双胎妊娠伴有宫颈完全扩张和羊膜脱垂的羊膜切除术后紧急宫颈环切术的结果。

IF 1.4 Q3 OBSTETRICS & GYNECOLOGY
Ahmet Yalınkaya, Süleyman Cemil Oğlak, Reyhan Gündüz, Emine Zeynep Yılmaz, Gökhan Bolluk, Murat Yayla
{"title":"双胎妊娠伴有宫颈完全扩张和羊膜脱垂的羊膜切除术后紧急宫颈环切术的结果。","authors":"Ahmet Yalınkaya, Süleyman Cemil Oğlak, Reyhan Gündüz, Emine Zeynep Yılmaz, Gökhan Bolluk, Murat Yayla","doi":"10.4274/jtgga.galenos.2024.2024-9-9","DOIUrl":null,"url":null,"abstract":"<p><strong>Objective: </strong>The aim of this study was to evaluate the effectiveness of emergency cervical cerclage (EmC) in twin pregnancies with a fully dilated cervix and amniotic membrane prolapse.</p><p><strong>Material and methods: </strong>This retrospective study examined records from December 2015 to December 2022 and included 20 twin pregnancies. The patients were divided into two groups, the EmC group (EmC group) and the no EmC (control) group, and pregnancy outcomes were compared.</p><p><strong>Results: </strong>EmC was performed after amnioreduction in 11 twin pregnancies. Nine patients who refused EmC were followed up with expectant management. The mean gestational age at first examination was similar between the EmC (21.36±1.62 weeks) and control group (21.00±3.16 weeks, p=0.372). The median (range) volume of removed amniotic fluid was 151.82 (120-420) mL. Cases in the EmC group gained a significantly longer delay until delivery (47.72±28.14 days) compared to controls (2.33±0.5 days, p<0.001). All of the women in the control group gave birth within three days following admission to hospital. The mean gestational age at birth was significantly higher in the EmC group (28.18±4.53 weeks) than in the control group (21.57±3.53 weeks, p<0.001). Thirteen (59.09%) infants survived in the EmC group while only two infants (22.22%) of one patient survived in the control group (p<0.001).</p><p><strong>Conclusion: </strong>EmC increases the survival rate of infants by prolonging the gestational age at delivery in twin pregnancies. Clinicians and patients should be encouraged regarding the use of EmC in twin pregnancies with a fully dilated cervix and prolapsed amniotic membranes.</p>","PeriodicalId":17440,"journal":{"name":"Journal of the Turkish German Gynecological Association","volume":"26 1","pages":"26-33"},"PeriodicalIF":1.4000,"publicationDate":"2025-03-12","publicationTypes":"Journal Article","fieldsOfStudy":null,"isOpenAccess":false,"openAccessPdf":"https://www.ncbi.nlm.nih.gov/pmc/articles/PMC11905194/pdf/","citationCount":"0","resultStr":"{\"title\":\"Outcomes of emergency cervical cerclage after amnioreduction in twin pregnancies with a fully dilated cervix and amniotic membrane prolapse.\",\"authors\":\"Ahmet Yalınkaya, Süleyman Cemil Oğlak, Reyhan Gündüz, Emine Zeynep Yılmaz, Gökhan Bolluk, Murat Yayla\",\"doi\":\"10.4274/jtgga.galenos.2024.2024-9-9\",\"DOIUrl\":null,\"url\":null,\"abstract\":\"<p><strong>Objective: </strong>The aim of this study was to evaluate the effectiveness of emergency cervical cerclage (EmC) in twin pregnancies with a fully dilated cervix and amniotic membrane prolapse.</p><p><strong>Material and methods: </strong>This retrospective study examined records from December 2015 to December 2022 and included 20 twin pregnancies. The patients were divided into two groups, the EmC group (EmC group) and the no EmC (control) group, and pregnancy outcomes were compared.</p><p><strong>Results: </strong>EmC was performed after amnioreduction in 11 twin pregnancies. Nine patients who refused EmC were followed up with expectant management. The mean gestational age at first examination was similar between the EmC (21.36±1.62 weeks) and control group (21.00±3.16 weeks, p=0.372). The median (range) volume of removed amniotic fluid was 151.82 (120-420) mL. Cases in the EmC group gained a significantly longer delay until delivery (47.72±28.14 days) compared to controls (2.33±0.5 days, p<0.001). All of the women in the control group gave birth within three days following admission to hospital. The mean gestational age at birth was significantly higher in the EmC group (28.18±4.53 weeks) than in the control group (21.57±3.53 weeks, p<0.001). Thirteen (59.09%) infants survived in the EmC group while only two infants (22.22%) of one patient survived in the control group (p<0.001).</p><p><strong>Conclusion: </strong>EmC increases the survival rate of infants by prolonging the gestational age at delivery in twin pregnancies. Clinicians and patients should be encouraged regarding the use of EmC in twin pregnancies with a fully dilated cervix and prolapsed amniotic membranes.</p>\",\"PeriodicalId\":17440,\"journal\":{\"name\":\"Journal of the Turkish German Gynecological Association\",\"volume\":\"26 1\",\"pages\":\"26-33\"},\"PeriodicalIF\":1.4000,\"publicationDate\":\"2025-03-12\",\"publicationTypes\":\"Journal Article\",\"fieldsOfStudy\":null,\"isOpenAccess\":false,\"openAccessPdf\":\"https://www.ncbi.nlm.nih.gov/pmc/articles/PMC11905194/pdf/\",\"citationCount\":\"0\",\"resultStr\":null,\"platform\":\"Semanticscholar\",\"paperid\":null,\"PeriodicalName\":\"Journal of the Turkish German Gynecological Association\",\"FirstCategoryId\":\"1085\",\"ListUrlMain\":\"https://doi.org/10.4274/jtgga.galenos.2024.2024-9-9\",\"RegionNum\":0,\"RegionCategory\":null,\"ArticlePicture\":[],\"TitleCN\":null,\"AbstractTextCN\":null,\"PMCID\":null,\"EPubDate\":\"\",\"PubModel\":\"\",\"JCR\":\"Q3\",\"JCRName\":\"OBSTETRICS & GYNECOLOGY\",\"Score\":null,\"Total\":0}","platform":"Semanticscholar","paperid":null,"PeriodicalName":"Journal of the Turkish German Gynecological Association","FirstCategoryId":"1085","ListUrlMain":"https://doi.org/10.4274/jtgga.galenos.2024.2024-9-9","RegionNum":0,"RegionCategory":null,"ArticlePicture":[],"TitleCN":null,"AbstractTextCN":null,"PMCID":null,"EPubDate":"","PubModel":"","JCR":"Q3","JCRName":"OBSTETRICS & GYNECOLOGY","Score":null,"Total":0}
引用次数: 0

摘要

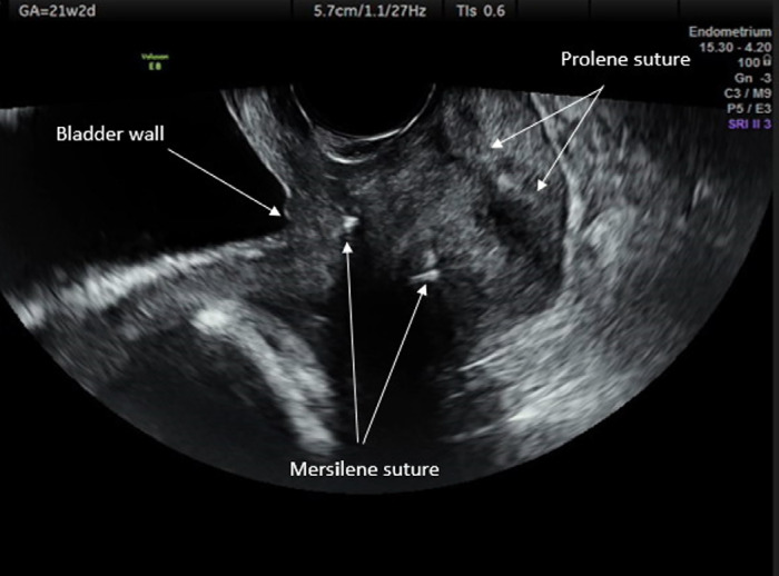
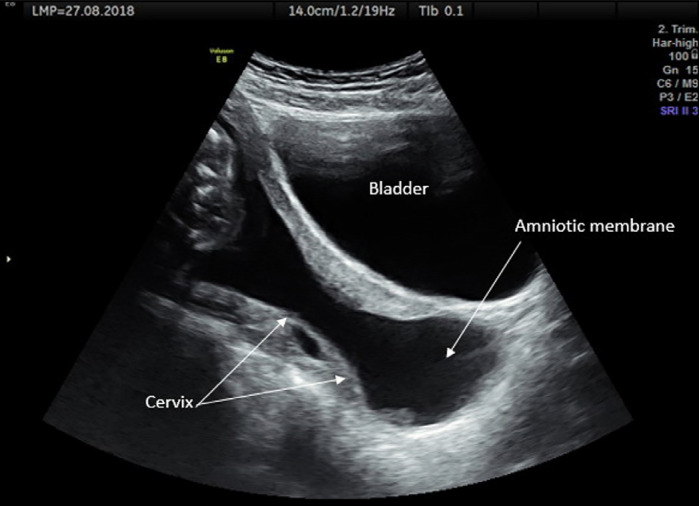
目的:本研究的目的是评估紧急宫颈环切术(EmC)在双胎妊娠宫颈完全扩张和羊膜脱垂的有效性。材料和方法:本回顾性研究调查了2015年12月至2022年12月的记录,包括20例双胞胎妊娠。将患者分为EmC组(EmC组)和未EmC组(对照组),比较妊娠结局。结果:11例双胎妊娠均在羊膜还原术后行EmC。9例拒绝接受EmC治疗的患者接受了随访。初检时平均胎龄(21.36±1.62周)与对照组(21.00±3.16周,p=0.372)相似。取出羊水的中位数(范围)为151.82 (120 ~ 420)mL。与对照组(2.33±0.5)d相比,EmC组延迟分娩的时间明显延长(47.72±28.14)d。结论:EmC通过延长双胎妊娠分娩时的胎龄提高了婴儿的生存率。应鼓励临床医生和患者在宫颈完全扩张和羊膜脱垂的双胎妊娠中使用EmC。
本文章由计算机程序翻译,如有差异,请以英文原文为准。

Outcomes of emergency cervical cerclage after amnioreduction in twin pregnancies with a fully dilated cervix and amniotic membrane prolapse.

Outcomes of emergency cervical cerclage after amnioreduction in twin pregnancies with a fully dilated cervix and amniotic membrane prolapse.

Outcomes of emergency cervical cerclage after amnioreduction in twin pregnancies with a fully dilated cervix and amniotic membrane prolapse.

Objective: The aim of this study was to evaluate the effectiveness of emergency cervical cerclage (EmC) in twin pregnancies with a fully dilated cervix and amniotic membrane prolapse.

Material and methods: This retrospective study examined records from December 2015 to December 2022 and included 20 twin pregnancies. The patients were divided into two groups, the EmC group (EmC group) and the no EmC (control) group, and pregnancy outcomes were compared.

Results: EmC was performed after amnioreduction in 11 twin pregnancies. Nine patients who refused EmC were followed up with expectant management. The mean gestational age at first examination was similar between the EmC (21.36±1.62 weeks) and control group (21.00±3.16 weeks, p=0.372). The median (range) volume of removed amniotic fluid was 151.82 (120-420) mL. Cases in the EmC group gained a significantly longer delay until delivery (47.72±28.14 days) compared to controls (2.33±0.5 days, p<0.001). All of the women in the control group gave birth within three days following admission to hospital. The mean gestational age at birth was significantly higher in the EmC group (28.18±4.53 weeks) than in the control group (21.57±3.53 weeks, p<0.001). Thirteen (59.09%) infants survived in the EmC group while only two infants (22.22%) of one patient survived in the control group (p<0.001).

Conclusion: EmC increases the survival rate of infants by prolonging the gestational age at delivery in twin pregnancies. Clinicians and patients should be encouraged regarding the use of EmC in twin pregnancies with a fully dilated cervix and prolapsed amniotic membranes.

求助全文
通过发布文献求助,成功后即可免费获取论文全文。 去求助
来源期刊
CiteScore
2.40
自引率
7.10%
发文量
56
期刊介绍: Journal of the Turkish-German Gynecological Association is the official, open access publication of the Turkish-German Gynecological Education and Research Foundation and Turkish-German Gynecological Association and is published quarterly on March, June, September and December. It is an independent peer-reviewed international journal printed in English language. Manuscripts are reviewed in accordance with “double-blind peer review” process for both reviewers and authors. The target audience of Journal of the Turkish-German Gynecological Association includes gynecologists and primary care physicians interested in gynecology practice. It publishes original works on all aspects of obstertrics and gynecology. The aim of Journal of the Turkish-German Gynecological Association is to publish high quality original research articles. In addition to research articles, reviews, editorials, letters to the editor, diagnostic puzzle are also published. Suggestions for new books are also welcomed. Journal of the Turkish-German Gynecological Association does not charge any fee for article submission or processing.
×
引用
GB/T 7714-2015
复制
MLA
复制
APA
复制
导出至
BibTeX EndNote RefMan NoteFirst NoteExpress
×
提示
您的信息不完整,为了账户安全,请先补充。
现在去补充
×
提示
您因"违规操作"
具体请查看互助需知
我知道了
×
提示
确定
请完成安全验证×
copy
已复制链接
快去分享给好友吧!
我知道了
右上角分享
点击右上角分享
0
联系我们:info@booksci.cn Book学术提供免费学术资源搜索服务,方便国内外学者检索中英文文献。致力于提供最便捷和优质的服务体验。 Copyright © 2023 布克学术 All rights reserved.
京ICP备2023020795号-1
ghs 京公网安备 11010802042870号
Book学术文献互助
Book学术文献互助群
群 号:604180095
Book学术官方微信