21岁男性上颌异常肿胀1例。

Q3 Medicine
Iranian Journal of Pathology Pub Date : 2025-01-01 Epub Date: 2025-01-10 DOI:10.30699/ijp.2025.2024697.3271
Pushpak U Shah, Punnya V Angadi, Sanjay S Rao
{"title":"21岁男性上颌异常肿胀1例。","authors":"Pushpak U Shah, Punnya V Angadi, Sanjay S Rao","doi":"10.30699/ijp.2025.2024697.3271","DOIUrl":null,"url":null,"abstract":"<p><p>Ewing sarcoma (ES) of the head and Neck is a rare entity. The most common location for ES is long bones accounting for 58%, with head and neck accounting only for 3% of all the sites. Here we highlight a unique presentation of ES involving the maxillary region in a 21-year-old male. Patient presented with right maxillary swelling for the last 2 months. Imaging studies reveal osteolytic lesion involving the right maxilla. Ewing's sarcoma rarely affects the head and neck region, posing diagnostic challenges as it mimics many common lesions. Accurate diagnosis requires a multidisciplinary approach involving clinical, radiological, histopathological, and molecular evaluations.</p>","PeriodicalId":38900,"journal":{"name":"Iranian Journal of Pathology","volume":"20 1","pages":"126-132"},"PeriodicalIF":0.0000,"publicationDate":"2025-01-01","publicationTypes":"Journal Article","fieldsOfStudy":null,"isOpenAccess":false,"openAccessPdf":"https://www.ncbi.nlm.nih.gov/pmc/articles/PMC11887642/pdf/","citationCount":"0","resultStr":"{\"title\":\"Unusual Maxillary Swelling in a 21-Year-Old Male - A Case Report.\",\"authors\":\"Pushpak U Shah, Punnya V Angadi, Sanjay S Rao\",\"doi\":\"10.30699/ijp.2025.2024697.3271\",\"DOIUrl\":null,\"url\":null,\"abstract\":\"<p><p>Ewing sarcoma (ES) of the head and Neck is a rare entity. The most common location for ES is long bones accounting for 58%, with head and neck accounting only for 3% of all the sites. Here we highlight a unique presentation of ES involving the maxillary region in a 21-year-old male. Patient presented with right maxillary swelling for the last 2 months. Imaging studies reveal osteolytic lesion involving the right maxilla. Ewing's sarcoma rarely affects the head and neck region, posing diagnostic challenges as it mimics many common lesions. Accurate diagnosis requires a multidisciplinary approach involving clinical, radiological, histopathological, and molecular evaluations.</p>\",\"PeriodicalId\":38900,\"journal\":{\"name\":\"Iranian Journal of Pathology\",\"volume\":\"20 1\",\"pages\":\"126-132\"},\"PeriodicalIF\":0.0000,\"publicationDate\":\"2025-01-01\",\"publicationTypes\":\"Journal Article\",\"fieldsOfStudy\":null,\"isOpenAccess\":false,\"openAccessPdf\":\"https://www.ncbi.nlm.nih.gov/pmc/articles/PMC11887642/pdf/\",\"citationCount\":\"0\",\"resultStr\":null,\"platform\":\"Semanticscholar\",\"paperid\":null,\"PeriodicalName\":\"Iranian Journal of Pathology\",\"FirstCategoryId\":\"1085\",\"ListUrlMain\":\"https://doi.org/10.30699/ijp.2025.2024697.3271\",\"RegionNum\":0,\"RegionCategory\":null,\"ArticlePicture\":[],\"TitleCN\":null,\"AbstractTextCN\":null,\"PMCID\":null,\"EPubDate\":\"2025/1/10 0:00:00\",\"PubModel\":\"Epub\",\"JCR\":\"Q3\",\"JCRName\":\"Medicine\",\"Score\":null,\"Total\":0}","platform":"Semanticscholar","paperid":null,"PeriodicalName":"Iranian Journal of Pathology","FirstCategoryId":"1085","ListUrlMain":"https://doi.org/10.30699/ijp.2025.2024697.3271","RegionNum":0,"RegionCategory":null,"ArticlePicture":[],"TitleCN":null,"AbstractTextCN":null,"PMCID":null,"EPubDate":"2025/1/10 0:00:00","PubModel":"Epub","JCR":"Q3","JCRName":"Medicine","Score":null,"Total":0}
引用次数: 0

摘要

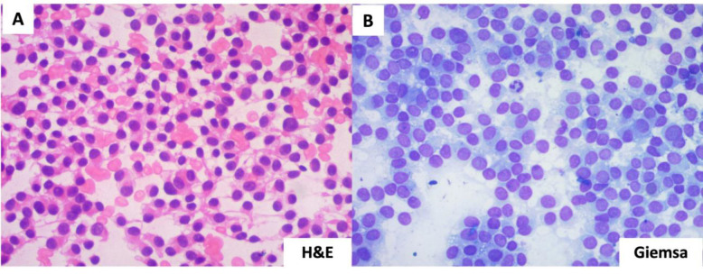
摘要头颈部尤因肉瘤(ES)是一种罕见的肿瘤。ES最常见的部位是长骨,占58%,头颈部仅占3%。在这里,我们强调了一个独特的表现,ES累及上颌区域在一个21岁的男性。患者出现右上颌骨肿胀2个月。影像学检查显示溶骨病变累及右上颌骨。尤因氏肉瘤很少影响头颈部,由于它模仿了许多常见的病变,因此给诊断带来了挑战。准确的诊断需要多学科的方法,包括临床、放射学、组织病理学和分子评估。
本文章由计算机程序翻译,如有差异,请以英文原文为准。

Unusual Maxillary Swelling in a 21-Year-Old Male - A Case Report.

Unusual Maxillary Swelling in a 21-Year-Old Male - A Case Report.

Unusual Maxillary Swelling in a 21-Year-Old Male - A Case Report.

Unusual Maxillary Swelling in a 21-Year-Old Male - A Case Report.

Ewing sarcoma (ES) of the head and Neck is a rare entity. The most common location for ES is long bones accounting for 58%, with head and neck accounting only for 3% of all the sites. Here we highlight a unique presentation of ES involving the maxillary region in a 21-year-old male. Patient presented with right maxillary swelling for the last 2 months. Imaging studies reveal osteolytic lesion involving the right maxilla. Ewing's sarcoma rarely affects the head and neck region, posing diagnostic challenges as it mimics many common lesions. Accurate diagnosis requires a multidisciplinary approach involving clinical, radiological, histopathological, and molecular evaluations.

求助全文
通过发布文献求助,成功后即可免费获取论文全文。 去求助
来源期刊
Iranian Journal of Pathology
Iranian Journal of Pathology Medicine-Pathology and Forensic Medicine
CiteScore
2.00
自引率
0.00%
发文量
99
审稿时长
20 weeks
×
引用
GB/T 7714-2015
复制
MLA
复制
APA
复制
导出至
BibTeX EndNote RefMan NoteFirst NoteExpress
×
提示
您的信息不完整,为了账户安全,请先补充。
现在去补充
×
提示
您因"违规操作"
具体请查看互助需知
我知道了
×
提示
确定
请完成安全验证×
copy
已复制链接
快去分享给好友吧!
我知道了
右上角分享
点击右上角分享
0
联系我们:info@booksci.cn Book学术提供免费学术资源搜索服务,方便国内外学者检索中英文文献。致力于提供最便捷和优质的服务体验。 Copyright © 2023 布克学术 All rights reserved.
京ICP备2023020795号-1
ghs 京公网安备 11010802042870号
Book学术文献互助
Book学术文献互助群
群 号:604180095
Book学术官方微信