孤独症谱系障碍儿童局部功能连通性降低与非典型表现相关。

IF 2.4 3区 医学 Q2 NEUROIMAGING
Brain Imaging and Behavior Pub Date : 2025-04-01 Epub Date: 2025-03-06 DOI:10.1007/s11682-025-00990-2
Fang Ye, Pianpian Hu, Aocai Yang, Lei Du, Xiaojing Xu, Jing Liu, Jixin Luan, Manxi Xu, Kuan Lv, Bing Liu, Kundi Wang, Yunfeng Wang, Ni Shu, Gaoxiang Ouyang, Hongwei Yu, Yuli Wang, Zhen Yuan, Amir Shmuel, Pengfei Xu, Qi Zhang, Guolin Ma
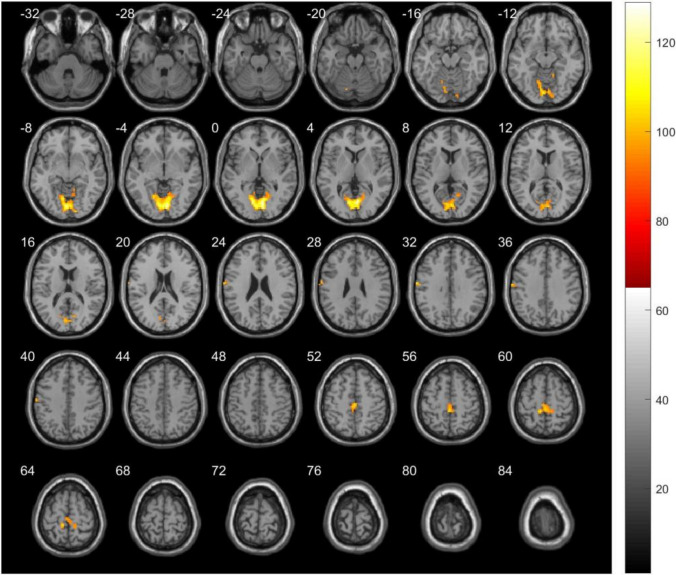
{"title":"孤独症谱系障碍儿童局部功能连通性降低与非典型表现相关。","authors":"Fang Ye, Pianpian Hu, Aocai Yang, Lei Du, Xiaojing Xu, Jing Liu, Jixin Luan, Manxi Xu, Kuan Lv, Bing Liu, Kundi Wang, Yunfeng Wang, Ni Shu, Gaoxiang Ouyang, Hongwei Yu, Yuli Wang, Zhen Yuan, Amir Shmuel, Pengfei Xu, Qi Zhang, Guolin Ma","doi":"10.1007/s11682-025-00990-2","DOIUrl":null,"url":null,"abstract":"<p><p>To characterize local functional connectivity (FC) differences in children with autism spectrum disorder (ASD) compared to typically developed (TD) children, and to analyze the correlation between local FC and the atypical behavior in autistic children. Thirty children with ASD and 25 TD children were recruited. Participants underwent rs-fMRI scans, and regional homogeneity (ReHo) of specific brain regions was measured. Performance was assessed using the Autism Behavior Checklist (ABC) and the Gesell Development Diagnosis Scale (GDDS). Children with ASD demonstrated reduced ReHo in the right occipital lobe lingual, left postcentral, and left precuneus compared with TD children. Within the ASD group, the ABC total score was negatively related to ReHo values in both the left postcentral and left precuneus. The ReHo value in the left postcentral was negatively correlated with ABC scores related to sensory and body/object use, while the ReHo value in the left precuneus was negatively correlated with scores related to social skills and self-help. The mean Developmental Quotient (DQ) of GDDS was positively correlated with the ReHo value in the right occipital lobe lingual. Besides, the ReHo value in this region was positively correlated with the DQ of adaptive behavior. The ReHo value in the left postcentral was positively correlated with the DQ of fine motor skills (p < 0.05 for all). Children with ASD exhibit reduced local FC in specific brain regions, which are associated with specific performances in autism. These findings may provide a novel insight into the pathophysiological mechanisms of ASD.</p>","PeriodicalId":9192,"journal":{"name":"Brain Imaging and Behavior","volume":" ","pages":"508-518"},"PeriodicalIF":2.4000,"publicationDate":"2025-04-01","publicationTypes":"Journal Article","fieldsOfStudy":null,"isOpenAccess":false,"openAccessPdf":"https://www.ncbi.nlm.nih.gov/pmc/articles/PMC11978534/pdf/","citationCount":"0","resultStr":"{\"title\":\"Reduced local functional connectivity correlates with atypical performances in children with autism spectrum disorder.\",\"authors\":\"Fang Ye, Pianpian Hu, Aocai Yang, Lei Du, Xiaojing Xu, Jing Liu, Jixin Luan, Manxi Xu, Kuan Lv, Bing Liu, Kundi Wang, Yunfeng Wang, Ni Shu, Gaoxiang Ouyang, Hongwei Yu, Yuli Wang, Zhen Yuan, Amir Shmuel, Pengfei Xu, Qi Zhang, Guolin Ma\",\"doi\":\"10.1007/s11682-025-00990-2\",\"DOIUrl\":null,\"url\":null,\"abstract\":\"<p><p>To characterize local functional connectivity (FC) differences in children with autism spectrum disorder (ASD) compared to typically developed (TD) children, and to analyze the correlation between local FC and the atypical behavior in autistic children. Thirty children with ASD and 25 TD children were recruited. Participants underwent rs-fMRI scans, and regional homogeneity (ReHo) of specific brain regions was measured. Performance was assessed using the Autism Behavior Checklist (ABC) and the Gesell Development Diagnosis Scale (GDDS). Children with ASD demonstrated reduced ReHo in the right occipital lobe lingual, left postcentral, and left precuneus compared with TD children. Within the ASD group, the ABC total score was negatively related to ReHo values in both the left postcentral and left precuneus. The ReHo value in the left postcentral was negatively correlated with ABC scores related to sensory and body/object use, while the ReHo value in the left precuneus was negatively correlated with scores related to social skills and self-help. The mean Developmental Quotient (DQ) of GDDS was positively correlated with the ReHo value in the right occipital lobe lingual. Besides, the ReHo value in this region was positively correlated with the DQ of adaptive behavior. The ReHo value in the left postcentral was positively correlated with the DQ of fine motor skills (p < 0.05 for all). Children with ASD exhibit reduced local FC in specific brain regions, which are associated with specific performances in autism. These findings may provide a novel insight into the pathophysiological mechanisms of ASD.</p>\",\"PeriodicalId\":9192,\"journal\":{\"name\":\"Brain Imaging and Behavior\",\"volume\":\" \",\"pages\":\"508-518\"},\"PeriodicalIF\":2.4000,\"publicationDate\":\"2025-04-01\",\"publicationTypes\":\"Journal Article\",\"fieldsOfStudy\":null,\"isOpenAccess\":false,\"openAccessPdf\":\"https://www.ncbi.nlm.nih.gov/pmc/articles/PMC11978534/pdf/\",\"citationCount\":\"0\",\"resultStr\":null,\"platform\":\"Semanticscholar\",\"paperid\":null,\"PeriodicalName\":\"Brain Imaging and Behavior\",\"FirstCategoryId\":\"3\",\"ListUrlMain\":\"https://doi.org/10.1007/s11682-025-00990-2\",\"RegionNum\":3,\"RegionCategory\":\"医学\",\"ArticlePicture\":[],\"TitleCN\":null,\"AbstractTextCN\":null,\"PMCID\":null,\"EPubDate\":\"2025/3/6 0:00:00\",\"PubModel\":\"Epub\",\"JCR\":\"Q2\",\"JCRName\":\"NEUROIMAGING\",\"Score\":null,\"Total\":0}","platform":"Semanticscholar","paperid":null,"PeriodicalName":"Brain Imaging and Behavior","FirstCategoryId":"3","ListUrlMain":"https://doi.org/10.1007/s11682-025-00990-2","RegionNum":3,"RegionCategory":"医学","ArticlePicture":[],"TitleCN":null,"AbstractTextCN":null,"PMCID":null,"EPubDate":"2025/3/6 0:00:00","PubModel":"Epub","JCR":"Q2","JCRName":"NEUROIMAGING","Score":null,"Total":0}
引用次数: 0

摘要

探讨自闭症谱系障碍(ASD)儿童与典型发育(TD)儿童局部功能连接(FC)的差异,并分析自闭症儿童局部功能连接与非典型行为的相关性。30名ASD儿童和25名TD儿童被招募。参与者接受了磁共振成像扫描,并测量了特定大脑区域的区域均匀性(ReHo)。采用自闭症行为检查表(ABC)和格塞尔发展诊断量表(GDDS)进行评估。与TD儿童相比,ASD儿童表现出右侧枕叶、左侧中央后叶和左侧楔前叶的ReHo减少。在ASD组中,ABC总分与左中央后和左楔前叶的ReHo值呈负相关。左中脑后ReHo值与感觉和身体/物体使用相关的ABC得分呈负相关,而左楔前叶ReHo值与社交技能和自助相关的得分呈负相关。GDDS的平均发育商(DQ)与右侧枕叶舌部ReHo值呈正相关。此外,该区域的ReHo值与适应行为的DQ呈正相关。左中后区ReHo值与精细运动技能DQ呈正相关(p
本文章由计算机程序翻译,如有差异,请以英文原文为准。

Reduced local functional connectivity correlates with atypical performances in children with autism spectrum disorder.

Reduced local functional connectivity correlates with atypical performances in children with autism spectrum disorder.

Reduced local functional connectivity correlates with atypical performances in children with autism spectrum disorder.

Reduced local functional connectivity correlates with atypical performances in children with autism spectrum disorder.

To characterize local functional connectivity (FC) differences in children with autism spectrum disorder (ASD) compared to typically developed (TD) children, and to analyze the correlation between local FC and the atypical behavior in autistic children. Thirty children with ASD and 25 TD children were recruited. Participants underwent rs-fMRI scans, and regional homogeneity (ReHo) of specific brain regions was measured. Performance was assessed using the Autism Behavior Checklist (ABC) and the Gesell Development Diagnosis Scale (GDDS). Children with ASD demonstrated reduced ReHo in the right occipital lobe lingual, left postcentral, and left precuneus compared with TD children. Within the ASD group, the ABC total score was negatively related to ReHo values in both the left postcentral and left precuneus. The ReHo value in the left postcentral was negatively correlated with ABC scores related to sensory and body/object use, while the ReHo value in the left precuneus was negatively correlated with scores related to social skills and self-help. The mean Developmental Quotient (DQ) of GDDS was positively correlated with the ReHo value in the right occipital lobe lingual. Besides, the ReHo value in this region was positively correlated with the DQ of adaptive behavior. The ReHo value in the left postcentral was positively correlated with the DQ of fine motor skills (p < 0.05 for all). Children with ASD exhibit reduced local FC in specific brain regions, which are associated with specific performances in autism. These findings may provide a novel insight into the pathophysiological mechanisms of ASD.

求助全文
通过发布文献求助,成功后即可免费获取论文全文。 去求助
来源期刊
Brain Imaging and Behavior
Brain Imaging and Behavior 医学-神经成像
CiteScore
7.20
自引率
0.00%
发文量
154
审稿时长
3 months
期刊介绍: Brain Imaging and Behavior is a bi-monthly, peer-reviewed journal, that publishes clinically relevant research using neuroimaging approaches to enhance our understanding of disorders of higher brain function. The journal is targeted at clinicians and researchers in fields concerned with human brain-behavior relationships, such as neuropsychology, psychiatry, neurology, neurosurgery, rehabilitation, and cognitive neuroscience.
×
引用
GB/T 7714-2015
复制
MLA
复制
APA
复制
导出至
BibTeX EndNote RefMan NoteFirst NoteExpress
×
提示
您的信息不完整,为了账户安全,请先补充。
现在去补充
×
提示
您因"违规操作"
具体请查看互助需知
我知道了
×
提示
确定
请完成安全验证×
copy
已复制链接
快去分享给好友吧!
我知道了
右上角分享
点击右上角分享
0
联系我们:info@booksci.cn Book学术提供免费学术资源搜索服务,方便国内外学者检索中英文文献。致力于提供最便捷和优质的服务体验。 Copyright © 2023 布克学术 All rights reserved.
京ICP备2023020795号-1
ghs 京公网安备 11010802042870号
Book学术文献互助
Book学术文献互助群
群 号:604180095
Book学术官方微信