致癌RAS诱导由P38-ULK1-PI4KB轴介导的独特形式的非规范自噬

IF 25.9 1区 生物学 Q1 CELL BIOLOGY
Xiaojuan Wang, Shulin Li, Shiyin Lin, Yaping Han, Tong Zhan, Zhiying Huang, Juanjuan Wang, Ying Li, Haiteng Deng, Min Zhang, Du Feng, Liang Ge
{"title":"致癌RAS诱导由P38-ULK1-PI4KB轴介导的独特形式的非规范自噬","authors":"Xiaojuan Wang, Shulin Li, Shiyin Lin, Yaping Han, Tong Zhan, Zhiying Huang, Juanjuan Wang, Ying Li, Haiteng Deng, Min Zhang, Du Feng, Liang Ge","doi":"10.1038/s41422-025-01085-9","DOIUrl":null,"url":null,"abstract":"Cancer cells with RAS mutations exhibit enhanced autophagy, essential for their proliferation and survival, making it a potential target for therapeutic intervention. However, the regulatory differences between RAS-induced autophagy and physiological autophagy remain poorly understood, complicating the development of cancer-specific anti-autophagy treatments. In this study, we identified a form of non-canonical autophagy induced by oncogenic KRAS expression, termed RAS-induced non-canonical autophagy via ATG8ylation (RINCAA). RINCAA involves distinct autophagic factors compared to those in starvation-induced autophagy and incorporates non-autophagic components, resulting in the formation of non-canonical autophagosomes with multivesicular/multilaminar structures labeled by ATG8 family proteins (e.g., LC3 and GABARAP). We have designated these structures as RAS-induced multivesicular/multilaminar bodies of ATG8ylation (RIMMBA). A notable feature of RINCAA is the substitution of the class III PI3K in canonical autophagy with PI4KB in RINCAA. We identified a regulatory P38-ULK1-PI4KB-WIPI2 signaling cascade governing this process, where ULK1 triggers PI4KB phosphorylation at S256 and T263, initiating PI4P production, ATG8ylation, and non-canonical autophagy. Importantly, elevated PI4KB phosphorylation at S256 and T263 was observed in RAS-mutated cancer cells and colorectal cancer specimens. Inhibition of PI4KB S256 and T263 phosphorylation led to a reduction in RINCAA activity and tumor growth in both xenograft and KPC models of pancreatic cancer, suggesting that targeting ULK1-mediated PI4KB phosphorylation could represent a promising therapeutic strategy for RAS-mutated cancers.","PeriodicalId":9926,"journal":{"name":"Cell Research","volume":"35 6","pages":"399-422"},"PeriodicalIF":25.9000,"publicationDate":"2025-03-07","publicationTypes":"Journal Article","fieldsOfStudy":null,"isOpenAccess":false,"openAccessPdf":"https://www.nature.comhttps://www.nature.com/articles/s41422-025-01085-9.pdf","citationCount":"0","resultStr":"{\"title\":\"Oncogenic RAS induces a distinctive form of non-canonical autophagy mediated by the P38-ULK1-PI4KB axis\",\"authors\":\"Xiaojuan Wang, Shulin Li, Shiyin Lin, Yaping Han, Tong Zhan, Zhiying Huang, Juanjuan Wang, Ying Li, Haiteng Deng, Min Zhang, Du Feng, Liang Ge\",\"doi\":\"10.1038/s41422-025-01085-9\",\"DOIUrl\":null,\"url\":null,\"abstract\":\"Cancer cells with RAS mutations exhibit enhanced autophagy, essential for their proliferation and survival, making it a potential target for therapeutic intervention. However, the regulatory differences between RAS-induced autophagy and physiological autophagy remain poorly understood, complicating the development of cancer-specific anti-autophagy treatments. In this study, we identified a form of non-canonical autophagy induced by oncogenic KRAS expression, termed RAS-induced non-canonical autophagy via ATG8ylation (RINCAA). RINCAA involves distinct autophagic factors compared to those in starvation-induced autophagy and incorporates non-autophagic components, resulting in the formation of non-canonical autophagosomes with multivesicular/multilaminar structures labeled by ATG8 family proteins (e.g., LC3 and GABARAP). We have designated these structures as RAS-induced multivesicular/multilaminar bodies of ATG8ylation (RIMMBA). A notable feature of RINCAA is the substitution of the class III PI3K in canonical autophagy with PI4KB in RINCAA. We identified a regulatory P38-ULK1-PI4KB-WIPI2 signaling cascade governing this process, where ULK1 triggers PI4KB phosphorylation at S256 and T263, initiating PI4P production, ATG8ylation, and non-canonical autophagy. Importantly, elevated PI4KB phosphorylation at S256 and T263 was observed in RAS-mutated cancer cells and colorectal cancer specimens. Inhibition of PI4KB S256 and T263 phosphorylation led to a reduction in RINCAA activity and tumor growth in both xenograft and KPC models of pancreatic cancer, suggesting that targeting ULK1-mediated PI4KB phosphorylation could represent a promising therapeutic strategy for RAS-mutated cancers.\",\"PeriodicalId\":9926,\"journal\":{\"name\":\"Cell Research\",\"volume\":\"35 6\",\"pages\":\"399-422\"},\"PeriodicalIF\":25.9000,\"publicationDate\":\"2025-03-07\",\"publicationTypes\":\"Journal Article\",\"fieldsOfStudy\":null,\"isOpenAccess\":false,\"openAccessPdf\":\"https://www.nature.comhttps://www.nature.com/articles/s41422-025-01085-9.pdf\",\"citationCount\":\"0\",\"resultStr\":null,\"platform\":\"Semanticscholar\",\"paperid\":null,\"PeriodicalName\":\"Cell Research\",\"FirstCategoryId\":\"99\",\"ListUrlMain\":\"https://www.nature.com/articles/s41422-025-01085-9\",\"RegionNum\":1,\"RegionCategory\":\"生物学\",\"ArticlePicture\":[],\"TitleCN\":null,\"AbstractTextCN\":null,\"PMCID\":null,\"EPubDate\":\"\",\"PubModel\":\"\",\"JCR\":\"Q1\",\"JCRName\":\"CELL BIOLOGY\",\"Score\":null,\"Total\":0}","platform":"Semanticscholar","paperid":null,"PeriodicalName":"Cell Research","FirstCategoryId":"99","ListUrlMain":"https://www.nature.com/articles/s41422-025-01085-9","RegionNum":1,"RegionCategory":"生物学","ArticlePicture":[],"TitleCN":null,"AbstractTextCN":null,"PMCID":null,"EPubDate":"","PubModel":"","JCR":"Q1","JCRName":"CELL BIOLOGY","Score":null,"Total":0}
引用次数: 0

摘要

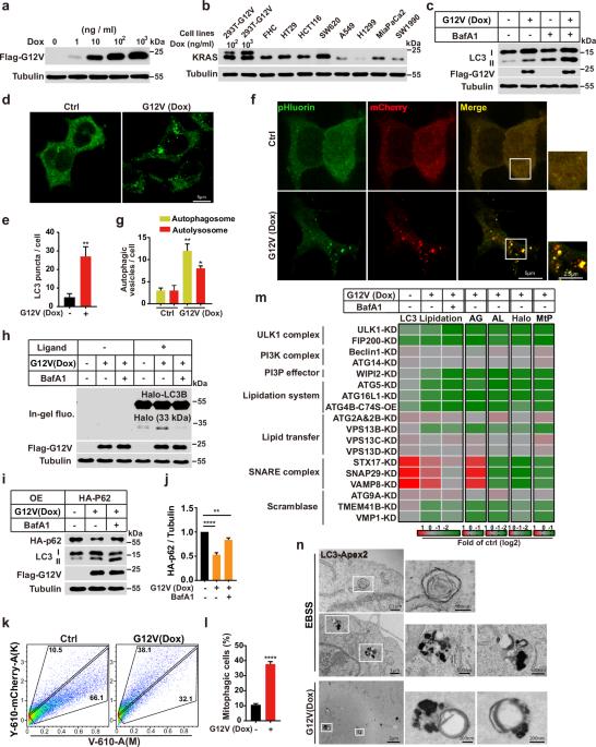
具有RAS突变的癌细胞表现出增强的自噬,这对其增殖和存活至关重要,使其成为治疗干预的潜在靶点。然而,ras诱导的自噬和生理性自噬之间的调节差异仍然知之甚少,这使得癌症特异性抗自噬治疗的发展变得复杂。在这项研究中,我们发现了一种由致癌KRAS表达诱导的非典型自噬形式,称为ras诱导的通过ATG8ylation (RINCAA)的非典型自噬。与饥饿诱导的自噬相比,RINCAA涉及不同的自噬因子,并包含非自噬成分,导致形成由ATG8家族蛋白(如LC3和GABARAP)标记的多泡/多层结构的非典型自噬体。我们将这些结构命名为ras诱导的多泡/多层ATG8ylation小体(RIMMBA)。RINCAA的一个显著特征是典型自噬中的III类PI3K被RINCAA中的PI4KB取代。我们确定了调控这一过程的P38-ULK1-PI4KB-WIPI2信号级联,其中ULK1触发PI4KB在S256和T263的磷酸化,启动PI4P的产生,atg8化和非规范自噬。重要的是,在ras突变的癌细胞和结直肠癌标本中观察到PI4KB在S256和T263位点的磷酸化升高。抑制PI4KB S256和T263磷酸化可导致异种移植和KPC胰腺癌模型中RINCAA活性和肿瘤生长的降低,这表明靶向ulk1介导的PI4KB磷酸化可能是ras突变癌症的一种有希望的治疗策略。
本文章由计算机程序翻译,如有差异,请以英文原文为准。

Oncogenic RAS induces a distinctive form of non-canonical autophagy mediated by the P38-ULK1-PI4KB axis

Oncogenic RAS induces a distinctive form of non-canonical autophagy mediated by the P38-ULK1-PI4KB axis

Oncogenic RAS induces a distinctive form of non-canonical autophagy mediated by the P38-ULK1-PI4KB axis
Cancer cells with RAS mutations exhibit enhanced autophagy, essential for their proliferation and survival, making it a potential target for therapeutic intervention. However, the regulatory differences between RAS-induced autophagy and physiological autophagy remain poorly understood, complicating the development of cancer-specific anti-autophagy treatments. In this study, we identified a form of non-canonical autophagy induced by oncogenic KRAS expression, termed RAS-induced non-canonical autophagy via ATG8ylation (RINCAA). RINCAA involves distinct autophagic factors compared to those in starvation-induced autophagy and incorporates non-autophagic components, resulting in the formation of non-canonical autophagosomes with multivesicular/multilaminar structures labeled by ATG8 family proteins (e.g., LC3 and GABARAP). We have designated these structures as RAS-induced multivesicular/multilaminar bodies of ATG8ylation (RIMMBA). A notable feature of RINCAA is the substitution of the class III PI3K in canonical autophagy with PI4KB in RINCAA. We identified a regulatory P38-ULK1-PI4KB-WIPI2 signaling cascade governing this process, where ULK1 triggers PI4KB phosphorylation at S256 and T263, initiating PI4P production, ATG8ylation, and non-canonical autophagy. Importantly, elevated PI4KB phosphorylation at S256 and T263 was observed in RAS-mutated cancer cells and colorectal cancer specimens. Inhibition of PI4KB S256 and T263 phosphorylation led to a reduction in RINCAA activity and tumor growth in both xenograft and KPC models of pancreatic cancer, suggesting that targeting ULK1-mediated PI4KB phosphorylation could represent a promising therapeutic strategy for RAS-mutated cancers.
求助全文
通过发布文献求助,成功后即可免费获取论文全文。 去求助
来源期刊
Cell Research
Cell Research 生物-细胞生物学
CiteScore
53.90
自引率
0.70%
发文量
2420
审稿时长
2.3 months
期刊介绍: Cell Research (CR) is an international journal published by Springer Nature in partnership with the Center for Excellence in Molecular Cell Science, Chinese Academy of Sciences (CAS). It focuses on publishing original research articles and reviews in various areas of life sciences, particularly those related to molecular and cell biology. The journal covers a broad range of topics including cell growth, differentiation, and apoptosis; signal transduction; stem cell biology and development; chromatin, epigenetics, and transcription; RNA biology; structural and molecular biology; cancer biology and metabolism; immunity and molecular pathogenesis; molecular and cellular neuroscience; plant molecular and cell biology; and omics, system biology, and synthetic biology. CR is recognized as China's best international journal in life sciences and is part of Springer Nature's prestigious family of Molecular Cell Biology journals.
×
引用
GB/T 7714-2015
复制
MLA
复制
APA
复制
导出至
BibTeX EndNote RefMan NoteFirst NoteExpress
×
提示
您的信息不完整,为了账户安全,请先补充。
现在去补充
×
提示
您因"违规操作"
具体请查看互助需知
我知道了
×
提示
确定
请完成安全验证×
copy
已复制链接
快去分享给好友吧!
我知道了
右上角分享
点击右上角分享
0
联系我们:info@booksci.cn Book学术提供免费学术资源搜索服务,方便国内外学者检索中英文文献。致力于提供最便捷和优质的服务体验。 Copyright © 2023 布克学术 All rights reserved.
京ICP备2023020795号-1
ghs 京公网安备 11010802042870号
Book学术文献互助
Book学术文献互助群
群 号:604180095
Book学术官方微信