外部吸脂后颈部内套管尖端的手术取出:1例报告。

Q2 Medicine
Archives of Craniofacial Surgery Pub Date : 2025-02-01 Epub Date: 2025-02-20 DOI:10.7181/acfs.2024.00311
Hye Gwang Mun, Yu Jin Kim
{"title":"外部吸脂后颈部内套管尖端的手术取出:1例报告。","authors":"Hye Gwang Mun, Yu Jin Kim","doi":"10.7181/acfs.2024.00311","DOIUrl":null,"url":null,"abstract":"<p><p>Liposuction is a widely performed aesthetic plastic surgery procedure used for various purposes. The use of advanced liposuction techniques has reduced the risk of complications. Nevertheless, they can still occur unexpectedly. Herein, we report a rare case of a 44-year-old patient who experienced a broken cannula tip lodged in her neck during cervicofacial liposuction. This case highlights the need for vigilance in preventing such complications through rigorous preoperative equipment inspections and proper instrument maintenance. Additionally, when attempting to remove a broken instrument tip, it is crucial to perform imaging examinations both before and during the procedure to precisely locate and extract the fragments, ensuring patient safety and a successful outcome.</p>","PeriodicalId":52238,"journal":{"name":"Archives of Craniofacial Surgery","volume":"26 1","pages":"34-37"},"PeriodicalIF":0.0000,"publicationDate":"2025-02-01","publicationTypes":"Journal Article","fieldsOfStudy":null,"isOpenAccess":false,"openAccessPdf":"https://www.ncbi.nlm.nih.gov/pmc/articles/PMC11917412/pdf/","citationCount":"0","resultStr":"{\"title\":\"Surgical extraction of a cannula tip embedded in the neck after liposuction at an external facility: a case report.\",\"authors\":\"Hye Gwang Mun, Yu Jin Kim\",\"doi\":\"10.7181/acfs.2024.00311\",\"DOIUrl\":null,\"url\":null,\"abstract\":\"<p><p>Liposuction is a widely performed aesthetic plastic surgery procedure used for various purposes. The use of advanced liposuction techniques has reduced the risk of complications. Nevertheless, they can still occur unexpectedly. Herein, we report a rare case of a 44-year-old patient who experienced a broken cannula tip lodged in her neck during cervicofacial liposuction. This case highlights the need for vigilance in preventing such complications through rigorous preoperative equipment inspections and proper instrument maintenance. Additionally, when attempting to remove a broken instrument tip, it is crucial to perform imaging examinations both before and during the procedure to precisely locate and extract the fragments, ensuring patient safety and a successful outcome.</p>\",\"PeriodicalId\":52238,\"journal\":{\"name\":\"Archives of Craniofacial Surgery\",\"volume\":\"26 1\",\"pages\":\"34-37\"},\"PeriodicalIF\":0.0000,\"publicationDate\":\"2025-02-01\",\"publicationTypes\":\"Journal Article\",\"fieldsOfStudy\":null,\"isOpenAccess\":false,\"openAccessPdf\":\"https://www.ncbi.nlm.nih.gov/pmc/articles/PMC11917412/pdf/\",\"citationCount\":\"0\",\"resultStr\":null,\"platform\":\"Semanticscholar\",\"paperid\":null,\"PeriodicalName\":\"Archives of Craniofacial Surgery\",\"FirstCategoryId\":\"1085\",\"ListUrlMain\":\"https://doi.org/10.7181/acfs.2024.00311\",\"RegionNum\":0,\"RegionCategory\":null,\"ArticlePicture\":[],\"TitleCN\":null,\"AbstractTextCN\":null,\"PMCID\":null,\"EPubDate\":\"2025/2/20 0:00:00\",\"PubModel\":\"Epub\",\"JCR\":\"Q2\",\"JCRName\":\"Medicine\",\"Score\":null,\"Total\":0}","platform":"Semanticscholar","paperid":null,"PeriodicalName":"Archives of Craniofacial Surgery","FirstCategoryId":"1085","ListUrlMain":"https://doi.org/10.7181/acfs.2024.00311","RegionNum":0,"RegionCategory":null,"ArticlePicture":[],"TitleCN":null,"AbstractTextCN":null,"PMCID":null,"EPubDate":"2025/2/20 0:00:00","PubModel":"Epub","JCR":"Q2","JCRName":"Medicine","Score":null,"Total":0}
引用次数: 0

摘要

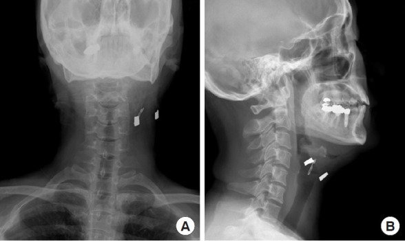
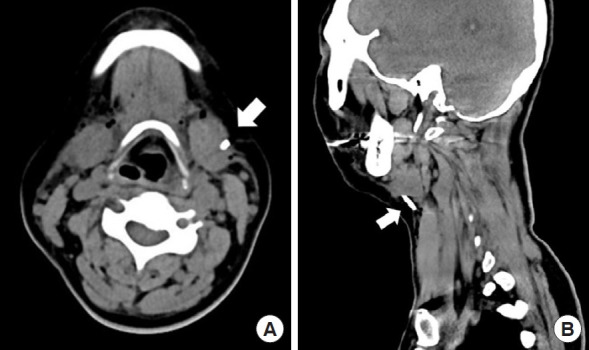
吸脂术是一种广泛应用于各种目的的美容整形手术。先进吸脂技术的使用降低了并发症的风险。然而,它们仍然会意外地发生。在此,我们报告一个罕见的情况下,一个44岁的病人谁经历了一个破裂的套管尖端卡在她的颈部颈面抽脂。该病例强调了通过严格的术前设备检查和适当的仪器维护来预防此类并发症的必要性。此外,当试图去除破损的器械尖端时,在手术前和手术过程中进行影像学检查以精确定位和提取碎片,确保患者安全和成功的结果是至关重要的。
本文章由计算机程序翻译,如有差异,请以英文原文为准。

Surgical extraction of a cannula tip embedded in the neck after liposuction at an external facility: a case report.

Surgical extraction of a cannula tip embedded in the neck after liposuction at an external facility: a case report.

Surgical extraction of a cannula tip embedded in the neck after liposuction at an external facility: a case report.

Surgical extraction of a cannula tip embedded in the neck after liposuction at an external facility: a case report.

Liposuction is a widely performed aesthetic plastic surgery procedure used for various purposes. The use of advanced liposuction techniques has reduced the risk of complications. Nevertheless, they can still occur unexpectedly. Herein, we report a rare case of a 44-year-old patient who experienced a broken cannula tip lodged in her neck during cervicofacial liposuction. This case highlights the need for vigilance in preventing such complications through rigorous preoperative equipment inspections and proper instrument maintenance. Additionally, when attempting to remove a broken instrument tip, it is crucial to perform imaging examinations both before and during the procedure to precisely locate and extract the fragments, ensuring patient safety and a successful outcome.

求助全文
通过发布文献求助,成功后即可免费获取论文全文。 去求助
来源期刊
Archives of Craniofacial Surgery
Archives of Craniofacial Surgery Medicine-Otorhinolaryngology
CiteScore
2.90
自引率
0.00%
发文量
44
×
引用
GB/T 7714-2015
复制
MLA
复制
APA
复制
导出至
BibTeX EndNote RefMan NoteFirst NoteExpress
×
提示
您的信息不完整,为了账户安全,请先补充。
现在去补充
×
提示
您因"违规操作"
具体请查看互助需知
我知道了
×
提示
确定
请完成安全验证×
copy
已复制链接
快去分享给好友吧!
我知道了
右上角分享
点击右上角分享
0
联系我们:info@booksci.cn Book学术提供免费学术资源搜索服务,方便国内外学者检索中英文文献。致力于提供最便捷和优质的服务体验。 Copyright © 2023 布克学术 All rights reserved.
京ICP备2023020795号-1
ghs 京公网安备 11010802042870号
Book学术文献互助
Book学术文献互助群
群 号:604180095
Book学术官方微信