由伯基特淋巴瘤引起的阑尾炎1例,掩盖了迅速进展的伯基特淋巴瘤的全身症状。

IF 0.7 Q4 SURGERY
Surgical Case Reports Pub Date : 2025-01-01 Epub Date: 2025-02-28 DOI:10.70352/scrj.cr.24-0178
Tomoya Masuda, Ryoma Sugimoto, Kenta Kobashi, Hiroshi Ishii, Kensuke Tsunemitsu
{"title":"由伯基特淋巴瘤引起的阑尾炎1例,掩盖了迅速进展的伯基特淋巴瘤的全身症状。","authors":"Tomoya Masuda, Ryoma Sugimoto, Kenta Kobashi, Hiroshi Ishii, Kensuke Tsunemitsu","doi":"10.70352/scrj.cr.24-0178","DOIUrl":null,"url":null,"abstract":"<p><strong>Introduction: </strong>Primary malignant lymphoma of the appendix is a rare disease, and primary Burkitt lymphoma of the appendix has been reported very rarely in Japan. Burkitt lymphoma is an aggressive lymphoma that progresses more rapidly than other malignant lymphomas, making it sometimes difficult to distinguish between systemic symptoms, such as fever associated with lymphoma progression and fever caused by appendicitis.</p><p><strong>Case presentation: </strong>A 21-year-old man underwent open appendectomy after antibiotic treatment for acute appendicitis proved ineffective. Postoperative pathological findings confirmed acute appendicitis. Antibiotics were continued after surgery, and the patient's fever and abdominal symptoms gradually improved. However, abdominal distension recurred on the 18th day of hospitalization. Blood tests showed a re-elevation of the white blood cell count, suggesting a postoperative intraperitoneal abscess. Despite further antibiotic treatment, fever and leukocytosis persisted. On the 28th day of hospitalization, abnormal lymphocytes were detected in the peripheral blood, and we realized that the persistent fever was due to systemic symptoms of malignant lymphoma rather than a complication of appendicitis. On the 30th day, the patient was referred to the hematology department and subsequently diagnosed with Burkitt lymphoma. Chemotherapy was initiated on the 40th day of hospitalization. At the time of this writing, the patient had remained alive without recurrence for 4 years 3 months postoperatively.</p><p><strong>Conclusion: </strong>In this case, symptoms of acute appendicitis and systemic symptoms of malignant lymphoma appeared simultaneously. As a result, the systemic symptoms of malignant lymphoma were misdiagnosed as postoperative complications, leading to a delay in diagnosis. Primary appendiceal Burkitt lymphoma is extremely rare, and its clinical features remain unknown. It is important to recognize that primary appendiceal Burkitt lymphoma can present with systemic symptoms concurrently with appendicitis. Surgeons should be aware of the clinical features of appendicitis caused by Burkitt lymphoma, which differ from those caused by other appendiceal tumors or malignant lymphoma.</p>","PeriodicalId":22096,"journal":{"name":"Surgical Case Reports","volume":"11 1","pages":""},"PeriodicalIF":0.7000,"publicationDate":"2025-01-01","publicationTypes":"Journal Article","fieldsOfStudy":null,"isOpenAccess":false,"openAccessPdf":"https://www.ncbi.nlm.nih.gov/pmc/articles/PMC11879255/pdf/","citationCount":"0","resultStr":"{\"title\":\"A Case of Appendicitis Due to Burkitt Lymphoma Masking the Systemic Symptoms of Rapidly Progressing Burkitt Lymphoma.\",\"authors\":\"Tomoya Masuda, Ryoma Sugimoto, Kenta Kobashi, Hiroshi Ishii, Kensuke Tsunemitsu\",\"doi\":\"10.70352/scrj.cr.24-0178\",\"DOIUrl\":null,\"url\":null,\"abstract\":\"<p><strong>Introduction: </strong>Primary malignant lymphoma of the appendix is a rare disease, and primary Burkitt lymphoma of the appendix has been reported very rarely in Japan. Burkitt lymphoma is an aggressive lymphoma that progresses more rapidly than other malignant lymphomas, making it sometimes difficult to distinguish between systemic symptoms, such as fever associated with lymphoma progression and fever caused by appendicitis.</p><p><strong>Case presentation: </strong>A 21-year-old man underwent open appendectomy after antibiotic treatment for acute appendicitis proved ineffective. Postoperative pathological findings confirmed acute appendicitis. Antibiotics were continued after surgery, and the patient's fever and abdominal symptoms gradually improved. However, abdominal distension recurred on the 18th day of hospitalization. Blood tests showed a re-elevation of the white blood cell count, suggesting a postoperative intraperitoneal abscess. Despite further antibiotic treatment, fever and leukocytosis persisted. On the 28th day of hospitalization, abnormal lymphocytes were detected in the peripheral blood, and we realized that the persistent fever was due to systemic symptoms of malignant lymphoma rather than a complication of appendicitis. On the 30th day, the patient was referred to the hematology department and subsequently diagnosed with Burkitt lymphoma. Chemotherapy was initiated on the 40th day of hospitalization. At the time of this writing, the patient had remained alive without recurrence for 4 years 3 months postoperatively.</p><p><strong>Conclusion: </strong>In this case, symptoms of acute appendicitis and systemic symptoms of malignant lymphoma appeared simultaneously. As a result, the systemic symptoms of malignant lymphoma were misdiagnosed as postoperative complications, leading to a delay in diagnosis. Primary appendiceal Burkitt lymphoma is extremely rare, and its clinical features remain unknown. It is important to recognize that primary appendiceal Burkitt lymphoma can present with systemic symptoms concurrently with appendicitis. Surgeons should be aware of the clinical features of appendicitis caused by Burkitt lymphoma, which differ from those caused by other appendiceal tumors or malignant lymphoma.</p>\",\"PeriodicalId\":22096,\"journal\":{\"name\":\"Surgical Case Reports\",\"volume\":\"11 1\",\"pages\":\"\"},\"PeriodicalIF\":0.7000,\"publicationDate\":\"2025-01-01\",\"publicationTypes\":\"Journal Article\",\"fieldsOfStudy\":null,\"isOpenAccess\":false,\"openAccessPdf\":\"https://www.ncbi.nlm.nih.gov/pmc/articles/PMC11879255/pdf/\",\"citationCount\":\"0\",\"resultStr\":null,\"platform\":\"Semanticscholar\",\"paperid\":null,\"PeriodicalName\":\"Surgical Case Reports\",\"FirstCategoryId\":\"1085\",\"ListUrlMain\":\"https://doi.org/10.70352/scrj.cr.24-0178\",\"RegionNum\":0,\"RegionCategory\":null,\"ArticlePicture\":[],\"TitleCN\":null,\"AbstractTextCN\":null,\"PMCID\":null,\"EPubDate\":\"2025/2/28 0:00:00\",\"PubModel\":\"Epub\",\"JCR\":\"Q4\",\"JCRName\":\"SURGERY\",\"Score\":null,\"Total\":0}","platform":"Semanticscholar","paperid":null,"PeriodicalName":"Surgical Case Reports","FirstCategoryId":"1085","ListUrlMain":"https://doi.org/10.70352/scrj.cr.24-0178","RegionNum":0,"RegionCategory":null,"ArticlePicture":[],"TitleCN":null,"AbstractTextCN":null,"PMCID":null,"EPubDate":"2025/2/28 0:00:00","PubModel":"Epub","JCR":"Q4","JCRName":"SURGERY","Score":null,"Total":0}
引用次数: 0

摘要

阑尾原发性恶性淋巴瘤是一种罕见的疾病,在日本阑尾原发性伯基特淋巴瘤的报道非常少。伯基特淋巴瘤(Burkitt lymphoma)是一种侵袭性淋巴瘤,其进展速度比其他恶性淋巴瘤更快,因此有时很难区分系统性症状,如与淋巴瘤进展相关的发烧和由阑尾炎引起的发烧。病例介绍:一位21岁的男性在急性阑尾炎的抗生素治疗无效后接受了开放阑尾切除术。术后病理证实为急性阑尾炎。术后继续给予抗生素治疗,患者发热及腹部症状逐渐好转。然而,在住院第18天,腹胀再次发生。血液检查显示白细胞计数再次升高,提示术后腹膜内脓肿。尽管进一步的抗生素治疗,发烧和白细胞增多仍然存在。住院第28天,外周血淋巴细胞异常,我们意识到持续发热是恶性淋巴瘤的全身性症状,而不是阑尾炎的并发症。在第30天,患者被转诊到血液科,随后被诊断为伯基特淋巴瘤。住院第40天开始化疗。在撰写本文时,患者术后4年3个月没有复发。结论:本病例急性阑尾炎的症状与恶性淋巴瘤的全身症状同时出现。因此,恶性淋巴瘤的全身症状被误诊为术后并发症,导致诊断延误。原发性阑尾伯基特淋巴瘤极为罕见,其临床特征尚不清楚。重要的是要认识到,原发性阑尾伯基特淋巴瘤可以呈现全身性症状,同时阑尾炎。外科医生应了解伯基特淋巴瘤引起的阑尾炎不同于其他阑尾肿瘤或恶性淋巴瘤的临床特点。
本文章由计算机程序翻译,如有差异,请以英文原文为准。

A Case of Appendicitis Due to Burkitt Lymphoma Masking the Systemic Symptoms of Rapidly Progressing Burkitt Lymphoma.

A Case of Appendicitis Due to Burkitt Lymphoma Masking the Systemic Symptoms of Rapidly Progressing Burkitt Lymphoma.

A Case of Appendicitis Due to Burkitt Lymphoma Masking the Systemic Symptoms of Rapidly Progressing Burkitt Lymphoma.

A Case of Appendicitis Due to Burkitt Lymphoma Masking the Systemic Symptoms of Rapidly Progressing Burkitt Lymphoma.

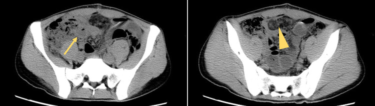
Introduction: Primary malignant lymphoma of the appendix is a rare disease, and primary Burkitt lymphoma of the appendix has been reported very rarely in Japan. Burkitt lymphoma is an aggressive lymphoma that progresses more rapidly than other malignant lymphomas, making it sometimes difficult to distinguish between systemic symptoms, such as fever associated with lymphoma progression and fever caused by appendicitis.

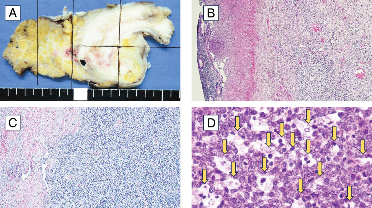
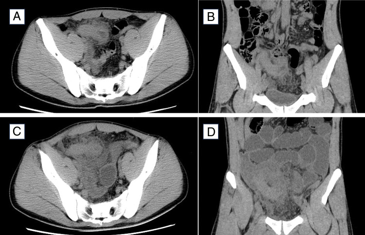
Case presentation: A 21-year-old man underwent open appendectomy after antibiotic treatment for acute appendicitis proved ineffective. Postoperative pathological findings confirmed acute appendicitis. Antibiotics were continued after surgery, and the patient's fever and abdominal symptoms gradually improved. However, abdominal distension recurred on the 18th day of hospitalization. Blood tests showed a re-elevation of the white blood cell count, suggesting a postoperative intraperitoneal abscess. Despite further antibiotic treatment, fever and leukocytosis persisted. On the 28th day of hospitalization, abnormal lymphocytes were detected in the peripheral blood, and we realized that the persistent fever was due to systemic symptoms of malignant lymphoma rather than a complication of appendicitis. On the 30th day, the patient was referred to the hematology department and subsequently diagnosed with Burkitt lymphoma. Chemotherapy was initiated on the 40th day of hospitalization. At the time of this writing, the patient had remained alive without recurrence for 4 years 3 months postoperatively.

Conclusion: In this case, symptoms of acute appendicitis and systemic symptoms of malignant lymphoma appeared simultaneously. As a result, the systemic symptoms of malignant lymphoma were misdiagnosed as postoperative complications, leading to a delay in diagnosis. Primary appendiceal Burkitt lymphoma is extremely rare, and its clinical features remain unknown. It is important to recognize that primary appendiceal Burkitt lymphoma can present with systemic symptoms concurrently with appendicitis. Surgeons should be aware of the clinical features of appendicitis caused by Burkitt lymphoma, which differ from those caused by other appendiceal tumors or malignant lymphoma.

求助全文
通过发布文献求助,成功后即可免费获取论文全文。 去求助
来源期刊
自引率
0.00%
发文量
218
审稿时长
13 weeks
×
引用
GB/T 7714-2015
复制
MLA
复制
APA
复制
导出至
BibTeX EndNote RefMan NoteFirst NoteExpress
×
提示
您的信息不完整,为了账户安全,请先补充。
现在去补充
×
提示
您因"违规操作"
具体请查看互助需知
我知道了
×
提示
确定
请完成安全验证×
copy
已复制链接
快去分享给好友吧!
我知道了
右上角分享
点击右上角分享
0
联系我们:info@booksci.cn Book学术提供免费学术资源搜索服务,方便国内外学者检索中英文文献。致力于提供最便捷和优质的服务体验。 Copyright © 2023 布克学术 All rights reserved.
京ICP备2023020795号-1
ghs 京公网安备 11010802042870号
Book学术文献互助
Book学术文献互助群
群 号:604180095
Book学术官方微信