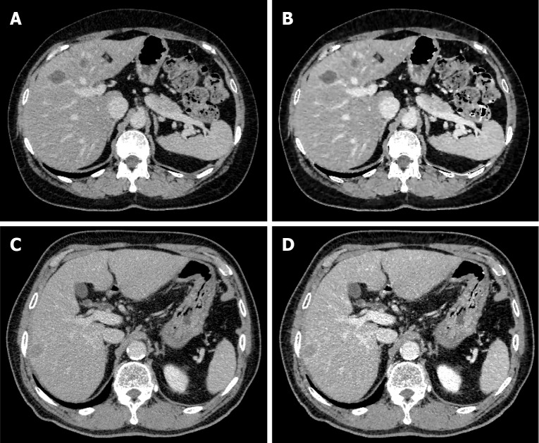
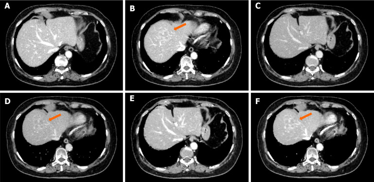
肝脏的平衡期图像使用对比增强增强代替门静脉期。

IF 1.5 Q3 RADIOLOGY, NUCLEAR MEDICINE & MEDICAL IMAGING
Yuji Tachibana, Kenichiro Otsuka, Tomoaki Shiroo, Yoshiki Asayama
{"title":"肝脏的平衡期图像使用对比增强增强代替门静脉期。","authors":"Yuji Tachibana, Kenichiro Otsuka, Tomoaki Shiroo, Yoshiki Asayama","doi":"10.4329/wjr.v17.i2.102462","DOIUrl":null,"url":null,"abstract":"<p><strong>Background: </strong>Three-phase dynamic computed tomography imaging is particularly useful in the liver region. However, dynamic imaging with contrast media has the disadvantage of increased radiation exposure due to multiple imaging sessions. We hypothesized that the contrast enhancement boost (CE-boost) technique could be used to enhance the contrast in equilibrium phase (EP) images and produce enhancement similar to that of portal vein phase (PVP) images, and if this is possible, EP imaging could play the same role as PVP imaging. We also speculated that this might allow the conversion of three-phase dynamic imaging to biphasic dynamic imaging, reducing patients' radiation exposure.</p><p><strong>Aim: </strong>To determine if the CE-boost of EP, CE-boost (EP) is useful compared to a conventional image.</p><p><strong>Methods: </strong>We retrospectively analyzed the cases of 52 patients who were diagnosed with liver cancer between January 2016 and October 2022 at our institution. From these computed tomography images, CE-boost images were generated from the EP and plane images. We compared the PVP, EP, and CE-boost (EP) for blood vessels and hepatic parenchyma based on the contrast-to-noise ratio (CNR), signal-to-noise ratio, and figure-of-merit (FOM). Visual assessments were also performed for vessel visualization, lesion conspicuity, and image noise.</p><p><strong>Results: </strong>The CE-boost (EP) images showed significant superiority compared to the PVP images in the CNR, signal-to-noise ratio, and FOM except regarding the hepatic parenchyma. No significant differences were detected in CNR or FOM comparisons within the hepatic parenchyma (<i>P</i> = 0.62, 0.67). The comparison of the EP and CE-boost (EP) images consistently favored CE-boost (EP). Regarding the visual assessment, the CE-boost (EP) images were significantly superior to the PVP images in lesion conspicuity, and the PVP in image noise. The CE-boost (EP) images were significantly better than the EP images in the vessel visualization of segmental branches of the portal vein and lesion conspicuity, and the EP in image noise.</p><p><strong>Conclusion: </strong>The image quality of CE-boost (EP) images was comparable or superior to that of conventional PVP and EP. CE-boost (EP) images might provide information comparable to the conventional PVP.</p>","PeriodicalId":23819,"journal":{"name":"World journal of radiology","volume":"17 2","pages":"102462"},"PeriodicalIF":1.5000,"publicationDate":"2025-02-28","publicationTypes":"Journal Article","fieldsOfStudy":null,"isOpenAccess":false,"openAccessPdf":"https://www.ncbi.nlm.nih.gov/pmc/articles/PMC11885925/pdf/","citationCount":"0","resultStr":"{\"title\":\"Equilibrium phase images of the liver using a contrast-enhancement boost instead of the portal vein phase.\",\"authors\":\"Yuji Tachibana, Kenichiro Otsuka, Tomoaki Shiroo, Yoshiki Asayama\",\"doi\":\"10.4329/wjr.v17.i2.102462\",\"DOIUrl\":null,\"url\":null,\"abstract\":\"<p><strong>Background: </strong>Three-phase dynamic computed tomography imaging is particularly useful in the liver region. However, dynamic imaging with contrast media has the disadvantage of increased radiation exposure due to multiple imaging sessions. We hypothesized that the contrast enhancement boost (CE-boost) technique could be used to enhance the contrast in equilibrium phase (EP) images and produce enhancement similar to that of portal vein phase (PVP) images, and if this is possible, EP imaging could play the same role as PVP imaging. We also speculated that this might allow the conversion of three-phase dynamic imaging to biphasic dynamic imaging, reducing patients' radiation exposure.</p><p><strong>Aim: </strong>To determine if the CE-boost of EP, CE-boost (EP) is useful compared to a conventional image.</p><p><strong>Methods: </strong>We retrospectively analyzed the cases of 52 patients who were diagnosed with liver cancer between January 2016 and October 2022 at our institution. From these computed tomography images, CE-boost images were generated from the EP and plane images. We compared the PVP, EP, and CE-boost (EP) for blood vessels and hepatic parenchyma based on the contrast-to-noise ratio (CNR), signal-to-noise ratio, and figure-of-merit (FOM). Visual assessments were also performed for vessel visualization, lesion conspicuity, and image noise.</p><p><strong>Results: </strong>The CE-boost (EP) images showed significant superiority compared to the PVP images in the CNR, signal-to-noise ratio, and FOM except regarding the hepatic parenchyma. No significant differences were detected in CNR or FOM comparisons within the hepatic parenchyma (<i>P</i> = 0.62, 0.67). The comparison of the EP and CE-boost (EP) images consistently favored CE-boost (EP). Regarding the visual assessment, the CE-boost (EP) images were significantly superior to the PVP images in lesion conspicuity, and the PVP in image noise. The CE-boost (EP) images were significantly better than the EP images in the vessel visualization of segmental branches of the portal vein and lesion conspicuity, and the EP in image noise.</p><p><strong>Conclusion: </strong>The image quality of CE-boost (EP) images was comparable or superior to that of conventional PVP and EP. CE-boost (EP) images might provide information comparable to the conventional PVP.</p>\",\"PeriodicalId\":23819,\"journal\":{\"name\":\"World journal of radiology\",\"volume\":\"17 2\",\"pages\":\"102462\"},\"PeriodicalIF\":1.5000,\"publicationDate\":\"2025-02-28\",\"publicationTypes\":\"Journal Article\",\"fieldsOfStudy\":null,\"isOpenAccess\":false,\"openAccessPdf\":\"https://www.ncbi.nlm.nih.gov/pmc/articles/PMC11885925/pdf/\",\"citationCount\":\"0\",\"resultStr\":null,\"platform\":\"Semanticscholar\",\"paperid\":null,\"PeriodicalName\":\"World journal of radiology\",\"FirstCategoryId\":\"1085\",\"ListUrlMain\":\"https://doi.org/10.4329/wjr.v17.i2.102462\",\"RegionNum\":0,\"RegionCategory\":null,\"ArticlePicture\":[],\"TitleCN\":null,\"AbstractTextCN\":null,\"PMCID\":null,\"EPubDate\":\"\",\"PubModel\":\"\",\"JCR\":\"Q3\",\"JCRName\":\"RADIOLOGY, NUCLEAR MEDICINE & MEDICAL IMAGING\",\"Score\":null,\"Total\":0}","platform":"Semanticscholar","paperid":null,"PeriodicalName":"World journal of radiology","FirstCategoryId":"1085","ListUrlMain":"https://doi.org/10.4329/wjr.v17.i2.102462","RegionNum":0,"RegionCategory":null,"ArticlePicture":[],"TitleCN":null,"AbstractTextCN":null,"PMCID":null,"EPubDate":"","PubModel":"","JCR":"Q3","JCRName":"RADIOLOGY, NUCLEAR MEDICINE & MEDICAL IMAGING","Score":null,"Total":0}
引用次数: 0

摘要

背景:三相动态计算机断层成像在肝脏区域特别有用。然而,造影剂动态成像的缺点是由于多次成像会增加辐射暴露。我们假设对比增强增强(CE-boost)技术可以增强平衡期(EP)图像的对比度,并产生类似于门静脉期(PVP)图像的增强,如果这是可能的,EP成像可以发挥与PVP成像相同的作用。我们还推测,这可能使三相动态成像转换为双相动态成像,减少患者的辐射暴露。目的:确定EP的CE-boost, CE-boost (EP)是否比常规图像有用。方法:回顾性分析2016年1月至2022年10月在我院诊断为肝癌的52例患者。从这些计算机断层图像中,从EP和平面图像生成CE-boost图像。我们根据对比噪声比(CNR)、信噪比和品质系数(FOM)比较了血管和肝实质的PVP、EP和CE-boost (EP)。还进行了血管可视化、病变显著性和图像噪声的视觉评估。结果:除肝实质外,CE-boost (EP)图像在CNR、信噪比和FOM方面均优于PVP图像。肝实质内CNR和FOM比较无显著差异(P = 0.62, 0.67)。EP和CE-boost (EP)图像的比较一致地倾向于CE-boost (EP)。在视觉评价方面,CE-boost (EP)图像在病变显著性方面明显优于PVP图像,在图像噪声方面明显优于PVP图像。CE-boost (EP)图像在门静脉节段性分支的血管显示和病变显著性方面明显优于EP图像,在图像噪声方面优于EP图像。结论:CE-boost (EP)图像质量与常规PVP和EP相当或优于常规PVP和EP。CE-boost (EP)图像可能提供与传统PVP相当的信息。
本文章由计算机程序翻译,如有差异,请以英文原文为准。

Equilibrium phase images of the liver using a contrast-enhancement boost instead of the portal vein phase.

Equilibrium phase images of the liver using a contrast-enhancement boost instead of the portal vein phase.

Equilibrium phase images of the liver using a contrast-enhancement boost instead of the portal vein phase.

Equilibrium phase images of the liver using a contrast-enhancement boost instead of the portal vein phase.

Background: Three-phase dynamic computed tomography imaging is particularly useful in the liver region. However, dynamic imaging with contrast media has the disadvantage of increased radiation exposure due to multiple imaging sessions. We hypothesized that the contrast enhancement boost (CE-boost) technique could be used to enhance the contrast in equilibrium phase (EP) images and produce enhancement similar to that of portal vein phase (PVP) images, and if this is possible, EP imaging could play the same role as PVP imaging. We also speculated that this might allow the conversion of three-phase dynamic imaging to biphasic dynamic imaging, reducing patients' radiation exposure.

Aim: To determine if the CE-boost of EP, CE-boost (EP) is useful compared to a conventional image.

Methods: We retrospectively analyzed the cases of 52 patients who were diagnosed with liver cancer between January 2016 and October 2022 at our institution. From these computed tomography images, CE-boost images were generated from the EP and plane images. We compared the PVP, EP, and CE-boost (EP) for blood vessels and hepatic parenchyma based on the contrast-to-noise ratio (CNR), signal-to-noise ratio, and figure-of-merit (FOM). Visual assessments were also performed for vessel visualization, lesion conspicuity, and image noise.

Results: The CE-boost (EP) images showed significant superiority compared to the PVP images in the CNR, signal-to-noise ratio, and FOM except regarding the hepatic parenchyma. No significant differences were detected in CNR or FOM comparisons within the hepatic parenchyma (P = 0.62, 0.67). The comparison of the EP and CE-boost (EP) images consistently favored CE-boost (EP). Regarding the visual assessment, the CE-boost (EP) images were significantly superior to the PVP images in lesion conspicuity, and the PVP in image noise. The CE-boost (EP) images were significantly better than the EP images in the vessel visualization of segmental branches of the portal vein and lesion conspicuity, and the EP in image noise.

Conclusion: The image quality of CE-boost (EP) images was comparable or superior to that of conventional PVP and EP. CE-boost (EP) images might provide information comparable to the conventional PVP.

求助全文
通过发布文献求助,成功后即可免费获取论文全文。 去求助
来源期刊
World journal of radiology
World journal of radiology RADIOLOGY, NUCLEAR MEDICINE & MEDICAL IMAGING-
自引率
8.00%
发文量
35
×
引用
GB/T 7714-2015
复制
MLA
复制
APA
复制
导出至
BibTeX EndNote RefMan NoteFirst NoteExpress
×
提示
您的信息不完整,为了账户安全,请先补充。
现在去补充
×
提示
您因"违规操作"
具体请查看互助需知
我知道了
×
提示
确定
请完成安全验证×
copy
已复制链接
快去分享给好友吧!
我知道了
右上角分享
点击右上角分享
0
联系我们:info@booksci.cn Book学术提供免费学术资源搜索服务,方便国内外学者检索中英文文献。致力于提供最便捷和优质的服务体验。 Copyright © 2023 布克学术 All rights reserved.
京ICP备2023020795号-1
ghs 京公网安备 11010802042870号
Book学术文献互助
Book学术文献互助群
群 号:604180095
Book学术官方微信