肾移植术后并发神经内分泌癌和皮肤鳞状细胞癌1例。

Q2 Medicine
Archives of Craniofacial Surgery Pub Date : 2025-02-01 Epub Date: 2025-02-20 DOI:10.7181/acfs.2025.00661
Woohyuk Yoon, Jong Im Lee, Joon Ho Lee
{"title":"肾移植术后并发神经内分泌癌和皮肤鳞状细胞癌1例。","authors":"Woohyuk Yoon, Jong Im Lee, Joon Ho Lee","doi":"10.7181/acfs.2025.00661","DOIUrl":null,"url":null,"abstract":"<p><p>Neuroendocrine carcinoma (NEC) is a rare aggressive tumor of the skin with a shared phenotype of both endocrine and neuronal features. Its behavior includes rapid progression, common local recurrence, frequent metastasis to local lymph nodes, and occasional systematic involvement. The risk factors for NEC are similar to those for other skin cancers and mainly include ultraviolet light exposure, older age, T-cell immunosuppression, fair skin, and male sex. NEC is seen more frequently in the immunosuppressed population, and we report a rare case of NEC combined with squamous cell carcinoma (SCC) in a patient who underwent kidney transplantation. A 66-year-old man was referred with a brownish plaque on left cheek, and a punch biopsy result indicated SCC in situ. Wide excision was performed, and the defect was reconstructed using a bilobed flap. The final biopsy confirmed SCC combined with carcinoma with neuroendocrine differentiation, and positron emission tomography-computed tomography confirmed the absence of lymph node metastasis or systemic involvement. The patient showed no evidence of recurrence or other postoperative complications.</p>","PeriodicalId":52238,"journal":{"name":"Archives of Craniofacial Surgery","volume":"26 1","pages":"38-42"},"PeriodicalIF":0.0000,"publicationDate":"2025-02-01","publicationTypes":"Journal Article","fieldsOfStudy":null,"isOpenAccess":false,"openAccessPdf":"https://www.ncbi.nlm.nih.gov/pmc/articles/PMC11917403/pdf/","citationCount":"0","resultStr":"{\"title\":\"Coexistence of neuroendocrine carcinoma and squamous cell carcinoma of the skin after kidney transplantation: a case report.\",\"authors\":\"Woohyuk Yoon, Jong Im Lee, Joon Ho Lee\",\"doi\":\"10.7181/acfs.2025.00661\",\"DOIUrl\":null,\"url\":null,\"abstract\":\"<p><p>Neuroendocrine carcinoma (NEC) is a rare aggressive tumor of the skin with a shared phenotype of both endocrine and neuronal features. Its behavior includes rapid progression, common local recurrence, frequent metastasis to local lymph nodes, and occasional systematic involvement. The risk factors for NEC are similar to those for other skin cancers and mainly include ultraviolet light exposure, older age, T-cell immunosuppression, fair skin, and male sex. NEC is seen more frequently in the immunosuppressed population, and we report a rare case of NEC combined with squamous cell carcinoma (SCC) in a patient who underwent kidney transplantation. A 66-year-old man was referred with a brownish plaque on left cheek, and a punch biopsy result indicated SCC in situ. Wide excision was performed, and the defect was reconstructed using a bilobed flap. The final biopsy confirmed SCC combined with carcinoma with neuroendocrine differentiation, and positron emission tomography-computed tomography confirmed the absence of lymph node metastasis or systemic involvement. The patient showed no evidence of recurrence or other postoperative complications.</p>\",\"PeriodicalId\":52238,\"journal\":{\"name\":\"Archives of Craniofacial Surgery\",\"volume\":\"26 1\",\"pages\":\"38-42\"},\"PeriodicalIF\":0.0000,\"publicationDate\":\"2025-02-01\",\"publicationTypes\":\"Journal Article\",\"fieldsOfStudy\":null,\"isOpenAccess\":false,\"openAccessPdf\":\"https://www.ncbi.nlm.nih.gov/pmc/articles/PMC11917403/pdf/\",\"citationCount\":\"0\",\"resultStr\":null,\"platform\":\"Semanticscholar\",\"paperid\":null,\"PeriodicalName\":\"Archives of Craniofacial Surgery\",\"FirstCategoryId\":\"1085\",\"ListUrlMain\":\"https://doi.org/10.7181/acfs.2025.00661\",\"RegionNum\":0,\"RegionCategory\":null,\"ArticlePicture\":[],\"TitleCN\":null,\"AbstractTextCN\":null,\"PMCID\":null,\"EPubDate\":\"2025/2/20 0:00:00\",\"PubModel\":\"Epub\",\"JCR\":\"Q2\",\"JCRName\":\"Medicine\",\"Score\":null,\"Total\":0}","platform":"Semanticscholar","paperid":null,"PeriodicalName":"Archives of Craniofacial Surgery","FirstCategoryId":"1085","ListUrlMain":"https://doi.org/10.7181/acfs.2025.00661","RegionNum":0,"RegionCategory":null,"ArticlePicture":[],"TitleCN":null,"AbstractTextCN":null,"PMCID":null,"EPubDate":"2025/2/20 0:00:00","PubModel":"Epub","JCR":"Q2","JCRName":"Medicine","Score":null,"Total":0}
引用次数: 0

摘要

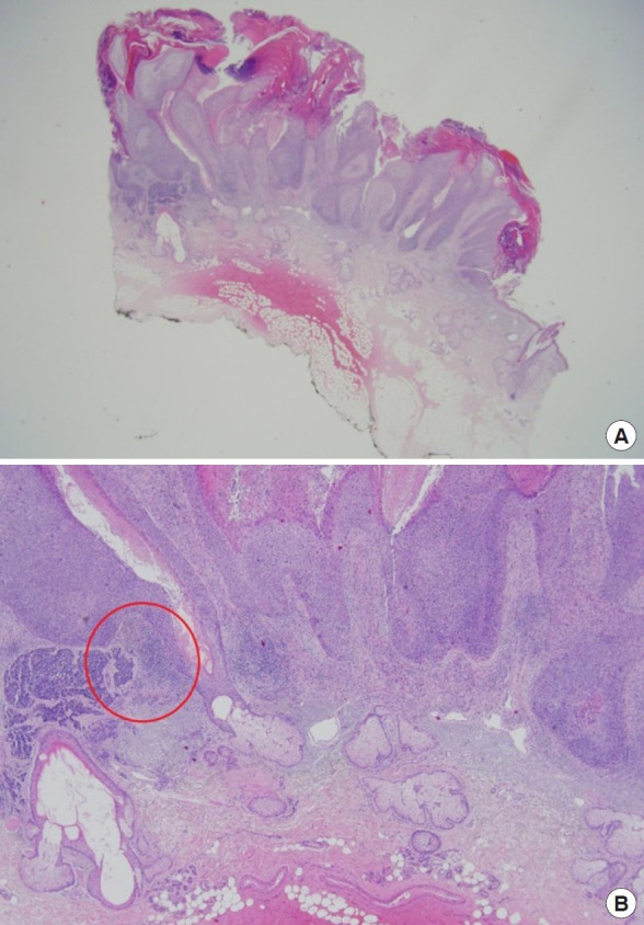
神经内分泌癌(NEC)是一种罕见的侵袭性皮肤肿瘤,具有内分泌和神经特征的共同表型。其表现为进展迅速,常见局部复发,常转移到局部淋巴结,偶尔累及全身。NEC的危险因素与其他皮肤癌相似,主要包括紫外线照射、年龄较大、t细胞免疫抑制、皮肤白皙和男性。NEC在免疫抑制人群中更为常见,我们报告一例罕见的NEC合并鳞状细胞癌(SCC)的肾移植患者。66岁男性,左脸颊有棕色斑块,穿刺活检提示原位SCC。大面积切除,缺损用双叶瓣重建。最终活检证实SCC合并神经内分泌分化癌,正电子发射断层扫描-计算机断层扫描证实无淋巴结转移或全身累及。患者无复发或其他术后并发症。
本文章由计算机程序翻译,如有差异,请以英文原文为准。

Coexistence of neuroendocrine carcinoma and squamous cell carcinoma of the skin after kidney transplantation: a case report.

Coexistence of neuroendocrine carcinoma and squamous cell carcinoma of the skin after kidney transplantation: a case report.

Coexistence of neuroendocrine carcinoma and squamous cell carcinoma of the skin after kidney transplantation: a case report.

Coexistence of neuroendocrine carcinoma and squamous cell carcinoma of the skin after kidney transplantation: a case report.

Neuroendocrine carcinoma (NEC) is a rare aggressive tumor of the skin with a shared phenotype of both endocrine and neuronal features. Its behavior includes rapid progression, common local recurrence, frequent metastasis to local lymph nodes, and occasional systematic involvement. The risk factors for NEC are similar to those for other skin cancers and mainly include ultraviolet light exposure, older age, T-cell immunosuppression, fair skin, and male sex. NEC is seen more frequently in the immunosuppressed population, and we report a rare case of NEC combined with squamous cell carcinoma (SCC) in a patient who underwent kidney transplantation. A 66-year-old man was referred with a brownish plaque on left cheek, and a punch biopsy result indicated SCC in situ. Wide excision was performed, and the defect was reconstructed using a bilobed flap. The final biopsy confirmed SCC combined with carcinoma with neuroendocrine differentiation, and positron emission tomography-computed tomography confirmed the absence of lymph node metastasis or systemic involvement. The patient showed no evidence of recurrence or other postoperative complications.

求助全文
通过发布文献求助,成功后即可免费获取论文全文。 去求助
来源期刊
Archives of Craniofacial Surgery
Archives of Craniofacial Surgery Medicine-Otorhinolaryngology
CiteScore
2.90
自引率
0.00%
发文量
44
×
引用
GB/T 7714-2015
复制
MLA
复制
APA
复制
导出至
BibTeX EndNote RefMan NoteFirst NoteExpress
×
提示
您的信息不完整,为了账户安全,请先补充。
现在去补充
×
提示
您因"违规操作"
具体请查看互助需知
我知道了
×
提示
确定
请完成安全验证×
copy
已复制链接
快去分享给好友吧!
我知道了
右上角分享
点击右上角分享
0
联系我们:info@booksci.cn Book学术提供免费学术资源搜索服务,方便国内外学者检索中英文文献。致力于提供最便捷和优质的服务体验。 Copyright © 2023 布克学术 All rights reserved.
京ICP备2023020795号-1
ghs 京公网安备 11010802042870号
Book学术文献互助
Book学术文献互助群
群 号:604180095
Book学术官方微信