在中亚获得的片形吸虫病。

IF 6.4 2区 医学 Q1 INFECTIOUS DISEASES
Lukas Rohloff, Veronika Neumayr, Maura Concu, Marie-Therese Ruf, Robert Thimme, Annerose Serr, Siegbert Rieg
{"title":"在中亚获得的片形吸虫病。","authors":"Lukas Rohloff, Veronika Neumayr, Maura Concu, Marie-Therese Ruf, Robert Thimme, Annerose Serr, Siegbert Rieg","doi":"10.1093/jtm/taaf021","DOIUrl":null,"url":null,"abstract":"","PeriodicalId":17407,"journal":{"name":"Journal of travel medicine","volume":" ","pages":""},"PeriodicalIF":6.4000,"publicationDate":"2025-03-30","publicationTypes":"Journal Article","fieldsOfStudy":null,"isOpenAccess":false,"openAccessPdf":"https://www.ncbi.nlm.nih.gov/pmc/articles/PMC11955159/pdf/","citationCount":"0","resultStr":"{\"title\":\"Fascioliasis acquired in Central Asia.\",\"authors\":\"Lukas Rohloff, Veronika Neumayr, Maura Concu, Marie-Therese Ruf, Robert Thimme, Annerose Serr, Siegbert Rieg\",\"doi\":\"10.1093/jtm/taaf021\",\"DOIUrl\":null,\"url\":null,\"abstract\":\"\",\"PeriodicalId\":17407,\"journal\":{\"name\":\"Journal of travel medicine\",\"volume\":\" \",\"pages\":\"\"},\"PeriodicalIF\":6.4000,\"publicationDate\":\"2025-03-30\",\"publicationTypes\":\"Journal Article\",\"fieldsOfStudy\":null,\"isOpenAccess\":false,\"openAccessPdf\":\"https://www.ncbi.nlm.nih.gov/pmc/articles/PMC11955159/pdf/\",\"citationCount\":\"0\",\"resultStr\":null,\"platform\":\"Semanticscholar\",\"paperid\":null,\"PeriodicalName\":\"Journal of travel medicine\",\"FirstCategoryId\":\"3\",\"ListUrlMain\":\"https://doi.org/10.1093/jtm/taaf021\",\"RegionNum\":2,\"RegionCategory\":\"医学\",\"ArticlePicture\":[],\"TitleCN\":null,\"AbstractTextCN\":null,\"PMCID\":null,\"EPubDate\":\"\",\"PubModel\":\"\",\"JCR\":\"Q1\",\"JCRName\":\"INFECTIOUS DISEASES\",\"Score\":null,\"Total\":0}","platform":"Semanticscholar","paperid":null,"PeriodicalName":"Journal of travel medicine","FirstCategoryId":"3","ListUrlMain":"https://doi.org/10.1093/jtm/taaf021","RegionNum":2,"RegionCategory":"医学","ArticlePicture":[],"TitleCN":null,"AbstractTextCN":null,"PMCID":null,"EPubDate":"","PubModel":"","JCR":"Q1","JCRName":"INFECTIOUS DISEASES","Score":null,"Total":0}
引用次数: 0

摘要

本文章由计算机程序翻译,如有差异,请以英文原文为准。

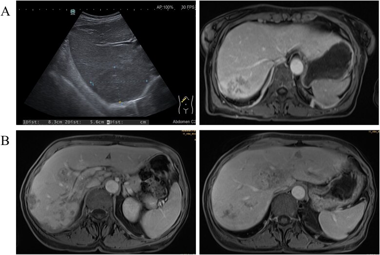
Fascioliasis acquired in Central Asia.

Fascioliasis acquired in Central Asia.
求助全文
通过发布文献求助,成功后即可免费获取论文全文。 去求助
来源期刊
Journal of travel medicine
Journal of travel medicine 医学-医学:内科
CiteScore
20.90
自引率
5.10%
发文量
143
审稿时长
6-12 weeks
期刊介绍: The Journal of Travel Medicine is a publication that focuses on travel medicine and its intersection with other disciplines. It publishes cutting-edge research, consensus papers, policy papers, and expert reviews. The journal is affiliated with the Asia Pacific Travel Health Society. The journal's main areas of interest include the prevention and management of travel-associated infections, non-communicable diseases, vaccines, malaria prevention and treatment, multi-drug resistant pathogens, and surveillance on all individuals crossing international borders. The Journal of Travel Medicine is indexed in multiple major indexing services, including Adis International Ltd., CABI, EBSCOhost, Elsevier BV, Gale, Journal Watch Infectious Diseases (Online), MetaPress, National Library of Medicine, OCLC, Ovid, ProQuest, Thomson Reuters, and the U.S. National Library of Medicine.
×
引用
GB/T 7714-2015
复制
MLA
复制
APA
复制
导出至
BibTeX EndNote RefMan NoteFirst NoteExpress
×
提示
您的信息不完整,为了账户安全,请先补充。
现在去补充
×
提示
您因"违规操作"
具体请查看互助需知
我知道了
×
提示
确定
请完成安全验证×
copy
已复制链接
快去分享给好友吧!
我知道了
右上角分享
点击右上角分享
0
联系我们:info@booksci.cn Book学术提供免费学术资源搜索服务,方便国内外学者检索中英文文献。致力于提供最便捷和优质的服务体验。 Copyright © 2023 布克学术 All rights reserved.
京ICP备2023020795号-1
ghs 京公网安备 11010802042870号
Book学术文献互助
Book学术文献互助群
群 号:604180095
Book学术官方微信