[一名精神病人因吞刀而继发的腹壁脓肿,Treichville大学医院,Côte科特迪瓦]。

Medecine tropicale et sante internationale Pub Date : 2024-11-04 eCollection Date: 2024-12-31 DOI:10.48327/mtsi.v4i4.2024.535
Kouassi Henry Noël Ahue, Kouide Marius Goho, N'golo Adama Coulibaly, Kunka Jocelyne Kpan
{"title":"[一名精神病人因吞刀而继发的腹壁脓肿,Treichville大学医院,Côte科特迪瓦]。","authors":"Kouassi Henry Noël Ahue, Kouide Marius Goho, N'golo Adama Coulibaly, Kunka Jocelyne Kpan","doi":"10.48327/mtsi.v4i4.2024.535","DOIUrl":null,"url":null,"abstract":"<p><strong>Case report: </strong>We present the successful management of the consequences of voluntary knife ingestion in a 24-year-old male with undocumented psychiatric disorders. The patient was admitted to the emergency department with a fistulized epigastric skin abscess, with the tip of a knife protruding from it. This extraordinary case involved the migration of an ingested knife, which perforated the stomach and externalized through an epigastric abscess. Surgical removal of the foreign body was performed.</p><p><strong>Discussion: </strong>Several hypotheses explain the ingestion of the knife in a person with psychiatric disorders, including self-mutilation, the pernicious mystical influence of malevolent third parties, or self-administration of a neomystical ritual.</p><p><strong>Conclusion: </strong>The development of a skin abscess secondary to foreign body ingestion is rare but should be considered in the absence of other causes.</p>","PeriodicalId":101416,"journal":{"name":"Medecine tropicale et sante internationale","volume":"4 4","pages":""},"PeriodicalIF":0.0000,"publicationDate":"2024-11-04","publicationTypes":"Journal Article","fieldsOfStudy":null,"isOpenAccess":false,"openAccessPdf":"https://www.ncbi.nlm.nih.gov/pmc/articles/PMC11892392/pdf/","citationCount":"0","resultStr":"{\"title\":\"[Abdominal parietal abscess secondary to the absorption of a knife by a mental patient, Treichville University Hospital, Côte d'Ivoire].\",\"authors\":\"Kouassi Henry Noël Ahue, Kouide Marius Goho, N'golo Adama Coulibaly, Kunka Jocelyne Kpan\",\"doi\":\"10.48327/mtsi.v4i4.2024.535\",\"DOIUrl\":null,\"url\":null,\"abstract\":\"<p><strong>Case report: </strong>We present the successful management of the consequences of voluntary knife ingestion in a 24-year-old male with undocumented psychiatric disorders. The patient was admitted to the emergency department with a fistulized epigastric skin abscess, with the tip of a knife protruding from it. This extraordinary case involved the migration of an ingested knife, which perforated the stomach and externalized through an epigastric abscess. Surgical removal of the foreign body was performed.</p><p><strong>Discussion: </strong>Several hypotheses explain the ingestion of the knife in a person with psychiatric disorders, including self-mutilation, the pernicious mystical influence of malevolent third parties, or self-administration of a neomystical ritual.</p><p><strong>Conclusion: </strong>The development of a skin abscess secondary to foreign body ingestion is rare but should be considered in the absence of other causes.</p>\",\"PeriodicalId\":101416,\"journal\":{\"name\":\"Medecine tropicale et sante internationale\",\"volume\":\"4 4\",\"pages\":\"\"},\"PeriodicalIF\":0.0000,\"publicationDate\":\"2024-11-04\",\"publicationTypes\":\"Journal Article\",\"fieldsOfStudy\":null,\"isOpenAccess\":false,\"openAccessPdf\":\"https://www.ncbi.nlm.nih.gov/pmc/articles/PMC11892392/pdf/\",\"citationCount\":\"0\",\"resultStr\":null,\"platform\":\"Semanticscholar\",\"paperid\":null,\"PeriodicalName\":\"Medecine tropicale et sante internationale\",\"FirstCategoryId\":\"1085\",\"ListUrlMain\":\"https://doi.org/10.48327/mtsi.v4i4.2024.535\",\"RegionNum\":0,\"RegionCategory\":null,\"ArticlePicture\":[],\"TitleCN\":null,\"AbstractTextCN\":null,\"PMCID\":null,\"EPubDate\":\"2024/12/31 0:00:00\",\"PubModel\":\"eCollection\",\"JCR\":\"\",\"JCRName\":\"\",\"Score\":null,\"Total\":0}","platform":"Semanticscholar","paperid":null,"PeriodicalName":"Medecine tropicale et sante internationale","FirstCategoryId":"1085","ListUrlMain":"https://doi.org/10.48327/mtsi.v4i4.2024.535","RegionNum":0,"RegionCategory":null,"ArticlePicture":[],"TitleCN":null,"AbstractTextCN":null,"PMCID":null,"EPubDate":"2024/12/31 0:00:00","PubModel":"eCollection","JCR":"","JCRName":"","Score":null,"Total":0}
引用次数: 0

摘要

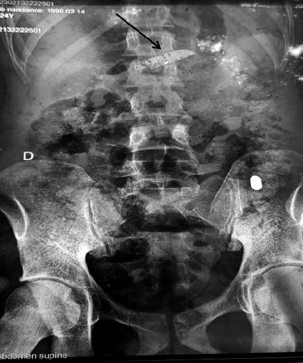
病例报告:我们提出的成功管理的后果自愿刀摄入在一个24岁的男性无证精神疾病。患者因腹部皮肤脓肿呈瘘管状,并有刀尖突出而住进急诊科。这个不寻常的情况下,涉及的迁移摄入刀,这穿孔胃和外化通过胃脘脓肿。手术取出异物。讨论:几种假说解释了患有精神疾病的人吞下这把刀的原因,包括自残,恶意第三方的有害神秘影响,或新神秘仪式的自我管理。结论:继发于异物摄入的皮肤脓肿是罕见的,但在没有其他原因的情况下应予以考虑。
本文章由计算机程序翻译,如有差异,请以英文原文为准。

[Abdominal parietal abscess secondary to the absorption of a knife by a mental patient, Treichville University Hospital, Côte d'Ivoire].

[Abdominal parietal abscess secondary to the absorption of a knife by a mental patient, Treichville University Hospital, Côte d'Ivoire].

[Abdominal parietal abscess secondary to the absorption of a knife by a mental patient, Treichville University Hospital, Côte d'Ivoire].

[Abdominal parietal abscess secondary to the absorption of a knife by a mental patient, Treichville University Hospital, Côte d'Ivoire].

Case report: We present the successful management of the consequences of voluntary knife ingestion in a 24-year-old male with undocumented psychiatric disorders. The patient was admitted to the emergency department with a fistulized epigastric skin abscess, with the tip of a knife protruding from it. This extraordinary case involved the migration of an ingested knife, which perforated the stomach and externalized through an epigastric abscess. Surgical removal of the foreign body was performed.

Discussion: Several hypotheses explain the ingestion of the knife in a person with psychiatric disorders, including self-mutilation, the pernicious mystical influence of malevolent third parties, or self-administration of a neomystical ritual.

Conclusion: The development of a skin abscess secondary to foreign body ingestion is rare but should be considered in the absence of other causes.

求助全文
通过发布文献求助,成功后即可免费获取论文全文。 去求助
来源期刊
CiteScore
0.20
自引率
0.00%
发文量
0
×
引用
GB/T 7714-2015
复制
MLA
复制
APA
复制
导出至
BibTeX EndNote RefMan NoteFirst NoteExpress
×
提示
您的信息不完整,为了账户安全,请先补充。
现在去补充
×
提示
您因"违规操作"
具体请查看互助需知
我知道了
×
提示
确定
请完成安全验证×
copy
已复制链接
快去分享给好友吧!
我知道了
右上角分享
点击右上角分享
0
联系我们:info@booksci.cn Book学术提供免费学术资源搜索服务,方便国内外学者检索中英文文献。致力于提供最便捷和优质的服务体验。 Copyright © 2023 布克学术 All rights reserved.
京ICP备2023020795号-1
ghs 京公网安备 11010802042870号
Book学术文献互助
Book学术文献互助群
群 号:604180095
Book学术官方微信