定义甲状腺乳头状癌变体的算法方法:细针穿刺细胞学的准确性。

IF 1 4区 医学 Q4 MEDICAL LABORATORY TECHNOLOGY
Journal of Cytology Pub Date : 2024-01-01 Epub Date: 2025-02-11 DOI:10.4103/joc.joc_19_24
Neha Nigam, Neha Kumari, Rishabh Sahai, Nandita Chaudhary, Sabaretnam Mayilvaganan, Pallavi Prasad, Prabhakar Mishra
{"title":"定义甲状腺乳头状癌变体的算法方法:细针穿刺细胞学的准确性。","authors":"Neha Nigam, Neha Kumari, Rishabh Sahai, Nandita Chaudhary, Sabaretnam Mayilvaganan, Pallavi Prasad, Prabhakar Mishra","doi":"10.4103/joc.joc_19_24","DOIUrl":null,"url":null,"abstract":"<p><strong>Introduction: </strong>Among thyroid malignancies, papillary thyroid carcinoma (PTC) is the most common, with the classical variant being the most common subtype. Some histological variants have aggressive behavior, advanced presentation stages, poor clinical outcomes, and may require additional therapy. Due to overlapping cytologic features and heterogeneity of lesions, the PTC classification is not adhered to in conventional reporting practice. This study aimed to classify the PTC cytology cases into a particular cytological variant by applying an algorithmic approach and correlating these variants with histology.</p><p><strong>Materials and methods: </strong>An analysis of all histopathologically confirmed cases of PTC who had previously been diagnosed with fine needle aspiration cytology (FNAC) from January 2014 to December 2019 was conducted. FNAC samples of thyroid nodules were blindly reviewed and classified into different morphological variants using a stepwise algorithmic approach based on architectural, nuclear, and cytoplasmic features.</p><p><strong>Results: </strong>A review of 77 histologically proven cases of PTC variants or with a predominant area of variant histomorphology was done. One case was inadequate (TBSRTC I), nine cases were benign (TBSRTC II), two were follicular lesions of undetermined significance (TBSRTC III), and 65 cases were suspicious or definite for PTC (TBSRTC V/VI). Retrospective algorithmic cytopathological analysis of 65 cases that are suspicious or definite of PTC (TBSRTC V/VI) showed classical PTC (5), follicular variant-PTC (35), tall cell variant (20), diffuse sclerosing variant (1), warthin-like variant (2), and solid variant (2). Diagnostic accuracy of cytopathology in diagnosing the PTC variants when compared with histopathological diagnosis varied from 81.3% to 100% (mean 78.9%). Cluster analysis justified that our classification showed good agreement with the actual classification based on the cytopathological features identified by the cluster analysis.</p><p><strong>Conclusion: </strong>An awareness of cytomorphological features of aggressive variants may facilitate early and accurate diagnosis and appropriate clinical management with better patient outcomes. FNAC can subclassify PTC into different variants based on this algorithmic approach or aggressive and nonaggressive variants based on certain more frequently observed features.</p>","PeriodicalId":50217,"journal":{"name":"Journal of Cytology","volume":"42 1","pages":"27-36"},"PeriodicalIF":1.0000,"publicationDate":"2024-01-01","publicationTypes":"Journal Article","fieldsOfStudy":null,"isOpenAccess":false,"openAccessPdf":"https://www.ncbi.nlm.nih.gov/pmc/articles/PMC11896122/pdf/","citationCount":"0","resultStr":"{\"title\":\"An Algorithmic Approach to Defining Variants of Papillary Thyroid Carcinoma: Accuracy of Fine Needle Aspiration Cytology.\",\"authors\":\"Neha Nigam, Neha Kumari, Rishabh Sahai, Nandita Chaudhary, Sabaretnam Mayilvaganan, Pallavi Prasad, Prabhakar Mishra\",\"doi\":\"10.4103/joc.joc_19_24\",\"DOIUrl\":null,\"url\":null,\"abstract\":\"<p><strong>Introduction: </strong>Among thyroid malignancies, papillary thyroid carcinoma (PTC) is the most common, with the classical variant being the most common subtype. Some histological variants have aggressive behavior, advanced presentation stages, poor clinical outcomes, and may require additional therapy. Due to overlapping cytologic features and heterogeneity of lesions, the PTC classification is not adhered to in conventional reporting practice. This study aimed to classify the PTC cytology cases into a particular cytological variant by applying an algorithmic approach and correlating these variants with histology.</p><p><strong>Materials and methods: </strong>An analysis of all histopathologically confirmed cases of PTC who had previously been diagnosed with fine needle aspiration cytology (FNAC) from January 2014 to December 2019 was conducted. FNAC samples of thyroid nodules were blindly reviewed and classified into different morphological variants using a stepwise algorithmic approach based on architectural, nuclear, and cytoplasmic features.</p><p><strong>Results: </strong>A review of 77 histologically proven cases of PTC variants or with a predominant area of variant histomorphology was done. One case was inadequate (TBSRTC I), nine cases were benign (TBSRTC II), two were follicular lesions of undetermined significance (TBSRTC III), and 65 cases were suspicious or definite for PTC (TBSRTC V/VI). Retrospective algorithmic cytopathological analysis of 65 cases that are suspicious or definite of PTC (TBSRTC V/VI) showed classical PTC (5), follicular variant-PTC (35), tall cell variant (20), diffuse sclerosing variant (1), warthin-like variant (2), and solid variant (2). Diagnostic accuracy of cytopathology in diagnosing the PTC variants when compared with histopathological diagnosis varied from 81.3% to 100% (mean 78.9%). Cluster analysis justified that our classification showed good agreement with the actual classification based on the cytopathological features identified by the cluster analysis.</p><p><strong>Conclusion: </strong>An awareness of cytomorphological features of aggressive variants may facilitate early and accurate diagnosis and appropriate clinical management with better patient outcomes. FNAC can subclassify PTC into different variants based on this algorithmic approach or aggressive and nonaggressive variants based on certain more frequently observed features.</p>\",\"PeriodicalId\":50217,\"journal\":{\"name\":\"Journal of Cytology\",\"volume\":\"42 1\",\"pages\":\"27-36\"},\"PeriodicalIF\":1.0000,\"publicationDate\":\"2024-01-01\",\"publicationTypes\":\"Journal Article\",\"fieldsOfStudy\":null,\"isOpenAccess\":false,\"openAccessPdf\":\"https://www.ncbi.nlm.nih.gov/pmc/articles/PMC11896122/pdf/\",\"citationCount\":\"0\",\"resultStr\":null,\"platform\":\"Semanticscholar\",\"paperid\":null,\"PeriodicalName\":\"Journal of Cytology\",\"FirstCategoryId\":\"3\",\"ListUrlMain\":\"https://doi.org/10.4103/joc.joc_19_24\",\"RegionNum\":4,\"RegionCategory\":\"医学\",\"ArticlePicture\":[],\"TitleCN\":null,\"AbstractTextCN\":null,\"PMCID\":null,\"EPubDate\":\"2025/2/11 0:00:00\",\"PubModel\":\"Epub\",\"JCR\":\"Q4\",\"JCRName\":\"MEDICAL LABORATORY TECHNOLOGY\",\"Score\":null,\"Total\":0}","platform":"Semanticscholar","paperid":null,"PeriodicalName":"Journal of Cytology","FirstCategoryId":"3","ListUrlMain":"https://doi.org/10.4103/joc.joc_19_24","RegionNum":4,"RegionCategory":"医学","ArticlePicture":[],"TitleCN":null,"AbstractTextCN":null,"PMCID":null,"EPubDate":"2025/2/11 0:00:00","PubModel":"Epub","JCR":"Q4","JCRName":"MEDICAL LABORATORY TECHNOLOGY","Score":null,"Total":0}
引用次数: 0

摘要

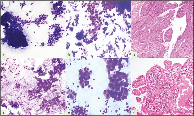
在甲状腺恶性肿瘤中,甲状腺乳头状癌(PTC)是最常见的,经典亚型是最常见的亚型。一些组织学变异具有侵袭性行为,表现阶段较晚,临床结果较差,可能需要额外治疗。由于重叠的细胞学特征和病变的异质性,PTC的分类在传统的报告实践中并不坚持。本研究旨在通过应用算法方法将PTC细胞学病例分类为特定的细胞学变体,并将这些变体与组织学相关联。材料与方法:对2014年1月至2019年12月所有经细针穿刺细胞学(FNAC)诊断的组织病理学确诊的PTC病例进行分析。采用基于结构、核和细胞质特征的逐步算法,对甲状腺结节的FNAC样本进行盲检,并将其分类为不同的形态变体。结果:回顾了77例经组织学证实的PTC变异或以变异组织形态为主的病例。1例不充分(TBSRTC I型),9例良性(TBSRTC II型),2例意义不明(TBSRTC III型),65例疑似或确诊为PTC (TBSRTC V/VI型)。对65例疑似或确诊为PTC (TBSRTC V/VI)的病例进行回顾性算法细胞病理学分析,结果显示:典型PTC(5例)、滤泡型-PTC(35例)、高细胞型(20例)、弥漫性硬化型(1例)、warthin样型(2例)、实体型(2例)。与组织病理学诊断相比,细胞病理学诊断PTC变异的准确率从81.3%到100%不等(平均78.9%)。聚类分析证明我们的分类与实际分类有很好的一致性,基于聚类分析确定的细胞病理学特征。结论:了解侵袭性变异的细胞形态学特征有助于早期准确诊断和适当的临床处理,并获得更好的患者预后。FNAC可以基于这种算法方法将PTC细分为不同的变体,或者基于某些更频繁观察到的特征将PTC细分为积极变体和非积极变体。
本文章由计算机程序翻译,如有差异,请以英文原文为准。

An Algorithmic Approach to Defining Variants of Papillary Thyroid Carcinoma: Accuracy of Fine Needle Aspiration Cytology.

An Algorithmic Approach to Defining Variants of Papillary Thyroid Carcinoma: Accuracy of Fine Needle Aspiration Cytology.

An Algorithmic Approach to Defining Variants of Papillary Thyroid Carcinoma: Accuracy of Fine Needle Aspiration Cytology.

An Algorithmic Approach to Defining Variants of Papillary Thyroid Carcinoma: Accuracy of Fine Needle Aspiration Cytology.

Introduction: Among thyroid malignancies, papillary thyroid carcinoma (PTC) is the most common, with the classical variant being the most common subtype. Some histological variants have aggressive behavior, advanced presentation stages, poor clinical outcomes, and may require additional therapy. Due to overlapping cytologic features and heterogeneity of lesions, the PTC classification is not adhered to in conventional reporting practice. This study aimed to classify the PTC cytology cases into a particular cytological variant by applying an algorithmic approach and correlating these variants with histology.

Materials and methods: An analysis of all histopathologically confirmed cases of PTC who had previously been diagnosed with fine needle aspiration cytology (FNAC) from January 2014 to December 2019 was conducted. FNAC samples of thyroid nodules were blindly reviewed and classified into different morphological variants using a stepwise algorithmic approach based on architectural, nuclear, and cytoplasmic features.

Results: A review of 77 histologically proven cases of PTC variants or with a predominant area of variant histomorphology was done. One case was inadequate (TBSRTC I), nine cases were benign (TBSRTC II), two were follicular lesions of undetermined significance (TBSRTC III), and 65 cases were suspicious or definite for PTC (TBSRTC V/VI). Retrospective algorithmic cytopathological analysis of 65 cases that are suspicious or definite of PTC (TBSRTC V/VI) showed classical PTC (5), follicular variant-PTC (35), tall cell variant (20), diffuse sclerosing variant (1), warthin-like variant (2), and solid variant (2). Diagnostic accuracy of cytopathology in diagnosing the PTC variants when compared with histopathological diagnosis varied from 81.3% to 100% (mean 78.9%). Cluster analysis justified that our classification showed good agreement with the actual classification based on the cytopathological features identified by the cluster analysis.

Conclusion: An awareness of cytomorphological features of aggressive variants may facilitate early and accurate diagnosis and appropriate clinical management with better patient outcomes. FNAC can subclassify PTC into different variants based on this algorithmic approach or aggressive and nonaggressive variants based on certain more frequently observed features.

求助全文
通过发布文献求助,成功后即可免费获取论文全文。 去求助
来源期刊
Journal of Cytology
Journal of Cytology MEDICAL LABORATORY TECHNOLOGY-
CiteScore
1.80
自引率
7.70%
发文量
34
审稿时长
46 weeks
期刊介绍: The Journal of Cytology is the official Quarterly publication of the Indian Academy of Cytologists. It is in the 25th year of publication in the year 2008. The journal covers all aspects of diagnostic cytology, including fine needle aspiration cytology, gynecological and non-gynecological cytology. Articles on ancillary techniques, like cytochemistry, immunocytochemistry, electron microscopy, molecular cytopathology, as applied to cytological material are also welcome. The journal gives preference to clinically oriented studies over experimental and animal studies. The Journal would publish peer-reviewed original research papers, case reports, systematic reviews, meta-analysis, and debates.
×
引用
GB/T 7714-2015
复制
MLA
复制
APA
复制
导出至
BibTeX EndNote RefMan NoteFirst NoteExpress
×
提示
您的信息不完整,为了账户安全,请先补充。
现在去补充
×
提示
您因"违规操作"
具体请查看互助需知
我知道了
×
提示
确定
请完成安全验证×
copy
已复制链接
快去分享给好友吧!
我知道了
右上角分享
点击右上角分享
0
联系我们:info@booksci.cn Book学术提供免费学术资源搜索服务,方便国内外学者检索中英文文献。致力于提供最便捷和优质的服务体验。 Copyright © 2023 布克学术 All rights reserved.
京ICP备2023020795号-1
ghs 京公网安备 11010802042870号
Book学术文献互助
Book学术文献互助群
群 号:604180095
Book学术官方微信