脊髓分裂畸形--基于 CT 和 MRI 神经影像学研究的简单现行分类。

Polish journal of radiology Pub Date : 2025-01-30 eCollection Date: 2025-01-01 DOI:10.5114/pjr/199683
Jadwiga Kleinrok, Krzysztof Kleinrok, Tadeusz Jan Popiela
{"title":"脊髓分裂畸形--基于 CT 和 MRI 神经影像学研究的简单现行分类。","authors":"Jadwiga Kleinrok, Krzysztof Kleinrok, Tadeusz Jan Popiela","doi":"10.5114/pjr/199683","DOIUrl":null,"url":null,"abstract":"<p><p>The aim of this paper is to present the currently used classification of split cord malformation. Split cord malformation (SCM) is a developmental defect arising during neurulation, resulting in abnormal neural tube development, with the formation of a division within the spinal cord and dural sac. The terms diastematomyelia and diplomyelia are used in the literature to describe this defect. In 1992, Pang proposed the term SCM to describe all dysraphic spinal cord defects and classified them into type I and type II, depending on the nature of the sagittal septum within the spinal canal and the presence or absence of a divided dural sac. SCM type I includes cases with a bony septum and a divided dural sac, while SCM type II includes cases without a divided dural sac but with a fibrous septum present. Depending on the type of defect, and the location and extent of the split, the condition is accompanied by neurological symptoms of varying localisation and severity. As symptoms may worsen with the child's growth, surgical intervention to remove the septum is usually necessary. In this article, the authors present the defect based on literature data, describe the current terminology regarding the defect and associated anomalies, and present a set of features that should be assessed to classify lesions.</p>","PeriodicalId":94174,"journal":{"name":"Polish journal of radiology","volume":"90 ","pages":"e46-e54"},"PeriodicalIF":0.0000,"publicationDate":"2025-01-30","publicationTypes":"Journal Article","fieldsOfStudy":null,"isOpenAccess":false,"openAccessPdf":"https://www.ncbi.nlm.nih.gov/pmc/articles/PMC11891551/pdf/","citationCount":"0","resultStr":"{\"title\":\"Split cord malformation - a simple, current classification based on CT and MRI neuroimaging studies.\",\"authors\":\"Jadwiga Kleinrok, Krzysztof Kleinrok, Tadeusz Jan Popiela\",\"doi\":\"10.5114/pjr/199683\",\"DOIUrl\":null,\"url\":null,\"abstract\":\"<p><p>The aim of this paper is to present the currently used classification of split cord malformation. Split cord malformation (SCM) is a developmental defect arising during neurulation, resulting in abnormal neural tube development, with the formation of a division within the spinal cord and dural sac. The terms diastematomyelia and diplomyelia are used in the literature to describe this defect. In 1992, Pang proposed the term SCM to describe all dysraphic spinal cord defects and classified them into type I and type II, depending on the nature of the sagittal septum within the spinal canal and the presence or absence of a divided dural sac. SCM type I includes cases with a bony septum and a divided dural sac, while SCM type II includes cases without a divided dural sac but with a fibrous septum present. Depending on the type of defect, and the location and extent of the split, the condition is accompanied by neurological symptoms of varying localisation and severity. As symptoms may worsen with the child's growth, surgical intervention to remove the septum is usually necessary. In this article, the authors present the defect based on literature data, describe the current terminology regarding the defect and associated anomalies, and present a set of features that should be assessed to classify lesions.</p>\",\"PeriodicalId\":94174,\"journal\":{\"name\":\"Polish journal of radiology\",\"volume\":\"90 \",\"pages\":\"e46-e54\"},\"PeriodicalIF\":0.0000,\"publicationDate\":\"2025-01-30\",\"publicationTypes\":\"Journal Article\",\"fieldsOfStudy\":null,\"isOpenAccess\":false,\"openAccessPdf\":\"https://www.ncbi.nlm.nih.gov/pmc/articles/PMC11891551/pdf/\",\"citationCount\":\"0\",\"resultStr\":null,\"platform\":\"Semanticscholar\",\"paperid\":null,\"PeriodicalName\":\"Polish journal of radiology\",\"FirstCategoryId\":\"1085\",\"ListUrlMain\":\"https://doi.org/10.5114/pjr/199683\",\"RegionNum\":0,\"RegionCategory\":null,\"ArticlePicture\":[],\"TitleCN\":null,\"AbstractTextCN\":null,\"PMCID\":null,\"EPubDate\":\"2025/1/1 0:00:00\",\"PubModel\":\"eCollection\",\"JCR\":\"\",\"JCRName\":\"\",\"Score\":null,\"Total\":0}","platform":"Semanticscholar","paperid":null,"PeriodicalName":"Polish journal of radiology","FirstCategoryId":"1085","ListUrlMain":"https://doi.org/10.5114/pjr/199683","RegionNum":0,"RegionCategory":null,"ArticlePicture":[],"TitleCN":null,"AbstractTextCN":null,"PMCID":null,"EPubDate":"2025/1/1 0:00:00","PubModel":"eCollection","JCR":"","JCRName":"","Score":null,"Total":0}
引用次数: 0

摘要

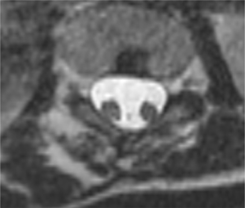
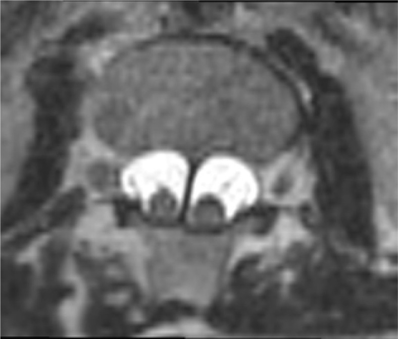
本文的目的是介绍目前使用的分类劈裂脊髓畸形。脊髓分裂畸形(SCM)是一种在神经发育过程中出现的发育缺陷,导致神经管发育异常,在脊髓和硬膜囊内形成分裂。术语纵裂和双裂在文献中被用来描述这种缺陷。1992年,Pang提出了SCM一词来描述所有的脊髓畸形,并根据椎管内矢状隔的性质和是否存在分离的硬脑膜囊,将其分为I型和II型。SCM I型包括骨间隔和硬脊膜囊分裂的病例,而SCM II型包括无硬脊膜囊分裂但存在纤维间隔的病例。根据缺陷的类型,以及分裂的位置和程度,这种情况伴随着不同部位和严重程度的神经系统症状。由于症状可能随着儿童的成长而恶化,手术干预通常是必要的。在这篇文章中,作者根据文献资料介绍了缺陷,描述了关于缺陷和相关异常的当前术语,并提出了一组应该评估的特征来分类病变。
本文章由计算机程序翻译,如有差异,请以英文原文为准。

Split cord malformation - a simple, current classification based on CT and MRI neuroimaging studies.

Split cord malformation - a simple, current classification based on CT and MRI neuroimaging studies.

Split cord malformation - a simple, current classification based on CT and MRI neuroimaging studies.

Split cord malformation - a simple, current classification based on CT and MRI neuroimaging studies.

The aim of this paper is to present the currently used classification of split cord malformation. Split cord malformation (SCM) is a developmental defect arising during neurulation, resulting in abnormal neural tube development, with the formation of a division within the spinal cord and dural sac. The terms diastematomyelia and diplomyelia are used in the literature to describe this defect. In 1992, Pang proposed the term SCM to describe all dysraphic spinal cord defects and classified them into type I and type II, depending on the nature of the sagittal septum within the spinal canal and the presence or absence of a divided dural sac. SCM type I includes cases with a bony septum and a divided dural sac, while SCM type II includes cases without a divided dural sac but with a fibrous septum present. Depending on the type of defect, and the location and extent of the split, the condition is accompanied by neurological symptoms of varying localisation and severity. As symptoms may worsen with the child's growth, surgical intervention to remove the septum is usually necessary. In this article, the authors present the defect based on literature data, describe the current terminology regarding the defect and associated anomalies, and present a set of features that should be assessed to classify lesions.

求助全文
通过发布文献求助,成功后即可免费获取论文全文。 去求助
来源期刊
CiteScore
2.10
自引率
0.00%
发文量
0
×
引用
GB/T 7714-2015
复制
MLA
复制
APA
复制
导出至
BibTeX EndNote RefMan NoteFirst NoteExpress
×
提示
您的信息不完整,为了账户安全,请先补充。
现在去补充
×
提示
您因"违规操作"
具体请查看互助需知
我知道了
×
提示
确定
请完成安全验证×
copy
已复制链接
快去分享给好友吧!
我知道了
右上角分享
点击右上角分享
0
联系我们:info@booksci.cn Book学术提供免费学术资源搜索服务,方便国内外学者检索中英文文献。致力于提供最便捷和优质的服务体验。 Copyright © 2023 布克学术 All rights reserved.
京ICP备2023020795号-1
ghs 京公网安备 11010802042870号
Book学术文献互助
Book学术文献互助群
群 号:604180095
Book学术官方微信