心内4D血流磁共振成像呼吸运动补偿对左室血流动力学、多组分粒子示踪和瓣膜跟踪的影响。

European heart journal. Imaging methods and practice Pub Date : 2025-03-10 eCollection Date: 2025-01-01 DOI:10.1093/ehjimp/qyaf020
Paul R Roos, Thomas In de Braekt, Hildo J Lamb, Jos J M Westenberg
{"title":"心内4D血流磁共振成像呼吸运动补偿对左室血流动力学、多组分粒子示踪和瓣膜跟踪的影响。","authors":"Paul R Roos, Thomas In de Braekt, Hildo J Lamb, Jos J M Westenberg","doi":"10.1093/ehjimp/qyaf020","DOIUrl":null,"url":null,"abstract":"<p><strong>Aims: </strong>4D flow magnetic resonance imaging (MRI) has enabled evaluation of intracardiac flow dynamics by particle tracing for visualizing and quantifying complex flow patterns. The aim of this study was to assess the impact of respiratory motion compensation on 4D flow MRI-based left ventricular four-component particle tracing, valve tracking, and haemodynamics.</p><p><strong>Methods and results: </strong>In this prospective cohort study, 4D flow MRI with and without respiratory motion compensation was performed in 15 healthy volunteers. Intracardiac particle tracing considered four components: direct flow, delayed ejection flow (DEF), retained inflow (RI), and residual volume. Data quality was assessed by comparing DEF and RI components. Particle tracing, valve tracking, kinetic energy (KE), and vorticity were compared between scan methods. Paired sample <i>t</i>-tests and intraclass correlation analysis were performed with an alpha of 0.05. DEF, RI, ejection fraction, and stroke volume were different between scan methods. Five participants showed DEF-RI mismatch > 10%. After excluding these, differences in flow fractions were non-significant. Differences in stroke volume, ejection fraction, and valvular flow mismatch between scan methods remained. Valve tracking was comparable between scan methods and correlated well with particle tracing. Absolute mismatch between particle tracing- and valve tracking-based mitral flow, and KE and vorticity at A-peak, was higher for non-compensated MRI.</p><p><strong>Conclusion: </strong>Respiratory motion compensation can improve accuracy of intracardiac particle tracing based on 4D flow MRI by decreasing mismatch to retrospective valve tracking. For intracardiac particle tracing, respiratory motion compensation is advised. Robust data quality assessment for particle tracing-based analyses is equally crucial.</p>","PeriodicalId":94317,"journal":{"name":"European heart journal. Imaging methods and practice","volume":"3 1","pages":"qyaf020"},"PeriodicalIF":0.0000,"publicationDate":"2025-03-10","publicationTypes":"Journal Article","fieldsOfStudy":null,"isOpenAccess":false,"openAccessPdf":"https://www.ncbi.nlm.nih.gov/pmc/articles/PMC11891475/pdf/","citationCount":"0","resultStr":"{\"title\":\"The effect of respiratory motion compensation in intracardiac 4D flow magnetic resonance imaging on left ventricular flow dynamics, multicomponent particle tracing, and valve tracking.\",\"authors\":\"Paul R Roos, Thomas In de Braekt, Hildo J Lamb, Jos J M Westenberg\",\"doi\":\"10.1093/ehjimp/qyaf020\",\"DOIUrl\":null,\"url\":null,\"abstract\":\"<p><strong>Aims: </strong>4D flow magnetic resonance imaging (MRI) has enabled evaluation of intracardiac flow dynamics by particle tracing for visualizing and quantifying complex flow patterns. The aim of this study was to assess the impact of respiratory motion compensation on 4D flow MRI-based left ventricular four-component particle tracing, valve tracking, and haemodynamics.</p><p><strong>Methods and results: </strong>In this prospective cohort study, 4D flow MRI with and without respiratory motion compensation was performed in 15 healthy volunteers. Intracardiac particle tracing considered four components: direct flow, delayed ejection flow (DEF), retained inflow (RI), and residual volume. Data quality was assessed by comparing DEF and RI components. Particle tracing, valve tracking, kinetic energy (KE), and vorticity were compared between scan methods. Paired sample <i>t</i>-tests and intraclass correlation analysis were performed with an alpha of 0.05. DEF, RI, ejection fraction, and stroke volume were different between scan methods. Five participants showed DEF-RI mismatch > 10%. After excluding these, differences in flow fractions were non-significant. Differences in stroke volume, ejection fraction, and valvular flow mismatch between scan methods remained. Valve tracking was comparable between scan methods and correlated well with particle tracing. Absolute mismatch between particle tracing- and valve tracking-based mitral flow, and KE and vorticity at A-peak, was higher for non-compensated MRI.</p><p><strong>Conclusion: </strong>Respiratory motion compensation can improve accuracy of intracardiac particle tracing based on 4D flow MRI by decreasing mismatch to retrospective valve tracking. For intracardiac particle tracing, respiratory motion compensation is advised. Robust data quality assessment for particle tracing-based analyses is equally crucial.</p>\",\"PeriodicalId\":94317,\"journal\":{\"name\":\"European heart journal. Imaging methods and practice\",\"volume\":\"3 1\",\"pages\":\"qyaf020\"},\"PeriodicalIF\":0.0000,\"publicationDate\":\"2025-03-10\",\"publicationTypes\":\"Journal Article\",\"fieldsOfStudy\":null,\"isOpenAccess\":false,\"openAccessPdf\":\"https://www.ncbi.nlm.nih.gov/pmc/articles/PMC11891475/pdf/\",\"citationCount\":\"0\",\"resultStr\":null,\"platform\":\"Semanticscholar\",\"paperid\":null,\"PeriodicalName\":\"European heart journal. Imaging methods and practice\",\"FirstCategoryId\":\"1085\",\"ListUrlMain\":\"https://doi.org/10.1093/ehjimp/qyaf020\",\"RegionNum\":0,\"RegionCategory\":null,\"ArticlePicture\":[],\"TitleCN\":null,\"AbstractTextCN\":null,\"PMCID\":null,\"EPubDate\":\"2025/1/1 0:00:00\",\"PubModel\":\"eCollection\",\"JCR\":\"\",\"JCRName\":\"\",\"Score\":null,\"Total\":0}","platform":"Semanticscholar","paperid":null,"PeriodicalName":"European heart journal. Imaging methods and practice","FirstCategoryId":"1085","ListUrlMain":"https://doi.org/10.1093/ehjimp/qyaf020","RegionNum":0,"RegionCategory":null,"ArticlePicture":[],"TitleCN":null,"AbstractTextCN":null,"PMCID":null,"EPubDate":"2025/1/1 0:00:00","PubModel":"eCollection","JCR":"","JCRName":"","Score":null,"Total":0}
引用次数: 0

摘要

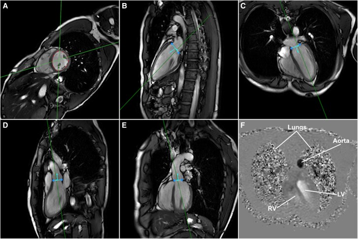
目的:四维血流磁共振成像(MRI)可以通过粒子追踪来评估心脏内血流动力学,从而可视化和量化复杂的血流模式。本研究的目的是评估呼吸运动补偿对基于4D血流mri的左心室四组分颗粒追踪、瓣膜追踪和血流动力学的影响。方法和结果:在这项前瞻性队列研究中,对15名健康志愿者进行了有和没有呼吸运动补偿的4D血流MRI。心内颗粒追踪考虑了四个组成部分:直接血流、延迟射血流量(DEF)、滞留流入(RI)和剩余容积。通过比较DEF和RI分量来评估数据质量。粒子追踪、气门追踪、动能(KE)、涡度等扫描方法的比较。配对样本t检验和类内相关分析,alpha为0.05。不同扫描方式的DEF、RI、射血分数、脑卒中容积不同。5名受试者的defi - ri不匹配率为10%。排除这些因素后,流动分数的差异不显著。不同扫描方法在冲程容积、射血分数和瓣膜流量失配方面的差异仍然存在。阀门跟踪在扫描方法之间具有可比性,并且与粒子跟踪具有良好的相关性。在非补偿MRI中,基于颗粒追踪和瓣膜追踪的二尖瓣血流、KE和a峰涡度之间的绝对不匹配更高。结论:呼吸运动补偿可减少与回顾性瓣膜追踪的失配,提高4D血流MRI心内颗粒追踪的准确性。对于心内粒子追踪,建议采用呼吸运动补偿。对基于粒子追踪的分析进行可靠的数据质量评估同样至关重要。
本文章由计算机程序翻译,如有差异,请以英文原文为准。

The effect of respiratory motion compensation in intracardiac 4D flow magnetic resonance imaging on left ventricular flow dynamics, multicomponent particle tracing, and valve tracking.

The effect of respiratory motion compensation in intracardiac 4D flow magnetic resonance imaging on left ventricular flow dynamics, multicomponent particle tracing, and valve tracking.

The effect of respiratory motion compensation in intracardiac 4D flow magnetic resonance imaging on left ventricular flow dynamics, multicomponent particle tracing, and valve tracking.

The effect of respiratory motion compensation in intracardiac 4D flow magnetic resonance imaging on left ventricular flow dynamics, multicomponent particle tracing, and valve tracking.

Aims: 4D flow magnetic resonance imaging (MRI) has enabled evaluation of intracardiac flow dynamics by particle tracing for visualizing and quantifying complex flow patterns. The aim of this study was to assess the impact of respiratory motion compensation on 4D flow MRI-based left ventricular four-component particle tracing, valve tracking, and haemodynamics.

Methods and results: In this prospective cohort study, 4D flow MRI with and without respiratory motion compensation was performed in 15 healthy volunteers. Intracardiac particle tracing considered four components: direct flow, delayed ejection flow (DEF), retained inflow (RI), and residual volume. Data quality was assessed by comparing DEF and RI components. Particle tracing, valve tracking, kinetic energy (KE), and vorticity were compared between scan methods. Paired sample t-tests and intraclass correlation analysis were performed with an alpha of 0.05. DEF, RI, ejection fraction, and stroke volume were different between scan methods. Five participants showed DEF-RI mismatch > 10%. After excluding these, differences in flow fractions were non-significant. Differences in stroke volume, ejection fraction, and valvular flow mismatch between scan methods remained. Valve tracking was comparable between scan methods and correlated well with particle tracing. Absolute mismatch between particle tracing- and valve tracking-based mitral flow, and KE and vorticity at A-peak, was higher for non-compensated MRI.

Conclusion: Respiratory motion compensation can improve accuracy of intracardiac particle tracing based on 4D flow MRI by decreasing mismatch to retrospective valve tracking. For intracardiac particle tracing, respiratory motion compensation is advised. Robust data quality assessment for particle tracing-based analyses is equally crucial.

求助全文
通过发布文献求助,成功后即可免费获取论文全文。 去求助
来源期刊
自引率
0.00%
发文量
0
×
引用
GB/T 7714-2015
复制
MLA
复制
APA
复制
导出至
BibTeX EndNote RefMan NoteFirst NoteExpress
×
提示
您的信息不完整,为了账户安全,请先补充。
现在去补充
×
提示
您因"违规操作"
具体请查看互助需知
我知道了
×
提示
确定
请完成安全验证×
copy
已复制链接
快去分享给好友吧!
我知道了
右上角分享
点击右上角分享
0
联系我们:info@booksci.cn Book学术提供免费学术资源搜索服务,方便国内外学者检索中英文文献。致力于提供最便捷和优质的服务体验。 Copyright © 2023 布克学术 All rights reserved.
京ICP备2023020795号-1
ghs 京公网安备 11010802042870号
Book学术文献互助
Book学术文献互助群
群 号:604180095
Book学术官方微信