子宫内膜癌肿瘤出芽的预后意义:临床病理观察。

Korean journal of clinical oncology Pub Date : 2025-04-01 Epub Date: 2025-01-03 DOI:10.14216/kjco.24306
Ashi Dubey, Sana Ahuja, Sufian Zaheer
{"title":"子宫内膜癌肿瘤出芽的预后意义:临床病理观察。","authors":"Ashi Dubey, Sana Ahuja, Sufian Zaheer","doi":"10.14216/kjco.24306","DOIUrl":null,"url":null,"abstract":"<p><strong>Purpose: </strong>Endometrial cancer is one of the most common gynecological cancers worldwide, with rising incidence rates. Despite therapeutic advances, it remains a significant cause of cancer-related deaths. Tumor budding (TB), characterized by single cells or small clusters at the invasive tumor front, is a recognized prognostic marker in several cancers but is less studied in endometrial cancer.</p><p><strong>Methods: </strong>This prospective cohort study included 30 patients with endometrial cancer who underwent surgical resection from January 2022 to June 2023. Formalin-fixed, paraffin-embedded tissue blocks were reviewed by two blinded pathologists. TB at the invasive front was assessed using hematoxylin and eosin staining. Clinical and pathological parameters, including age, histological type, grade, stage, myometrial invasion, lymphovascular space invasion, and nodal involvement, were recorded. Fisher's exact and chi-square tests were used for statistical analyses.</p><p><strong>Results: </strong>Most patients (60%) were aged 51-60 years, with 93.3% diagnosed with endometrioid adenocarcinoma. Tumors were graded as 40% grade 1, 43.3% grade 2, and 16.7% grade 3. Staging showed 36.7% FIGO IA, 36.7% IB, 16.7% II, and 10% III. TB was classified as low (70%), intermediate (23.3%), and high (6.7%). Higher TB levels were significantly associated with higher tumor grade (P=0.03), advanced stage (P=0.02), and nodal involvement (P=0.01).</p><p><strong>Conclusion: </strong>TB correlates with adverse features in endometrial cancer, including higher grade, advanced stage, and nodal involvement. These findings underscore TB's potential as a prognostic marker, warranting validation in larger studies and exploration of its molecular basis to guide personalized treatments.</p>","PeriodicalId":74045,"journal":{"name":"Korean journal of clinical oncology","volume":" ","pages":"9-12"},"PeriodicalIF":0.0000,"publicationDate":"2025-04-01","publicationTypes":"Journal Article","fieldsOfStudy":null,"isOpenAccess":false,"openAccessPdf":"https://www.ncbi.nlm.nih.gov/pmc/articles/PMC12077162/pdf/","citationCount":"0","resultStr":"{\"title\":\"Prognostic significance of tumor budding in endometrial cancer: clinicopathological insights.\",\"authors\":\"Ashi Dubey, Sana Ahuja, Sufian Zaheer\",\"doi\":\"10.14216/kjco.24306\",\"DOIUrl\":null,\"url\":null,\"abstract\":\"<p><strong>Purpose: </strong>Endometrial cancer is one of the most common gynecological cancers worldwide, with rising incidence rates. Despite therapeutic advances, it remains a significant cause of cancer-related deaths. Tumor budding (TB), characterized by single cells or small clusters at the invasive tumor front, is a recognized prognostic marker in several cancers but is less studied in endometrial cancer.</p><p><strong>Methods: </strong>This prospective cohort study included 30 patients with endometrial cancer who underwent surgical resection from January 2022 to June 2023. Formalin-fixed, paraffin-embedded tissue blocks were reviewed by two blinded pathologists. TB at the invasive front was assessed using hematoxylin and eosin staining. Clinical and pathological parameters, including age, histological type, grade, stage, myometrial invasion, lymphovascular space invasion, and nodal involvement, were recorded. Fisher's exact and chi-square tests were used for statistical analyses.</p><p><strong>Results: </strong>Most patients (60%) were aged 51-60 years, with 93.3% diagnosed with endometrioid adenocarcinoma. Tumors were graded as 40% grade 1, 43.3% grade 2, and 16.7% grade 3. Staging showed 36.7% FIGO IA, 36.7% IB, 16.7% II, and 10% III. TB was classified as low (70%), intermediate (23.3%), and high (6.7%). Higher TB levels were significantly associated with higher tumor grade (P=0.03), advanced stage (P=0.02), and nodal involvement (P=0.01).</p><p><strong>Conclusion: </strong>TB correlates with adverse features in endometrial cancer, including higher grade, advanced stage, and nodal involvement. These findings underscore TB's potential as a prognostic marker, warranting validation in larger studies and exploration of its molecular basis to guide personalized treatments.</p>\",\"PeriodicalId\":74045,\"journal\":{\"name\":\"Korean journal of clinical oncology\",\"volume\":\" \",\"pages\":\"9-12\"},\"PeriodicalIF\":0.0000,\"publicationDate\":\"2025-04-01\",\"publicationTypes\":\"Journal Article\",\"fieldsOfStudy\":null,\"isOpenAccess\":false,\"openAccessPdf\":\"https://www.ncbi.nlm.nih.gov/pmc/articles/PMC12077162/pdf/\",\"citationCount\":\"0\",\"resultStr\":null,\"platform\":\"Semanticscholar\",\"paperid\":null,\"PeriodicalName\":\"Korean journal of clinical oncology\",\"FirstCategoryId\":\"1085\",\"ListUrlMain\":\"https://doi.org/10.14216/kjco.24306\",\"RegionNum\":0,\"RegionCategory\":null,\"ArticlePicture\":[],\"TitleCN\":null,\"AbstractTextCN\":null,\"PMCID\":null,\"EPubDate\":\"2025/1/3 0:00:00\",\"PubModel\":\"Epub\",\"JCR\":\"\",\"JCRName\":\"\",\"Score\":null,\"Total\":0}","platform":"Semanticscholar","paperid":null,"PeriodicalName":"Korean journal of clinical oncology","FirstCategoryId":"1085","ListUrlMain":"https://doi.org/10.14216/kjco.24306","RegionNum":0,"RegionCategory":null,"ArticlePicture":[],"TitleCN":null,"AbstractTextCN":null,"PMCID":null,"EPubDate":"2025/1/3 0:00:00","PubModel":"Epub","JCR":"","JCRName":"","Score":null,"Total":0}
引用次数: 0

摘要

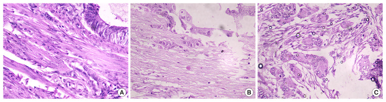
目的:子宫内膜癌是世界范围内最常见的妇科肿瘤之一,发病率呈上升趋势。尽管治疗取得了进步,但它仍然是癌症相关死亡的一个重要原因。肿瘤出芽(TB)以侵袭性肿瘤前部的单细胞或小簇为特征,是几种癌症公认的预后标志物,但在子宫内膜癌中研究较少。方法:这项前瞻性队列研究纳入了30例子宫内膜癌患者,这些患者于2022年1月至2023年6月接受了手术切除。两位盲法病理学家对福尔马林固定、石蜡包埋的组织块进行了检查。采用苏木精和伊红染色评估侵袭性前方结核。记录临床和病理参数,包括年龄、组织学类型、分级、分期、肌层浸润、淋巴血管间隙浸润和淋巴结累及。采用Fisher精确检验和卡方检验进行统计分析。结果:大多数患者(60%)年龄在51-60岁之间,93.3%的患者诊断为子宫内膜样腺癌。肿瘤的分级为40%为1级,43.3%为2级,16.7%为3级。分期:FIGO IA 36.7%, IB 36.7%, II 16.7%, III 10%。结核病分为低(70%)、中(23.3%)和高(6.7%)。较高的结核水平与较高的肿瘤分级(P=0.03)、晚期(P=0.02)和淋巴结累及(P=0.01)显著相关。结论:TB与子宫内膜癌的不良特征相关,包括更高级别、晚期和淋巴结累及。这些发现强调了结核病作为一种预后标志物的潜力,有必要在更大规模的研究中进行验证,并探索其分子基础,以指导个性化治疗。
本文章由计算机程序翻译,如有差异,请以英文原文为准。

Prognostic significance of tumor budding in endometrial cancer: clinicopathological insights.

Prognostic significance of tumor budding in endometrial cancer: clinicopathological insights.

Purpose: Endometrial cancer is one of the most common gynecological cancers worldwide, with rising incidence rates. Despite therapeutic advances, it remains a significant cause of cancer-related deaths. Tumor budding (TB), characterized by single cells or small clusters at the invasive tumor front, is a recognized prognostic marker in several cancers but is less studied in endometrial cancer.

Methods: This prospective cohort study included 30 patients with endometrial cancer who underwent surgical resection from January 2022 to June 2023. Formalin-fixed, paraffin-embedded tissue blocks were reviewed by two blinded pathologists. TB at the invasive front was assessed using hematoxylin and eosin staining. Clinical and pathological parameters, including age, histological type, grade, stage, myometrial invasion, lymphovascular space invasion, and nodal involvement, were recorded. Fisher's exact and chi-square tests were used for statistical analyses.

Results: Most patients (60%) were aged 51-60 years, with 93.3% diagnosed with endometrioid adenocarcinoma. Tumors were graded as 40% grade 1, 43.3% grade 2, and 16.7% grade 3. Staging showed 36.7% FIGO IA, 36.7% IB, 16.7% II, and 10% III. TB was classified as low (70%), intermediate (23.3%), and high (6.7%). Higher TB levels were significantly associated with higher tumor grade (P=0.03), advanced stage (P=0.02), and nodal involvement (P=0.01).

Conclusion: TB correlates with adverse features in endometrial cancer, including higher grade, advanced stage, and nodal involvement. These findings underscore TB's potential as a prognostic marker, warranting validation in larger studies and exploration of its molecular basis to guide personalized treatments.

求助全文
通过发布文献求助,成功后即可免费获取论文全文。 去求助
来源期刊
自引率
0.00%
发文量
0
×
引用
GB/T 7714-2015
复制
MLA
复制
APA
复制
导出至
BibTeX EndNote RefMan NoteFirst NoteExpress
×
提示
您的信息不完整,为了账户安全,请先补充。
现在去补充
×
提示
您因"违规操作"
具体请查看互助需知
我知道了
×
提示
确定
请完成安全验证×
copy
已复制链接
快去分享给好友吧!
我知道了
右上角分享
点击右上角分享
0
联系我们:info@booksci.cn Book学术提供免费学术资源搜索服务,方便国内外学者检索中英文文献。致力于提供最便捷和优质的服务体验。 Copyright © 2023 布克学术 All rights reserved.
京ICP备2023020795号-1
ghs 京公网安备 11010802042870号
Book学术文献互助
Book学术文献互助群
群 号:604180095
Book学术官方微信