妊娠期泌乳性腺瘤3例报告。

IF 1 4区 医学 Q3 MEDICINE, GENERAL & INTERNAL
Julija Cvetković, Maja Jovičić Milentijević, Nikola Živković, Miodrag Đorđević, Jelena Grujović, Goran Radenković
{"title":"妊娠期泌乳性腺瘤3例报告。","authors":"Julija Cvetković, Maja Jovičić Milentijević, Nikola Živković, Miodrag Đorđević, Jelena Grujović, Goran Radenković","doi":"10.34172/aim.28751","DOIUrl":null,"url":null,"abstract":"<p><strong>Background: </strong>Lactating adenoma is an infrequent benign stromal breast tumor mostly seen during pregnancy and lactation. This report seeks to enhance the literature by presenting three cases diagnosed with this condition, while also highlighting its histological subtypes, immunohistochemical characteristics, and differential diagnoses. <b>Case Presentation:</b> In all three patients, a circumscribed, painless, and mobile mass was found in the breast in the third trimester of pregnancy. Pathohistological examination revealed hyperplastic lobules with glandular formations in back-to-back arrangements showing more or less abundant hobnailing phenomena with intraluminal eosinophilic secretions and inconspicuous myoepithelial cell layer separated by fibrovascular stroma. The immune profile showed positive reaction for cytokeratin 14 and p40 markers, indicating the presence of myoepithelial cells and distinguishing these cases from other breast lesions.</p><p><strong>Conclusion: </strong>Pathohistological and immunohistochemical analysis should be performed to differentiate these lesions from other benign lesions and malignant tumors.</p>","PeriodicalId":55469,"journal":{"name":"Archives of Iranian Medicine","volume":"28 2","pages":"124-128"},"PeriodicalIF":1.0000,"publicationDate":"2025-02-01","publicationTypes":"Journal Article","fieldsOfStudy":null,"isOpenAccess":false,"openAccessPdf":"https://www.ncbi.nlm.nih.gov/pmc/articles/PMC11892091/pdf/","citationCount":"0","resultStr":"{\"title\":\"Lactating Adenoma in Pregnancy: Report of Three Cases.\",\"authors\":\"Julija Cvetković, Maja Jovičić Milentijević, Nikola Živković, Miodrag Đorđević, Jelena Grujović, Goran Radenković\",\"doi\":\"10.34172/aim.28751\",\"DOIUrl\":null,\"url\":null,\"abstract\":\"<p><strong>Background: </strong>Lactating adenoma is an infrequent benign stromal breast tumor mostly seen during pregnancy and lactation. This report seeks to enhance the literature by presenting three cases diagnosed with this condition, while also highlighting its histological subtypes, immunohistochemical characteristics, and differential diagnoses. <b>Case Presentation:</b> In all three patients, a circumscribed, painless, and mobile mass was found in the breast in the third trimester of pregnancy. Pathohistological examination revealed hyperplastic lobules with glandular formations in back-to-back arrangements showing more or less abundant hobnailing phenomena with intraluminal eosinophilic secretions and inconspicuous myoepithelial cell layer separated by fibrovascular stroma. The immune profile showed positive reaction for cytokeratin 14 and p40 markers, indicating the presence of myoepithelial cells and distinguishing these cases from other breast lesions.</p><p><strong>Conclusion: </strong>Pathohistological and immunohistochemical analysis should be performed to differentiate these lesions from other benign lesions and malignant tumors.</p>\",\"PeriodicalId\":55469,\"journal\":{\"name\":\"Archives of Iranian Medicine\",\"volume\":\"28 2\",\"pages\":\"124-128\"},\"PeriodicalIF\":1.0000,\"publicationDate\":\"2025-02-01\",\"publicationTypes\":\"Journal Article\",\"fieldsOfStudy\":null,\"isOpenAccess\":false,\"openAccessPdf\":\"https://www.ncbi.nlm.nih.gov/pmc/articles/PMC11892091/pdf/\",\"citationCount\":\"0\",\"resultStr\":null,\"platform\":\"Semanticscholar\",\"paperid\":null,\"PeriodicalName\":\"Archives of Iranian Medicine\",\"FirstCategoryId\":\"3\",\"ListUrlMain\":\"https://doi.org/10.34172/aim.28751\",\"RegionNum\":4,\"RegionCategory\":\"医学\",\"ArticlePicture\":[],\"TitleCN\":null,\"AbstractTextCN\":null,\"PMCID\":null,\"EPubDate\":\"\",\"PubModel\":\"\",\"JCR\":\"Q3\",\"JCRName\":\"MEDICINE, GENERAL & INTERNAL\",\"Score\":null,\"Total\":0}","platform":"Semanticscholar","paperid":null,"PeriodicalName":"Archives of Iranian Medicine","FirstCategoryId":"3","ListUrlMain":"https://doi.org/10.34172/aim.28751","RegionNum":4,"RegionCategory":"医学","ArticlePicture":[],"TitleCN":null,"AbstractTextCN":null,"PMCID":null,"EPubDate":"","PubModel":"","JCR":"Q3","JCRName":"MEDICINE, GENERAL & INTERNAL","Score":null,"Total":0}
引用次数: 0

摘要

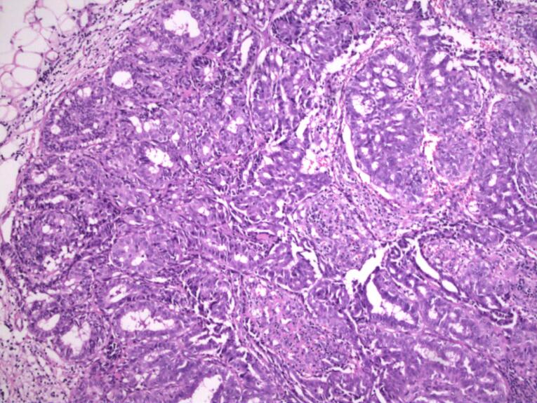
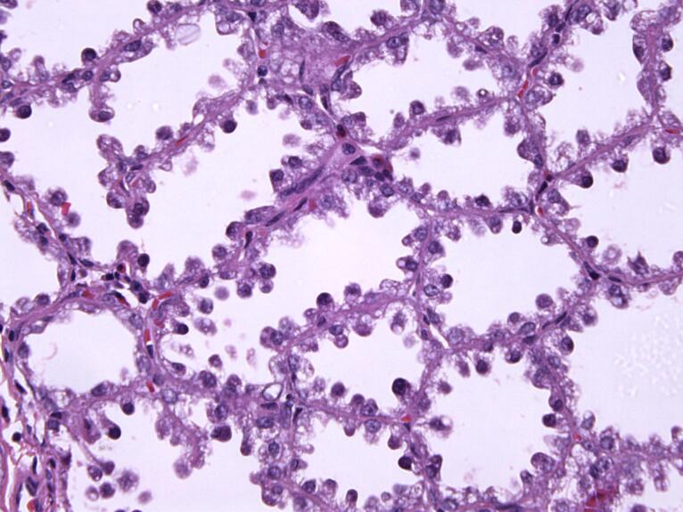
背景:乳腺泌乳腺瘤是一种少见的乳腺良性间质瘤,多见于妊娠和哺乳期。本报告旨在通过介绍三例诊断为此病的病例来加强文献,同时也强调其组织学亚型,免疫组织化学特征和鉴别诊断。病例介绍:在所有3例患者中,在妊娠晚期发现了一个有边界的、无痛的、可移动的肿块。病理组织学检查显示增生小叶,腺状结构背靠背排列,或多或少有丰富的网状现象,腔内嗜酸性分泌物和不明显的肌上皮细胞层被纤维血管间质隔开。免疫谱显示细胞角蛋白14和p40标记物阳性反应,表明存在肌上皮细胞,并将这些病例与其他乳腺病变区分开来。结论:应通过病理组织学和免疫组化分析与其他良性病变和恶性肿瘤鉴别。
本文章由计算机程序翻译,如有差异,请以英文原文为准。

Lactating Adenoma in Pregnancy: Report of Three Cases.

Lactating Adenoma in Pregnancy: Report of Three Cases.

Lactating Adenoma in Pregnancy: Report of Three Cases.

Lactating Adenoma in Pregnancy: Report of Three Cases.

Background: Lactating adenoma is an infrequent benign stromal breast tumor mostly seen during pregnancy and lactation. This report seeks to enhance the literature by presenting three cases diagnosed with this condition, while also highlighting its histological subtypes, immunohistochemical characteristics, and differential diagnoses. Case Presentation: In all three patients, a circumscribed, painless, and mobile mass was found in the breast in the third trimester of pregnancy. Pathohistological examination revealed hyperplastic lobules with glandular formations in back-to-back arrangements showing more or less abundant hobnailing phenomena with intraluminal eosinophilic secretions and inconspicuous myoepithelial cell layer separated by fibrovascular stroma. The immune profile showed positive reaction for cytokeratin 14 and p40 markers, indicating the presence of myoepithelial cells and distinguishing these cases from other breast lesions.

Conclusion: Pathohistological and immunohistochemical analysis should be performed to differentiate these lesions from other benign lesions and malignant tumors.

求助全文
通过发布文献求助,成功后即可免费获取论文全文。 去求助
来源期刊
Archives of Iranian Medicine
Archives of Iranian Medicine 医学-医学:内科
CiteScore
4.20
自引率
0.00%
发文量
67
审稿时长
3-8 weeks
期刊介绍: Aim and Scope: The Archives of Iranian Medicine (AIM) is a monthly peer-reviewed multidisciplinary medical publication. The journal welcomes contributions particularly relevant to the Middle-East region and publishes biomedical experiences and clinical investigations on prevalent diseases in the region as well as analyses of factors that may modulate the incidence, course, and management of diseases and pertinent medical problems. Manuscripts with didactic orientation and subjects exclusively of local interest will not be considered for publication.The 2016 Impact Factor of "Archives of Iranian Medicine" is 1.20.
×
引用
GB/T 7714-2015
复制
MLA
复制
APA
复制
导出至
BibTeX EndNote RefMan NoteFirst NoteExpress
×
提示
您的信息不完整,为了账户安全,请先补充。
现在去补充
×
提示
您因"违规操作"
具体请查看互助需知
我知道了
×
提示
确定
请完成安全验证×
copy
已复制链接
快去分享给好友吧!
我知道了
右上角分享
点击右上角分享
0
联系我们:info@booksci.cn Book学术提供免费学术资源搜索服务,方便国内外学者检索中英文文献。致力于提供最便捷和优质的服务体验。 Copyright © 2023 布克学术 All rights reserved.
京ICP备2023020795号-1
ghs 京公网安备 11010802042870号
Book学术文献互助
Book学术文献互助群
群 号:604180095
Book学术官方微信