超声与磁共振成像诊断踝关节后外侧疼痛的比较分析。

IF 1.5 Q3 RADIOLOGY, NUCLEAR MEDICINE & MEDICAL IMAGING
Journal of Ultrasonography Pub Date : 2025-01-23 eCollection Date: 2025-01-01 DOI:10.15557/JoU.2025.0002
Dan Mocanu, Katarzyna Bokwa-Dąbrowska, Katarina Nilsson Helander, Pawel Szaro
{"title":"超声与磁共振成像诊断踝关节后外侧疼痛的比较分析。","authors":"Dan Mocanu, Katarzyna Bokwa-Dąbrowska, Katarina Nilsson Helander, Pawel Szaro","doi":"10.15557/JoU.2025.0002","DOIUrl":null,"url":null,"abstract":"<p><strong>Aim: </strong>The purpose of this study was to evaluate the diagnostic value of ultrasound compared to magnetic resonance imaging (MRI) as a reference in detecting peroneus brevis split ruptures.</p><p><strong>Material and methods: </strong>We re-reviewed 112 ultrasound examinations performed between 2020 and 2021 by three musculoskeletal radiologists with 8-10 years of experience. Patients were referred due to pain lasting at least 8 months in the posterolateral ankle. Ultrasound was performed using a LOGIQ E9 General Electric device with a 6-15 MHz or 18 MHz probe. Sixty-three patients who underwent MRI within 8 months and were included in the study. Ultrasound and MRI findings were categorized as: a) no peroneus split, b) presence of peroneus split, or c) unspecific findings. MRI served as the reference standard. Sensitivity, specificity, positive predictive value, negative predictive value, and accuracy were calculated.</p><p><strong>Results: </strong>Seven cases (11.1%) were false positives (diagnosed on ultrasound but not MRI) and 9 (14.3%) were false negatives (missed by ultrasound but detected on MRI). Six cases (9.5%) were true positives (identified on both ultrasound and MRI), and 41 patients (65.1%) were true negatives (negative on both modalities). Ultrasound showed a sensitivity of 40.0% and specificity of 85.4%. The positive predictive value (PPV) was 46.2%, while the negative predictive value (NPV) was 82.0%.</p><p><strong>Conclusions: </strong>Ultrasound demonstrated limited sensitivity but high specificity in detecting peroneus brevis split ruptures.</p>","PeriodicalId":45612,"journal":{"name":"Journal of Ultrasonography","volume":"25 100","pages":"20250002"},"PeriodicalIF":1.5000,"publicationDate":"2025-01-23","publicationTypes":"Journal Article","fieldsOfStudy":null,"isOpenAccess":false,"openAccessPdf":"https://www.ncbi.nlm.nih.gov/pmc/articles/PMC11893017/pdf/","citationCount":"0","resultStr":"{\"title\":\"Comparative analysis of ultrasound and magnetic resonance imaging in diagnosing pain in the posterolateral region of the ankle.\",\"authors\":\"Dan Mocanu, Katarzyna Bokwa-Dąbrowska, Katarina Nilsson Helander, Pawel Szaro\",\"doi\":\"10.15557/JoU.2025.0002\",\"DOIUrl\":null,\"url\":null,\"abstract\":\"<p><strong>Aim: </strong>The purpose of this study was to evaluate the diagnostic value of ultrasound compared to magnetic resonance imaging (MRI) as a reference in detecting peroneus brevis split ruptures.</p><p><strong>Material and methods: </strong>We re-reviewed 112 ultrasound examinations performed between 2020 and 2021 by three musculoskeletal radiologists with 8-10 years of experience. Patients were referred due to pain lasting at least 8 months in the posterolateral ankle. Ultrasound was performed using a LOGIQ E9 General Electric device with a 6-15 MHz or 18 MHz probe. Sixty-three patients who underwent MRI within 8 months and were included in the study. Ultrasound and MRI findings were categorized as: a) no peroneus split, b) presence of peroneus split, or c) unspecific findings. MRI served as the reference standard. Sensitivity, specificity, positive predictive value, negative predictive value, and accuracy were calculated.</p><p><strong>Results: </strong>Seven cases (11.1%) were false positives (diagnosed on ultrasound but not MRI) and 9 (14.3%) were false negatives (missed by ultrasound but detected on MRI). Six cases (9.5%) were true positives (identified on both ultrasound and MRI), and 41 patients (65.1%) were true negatives (negative on both modalities). Ultrasound showed a sensitivity of 40.0% and specificity of 85.4%. The positive predictive value (PPV) was 46.2%, while the negative predictive value (NPV) was 82.0%.</p><p><strong>Conclusions: </strong>Ultrasound demonstrated limited sensitivity but high specificity in detecting peroneus brevis split ruptures.</p>\",\"PeriodicalId\":45612,\"journal\":{\"name\":\"Journal of Ultrasonography\",\"volume\":\"25 100\",\"pages\":\"20250002\"},\"PeriodicalIF\":1.5000,\"publicationDate\":\"2025-01-23\",\"publicationTypes\":\"Journal Article\",\"fieldsOfStudy\":null,\"isOpenAccess\":false,\"openAccessPdf\":\"https://www.ncbi.nlm.nih.gov/pmc/articles/PMC11893017/pdf/\",\"citationCount\":\"0\",\"resultStr\":null,\"platform\":\"Semanticscholar\",\"paperid\":null,\"PeriodicalName\":\"Journal of Ultrasonography\",\"FirstCategoryId\":\"1085\",\"ListUrlMain\":\"https://doi.org/10.15557/JoU.2025.0002\",\"RegionNum\":0,\"RegionCategory\":null,\"ArticlePicture\":[],\"TitleCN\":null,\"AbstractTextCN\":null,\"PMCID\":null,\"EPubDate\":\"2025/1/1 0:00:00\",\"PubModel\":\"eCollection\",\"JCR\":\"Q3\",\"JCRName\":\"RADIOLOGY, NUCLEAR MEDICINE & MEDICAL IMAGING\",\"Score\":null,\"Total\":0}","platform":"Semanticscholar","paperid":null,"PeriodicalName":"Journal of Ultrasonography","FirstCategoryId":"1085","ListUrlMain":"https://doi.org/10.15557/JoU.2025.0002","RegionNum":0,"RegionCategory":null,"ArticlePicture":[],"TitleCN":null,"AbstractTextCN":null,"PMCID":null,"EPubDate":"2025/1/1 0:00:00","PubModel":"eCollection","JCR":"Q3","JCRName":"RADIOLOGY, NUCLEAR MEDICINE & MEDICAL IMAGING","Score":null,"Total":0}
引用次数: 0

摘要

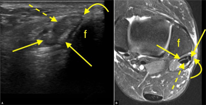
目的:评价超声与磁共振成像(MRI)对腓骨短肌劈裂的诊断价值。材料和方法:我们重新回顾了2020年至2021年期间由三位具有8-10年经验的肌肉骨骼放射科医生进行的112次超声检查。患者因踝关节后外侧疼痛持续至少8个月而就诊。超声使用LOGIQ E9通用电气设备,6-15 MHz或18 MHz探头。在8个月内接受MRI检查的63例患者被纳入研究。超声和MRI检查结果分为:a)无腓骨肌分裂,b)腓骨肌分裂存在,或c)非特异性发现。MRI作为参考标准。计算敏感性、特异性、阳性预测值、阴性预测值和准确性。结果:假阳性7例(11.1%),假阴性9例(14.3%),超声未检出,MRI检出。6例(9.5%)为真阳性(超声和MRI), 41例(65.1%)为真阴性(两种方式均为阴性)。超声检查敏感性为40.0%,特异性为85.4%。阳性预测值(PPV) 46.2%,阴性预测值(NPV) 82.0%。结论:超声对腓骨短肌劈裂骨折的检测灵敏度有限,但特异性较高。
本文章由计算机程序翻译,如有差异,请以英文原文为准。

Comparative analysis of ultrasound and magnetic resonance imaging in diagnosing pain in the posterolateral region of the ankle.

Comparative analysis of ultrasound and magnetic resonance imaging in diagnosing pain in the posterolateral region of the ankle.

Comparative analysis of ultrasound and magnetic resonance imaging in diagnosing pain in the posterolateral region of the ankle.

Comparative analysis of ultrasound and magnetic resonance imaging in diagnosing pain in the posterolateral region of the ankle.

Aim: The purpose of this study was to evaluate the diagnostic value of ultrasound compared to magnetic resonance imaging (MRI) as a reference in detecting peroneus brevis split ruptures.

Material and methods: We re-reviewed 112 ultrasound examinations performed between 2020 and 2021 by three musculoskeletal radiologists with 8-10 years of experience. Patients were referred due to pain lasting at least 8 months in the posterolateral ankle. Ultrasound was performed using a LOGIQ E9 General Electric device with a 6-15 MHz or 18 MHz probe. Sixty-three patients who underwent MRI within 8 months and were included in the study. Ultrasound and MRI findings were categorized as: a) no peroneus split, b) presence of peroneus split, or c) unspecific findings. MRI served as the reference standard. Sensitivity, specificity, positive predictive value, negative predictive value, and accuracy were calculated.

Results: Seven cases (11.1%) were false positives (diagnosed on ultrasound but not MRI) and 9 (14.3%) were false negatives (missed by ultrasound but detected on MRI). Six cases (9.5%) were true positives (identified on both ultrasound and MRI), and 41 patients (65.1%) were true negatives (negative on both modalities). Ultrasound showed a sensitivity of 40.0% and specificity of 85.4%. The positive predictive value (PPV) was 46.2%, while the negative predictive value (NPV) was 82.0%.

Conclusions: Ultrasound demonstrated limited sensitivity but high specificity in detecting peroneus brevis split ruptures.

求助全文
通过发布文献求助,成功后即可免费获取论文全文。 去求助
来源期刊
Journal of Ultrasonography
Journal of Ultrasonography RADIOLOGY, NUCLEAR MEDICINE & MEDICAL IMAGING-
CiteScore
2.30
自引率
0.00%
发文量
58
审稿时长
20 weeks
×
引用
GB/T 7714-2015
复制
MLA
复制
APA
复制
导出至
BibTeX EndNote RefMan NoteFirst NoteExpress
×
提示
您的信息不完整,为了账户安全,请先补充。
现在去补充
×
提示
您因"违规操作"
具体请查看互助需知
我知道了
×
提示
确定
请完成安全验证×
copy
已复制链接
快去分享给好友吧!
我知道了
右上角分享
点击右上角分享
0
联系我们:info@booksci.cn Book学术提供免费学术资源搜索服务,方便国内外学者检索中英文文献。致力于提供最便捷和优质的服务体验。 Copyright © 2023 布克学术 All rights reserved.
京ICP备2023020795号-1
ghs 京公网安备 11010802042870号
Book学术文献互助
Book学术文献互助群
群 号:604180095
Book学术官方微信