一个有趣的亚急性硬化性全脑炎病例,表现为巴林氏综合征和自主神经异常。

Encephalitis (Seoul, Korea) Pub Date : 2025-04-01 Epub Date: 2025-03-11 DOI:10.47936/encephalitis.2024.00115
Swati Parida, Nikhil Pandey, Anand Kumar, Varun Kumar Singh, Neetu Rani Dhiman, Niraj Kumar Srivastava, Deepika Joshi
{"title":"一个有趣的亚急性硬化性全脑炎病例,表现为巴林氏综合征和自主神经异常。","authors":"Swati Parida, Nikhil Pandey, Anand Kumar, Varun Kumar Singh, Neetu Rani Dhiman, Niraj Kumar Srivastava, Deepika Joshi","doi":"10.47936/encephalitis.2024.00115","DOIUrl":null,"url":null,"abstract":"<p><p>Subacute sclerosing panencephalitis (SSPE) is a rare, progressive neurodegenerative disorder caused by persistent aberrant measles virus infection. It is characterized by behavioral changes, cognitive decline with deterioration in academic performance, visual dysfunction, focal or generalized seizures ,myoclonus, spasticity, mutism and akinesia ultimately leading to a vegetative state. Balint's syndrome, characterized by the triad of simultagnosia, optic ataxia, and oculomotor apraxia, as an initial presenting feature of SSPE is rare. Autonomic dysfunction in SSPE is attributed to central autonomic involvement, with decreased heart rate variability a predictor for arrhythmia and sudden cardiac death. We report an unusual case of a 22-year-old male presenting with features suggestive of Balint's syndrome. Myoclonus and cognitive decline appeared 6 months after the first onset of symptoms, along with autonomic dysfunction. Thereafter, rapid progression of symptoms was noted. Cerebrospinal fluid and electroencephalography after the first symptom onset were consistent with a diagnosis of SSPE. The patient ultimately succumbed to his illness. Thus we highlight atypical presentation of SSPE with autonomic dysfunction. A high index of suspicion is needed for prompt and timely intervention.</p>","PeriodicalId":72904,"journal":{"name":"Encephalitis (Seoul, Korea)","volume":" ","pages":"53-56"},"PeriodicalIF":0.0000,"publicationDate":"2025-04-01","publicationTypes":"Journal Article","fieldsOfStudy":null,"isOpenAccess":false,"openAccessPdf":"https://www.ncbi.nlm.nih.gov/pmc/articles/PMC12042689/pdf/","citationCount":"0","resultStr":"{\"title\":\"An interesting case of subacute sclerosing panencephalitis presenting with Balint's syndrome and dysautonomia.\",\"authors\":\"Swati Parida, Nikhil Pandey, Anand Kumar, Varun Kumar Singh, Neetu Rani Dhiman, Niraj Kumar Srivastava, Deepika Joshi\",\"doi\":\"10.47936/encephalitis.2024.00115\",\"DOIUrl\":null,\"url\":null,\"abstract\":\"<p><p>Subacute sclerosing panencephalitis (SSPE) is a rare, progressive neurodegenerative disorder caused by persistent aberrant measles virus infection. It is characterized by behavioral changes, cognitive decline with deterioration in academic performance, visual dysfunction, focal or generalized seizures ,myoclonus, spasticity, mutism and akinesia ultimately leading to a vegetative state. Balint's syndrome, characterized by the triad of simultagnosia, optic ataxia, and oculomotor apraxia, as an initial presenting feature of SSPE is rare. Autonomic dysfunction in SSPE is attributed to central autonomic involvement, with decreased heart rate variability a predictor for arrhythmia and sudden cardiac death. We report an unusual case of a 22-year-old male presenting with features suggestive of Balint's syndrome. Myoclonus and cognitive decline appeared 6 months after the first onset of symptoms, along with autonomic dysfunction. Thereafter, rapid progression of symptoms was noted. Cerebrospinal fluid and electroencephalography after the first symptom onset were consistent with a diagnosis of SSPE. The patient ultimately succumbed to his illness. Thus we highlight atypical presentation of SSPE with autonomic dysfunction. A high index of suspicion is needed for prompt and timely intervention.</p>\",\"PeriodicalId\":72904,\"journal\":{\"name\":\"Encephalitis (Seoul, Korea)\",\"volume\":\" \",\"pages\":\"53-56\"},\"PeriodicalIF\":0.0000,\"publicationDate\":\"2025-04-01\",\"publicationTypes\":\"Journal Article\",\"fieldsOfStudy\":null,\"isOpenAccess\":false,\"openAccessPdf\":\"https://www.ncbi.nlm.nih.gov/pmc/articles/PMC12042689/pdf/\",\"citationCount\":\"0\",\"resultStr\":null,\"platform\":\"Semanticscholar\",\"paperid\":null,\"PeriodicalName\":\"Encephalitis (Seoul, Korea)\",\"FirstCategoryId\":\"1085\",\"ListUrlMain\":\"https://doi.org/10.47936/encephalitis.2024.00115\",\"RegionNum\":0,\"RegionCategory\":null,\"ArticlePicture\":[],\"TitleCN\":null,\"AbstractTextCN\":null,\"PMCID\":null,\"EPubDate\":\"2025/3/11 0:00:00\",\"PubModel\":\"Epub\",\"JCR\":\"\",\"JCRName\":\"\",\"Score\":null,\"Total\":0}","platform":"Semanticscholar","paperid":null,"PeriodicalName":"Encephalitis (Seoul, Korea)","FirstCategoryId":"1085","ListUrlMain":"https://doi.org/10.47936/encephalitis.2024.00115","RegionNum":0,"RegionCategory":null,"ArticlePicture":[],"TitleCN":null,"AbstractTextCN":null,"PMCID":null,"EPubDate":"2025/3/11 0:00:00","PubModel":"Epub","JCR":"","JCRName":"","Score":null,"Total":0}
引用次数: 0

摘要

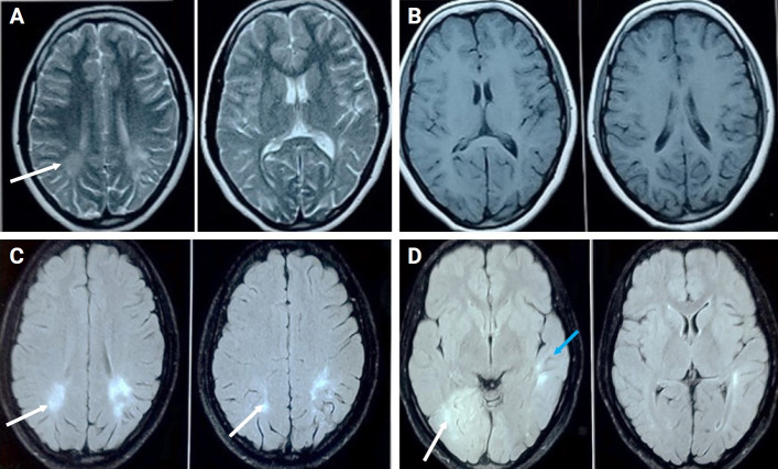
亚急性硬化性全脑炎(SSPE)是一种罕见的进行性神经退行性疾病,由持续的异常麻疹病毒感染引起。其特征是行为改变,认知能力下降,学习成绩下降,视力障碍,局灶性或全身性癫痫发作,肌阵挛,痉挛,失语和运动障碍,最终导致植物人状态。以拟声失联、视共济失调和动眼肌失用症为特征的巴林氏综合征作为SSPE的初始表现特征是罕见的。SSPE患者的自主神经功能障碍归因于中枢自主神经受累,心率变异性降低是心律失常和心源性猝死的预测因子。我们报告一个不寻常的情况下,一个22岁的男性提出的特点提示巴林氏综合征。首次出现症状6个月后出现肌阵挛和认知能力下降,并伴有自主神经功能障碍。此后,症状迅速恶化。首次症状发作后的脑脊液和脑电图与SSPE的诊断一致。病人最终病死了。因此,我们强调SSPE伴自主神经功能障碍的非典型表现。需要高度的怀疑指数才能迅速和及时地进行干预。
本文章由计算机程序翻译,如有差异,请以英文原文为准。

An interesting case of subacute sclerosing panencephalitis presenting with Balint's syndrome and dysautonomia.

An interesting case of subacute sclerosing panencephalitis presenting with Balint's syndrome and dysautonomia.

An interesting case of subacute sclerosing panencephalitis presenting with Balint's syndrome and dysautonomia.

Subacute sclerosing panencephalitis (SSPE) is a rare, progressive neurodegenerative disorder caused by persistent aberrant measles virus infection. It is characterized by behavioral changes, cognitive decline with deterioration in academic performance, visual dysfunction, focal or generalized seizures ,myoclonus, spasticity, mutism and akinesia ultimately leading to a vegetative state. Balint's syndrome, characterized by the triad of simultagnosia, optic ataxia, and oculomotor apraxia, as an initial presenting feature of SSPE is rare. Autonomic dysfunction in SSPE is attributed to central autonomic involvement, with decreased heart rate variability a predictor for arrhythmia and sudden cardiac death. We report an unusual case of a 22-year-old male presenting with features suggestive of Balint's syndrome. Myoclonus and cognitive decline appeared 6 months after the first onset of symptoms, along with autonomic dysfunction. Thereafter, rapid progression of symptoms was noted. Cerebrospinal fluid and electroencephalography after the first symptom onset were consistent with a diagnosis of SSPE. The patient ultimately succumbed to his illness. Thus we highlight atypical presentation of SSPE with autonomic dysfunction. A high index of suspicion is needed for prompt and timely intervention.

求助全文
通过发布文献求助,成功后即可免费获取论文全文。 去求助
来源期刊
自引率
0.00%
发文量
0
×
引用
GB/T 7714-2015
复制
MLA
复制
APA
复制
导出至
BibTeX EndNote RefMan NoteFirst NoteExpress
×
提示
您的信息不完整,为了账户安全,请先补充。
现在去补充
×
提示
您因"违规操作"
具体请查看互助需知
我知道了
×
提示
确定
请完成安全验证×
copy
已复制链接
快去分享给好友吧!
我知道了
右上角分享
点击右上角分享
0
联系我们:info@booksci.cn Book学术提供免费学术资源搜索服务,方便国内外学者检索中英文文献。致力于提供最便捷和优质的服务体验。 Copyright © 2023 布克学术 All rights reserved.
京ICP备2023020795号-1
ghs 京公网安备 11010802042870号
Book学术文献互助
Book学术文献互助群
群 号:604180095
Book学术官方微信