睾丸组织库:克罗地亚十年睾丸组织冷冻保存。

IF 2.3 4区 医学 Q2 MEDICINE, GENERAL & INTERNAL
Croatian Medical Journal Pub Date : 2025-02-28
Marija Ćapin Vilaj, Monika Trupinić, Ante Jug, Dinko Hauptman, Zoran Zimak, Željko Kaštelan, Davor Ježek
{"title":"睾丸组织库:克罗地亚十年睾丸组织冷冻保存。","authors":"Marija Ćapin Vilaj, Monika Trupinić, Ante Jug, Dinko Hauptman, Zoran Zimak, Željko Kaštelan, Davor Ježek","doi":"","DOIUrl":null,"url":null,"abstract":"<p><p>The Testicular Tissue Bank has been operating at the University Hospital Center (UHC) Zagreb since 2013. It aims to cryopreserve testicular tissue from patients with azoospermia. If spermatozoa are found in the collected tissue, a combined procedure known as testicular sperm extraction (TESE)/intracytoplasmic sperm injection (ICSI) is performed. During the last 10 years, our bank has deposited samples from 443 patients collected either by conventional TESE or microsurgical TESE procedure. Among them, 9% were from oncological patients whose samples were stored to preserve fertility. According to pathohistological analysis, 17% of patients were diagnosed with complete spermatogenesis or hypospermatogenesis, 11% with spermatogenic arrest, 48% with mixed atrophy of seminiferous tubules, and 24% with Sertoli cell-only phenotype or tubular fibrosis. Overall, the presence of testicular spermatozoa was found in 58% of patients, which makes them suitable for the ICSI procedure. In 21 out of 59 patients (36%) who underwent a salvage TESE, the outcome was different than that of the first spermatozoa retrieval attempt. Considering that the male factor is one of the leading causes of infertility, the results of Testicular Tissue Bank activity confirm its important role in improving the demographic picture of Croatia.</p>","PeriodicalId":10796,"journal":{"name":"Croatian Medical Journal","volume":"66 1","pages":"71-76"},"PeriodicalIF":2.3000,"publicationDate":"2025-02-28","publicationTypes":"Journal Article","fieldsOfStudy":null,"isOpenAccess":false,"openAccessPdf":"https://www.ncbi.nlm.nih.gov/pmc/articles/PMC11947978/pdf/","citationCount":"0","resultStr":"{\"title\":\"Testicular tissue bank: ten years of testicular tissue cryopreservation in Croatia.\",\"authors\":\"Marija Ćapin Vilaj, Monika Trupinić, Ante Jug, Dinko Hauptman, Zoran Zimak, Željko Kaštelan, Davor Ježek\",\"doi\":\"\",\"DOIUrl\":null,\"url\":null,\"abstract\":\"<p><p>The Testicular Tissue Bank has been operating at the University Hospital Center (UHC) Zagreb since 2013. It aims to cryopreserve testicular tissue from patients with azoospermia. If spermatozoa are found in the collected tissue, a combined procedure known as testicular sperm extraction (TESE)/intracytoplasmic sperm injection (ICSI) is performed. During the last 10 years, our bank has deposited samples from 443 patients collected either by conventional TESE or microsurgical TESE procedure. Among them, 9% were from oncological patients whose samples were stored to preserve fertility. According to pathohistological analysis, 17% of patients were diagnosed with complete spermatogenesis or hypospermatogenesis, 11% with spermatogenic arrest, 48% with mixed atrophy of seminiferous tubules, and 24% with Sertoli cell-only phenotype or tubular fibrosis. Overall, the presence of testicular spermatozoa was found in 58% of patients, which makes them suitable for the ICSI procedure. In 21 out of 59 patients (36%) who underwent a salvage TESE, the outcome was different than that of the first spermatozoa retrieval attempt. Considering that the male factor is one of the leading causes of infertility, the results of Testicular Tissue Bank activity confirm its important role in improving the demographic picture of Croatia.</p>\",\"PeriodicalId\":10796,\"journal\":{\"name\":\"Croatian Medical Journal\",\"volume\":\"66 1\",\"pages\":\"71-76\"},\"PeriodicalIF\":2.3000,\"publicationDate\":\"2025-02-28\",\"publicationTypes\":\"Journal Article\",\"fieldsOfStudy\":null,\"isOpenAccess\":false,\"openAccessPdf\":\"https://www.ncbi.nlm.nih.gov/pmc/articles/PMC11947978/pdf/\",\"citationCount\":\"0\",\"resultStr\":null,\"platform\":\"Semanticscholar\",\"paperid\":null,\"PeriodicalName\":\"Croatian Medical Journal\",\"FirstCategoryId\":\"3\",\"ListUrlMain\":\"\",\"RegionNum\":4,\"RegionCategory\":\"医学\",\"ArticlePicture\":[],\"TitleCN\":null,\"AbstractTextCN\":null,\"PMCID\":null,\"EPubDate\":\"\",\"PubModel\":\"\",\"JCR\":\"Q2\",\"JCRName\":\"MEDICINE, GENERAL & INTERNAL\",\"Score\":null,\"Total\":0}","platform":"Semanticscholar","paperid":null,"PeriodicalName":"Croatian Medical Journal","FirstCategoryId":"3","ListUrlMain":"","RegionNum":4,"RegionCategory":"医学","ArticlePicture":[],"TitleCN":null,"AbstractTextCN":null,"PMCID":null,"EPubDate":"","PubModel":"","JCR":"Q2","JCRName":"MEDICINE, GENERAL & INTERNAL","Score":null,"Total":0}
引用次数: 0

摘要

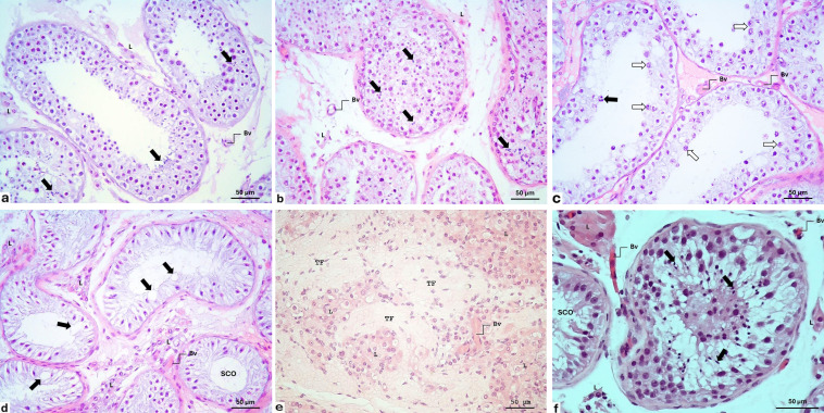
自2013年以来,睾丸组织库一直在萨格勒布大学医院中心(UHC)运营。其目的是冷冻保存无精子症患者的睾丸组织。如果在收集的组织中发现精子,则进行睾丸精子提取(TESE)/胞浆内单精子注射(ICSI)的联合手术。在过去的10年里,我们的银行储存了443例通过常规TESE或显微外科TESE程序收集的患者样本。其中9%来自肿瘤患者,其样本被保存以保持生育能力。病理组织学分析显示,17%的患者诊断为完全精子发生或精子发生不足,11%的患者诊断为生精停止,48%的患者诊断为精小管混合性萎缩,24%的患者诊断为仅支持细胞表型或小管纤维化。总体而言,在58%的患者中发现睾丸精子,这使得他们适合进行ICSI手术。59例患者中有21例(36%)接受了补救性TESE,结果与第一次精子提取尝试不同。考虑到男性因素是不孕症的主要原因之一,睾丸组织库活动的结果证实了它在改善克罗地亚人口状况方面的重要作用。
本文章由计算机程序翻译,如有差异,请以英文原文为准。

Testicular tissue bank: ten years of testicular tissue cryopreservation in Croatia.

Testicular tissue bank: ten years of testicular tissue cryopreservation in Croatia.

Testicular tissue bank: ten years of testicular tissue cryopreservation in Croatia.

Testicular tissue bank: ten years of testicular tissue cryopreservation in Croatia.

The Testicular Tissue Bank has been operating at the University Hospital Center (UHC) Zagreb since 2013. It aims to cryopreserve testicular tissue from patients with azoospermia. If spermatozoa are found in the collected tissue, a combined procedure known as testicular sperm extraction (TESE)/intracytoplasmic sperm injection (ICSI) is performed. During the last 10 years, our bank has deposited samples from 443 patients collected either by conventional TESE or microsurgical TESE procedure. Among them, 9% were from oncological patients whose samples were stored to preserve fertility. According to pathohistological analysis, 17% of patients were diagnosed with complete spermatogenesis or hypospermatogenesis, 11% with spermatogenic arrest, 48% with mixed atrophy of seminiferous tubules, and 24% with Sertoli cell-only phenotype or tubular fibrosis. Overall, the presence of testicular spermatozoa was found in 58% of patients, which makes them suitable for the ICSI procedure. In 21 out of 59 patients (36%) who underwent a salvage TESE, the outcome was different than that of the first spermatozoa retrieval attempt. Considering that the male factor is one of the leading causes of infertility, the results of Testicular Tissue Bank activity confirm its important role in improving the demographic picture of Croatia.

求助全文
通过发布文献求助,成功后即可免费获取论文全文。 去求助
来源期刊
Croatian Medical Journal
Croatian Medical Journal 医学-医学:内科
CiteScore
3.00
自引率
5.30%
发文量
105
审稿时长
6-12 weeks
期刊介绍: Croatian Medical Journal (CMJ) is an international peer reviewed journal open to scientists from all fields of biomedicine and health related research. Although CMJ welcomes all contributions that increase and expand on medical knowledge, the two areas are of the special interest: topics globally relevant for biomedicine and health and medicine in developing and emerging countries.
×
引用
GB/T 7714-2015
复制
MLA
复制
APA
复制
导出至
BibTeX EndNote RefMan NoteFirst NoteExpress
×
提示
您的信息不完整,为了账户安全,请先补充。
现在去补充
×
提示
您因"违规操作"
具体请查看互助需知
我知道了
×
提示
确定
请完成安全验证×
copy
已复制链接
快去分享给好友吧!
我知道了
右上角分享
点击右上角分享
0
联系我们:info@booksci.cn Book学术提供免费学术资源搜索服务,方便国内外学者检索中英文文献。致力于提供最便捷和优质的服务体验。 Copyright © 2023 布克学术 All rights reserved.
京ICP备2023020795号-1
ghs 京公网安备 11010802042870号
Book学术文献互助
Book学术文献互助群
群 号:604180095
Book学术官方微信