免疫激活、高表达PD-1表型在肝细胞癌中与低复发率相关

IF 2 4区 医学 Q3 CELL BIOLOGY
Pathobiology Pub Date : 2025-01-01 Epub Date: 2025-03-04 DOI:10.1159/000543933
Gabriel F Hess, Caner Ercan, Alexander Wilhelm, Jasmin Zeindler, Mairene Coto-Llerena, Silvio Däster, Simone Muenst, Jürg Vosbeck, Luca Di Tommaso, Martin Bolli, Luigi M Terracciano, Otto Kollmar, Salvatore Piscuoglio, Savas D Soysal
{"title":"免疫激活、高表达PD-1表型在肝细胞癌中与低复发率相关","authors":"Gabriel F Hess, Caner Ercan, Alexander Wilhelm, Jasmin Zeindler, Mairene Coto-Llerena, Silvio Däster, Simone Muenst, Jürg Vosbeck, Luca Di Tommaso, Martin Bolli, Luigi M Terracciano, Otto Kollmar, Salvatore Piscuoglio, Savas D Soysal","doi":"10.1159/000543933","DOIUrl":null,"url":null,"abstract":"<p><strong>Introduction: </strong>Curative treatments in early-stage hepatocellular carcinoma (HCC) are limited by high recurrence rates, and targeted therapies against HCC are rare. Tumour microenvironment (TME) plays a crucial role. One strategy is the expression of programmed cell death receptor 1 ligand (PD-L1), whose receptor PD-1 is expressed on activated T cells. The use of immune checkpoint inhibitors (ICIs) has shown antitumour activity. In HCC, ICIs are proposed as a possible first- and second-line therapy. The expression of PD-1 and PD-L1 in the TME is of prognostic importance and can predict response to ICIs. Our study aimed to investigate the impact of intratumoural PD-1 and PD-L1 expression on HCC recurrence and its relation to cancer-immune phenotypes.</p><p><strong>Methods: </strong>Immunohistochemical staining was performed on archival tissue from 93 HCC, using the antibodies NAT105 (PD-1) and Ventana SP263 (PD-L1). Tumours were classified as immunologically active, excluded, or deserted. PD-1 and PD-L1 immunoreactivity was evaluated as the proportion of positive immune cells compared to the total immune cells (0%, <1%, and >1%).</p><p><strong>Results: </strong>HCC with PD-1 expression in >1% of immune cells had a significantly lower recurrence rate than tumours with <1% PD-1 expression (78%; 38/49, p = 0.027). HCC classified as immune active was also enriched for PD-1 expression >1% (77%; 48/62). Tumours with both characteristics had a significantly lower recurrence rate (p = 0.039).</p><p><strong>Conclusion: </strong>PD-1 expression on immune cells is associated with a lower recurrence rate in HCC, suggesting a role in HCC recurrence. The therapeutic use of adjuvant anti-PD-1 antibodies should thus be viewed critically and investigated further.</p>","PeriodicalId":19805,"journal":{"name":"Pathobiology","volume":" ","pages":"157-168"},"PeriodicalIF":2.0000,"publicationDate":"2025-01-01","publicationTypes":"Journal Article","fieldsOfStudy":null,"isOpenAccess":false,"openAccessPdf":"https://www.ncbi.nlm.nih.gov/pmc/articles/PMC12136520/pdf/","citationCount":"0","resultStr":"{\"title\":\"Immuno-Activated, Highly Expressing PD-1 Phenotype in Hepatocellular Carcinoma Is Associated with a Lower Recurrence Rate.\",\"authors\":\"Gabriel F Hess, Caner Ercan, Alexander Wilhelm, Jasmin Zeindler, Mairene Coto-Llerena, Silvio Däster, Simone Muenst, Jürg Vosbeck, Luca Di Tommaso, Martin Bolli, Luigi M Terracciano, Otto Kollmar, Salvatore Piscuoglio, Savas D Soysal\",\"doi\":\"10.1159/000543933\",\"DOIUrl\":null,\"url\":null,\"abstract\":\"<p><strong>Introduction: </strong>Curative treatments in early-stage hepatocellular carcinoma (HCC) are limited by high recurrence rates, and targeted therapies against HCC are rare. Tumour microenvironment (TME) plays a crucial role. One strategy is the expression of programmed cell death receptor 1 ligand (PD-L1), whose receptor PD-1 is expressed on activated T cells. The use of immune checkpoint inhibitors (ICIs) has shown antitumour activity. In HCC, ICIs are proposed as a possible first- and second-line therapy. The expression of PD-1 and PD-L1 in the TME is of prognostic importance and can predict response to ICIs. Our study aimed to investigate the impact of intratumoural PD-1 and PD-L1 expression on HCC recurrence and its relation to cancer-immune phenotypes.</p><p><strong>Methods: </strong>Immunohistochemical staining was performed on archival tissue from 93 HCC, using the antibodies NAT105 (PD-1) and Ventana SP263 (PD-L1). Tumours were classified as immunologically active, excluded, or deserted. PD-1 and PD-L1 immunoreactivity was evaluated as the proportion of positive immune cells compared to the total immune cells (0%, <1%, and >1%).</p><p><strong>Results: </strong>HCC with PD-1 expression in >1% of immune cells had a significantly lower recurrence rate than tumours with <1% PD-1 expression (78%; 38/49, p = 0.027). HCC classified as immune active was also enriched for PD-1 expression >1% (77%; 48/62). Tumours with both characteristics had a significantly lower recurrence rate (p = 0.039).</p><p><strong>Conclusion: </strong>PD-1 expression on immune cells is associated with a lower recurrence rate in HCC, suggesting a role in HCC recurrence. The therapeutic use of adjuvant anti-PD-1 antibodies should thus be viewed critically and investigated further.</p>\",\"PeriodicalId\":19805,\"journal\":{\"name\":\"Pathobiology\",\"volume\":\" \",\"pages\":\"157-168\"},\"PeriodicalIF\":2.0000,\"publicationDate\":\"2025-01-01\",\"publicationTypes\":\"Journal Article\",\"fieldsOfStudy\":null,\"isOpenAccess\":false,\"openAccessPdf\":\"https://www.ncbi.nlm.nih.gov/pmc/articles/PMC12136520/pdf/\",\"citationCount\":\"0\",\"resultStr\":null,\"platform\":\"Semanticscholar\",\"paperid\":null,\"PeriodicalName\":\"Pathobiology\",\"FirstCategoryId\":\"3\",\"ListUrlMain\":\"https://doi.org/10.1159/000543933\",\"RegionNum\":4,\"RegionCategory\":\"医学\",\"ArticlePicture\":[],\"TitleCN\":null,\"AbstractTextCN\":null,\"PMCID\":null,\"EPubDate\":\"2025/3/4 0:00:00\",\"PubModel\":\"Epub\",\"JCR\":\"Q3\",\"JCRName\":\"CELL BIOLOGY\",\"Score\":null,\"Total\":0}","platform":"Semanticscholar","paperid":null,"PeriodicalName":"Pathobiology","FirstCategoryId":"3","ListUrlMain":"https://doi.org/10.1159/000543933","RegionNum":4,"RegionCategory":"医学","ArticlePicture":[],"TitleCN":null,"AbstractTextCN":null,"PMCID":null,"EPubDate":"2025/3/4 0:00:00","PubModel":"Epub","JCR":"Q3","JCRName":"CELL BIOLOGY","Score":null,"Total":0}
引用次数: 0

摘要

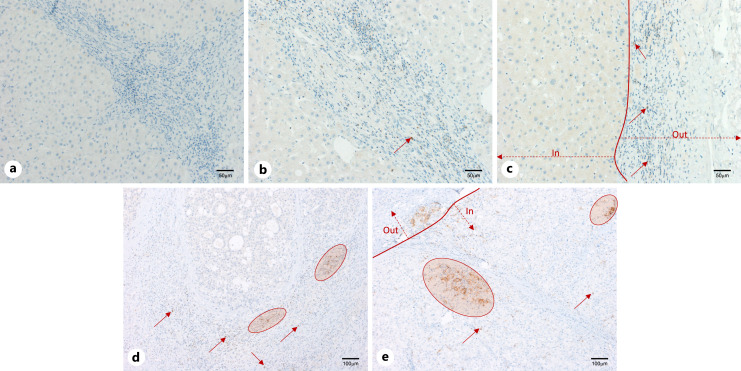
早期肝细胞癌(HCC)的根治性治疗受到高复发率的限制,针对HCC的靶向治疗很少。肿瘤微环境(tumor microenvironment, TME)起着至关重要的作用。一种策略是程序性细胞死亡受体1配体(PD-L1)的表达,其受体PD-1在活化的T细胞上表达。免疫检查点抑制剂(ICIs)的使用显示出抗肿瘤活性。在HCC中,ICIs被建议作为可能的一线和二线治疗。PD-1和PD-L1在TME中的表达对预后有重要意义,可以预测对ICIs的反应。我们的研究旨在探讨肿瘤内PD-1和PD-L1表达对HCC复发的影响及其与癌症免疫表型的关系。方法:采用NAT105 (PD-1)和Ventana SP263 (PD-L1)抗体对93例HCC档案组织进行免疫组化染色。肿瘤被分类为免疫活性、排除或废弃。PD-1和PD-L1的免疫反应性以阳性免疫细胞占总免疫细胞的比例(0%,1%)进行评估。结果:PD-1在1%免疫细胞中表达的肝癌复发率明显低于1%免疫细胞中表达PD-1的肿瘤(77%;48/62)。具有这两种特征的肿瘤复发率显著降低(p = 0.039)。结论:免疫细胞上PD-1表达与肝癌复发率低相关,提示其在肝癌复发中起一定作用。因此,佐剂抗pd -1抗体的治疗用途应该被严格看待并进一步研究。
本文章由计算机程序翻译,如有差异,请以英文原文为准。

Immuno-Activated, Highly Expressing PD-1 Phenotype in Hepatocellular Carcinoma Is Associated with a Lower Recurrence Rate.

Immuno-Activated, Highly Expressing PD-1 Phenotype in Hepatocellular Carcinoma Is Associated with a Lower Recurrence Rate.

Immuno-Activated, Highly Expressing PD-1 Phenotype in Hepatocellular Carcinoma Is Associated with a Lower Recurrence Rate.

Immuno-Activated, Highly Expressing PD-1 Phenotype in Hepatocellular Carcinoma Is Associated with a Lower Recurrence Rate.

Introduction: Curative treatments in early-stage hepatocellular carcinoma (HCC) are limited by high recurrence rates, and targeted therapies against HCC are rare. Tumour microenvironment (TME) plays a crucial role. One strategy is the expression of programmed cell death receptor 1 ligand (PD-L1), whose receptor PD-1 is expressed on activated T cells. The use of immune checkpoint inhibitors (ICIs) has shown antitumour activity. In HCC, ICIs are proposed as a possible first- and second-line therapy. The expression of PD-1 and PD-L1 in the TME is of prognostic importance and can predict response to ICIs. Our study aimed to investigate the impact of intratumoural PD-1 and PD-L1 expression on HCC recurrence and its relation to cancer-immune phenotypes.

Methods: Immunohistochemical staining was performed on archival tissue from 93 HCC, using the antibodies NAT105 (PD-1) and Ventana SP263 (PD-L1). Tumours were classified as immunologically active, excluded, or deserted. PD-1 and PD-L1 immunoreactivity was evaluated as the proportion of positive immune cells compared to the total immune cells (0%, <1%, and >1%).

Results: HCC with PD-1 expression in >1% of immune cells had a significantly lower recurrence rate than tumours with <1% PD-1 expression (78%; 38/49, p = 0.027). HCC classified as immune active was also enriched for PD-1 expression >1% (77%; 48/62). Tumours with both characteristics had a significantly lower recurrence rate (p = 0.039).

Conclusion: PD-1 expression on immune cells is associated with a lower recurrence rate in HCC, suggesting a role in HCC recurrence. The therapeutic use of adjuvant anti-PD-1 antibodies should thus be viewed critically and investigated further.

求助全文
通过发布文献求助,成功后即可免费获取论文全文。 去求助
来源期刊
Pathobiology
Pathobiology 医学-病理学
CiteScore
8.50
自引率
0.00%
发文量
47
审稿时长
>12 weeks
期刊介绍: ''Pathobiology'' offers a valuable platform for the publication of high-quality original research into the mechanisms underlying human disease. Aiming to serve as a bridge between basic biomedical research and clinical medicine, the journal welcomes articles from scientific areas such as pathology, oncology, anatomy, virology, internal medicine, surgery, cell and molecular biology, and immunology. Published bimonthly, ''Pathobiology'' features original research papers and reviews on translational research. The journal offers the possibility to publish proceedings of meetings dedicated to one particular topic.
×
引用
GB/T 7714-2015
复制
MLA
复制
APA
复制
导出至
BibTeX EndNote RefMan NoteFirst NoteExpress
×
提示
您的信息不完整,为了账户安全,请先补充。
现在去补充
×
提示
您因"违规操作"
具体请查看互助需知
我知道了
×
提示
确定
请完成安全验证×
copy
已复制链接
快去分享给好友吧!
我知道了
右上角分享
点击右上角分享
0
联系我们:info@booksci.cn Book学术提供免费学术资源搜索服务,方便国内外学者检索中英文文献。致力于提供最便捷和优质的服务体验。 Copyright © 2023 布克学术 All rights reserved.
京ICP备2023020795号-1
ghs 京公网安备 11010802042870号
Book学术文献互助
Book学术文献互助群
群 号:604180095
Book学术官方微信