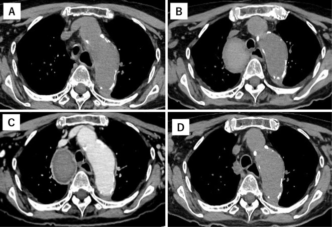
迅速增大的奇静脉动脉瘤伴血栓形成。

IF 1.1 4区 医学 Q3 MEDICINE, GENERAL & INTERNAL
Internal Medicine Pub Date : 2025-09-15 Epub Date: 2025-03-08 DOI:10.2169/internalmedicine.4986-24
Hiroaki Fujisawa, Kenji Umeki, Kosaku Komiya
{"title":"迅速增大的奇静脉动脉瘤伴血栓形成。","authors":"Hiroaki Fujisawa, Kenji Umeki, Kosaku Komiya","doi":"10.2169/internalmedicine.4986-24","DOIUrl":null,"url":null,"abstract":"","PeriodicalId":13719,"journal":{"name":"Internal Medicine","volume":" ","pages":"2811-2812"},"PeriodicalIF":1.1000,"publicationDate":"2025-09-15","publicationTypes":"Journal Article","fieldsOfStudy":null,"isOpenAccess":false,"openAccessPdf":"https://www.ncbi.nlm.nih.gov/pmc/articles/PMC12508636/pdf/","citationCount":"0","resultStr":"{\"title\":\"A Rapidly Enlarged Azygos Vein Aneurysm with Thrombosis.\",\"authors\":\"Hiroaki Fujisawa, Kenji Umeki, Kosaku Komiya\",\"doi\":\"10.2169/internalmedicine.4986-24\",\"DOIUrl\":null,\"url\":null,\"abstract\":\"\",\"PeriodicalId\":13719,\"journal\":{\"name\":\"Internal Medicine\",\"volume\":\" \",\"pages\":\"2811-2812\"},\"PeriodicalIF\":1.1000,\"publicationDate\":\"2025-09-15\",\"publicationTypes\":\"Journal Article\",\"fieldsOfStudy\":null,\"isOpenAccess\":false,\"openAccessPdf\":\"https://www.ncbi.nlm.nih.gov/pmc/articles/PMC12508636/pdf/\",\"citationCount\":\"0\",\"resultStr\":null,\"platform\":\"Semanticscholar\",\"paperid\":null,\"PeriodicalName\":\"Internal Medicine\",\"FirstCategoryId\":\"3\",\"ListUrlMain\":\"https://doi.org/10.2169/internalmedicine.4986-24\",\"RegionNum\":4,\"RegionCategory\":\"医学\",\"ArticlePicture\":[],\"TitleCN\":null,\"AbstractTextCN\":null,\"PMCID\":null,\"EPubDate\":\"2025/3/8 0:00:00\",\"PubModel\":\"Epub\",\"JCR\":\"Q3\",\"JCRName\":\"MEDICINE, GENERAL & INTERNAL\",\"Score\":null,\"Total\":0}","platform":"Semanticscholar","paperid":null,"PeriodicalName":"Internal Medicine","FirstCategoryId":"3","ListUrlMain":"https://doi.org/10.2169/internalmedicine.4986-24","RegionNum":4,"RegionCategory":"医学","ArticlePicture":[],"TitleCN":null,"AbstractTextCN":null,"PMCID":null,"EPubDate":"2025/3/8 0:00:00","PubModel":"Epub","JCR":"Q3","JCRName":"MEDICINE, GENERAL & INTERNAL","Score":null,"Total":0}
引用次数: 0

摘要

本文章由计算机程序翻译,如有差异,请以英文原文为准。

A Rapidly Enlarged Azygos Vein Aneurysm with Thrombosis.

A Rapidly Enlarged Azygos Vein Aneurysm with Thrombosis.
求助全文
通过发布文献求助,成功后即可免费获取论文全文。 去求助
来源期刊
Internal Medicine
Internal Medicine 医学-医学:内科
CiteScore
1.90
自引率
8.30%
发文量
0
审稿时长
2.2 months
期刊介绍: Internal Medicine is an open-access online only journal published monthly by the Japanese Society of Internal Medicine. Articles must be prepared in accordance with "The Uniform Requirements for Manuscripts Submitted to Biomedical Journals (see Annals of Internal Medicine 108: 258-265, 1988), must be contributed solely to the Internal Medicine, and become the property of the Japanese Society of Internal Medicine. Statements contained therein are the responsibility of the author(s). The Society reserves copyright and renewal on all published material and such material may not be reproduced in any form without the written permission of the Society.
×
引用
GB/T 7714-2015
复制
MLA
复制
APA
复制
导出至
BibTeX EndNote RefMan NoteFirst NoteExpress
×
提示
您的信息不完整,为了账户安全,请先补充。
现在去补充
×
提示
您因"违规操作"
具体请查看互助需知
我知道了
×
提示
确定
请完成安全验证×
copy
已复制链接
快去分享给好友吧!
我知道了
右上角分享
点击右上角分享
0
联系我们:info@booksci.cn Book学术提供免费学术资源搜索服务,方便国内外学者检索中英文文献。致力于提供最便捷和优质的服务体验。 Copyright © 2023 布克学术 All rights reserved.
京ICP备2023020795号-1
ghs 京公网安备 11010802042870号
Book学术文献互助
Book学术文献互助群
群 号:604180095
Book学术官方微信