乳腺孤立性包虫囊肿:罕见的乳腺假瘤

IF 1.7 Q4 ONCOLOGY
Badra Bannour, Mariem Romdhani, Dorra Chiba, Imen Bannour, Atef Ben Abdelkader, Moncef Mokni, Sassi Boughizane
{"title":"乳腺孤立性包虫囊肿:罕见的乳腺假瘤","authors":"Badra Bannour, Mariem Romdhani, Dorra Chiba, Imen Bannour, Atef Ben Abdelkader, Moncef Mokni, Sassi Boughizane","doi":"10.4274/ejbh.galenos.2025.2024-12-10","DOIUrl":null,"url":null,"abstract":"<p><p>Although rare, a hydatid cyst of the breast represents a mammary pseudotumor. We present the case of a 49-year-old woman with no significant medical history, who was diagnosed with an isolated hydatid cyst of the breast confirmed by histopathological examination. This patient consulted for breast asymmetry and a feeling of heaviness in the left breast, with no clinical signs of systemic hydatidosis. The diagnosis was suggested by echo-mammography and confirmed postoperatively by histopathological examination. Although rarely reported, primary hydatid cyst of the breast can cause symptoms that mimic neoplasia. Surgical excision alone proved effective in treating this type of breast cyst.</p>","PeriodicalId":93996,"journal":{"name":"European journal of breast health","volume":" ","pages":"182-185"},"PeriodicalIF":1.7000,"publicationDate":"2025-03-25","publicationTypes":"Journal Article","fieldsOfStudy":null,"isOpenAccess":false,"openAccessPdf":"https://www.ncbi.nlm.nih.gov/pmc/articles/PMC11934831/pdf/","citationCount":"0","resultStr":"{\"title\":\"Isolated Hydatid Cyst of the Breast: A Rare Pseudotumor of the Breast.\",\"authors\":\"Badra Bannour, Mariem Romdhani, Dorra Chiba, Imen Bannour, Atef Ben Abdelkader, Moncef Mokni, Sassi Boughizane\",\"doi\":\"10.4274/ejbh.galenos.2025.2024-12-10\",\"DOIUrl\":null,\"url\":null,\"abstract\":\"<p><p>Although rare, a hydatid cyst of the breast represents a mammary pseudotumor. We present the case of a 49-year-old woman with no significant medical history, who was diagnosed with an isolated hydatid cyst of the breast confirmed by histopathological examination. This patient consulted for breast asymmetry and a feeling of heaviness in the left breast, with no clinical signs of systemic hydatidosis. The diagnosis was suggested by echo-mammography and confirmed postoperatively by histopathological examination. Although rarely reported, primary hydatid cyst of the breast can cause symptoms that mimic neoplasia. Surgical excision alone proved effective in treating this type of breast cyst.</p>\",\"PeriodicalId\":93996,\"journal\":{\"name\":\"European journal of breast health\",\"volume\":\" \",\"pages\":\"182-185\"},\"PeriodicalIF\":1.7000,\"publicationDate\":\"2025-03-25\",\"publicationTypes\":\"Journal Article\",\"fieldsOfStudy\":null,\"isOpenAccess\":false,\"openAccessPdf\":\"https://www.ncbi.nlm.nih.gov/pmc/articles/PMC11934831/pdf/\",\"citationCount\":\"0\",\"resultStr\":null,\"platform\":\"Semanticscholar\",\"paperid\":null,\"PeriodicalName\":\"European journal of breast health\",\"FirstCategoryId\":\"1085\",\"ListUrlMain\":\"https://doi.org/10.4274/ejbh.galenos.2025.2024-12-10\",\"RegionNum\":0,\"RegionCategory\":null,\"ArticlePicture\":[],\"TitleCN\":null,\"AbstractTextCN\":null,\"PMCID\":null,\"EPubDate\":\"2025/3/11 0:00:00\",\"PubModel\":\"Epub\",\"JCR\":\"Q4\",\"JCRName\":\"ONCOLOGY\",\"Score\":null,\"Total\":0}","platform":"Semanticscholar","paperid":null,"PeriodicalName":"European journal of breast health","FirstCategoryId":"1085","ListUrlMain":"https://doi.org/10.4274/ejbh.galenos.2025.2024-12-10","RegionNum":0,"RegionCategory":null,"ArticlePicture":[],"TitleCN":null,"AbstractTextCN":null,"PMCID":null,"EPubDate":"2025/3/11 0:00:00","PubModel":"Epub","JCR":"Q4","JCRName":"ONCOLOGY","Score":null,"Total":0}
引用次数: 0

摘要

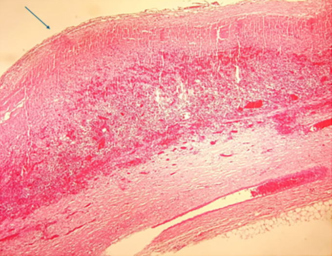
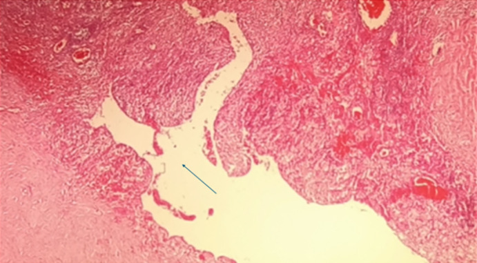
虽然罕见,但乳腺包虫病代表乳腺假瘤。我们提出的情况下,49岁的妇女没有明显的病史,谁被诊断为孤立的包虫囊肿的乳房组织病理检查证实。该患者因乳房不对称和左乳感觉沉重而就诊,无全身包虫病的临床体征。超声乳房x光检查提示诊断,术后组织病理检查证实。虽然很少报道,原发性乳腺包虫病可引起类似肿瘤的症状。手术切除被证明是治疗这种类型乳腺囊肿的有效方法。
本文章由计算机程序翻译,如有差异,请以英文原文为准。

Isolated Hydatid Cyst of the Breast: A Rare Pseudotumor of the Breast.

Isolated Hydatid Cyst of the Breast: A Rare Pseudotumor of the Breast.

Isolated Hydatid Cyst of the Breast: A Rare Pseudotumor of the Breast.

Isolated Hydatid Cyst of the Breast: A Rare Pseudotumor of the Breast.

Although rare, a hydatid cyst of the breast represents a mammary pseudotumor. We present the case of a 49-year-old woman with no significant medical history, who was diagnosed with an isolated hydatid cyst of the breast confirmed by histopathological examination. This patient consulted for breast asymmetry and a feeling of heaviness in the left breast, with no clinical signs of systemic hydatidosis. The diagnosis was suggested by echo-mammography and confirmed postoperatively by histopathological examination. Although rarely reported, primary hydatid cyst of the breast can cause symptoms that mimic neoplasia. Surgical excision alone proved effective in treating this type of breast cyst.

求助全文
通过发布文献求助,成功后即可免费获取论文全文。 去求助
来源期刊
CiteScore
2.60
自引率
0.00%
发文量
0
×
引用
GB/T 7714-2015
复制
MLA
复制
APA
复制
导出至
BibTeX EndNote RefMan NoteFirst NoteExpress
×
提示
您的信息不完整,为了账户安全,请先补充。
现在去补充
×
提示
您因"违规操作"
具体请查看互助需知
我知道了
×
提示
确定
请完成安全验证×
copy
已复制链接
快去分享给好友吧!
我知道了
右上角分享
点击右上角分享
0
联系我们:info@booksci.cn Book学术提供免费学术资源搜索服务,方便国内外学者检索中英文文献。致力于提供最便捷和优质的服务体验。 Copyright © 2023 布克学术 All rights reserved.
京ICP备2023020795号-1
ghs 京公网安备 11010802042870号
Book学术文献互助
Book学术文献互助群
群 号:604180095
Book学术官方微信