[18F]FDG- PET/CT在食管癌患者初始分期和治疗中的应用:三级保健中心的经验。

IF 0.5 Q4 RADIOLOGY, NUCLEAR MEDICINE & MEDICAL IMAGING
Indian Journal of Nuclear Medicine Pub Date : 2024-09-01 Epub Date: 2025-01-25 DOI:10.4103/ijnm.ijnm_118_23
Sankari Kommi, Ramya Priya Rallapeta, Bala Venkat Subramanian, Lakshmi Amancharla Yadagiri, Narendra Hulikal, C Chandramaliteeswaran, Rukmangada Nandyala, Tekchand Kalawat
{"title":"[18F]FDG- PET/CT在食管癌患者初始分期和治疗中的应用:三级保健中心的经验。","authors":"Sankari Kommi, Ramya Priya Rallapeta, Bala Venkat Subramanian, Lakshmi Amancharla Yadagiri, Narendra Hulikal, C Chandramaliteeswaran, Rukmangada Nandyala, Tekchand Kalawat","doi":"10.4103/ijnm.ijnm_118_23","DOIUrl":null,"url":null,"abstract":"<p><strong>Aim of the study: </strong>This study aims to study the utility of 18F-fluorodeoxyglucose positron emission tomography/computed tomography (<sup>18</sup>F-FDG PET/CT) findings in the initial staging and management of patients with esophageal carcinoma.</p><p><strong>Materials and methods: </strong>In this prospective study, we evaluated 74 patients with a mean age of 59.4 ± 11.6 with a range of 35-86 years. Comparison between the mean and standard deviation of SUV<sub>max</sub> of primary tumor between two histopathological groups, squamous cell carcinoma (SCC) and adenocarcinoma (AC) was done using unpaired Student's <i>t</i>-test. The mean of SUV<sub>max</sub> of primary tumor in relation to localized tumor to nodal to distant metastases was assessed by ANOVA test. <i>P</i> <0.05 was considered statistically significant. The extent of agreement between findings of contrast-enhanced computed tomography (CECT) chest and abdomen and <sup>18</sup>F-FDG PET/CT was done using Cohen's kappa coefficient (κ).</p><p><strong>Results: </strong>Among total <i>n</i> = 74 (42 males and 32 females with mean age 59.4 ± 11.4; range 35-86 years) patients, SCC was seen in 78.4% and AC in 21.6% of patients. There is a progressively increased SUV<sub>max</sub> value of primary tumor with nodal and distant metastases. <sup>18</sup>F-FDG PET/CT showed disease of Stage I-II in 12.1%, Stage III in 20.2%, Stage IVA in 25.6%, and Stage IVB in 41.8% patients. There is agreement between <sup>18</sup>F-FDG PET/CT and CECT chest and abdomen in the evaluation of regional lymph nodes (37.8% vs. 36.4%; κ - 0.96), nonregional lymph nodes (24.3% vs. 20.2%; κ -0.74), and distant organ involvement (21.6% vs. 17.5%; κ -0.82). In addition, <sup>18</sup>F-FDG PET/CT found synchronous malignancies in 4.0% of patients.</p><p><strong>Conclusion: </strong><sup>18</sup>F-FDG PET/CT metabolic parameters help in identifying metastatic involvement in morphologically equivocal and clinically suspicious lesions in carcinoma esophagus patients. Being a whole-body imaging modality, <sup>18</sup>F-FDG PET/CT has inbuilt advantage to detect occult, distant metastases, and synchronous malignancies for effective staging and improving plan of clinical management.</p>","PeriodicalId":45830,"journal":{"name":"Indian Journal of Nuclear Medicine","volume":"39 5","pages":"329-334"},"PeriodicalIF":0.5000,"publicationDate":"2024-09-01","publicationTypes":"Journal Article","fieldsOfStudy":null,"isOpenAccess":false,"openAccessPdf":"https://www.ncbi.nlm.nih.gov/pmc/articles/PMC11884347/pdf/","citationCount":"0","resultStr":"{\"title\":\"Utility of [18F]FDG- PET/CT in Initial Staging and Management of Patients with Esophageal Carcinoma: A Tertiary Care Center Experience.\",\"authors\":\"Sankari Kommi, Ramya Priya Rallapeta, Bala Venkat Subramanian, Lakshmi Amancharla Yadagiri, Narendra Hulikal, C Chandramaliteeswaran, Rukmangada Nandyala, Tekchand Kalawat\",\"doi\":\"10.4103/ijnm.ijnm_118_23\",\"DOIUrl\":null,\"url\":null,\"abstract\":\"<p><strong>Aim of the study: </strong>This study aims to study the utility of 18F-fluorodeoxyglucose positron emission tomography/computed tomography (<sup>18</sup>F-FDG PET/CT) findings in the initial staging and management of patients with esophageal carcinoma.</p><p><strong>Materials and methods: </strong>In this prospective study, we evaluated 74 patients with a mean age of 59.4 ± 11.6 with a range of 35-86 years. Comparison between the mean and standard deviation of SUV<sub>max</sub> of primary tumor between two histopathological groups, squamous cell carcinoma (SCC) and adenocarcinoma (AC) was done using unpaired Student's <i>t</i>-test. The mean of SUV<sub>max</sub> of primary tumor in relation to localized tumor to nodal to distant metastases was assessed by ANOVA test. <i>P</i> <0.05 was considered statistically significant. The extent of agreement between findings of contrast-enhanced computed tomography (CECT) chest and abdomen and <sup>18</sup>F-FDG PET/CT was done using Cohen's kappa coefficient (κ).</p><p><strong>Results: </strong>Among total <i>n</i> = 74 (42 males and 32 females with mean age 59.4 ± 11.4; range 35-86 years) patients, SCC was seen in 78.4% and AC in 21.6% of patients. There is a progressively increased SUV<sub>max</sub> value of primary tumor with nodal and distant metastases. <sup>18</sup>F-FDG PET/CT showed disease of Stage I-II in 12.1%, Stage III in 20.2%, Stage IVA in 25.6%, and Stage IVB in 41.8% patients. There is agreement between <sup>18</sup>F-FDG PET/CT and CECT chest and abdomen in the evaluation of regional lymph nodes (37.8% vs. 36.4%; κ - 0.96), nonregional lymph nodes (24.3% vs. 20.2%; κ -0.74), and distant organ involvement (21.6% vs. 17.5%; κ -0.82). In addition, <sup>18</sup>F-FDG PET/CT found synchronous malignancies in 4.0% of patients.</p><p><strong>Conclusion: </strong><sup>18</sup>F-FDG PET/CT metabolic parameters help in identifying metastatic involvement in morphologically equivocal and clinically suspicious lesions in carcinoma esophagus patients. Being a whole-body imaging modality, <sup>18</sup>F-FDG PET/CT has inbuilt advantage to detect occult, distant metastases, and synchronous malignancies for effective staging and improving plan of clinical management.</p>\",\"PeriodicalId\":45830,\"journal\":{\"name\":\"Indian Journal of Nuclear Medicine\",\"volume\":\"39 5\",\"pages\":\"329-334\"},\"PeriodicalIF\":0.5000,\"publicationDate\":\"2024-09-01\",\"publicationTypes\":\"Journal Article\",\"fieldsOfStudy\":null,\"isOpenAccess\":false,\"openAccessPdf\":\"https://www.ncbi.nlm.nih.gov/pmc/articles/PMC11884347/pdf/\",\"citationCount\":\"0\",\"resultStr\":null,\"platform\":\"Semanticscholar\",\"paperid\":null,\"PeriodicalName\":\"Indian Journal of Nuclear Medicine\",\"FirstCategoryId\":\"1085\",\"ListUrlMain\":\"https://doi.org/10.4103/ijnm.ijnm_118_23\",\"RegionNum\":0,\"RegionCategory\":null,\"ArticlePicture\":[],\"TitleCN\":null,\"AbstractTextCN\":null,\"PMCID\":null,\"EPubDate\":\"2025/1/25 0:00:00\",\"PubModel\":\"Epub\",\"JCR\":\"Q4\",\"JCRName\":\"RADIOLOGY, NUCLEAR MEDICINE & MEDICAL IMAGING\",\"Score\":null,\"Total\":0}","platform":"Semanticscholar","paperid":null,"PeriodicalName":"Indian Journal of Nuclear Medicine","FirstCategoryId":"1085","ListUrlMain":"https://doi.org/10.4103/ijnm.ijnm_118_23","RegionNum":0,"RegionCategory":null,"ArticlePicture":[],"TitleCN":null,"AbstractTextCN":null,"PMCID":null,"EPubDate":"2025/1/25 0:00:00","PubModel":"Epub","JCR":"Q4","JCRName":"RADIOLOGY, NUCLEAR MEDICINE & MEDICAL IMAGING","Score":null,"Total":0}
引用次数: 0

摘要

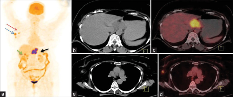
研究目的:本研究旨在探讨18f -氟脱氧葡萄糖正电子发射断层扫描/计算机断层扫描(18F-FDG PET/CT)在食管癌患者初始分期和治疗中的应用价值。材料和方法:在这项前瞻性研究中,我们评估了74例患者,平均年龄59.4±11.6岁,年龄范围为35-86岁。原发肿瘤的SUVmax在鳞癌(SCC)和腺癌(AC)两组间的均数和标准差采用unpaired Student’st检验进行比较。原发肿瘤与局部肿瘤、淋巴结转移和远处转移之间的SUVmax平均值采用方差分析(ANOVA)进行评估。采用Cohen’s kappa系数(κ)对p18f - fdg进行PET/CT检测。结果:共74例(男42例,女32例),平均年龄59.4±11.4岁;年龄在35-86岁之间)的患者中,78.4%的患者出现SCC, 21.6%的患者出现AC。原发性肿瘤伴淋巴结和远处转移时,SUVmax值逐渐升高。18F-FDG PET/CT显示I-II期12.1%,III期20.2%,IVA期25.6%,IVB期41.8%。18F-FDG PET/CT与CECT胸腹部对区域淋巴结的评估一致(37.8% vs. 36.4%;κ - 0.96),非区域淋巴结(24.3% vs. 20.2%;κ -0.74),远处脏器受累(21.6% vs. 17.5%;κ-0.82)。此外,18F-FDG PET/CT在4.0%的患者中发现同步恶性肿瘤。结论:18F-FDG PET/CT代谢参数有助于鉴别形态学模糊和临床可疑的食管癌病变的转移灶。18F-FDG PET/CT作为一种全身成像方式,在发现隐匿性、远处转移性和同步性恶性肿瘤方面具有固有的优势,可以有效地进行分期和改进临床管理方案。
本文章由计算机程序翻译,如有差异,请以英文原文为准。

Utility of [18F]FDG- PET/CT in Initial Staging and Management of Patients with Esophageal Carcinoma: A Tertiary Care Center Experience.

Utility of [18F]FDG- PET/CT in Initial Staging and Management of Patients with Esophageal Carcinoma: A Tertiary Care Center Experience.

Utility of [18F]FDG- PET/CT in Initial Staging and Management of Patients with Esophageal Carcinoma: A Tertiary Care Center Experience.

Utility of [18F]FDG- PET/CT in Initial Staging and Management of Patients with Esophageal Carcinoma: A Tertiary Care Center Experience.

Aim of the study: This study aims to study the utility of 18F-fluorodeoxyglucose positron emission tomography/computed tomography (18F-FDG PET/CT) findings in the initial staging and management of patients with esophageal carcinoma.

Materials and methods: In this prospective study, we evaluated 74 patients with a mean age of 59.4 ± 11.6 with a range of 35-86 years. Comparison between the mean and standard deviation of SUVmax of primary tumor between two histopathological groups, squamous cell carcinoma (SCC) and adenocarcinoma (AC) was done using unpaired Student's t-test. The mean of SUVmax of primary tumor in relation to localized tumor to nodal to distant metastases was assessed by ANOVA test. P <0.05 was considered statistically significant. The extent of agreement between findings of contrast-enhanced computed tomography (CECT) chest and abdomen and 18F-FDG PET/CT was done using Cohen's kappa coefficient (κ).

Results: Among total n = 74 (42 males and 32 females with mean age 59.4 ± 11.4; range 35-86 years) patients, SCC was seen in 78.4% and AC in 21.6% of patients. There is a progressively increased SUVmax value of primary tumor with nodal and distant metastases. 18F-FDG PET/CT showed disease of Stage I-II in 12.1%, Stage III in 20.2%, Stage IVA in 25.6%, and Stage IVB in 41.8% patients. There is agreement between 18F-FDG PET/CT and CECT chest and abdomen in the evaluation of regional lymph nodes (37.8% vs. 36.4%; κ - 0.96), nonregional lymph nodes (24.3% vs. 20.2%; κ -0.74), and distant organ involvement (21.6% vs. 17.5%; κ -0.82). In addition, 18F-FDG PET/CT found synchronous malignancies in 4.0% of patients.

Conclusion: 18F-FDG PET/CT metabolic parameters help in identifying metastatic involvement in morphologically equivocal and clinically suspicious lesions in carcinoma esophagus patients. Being a whole-body imaging modality, 18F-FDG PET/CT has inbuilt advantage to detect occult, distant metastases, and synchronous malignancies for effective staging and improving plan of clinical management.

求助全文
通过发布文献求助,成功后即可免费获取论文全文。 去求助
来源期刊
Indian Journal of Nuclear Medicine
Indian Journal of Nuclear Medicine RADIOLOGY, NUCLEAR MEDICINE & MEDICAL IMAGING-
CiteScore
0.70
自引率
0.00%
发文量
46
×
引用
GB/T 7714-2015
复制
MLA
复制
APA
复制
导出至
BibTeX EndNote RefMan NoteFirst NoteExpress
×
提示
您的信息不完整,为了账户安全,请先补充。
现在去补充
×
提示
您因"违规操作"
具体请查看互助需知
我知道了
×
提示
确定
请完成安全验证×
copy
已复制链接
快去分享给好友吧!
我知道了
右上角分享
点击右上角分享
0
联系我们:info@booksci.cn Book学术提供免费学术资源搜索服务,方便国内外学者检索中英文文献。致力于提供最便捷和优质的服务体验。 Copyright © 2023 布克学术 All rights reserved.
京ICP备2023020795号-1
ghs 京公网安备 11010802042870号
Book学术文献互助
Book学术文献互助群
群 号:604180095
Book学术官方微信