relationship between two biomarkers in cases diagnosed with squamous cell carcinoma were investigated.

Results: Of these, 192 cases included in our study, 119 had lesional smears and 73 had no lesional cells. Of the 191 cases in which HPV was investigated, 105 were negative and 86 were positive for HPV types 16, 18, and others. A statistically significant difference was found between HPV positivity and smears with lesions (P = 0.0001). p16 and ProExC positivity was extensive in cases with more severe lesions. A strong correlation was observed between high-risk HPV (+) and HSIL-detected cases.

Conclusion: ProExC and p16 are biomarkers that facilitate the diagnosis of HSIL. Nuclear staining for the ProExC marker is easier to apply to cytological samples than p16.

求助全文
通过发布文献求助,成功后即可免费获取论文全文。 去求助
来源期刊
Journal of Cytology
Journal of Cytology MEDICAL LABORATORY TECHNOLOGY-
CiteScore
1.80
自引率
7.70%
发文量
34
审稿时长
46 weeks
期刊介绍: The Journal of Cytology is the official Quarterly publication of the Indian Academy of Cytologists. It is in the 25th year of publication in the year 2008. The journal covers all aspects of diagnostic cytology, including fine needle aspiration cytology, gynecological and non-gynecological cytology. Articles on ancillary techniques, like cytochemistry, immunocytochemistry, electron microscopy, molecular cytopathology, as applied to cytological material are also welcome. The journal gives preference to clinically oriented studies over experimental and animal studies. The Journal would publish peer-reviewed original research papers, case reports, systematic reviews, meta-analysis, and debates.
×
引用
GB/T 7714-2015
复制
MLA
复制
APA
复制
导出至
BibTeX EndNote RefMan NoteFirst NoteExpress
×
提示
您的信息不完整,为了账户安全,请先补充。
现在去补充
×
提示
您因"违规操作"
具体请查看互助需知
我知道了
×
提示
确定
请完成安全验证×
copy
已复制链接
快去分享给好友吧!
我知道了
右上角分享
点击右上角分享
0
联系我们:info@booksci.cn Book学术提供免费学术资源搜索服务,方便国内外学者检索中英文文献。致力于提供最便捷和优质的服务体验。 Copyright © 2023 布克学术 All rights reserved.
京ICP备2023020795号-1
ghs 京公网安备 11010802042870号
Book学术文献互助
Book学术文献互助群
群 号:604180095
Book学术官方微信