CT和MRI放射组学对创伤性脑损伤弥漫性轴索损伤早期评估与常规影像学诊断的比较

IF 2.6 3区 医学 Q2 Medicine
Clinical Neuroradiology Pub Date : 2025-09-01 Epub Date: 2025-03-07 DOI:10.1007/s00062-025-01507-6
Anna-Katharina Meißner, Robin Gutsche, Lenhard Pennig, Christian Nelles, Enrico Budzejko, Christina Hamisch, Martin Kocher, Marc Schlamann, Roland Goldbrunner, Stefan Grau, Philipp Lohmann
{"title":"CT和MRI放射组学对创伤性脑损伤弥漫性轴索损伤早期评估与常规影像学诊断的比较","authors":"Anna-Katharina Meißner, Robin Gutsche, Lenhard Pennig, Christian Nelles, Enrico Budzejko, Christina Hamisch, Martin Kocher, Marc Schlamann, Roland Goldbrunner, Stefan Grau, Philipp Lohmann","doi":"10.1007/s00062-025-01507-6","DOIUrl":null,"url":null,"abstract":"<p><strong>Background: </strong>De- and acceleration traumata can cause diffuse axonal injury (DAI) in patients with traumatic brain injury (TBI). The diagnosis of DAI on CT is challenging due to the lack of structural abnormalities. Radiomics, a method from the field of artificial intelligence (AI) offers the opportunity to extract additional information from imaging data. The purpose of this work was the evaluation of the feasibility of radiomics for an improved diagnosis of DAI in comparison to conventional radiological image assessment.</p><p><strong>Methods: </strong>CT and MR imaging was performed in 42 patients suspicious of DAI due to the clinical state, and two control groups (n = 44;42). DAI was diagnosed by experienced neuroradiologists. Radiomics features were extracted using a standardized MRI-based atlas of the predilection areas for DAI. Different MRI and CT based models were trained and validated by five-fold cross validation. Diagnostic performance was compared to the reading of two experienced radiologists and further validated in an external test dataset.</p><p><strong>Results: </strong>The MRI and CT models showed significant differences in radiomics features between patients with DAI and controls. The developed MRI based random forest classifier yielded an accuracy of 80-90%. The best performing CT model yielded an accuracy of 88% in the training data and 70% in the external test data. The results were comparable to conventional image analysis which achieved an accuracy of 70-81% for CT-based diagnosis.</p><p><strong>Conclusion: </strong>MRI- and CT-based radiomics analysis is feasible for the assessment of DAI. The radiomics classifier achieved equivalent performance rates as visual radiological image diagnosis. Especially a radiomics based CT classifier can be of clinical value as a screening and AI-based decision support tool for patients with TBI.</p>","PeriodicalId":10391,"journal":{"name":"Clinical Neuroradiology","volume":" ","pages":"521-532"},"PeriodicalIF":2.6000,"publicationDate":"2025-09-01","publicationTypes":"Journal Article","fieldsOfStudy":null,"isOpenAccess":false,"openAccessPdf":"https://www.ncbi.nlm.nih.gov/pmc/articles/PMC12454458/pdf/","citationCount":"0","resultStr":"{\"title\":\"Evaluation of CT and MRI Radiomics for an Early Assessment of Diffuse Axonal Injury in Patients with Traumatic Brain Injury Compared to Conventional Radiological Diagnosis.\",\"authors\":\"Anna-Katharina Meißner, Robin Gutsche, Lenhard Pennig, Christian Nelles, Enrico Budzejko, Christina Hamisch, Martin Kocher, Marc Schlamann, Roland Goldbrunner, Stefan Grau, Philipp Lohmann\",\"doi\":\"10.1007/s00062-025-01507-6\",\"DOIUrl\":null,\"url\":null,\"abstract\":\"<p><strong>Background: </strong>De- and acceleration traumata can cause diffuse axonal injury (DAI) in patients with traumatic brain injury (TBI). The diagnosis of DAI on CT is challenging due to the lack of structural abnormalities. Radiomics, a method from the field of artificial intelligence (AI) offers the opportunity to extract additional information from imaging data. The purpose of this work was the evaluation of the feasibility of radiomics for an improved diagnosis of DAI in comparison to conventional radiological image assessment.</p><p><strong>Methods: </strong>CT and MR imaging was performed in 42 patients suspicious of DAI due to the clinical state, and two control groups (n = 44;42). DAI was diagnosed by experienced neuroradiologists. Radiomics features were extracted using a standardized MRI-based atlas of the predilection areas for DAI. Different MRI and CT based models were trained and validated by five-fold cross validation. Diagnostic performance was compared to the reading of two experienced radiologists and further validated in an external test dataset.</p><p><strong>Results: </strong>The MRI and CT models showed significant differences in radiomics features between patients with DAI and controls. The developed MRI based random forest classifier yielded an accuracy of 80-90%. The best performing CT model yielded an accuracy of 88% in the training data and 70% in the external test data. The results were comparable to conventional image analysis which achieved an accuracy of 70-81% for CT-based diagnosis.</p><p><strong>Conclusion: </strong>MRI- and CT-based radiomics analysis is feasible for the assessment of DAI. The radiomics classifier achieved equivalent performance rates as visual radiological image diagnosis. Especially a radiomics based CT classifier can be of clinical value as a screening and AI-based decision support tool for patients with TBI.</p>\",\"PeriodicalId\":10391,\"journal\":{\"name\":\"Clinical Neuroradiology\",\"volume\":\" \",\"pages\":\"521-532\"},\"PeriodicalIF\":2.6000,\"publicationDate\":\"2025-09-01\",\"publicationTypes\":\"Journal Article\",\"fieldsOfStudy\":null,\"isOpenAccess\":false,\"openAccessPdf\":\"https://www.ncbi.nlm.nih.gov/pmc/articles/PMC12454458/pdf/\",\"citationCount\":\"0\",\"resultStr\":null,\"platform\":\"Semanticscholar\",\"paperid\":null,\"PeriodicalName\":\"Clinical Neuroradiology\",\"FirstCategoryId\":\"3\",\"ListUrlMain\":\"https://doi.org/10.1007/s00062-025-01507-6\",\"RegionNum\":3,\"RegionCategory\":\"医学\",\"ArticlePicture\":[],\"TitleCN\":null,\"AbstractTextCN\":null,\"PMCID\":null,\"EPubDate\":\"2025/3/7 0:00:00\",\"PubModel\":\"Epub\",\"JCR\":\"Q2\",\"JCRName\":\"Medicine\",\"Score\":null,\"Total\":0}","platform":"Semanticscholar","paperid":null,"PeriodicalName":"Clinical Neuroradiology","FirstCategoryId":"3","ListUrlMain":"https://doi.org/10.1007/s00062-025-01507-6","RegionNum":3,"RegionCategory":"医学","ArticlePicture":[],"TitleCN":null,"AbstractTextCN":null,"PMCID":null,"EPubDate":"2025/3/7 0:00:00","PubModel":"Epub","JCR":"Q2","JCRName":"Medicine","Score":null,"Total":0}
引用次数: 0

摘要

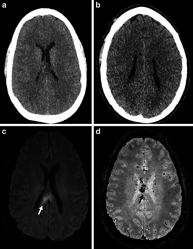
背景:在创伤性脑损伤(TBI)患者中,脱速和加速损伤可引起弥漫性轴索损伤(DAI)。由于缺乏结构异常,在CT上诊断DAI具有挑战性。放射组学是人工智能(AI)领域的一种方法,它提供了从成像数据中提取额外信息的机会。这项工作的目的是评估放射组学与传统放射图像评估相比,对DAI改进诊断的可行性。方法:对42例临床状态怀疑为DAI的患者和2个对照组( = 44;42)行CT和MR影像学检查。DAI由经验丰富的神经放射学家诊断。使用标准化的基于mri的DAI偏好区域图谱提取放射组学特征。不同的基于MRI和CT的模型通过五重交叉验证进行训练和验证。将诊断性能与两位经验丰富的放射科医生的读数进行比较,并在外部测试数据集中进一步验证。结果:DAI患者的MRI和CT模型显示其放射组学特征与对照组有显著差异。所开发的基于MRI的随机森林分类器的准确率为80-90%。表现最好的CT模型在训练数据中的准确率为88%,在外部测试数据中的准确率为70%。结果与传统图像分析相当,基于ct的诊断准确率为70-81%。结论:基于MRI和ct的放射组学分析是评估DAI的可行方法。放射组学分类器达到了与视觉放射图像诊断相当的性能率。特别是基于放射组学的CT分类器可以作为TBI患者的筛查和基于人工智能的决策支持工具,具有临床价值。
本文章由计算机程序翻译,如有差异,请以英文原文为准。

Evaluation of CT and MRI Radiomics for an Early Assessment of Diffuse Axonal Injury in Patients with Traumatic Brain Injury Compared to Conventional Radiological Diagnosis.

Evaluation of CT and MRI Radiomics for an Early Assessment of Diffuse Axonal Injury in Patients with Traumatic Brain Injury Compared to Conventional Radiological Diagnosis.

Evaluation of CT and MRI Radiomics for an Early Assessment of Diffuse Axonal Injury in Patients with Traumatic Brain Injury Compared to Conventional Radiological Diagnosis.

Evaluation of CT and MRI Radiomics for an Early Assessment of Diffuse Axonal Injury in Patients with Traumatic Brain Injury Compared to Conventional Radiological Diagnosis.

Background: De- and acceleration traumata can cause diffuse axonal injury (DAI) in patients with traumatic brain injury (TBI). The diagnosis of DAI on CT is challenging due to the lack of structural abnormalities. Radiomics, a method from the field of artificial intelligence (AI) offers the opportunity to extract additional information from imaging data. The purpose of this work was the evaluation of the feasibility of radiomics for an improved diagnosis of DAI in comparison to conventional radiological image assessment.

Methods: CT and MR imaging was performed in 42 patients suspicious of DAI due to the clinical state, and two control groups (n = 44;42). DAI was diagnosed by experienced neuroradiologists. Radiomics features were extracted using a standardized MRI-based atlas of the predilection areas for DAI. Different MRI and CT based models were trained and validated by five-fold cross validation. Diagnostic performance was compared to the reading of two experienced radiologists and further validated in an external test dataset.

Results: The MRI and CT models showed significant differences in radiomics features between patients with DAI and controls. The developed MRI based random forest classifier yielded an accuracy of 80-90%. The best performing CT model yielded an accuracy of 88% in the training data and 70% in the external test data. The results were comparable to conventional image analysis which achieved an accuracy of 70-81% for CT-based diagnosis.

Conclusion: MRI- and CT-based radiomics analysis is feasible for the assessment of DAI. The radiomics classifier achieved equivalent performance rates as visual radiological image diagnosis. Especially a radiomics based CT classifier can be of clinical value as a screening and AI-based decision support tool for patients with TBI.

求助全文
通过发布文献求助,成功后即可免费获取论文全文。 去求助
来源期刊
Clinical Neuroradiology
Clinical Neuroradiology Medicine-Radiology, Nuclear Medicine and Imaging
CiteScore
4.90
自引率
3.60%
发文量
0
期刊介绍: Clinical Neuroradiology provides current information, original contributions, and reviews in the field of neuroradiology. An interdisciplinary approach is accomplished by diagnostic and therapeutic contributions related to associated subjects. The international coverage and relevance of the journal is underlined by its being the official journal of the German, Swiss, and Austrian Societies of Neuroradiology.
×
引用
GB/T 7714-2015
复制
MLA
复制
APA
复制
导出至
BibTeX EndNote RefMan NoteFirst NoteExpress
×
提示
您的信息不完整,为了账户安全,请先补充。
现在去补充
×
提示
您因"违规操作"
具体请查看互助需知
我知道了
×
提示
确定
请完成安全验证×
copy
已复制链接
快去分享给好友吧!
我知道了
右上角分享
点击右上角分享
0
联系我们:info@booksci.cn Book学术提供免费学术资源搜索服务,方便国内外学者检索中英文文献。致力于提供最便捷和优质的服务体验。 Copyright © 2023 布克学术 All rights reserved.
京ICP备2023020795号-1
ghs 京公网安备 11010802042870号
Book学术文献互助
Book学术文献互助群
群 号:604180095
Book学术官方微信