腹腔神经节和干:解剖变异及其临床相关性的评估。

Q3 Medicine
Diana-Theodora Morgos, Lucian-George Eftimie, Horia Nicolae, Remus Iulian Nica, Constantin Stefani, Daniela Miricescu, Adrian Tulin, Florin Mihail Filipoiu
{"title":"腹腔神经节和干:解剖变异及其临床相关性的评估。","authors":"Diana-Theodora Morgos, Lucian-George Eftimie, Horia Nicolae, Remus Iulian Nica, Constantin Stefani, Daniela Miricescu, Adrian Tulin, Florin Mihail Filipoiu","doi":"10.25122/jml-2025-0015","DOIUrl":null,"url":null,"abstract":"<p><p>The celiac ganglia are a network of nerve fibers that regulate various functions related to digestion, while the celiac trunk is a major artery that supplies oxygenated blood to the stomach, small intestine, and other organs in the upper abdominal region. Anatomical variants of these structures are common and can have significant implications for surgical and medical procedures. This prospective observational study was conducted over one year and included 300 patients (aged 45-75 years) with a history of peripheral arterial disease, evaluated at Dr. Carol Davila Central Military Emergency Hospital Bucharest, Romania, using a Philips Spectral CT 7500. The study identified three major anatomical variants of the celiac trunk, each associated with different positional distributions of the celiac ganglia. In cases where the celiac trunk presented as a hepatosplenic trunk with the left gastric artery originating from the abdominal aorta, the lateral position of the celiac ganglia was most prevalent. When the hepatosplenic trunk included the left gastric artery arising from the splenic artery, the postero-lateral position of the celiac ganglia was the most frequently observed. In patients with a hepatogastric trunk, where the splenic artery originated from the superior mesenteric artery, the lateral position of the celiac ganglia was again the most common. Statistical analysis reveals a t-statistic of 7.391 and 11.319 with a P value of 0.002. This article reviewed the anatomical variants of the celiac ganglia and their anatomical variants, highlighting their prevalence, clinical significance, and implications for surgical and interventional procedures.</p>","PeriodicalId":16386,"journal":{"name":"Journal of Medicine and Life","volume":"18 1","pages":"60-66"},"PeriodicalIF":0.0000,"publicationDate":"2025-01-01","publicationTypes":"Journal Article","fieldsOfStudy":null,"isOpenAccess":false,"openAccessPdf":"https://www.ncbi.nlm.nih.gov/pmc/articles/PMC11891612/pdf/","citationCount":"0","resultStr":"{\"title\":\"The celiac ganglia and trunk: an assessment of anatomical variants and their clinical relevance.\",\"authors\":\"Diana-Theodora Morgos, Lucian-George Eftimie, Horia Nicolae, Remus Iulian Nica, Constantin Stefani, Daniela Miricescu, Adrian Tulin, Florin Mihail Filipoiu\",\"doi\":\"10.25122/jml-2025-0015\",\"DOIUrl\":null,\"url\":null,\"abstract\":\"<p><p>The celiac ganglia are a network of nerve fibers that regulate various functions related to digestion, while the celiac trunk is a major artery that supplies oxygenated blood to the stomach, small intestine, and other organs in the upper abdominal region. Anatomical variants of these structures are common and can have significant implications for surgical and medical procedures. This prospective observational study was conducted over one year and included 300 patients (aged 45-75 years) with a history of peripheral arterial disease, evaluated at Dr. Carol Davila Central Military Emergency Hospital Bucharest, Romania, using a Philips Spectral CT 7500. The study identified three major anatomical variants of the celiac trunk, each associated with different positional distributions of the celiac ganglia. In cases where the celiac trunk presented as a hepatosplenic trunk with the left gastric artery originating from the abdominal aorta, the lateral position of the celiac ganglia was most prevalent. When the hepatosplenic trunk included the left gastric artery arising from the splenic artery, the postero-lateral position of the celiac ganglia was the most frequently observed. In patients with a hepatogastric trunk, where the splenic artery originated from the superior mesenteric artery, the lateral position of the celiac ganglia was again the most common. Statistical analysis reveals a t-statistic of 7.391 and 11.319 with a P value of 0.002. This article reviewed the anatomical variants of the celiac ganglia and their anatomical variants, highlighting their prevalence, clinical significance, and implications for surgical and interventional procedures.</p>\",\"PeriodicalId\":16386,\"journal\":{\"name\":\"Journal of Medicine and Life\",\"volume\":\"18 1\",\"pages\":\"60-66\"},\"PeriodicalIF\":0.0000,\"publicationDate\":\"2025-01-01\",\"publicationTypes\":\"Journal Article\",\"fieldsOfStudy\":null,\"isOpenAccess\":false,\"openAccessPdf\":\"https://www.ncbi.nlm.nih.gov/pmc/articles/PMC11891612/pdf/\",\"citationCount\":\"0\",\"resultStr\":null,\"platform\":\"Semanticscholar\",\"paperid\":null,\"PeriodicalName\":\"Journal of Medicine and Life\",\"FirstCategoryId\":\"1085\",\"ListUrlMain\":\"https://doi.org/10.25122/jml-2025-0015\",\"RegionNum\":0,\"RegionCategory\":null,\"ArticlePicture\":[],\"TitleCN\":null,\"AbstractTextCN\":null,\"PMCID\":null,\"EPubDate\":\"\",\"PubModel\":\"\",\"JCR\":\"Q3\",\"JCRName\":\"Medicine\",\"Score\":null,\"Total\":0}","platform":"Semanticscholar","paperid":null,"PeriodicalName":"Journal of Medicine and Life","FirstCategoryId":"1085","ListUrlMain":"https://doi.org/10.25122/jml-2025-0015","RegionNum":0,"RegionCategory":null,"ArticlePicture":[],"TitleCN":null,"AbstractTextCN":null,"PMCID":null,"EPubDate":"","PubModel":"","JCR":"Q3","JCRName":"Medicine","Score":null,"Total":0}
引用次数: 0

摘要

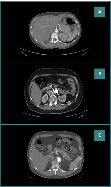
腹腔神经节是一个神经纤维网络,调节与消化有关的各种功能,而腹腔干是一条大动脉,向胃、小肠和上腹部的其他器官供应含氧血液。这些结构的解剖变异是常见的,并且可以对外科和医疗程序产生重大影响。这项前瞻性观察性研究进行了一年多,纳入了300名有外周动脉疾病史的患者(年龄45-75岁),在罗马尼亚布加勒斯特Carol Davila中央军事急救医院使用飞利浦光谱CT 7500进行评估。该研究确定了腹腔干的三种主要解剖变异,每种变异都与腹腔神经节的不同位置分布有关。在腹腔干表现为肝脾干,左胃动脉起源于腹主动脉的病例中,腹腔神经节的外侧位置最为普遍。当肝脾干包括由脾动脉产生的胃左动脉时,最常观察到腹腔神经节的后外侧位置。在肝胃干患者中,脾动脉起源于肠系膜上动脉,腹腔神经节的外侧位置也是最常见的。统计分析显示t统计量分别为7.391和11.319,P值为0.002。本文综述了腹腔神经节的解剖变异及其解剖变异,强调了它们的患病率、临床意义以及对外科和介入性手术的影响。
本文章由计算机程序翻译,如有差异,请以英文原文为准。

The celiac ganglia and trunk: an assessment of anatomical variants and their clinical relevance.

The celiac ganglia and trunk: an assessment of anatomical variants and their clinical relevance.

The celiac ganglia and trunk: an assessment of anatomical variants and their clinical relevance.

The celiac ganglia are a network of nerve fibers that regulate various functions related to digestion, while the celiac trunk is a major artery that supplies oxygenated blood to the stomach, small intestine, and other organs in the upper abdominal region. Anatomical variants of these structures are common and can have significant implications for surgical and medical procedures. This prospective observational study was conducted over one year and included 300 patients (aged 45-75 years) with a history of peripheral arterial disease, evaluated at Dr. Carol Davila Central Military Emergency Hospital Bucharest, Romania, using a Philips Spectral CT 7500. The study identified three major anatomical variants of the celiac trunk, each associated with different positional distributions of the celiac ganglia. In cases where the celiac trunk presented as a hepatosplenic trunk with the left gastric artery originating from the abdominal aorta, the lateral position of the celiac ganglia was most prevalent. When the hepatosplenic trunk included the left gastric artery arising from the splenic artery, the postero-lateral position of the celiac ganglia was the most frequently observed. In patients with a hepatogastric trunk, where the splenic artery originated from the superior mesenteric artery, the lateral position of the celiac ganglia was again the most common. Statistical analysis reveals a t-statistic of 7.391 and 11.319 with a P value of 0.002. This article reviewed the anatomical variants of the celiac ganglia and their anatomical variants, highlighting their prevalence, clinical significance, and implications for surgical and interventional procedures.

求助全文
通过发布文献求助,成功后即可免费获取论文全文。 去求助
来源期刊
Journal of Medicine and Life
Journal of Medicine and Life Medicine-Medicine (all)
CiteScore
1.90
自引率
0.00%
发文量
202
期刊介绍: The Journal of Medicine and Life publishes peer-reviewed articles from various fields of medicine and life sciences, including original research, systematic reviews, special reports, case presentations, major medical breakthroughs and letters to the editor. The Journal focuses on current matters that lie at the intersection of biomedical science and clinical practice and strives to present this information to inform health care delivery and improve patient outcomes. Papers addressing topics such as neuroprotection, neurorehabilitation, neuroplasticity, and neuroregeneration are particularly encouraged, as part of the Journal''s continuous interest in neuroscience research. The Editorial Board of the Journal of Medicine and Life is open to consider manuscripts from all levels of research and areas of biological sciences, including fundamental, experimental or clinical research and matters of public health. As part of our pledge to promote an educational and community-building environment, our issues feature sections designated to informing our readers regarding exciting international congresses, teaching courses and relevant institutional-level events.
×
引用
GB/T 7714-2015
复制
MLA
复制
APA
复制
导出至
BibTeX EndNote RefMan NoteFirst NoteExpress
×
提示
您的信息不完整,为了账户安全,请先补充。
现在去补充
×
提示
您因"违规操作"
具体请查看互助需知
我知道了
×
提示
确定
请完成安全验证×
copy
已复制链接
快去分享给好友吧!
我知道了
右上角分享
点击右上角分享
0
联系我们:info@booksci.cn Book学术提供免费学术资源搜索服务,方便国内外学者检索中英文文献。致力于提供最便捷和优质的服务体验。 Copyright © 2023 布克学术 All rights reserved.
京ICP备2023020795号-1
ghs 京公网安备 11010802042870号
Book学术文献互助
Book学术文献互助群
群 号:604180095
Book学术官方微信