头颈部肿瘤急症的影像学表现。

IF 1.3 Q3 RADIOLOGY, NUCLEAR MEDICINE & MEDICAL IMAGING
Journal of Clinical Imaging Science Pub Date : 2025-02-04 eCollection Date: 2025-01-01 DOI:10.25259/JCIS_35_2023
Rahim Ismail, Derrek Schartz, Mark Manganaro, Casey Paton, Alex Kessler
{"title":"头颈部肿瘤急症的影像学表现。","authors":"Rahim Ismail, Derrek Schartz, Mark Manganaro, Casey Paton, Alex Kessler","doi":"10.25259/JCIS_35_2023","DOIUrl":null,"url":null,"abstract":"<p><p>This review describes the radiographic findings in emergencies of head and neck cancers (HNCs) in both undiagnosed and previously treated patients, with an emphasis on the temporal urgency of each presentation and in association with the relevant clinical presentation and necessary treatments to enhance understanding and recognition. The various presentations of HNC will be described by the organ system of their presenting complaint. The development and complications of each will be elaborated, with a focus on the clinical presentation in the emergency department and the imaging findings that are critical to recognize in making the diagnosis. Each presentation will be exhibited with a specific patient case and the exact computed tomography, magnetic resonance imaging, ultrasound, or digital subtraction angiography images obtained will be shown. Cases include airway obstruction due to glottic tumor or metastatic cervical lymphadenopathy; airway obstruction due to surgical complications of hematoma, or post-radiation soft-tissue edema; vascular complications of tumor or nodal compression, carotid blowout, carotid stenosis, or occlusion; orbital complications of compartment syndrome; and orthopedic complications of osteomyelitis and osteoradionecrosis. Eleven HNC patient cases are presented with their associated 32 images. HNC patients present with challenging imaging features in the emergent setting. Difficulty in discerning the correct diagnosis arises from the complex head and neck anatomy, often compounded by an advanced stage at presentation and poor functional status. Radiologist familiarity with common HNC emergent presentations is essential for accurate diagnosis and timely treatment.</p>","PeriodicalId":15512,"journal":{"name":"Journal of Clinical Imaging Science","volume":"15 ","pages":"7"},"PeriodicalIF":1.3000,"publicationDate":"2025-02-04","publicationTypes":"Journal Article","fieldsOfStudy":null,"isOpenAccess":false,"openAccessPdf":"https://www.ncbi.nlm.nih.gov/pmc/articles/PMC11878725/pdf/","citationCount":"0","resultStr":"{\"title\":\"The imaging presentation of head and neck oncologic emergencies.\",\"authors\":\"Rahim Ismail, Derrek Schartz, Mark Manganaro, Casey Paton, Alex Kessler\",\"doi\":\"10.25259/JCIS_35_2023\",\"DOIUrl\":null,\"url\":null,\"abstract\":\"<p><p>This review describes the radiographic findings in emergencies of head and neck cancers (HNCs) in both undiagnosed and previously treated patients, with an emphasis on the temporal urgency of each presentation and in association with the relevant clinical presentation and necessary treatments to enhance understanding and recognition. The various presentations of HNC will be described by the organ system of their presenting complaint. The development and complications of each will be elaborated, with a focus on the clinical presentation in the emergency department and the imaging findings that are critical to recognize in making the diagnosis. Each presentation will be exhibited with a specific patient case and the exact computed tomography, magnetic resonance imaging, ultrasound, or digital subtraction angiography images obtained will be shown. Cases include airway obstruction due to glottic tumor or metastatic cervical lymphadenopathy; airway obstruction due to surgical complications of hematoma, or post-radiation soft-tissue edema; vascular complications of tumor or nodal compression, carotid blowout, carotid stenosis, or occlusion; orbital complications of compartment syndrome; and orthopedic complications of osteomyelitis and osteoradionecrosis. Eleven HNC patient cases are presented with their associated 32 images. HNC patients present with challenging imaging features in the emergent setting. Difficulty in discerning the correct diagnosis arises from the complex head and neck anatomy, often compounded by an advanced stage at presentation and poor functional status. Radiologist familiarity with common HNC emergent presentations is essential for accurate diagnosis and timely treatment.</p>\",\"PeriodicalId\":15512,\"journal\":{\"name\":\"Journal of Clinical Imaging Science\",\"volume\":\"15 \",\"pages\":\"7\"},\"PeriodicalIF\":1.3000,\"publicationDate\":\"2025-02-04\",\"publicationTypes\":\"Journal Article\",\"fieldsOfStudy\":null,\"isOpenAccess\":false,\"openAccessPdf\":\"https://www.ncbi.nlm.nih.gov/pmc/articles/PMC11878725/pdf/\",\"citationCount\":\"0\",\"resultStr\":null,\"platform\":\"Semanticscholar\",\"paperid\":null,\"PeriodicalName\":\"Journal of Clinical Imaging Science\",\"FirstCategoryId\":\"1085\",\"ListUrlMain\":\"https://doi.org/10.25259/JCIS_35_2023\",\"RegionNum\":0,\"RegionCategory\":null,\"ArticlePicture\":[],\"TitleCN\":null,\"AbstractTextCN\":null,\"PMCID\":null,\"EPubDate\":\"2025/1/1 0:00:00\",\"PubModel\":\"eCollection\",\"JCR\":\"Q3\",\"JCRName\":\"RADIOLOGY, NUCLEAR MEDICINE & MEDICAL IMAGING\",\"Score\":null,\"Total\":0}","platform":"Semanticscholar","paperid":null,"PeriodicalName":"Journal of Clinical Imaging Science","FirstCategoryId":"1085","ListUrlMain":"https://doi.org/10.25259/JCIS_35_2023","RegionNum":0,"RegionCategory":null,"ArticlePicture":[],"TitleCN":null,"AbstractTextCN":null,"PMCID":null,"EPubDate":"2025/1/1 0:00:00","PubModel":"eCollection","JCR":"Q3","JCRName":"RADIOLOGY, NUCLEAR MEDICINE & MEDICAL IMAGING","Score":null,"Total":0}
引用次数: 0

摘要

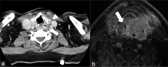
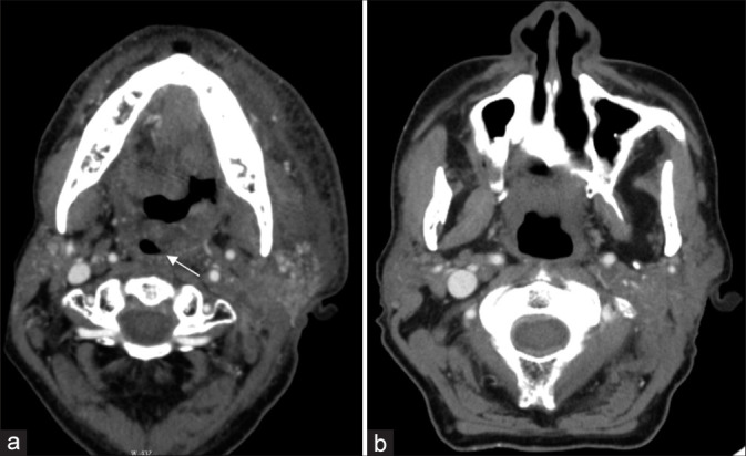
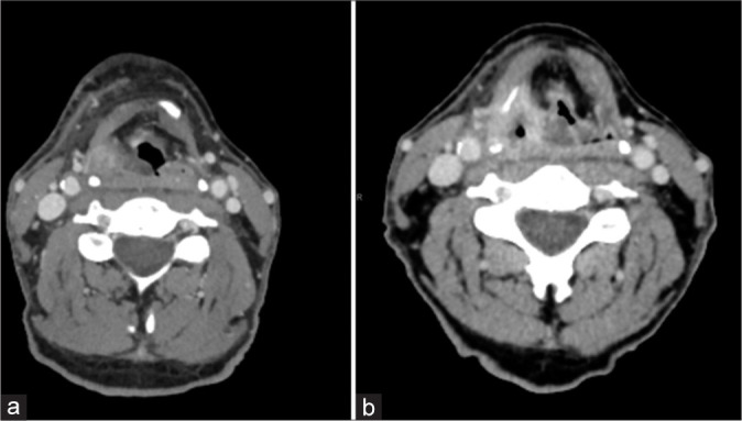
本综述描述了头颈癌(HNCs)急诊病例的放射学表现,包括未确诊和曾接受治疗的患者,重点强调了每次表现的时间紧迫性,以及与相关临床表现和必要治疗的联系,以加强理解和认识。HNC的各种表现将根据其主诉的器官系统来描述。我们将详细介绍每一种疾病的发展和并发症,重点介绍急诊科的临床表现和对诊断至关重要的影像学结果。每个报告将与一个特定的病例一起展示,并展示所获得的精确的计算机断层扫描、磁共振成像、超声或数字减影血管造影图像。病例包括声门肿瘤或转移性颈部淋巴结病引起的气道阻塞;手术并发症血肿或放疗后软组织水肿引起的气道阻塞;肿瘤或淋巴结压迫、颈动脉爆裂、颈动脉狭窄或闭塞等血管并发症;眶间室综合征并发症;骨髓炎和骨放射性坏死的骨科并发症。11例HNC患者与其相关的32张图像。HNC患者在紧急情况下表现出具有挑战性的影像学特征。辨别正确诊断的困难来自复杂的头颈部解剖结构,通常由于出现的晚期和功能状态差而复杂化。放射科医师熟悉常见的HNC急诊表现对于准确诊断和及时治疗至关重要。
本文章由计算机程序翻译,如有差异,请以英文原文为准。

The imaging presentation of head and neck oncologic emergencies.

The imaging presentation of head and neck oncologic emergencies.

The imaging presentation of head and neck oncologic emergencies.

The imaging presentation of head and neck oncologic emergencies.

This review describes the radiographic findings in emergencies of head and neck cancers (HNCs) in both undiagnosed and previously treated patients, with an emphasis on the temporal urgency of each presentation and in association with the relevant clinical presentation and necessary treatments to enhance understanding and recognition. The various presentations of HNC will be described by the organ system of their presenting complaint. The development and complications of each will be elaborated, with a focus on the clinical presentation in the emergency department and the imaging findings that are critical to recognize in making the diagnosis. Each presentation will be exhibited with a specific patient case and the exact computed tomography, magnetic resonance imaging, ultrasound, or digital subtraction angiography images obtained will be shown. Cases include airway obstruction due to glottic tumor or metastatic cervical lymphadenopathy; airway obstruction due to surgical complications of hematoma, or post-radiation soft-tissue edema; vascular complications of tumor or nodal compression, carotid blowout, carotid stenosis, or occlusion; orbital complications of compartment syndrome; and orthopedic complications of osteomyelitis and osteoradionecrosis. Eleven HNC patient cases are presented with their associated 32 images. HNC patients present with challenging imaging features in the emergent setting. Difficulty in discerning the correct diagnosis arises from the complex head and neck anatomy, often compounded by an advanced stage at presentation and poor functional status. Radiologist familiarity with common HNC emergent presentations is essential for accurate diagnosis and timely treatment.

求助全文
通过发布文献求助,成功后即可免费获取论文全文。 去求助
来源期刊
Journal of Clinical Imaging Science
Journal of Clinical Imaging Science RADIOLOGY, NUCLEAR MEDICINE & MEDICAL IMAGING-
CiteScore
2.00
自引率
0.00%
发文量
65
期刊介绍: The Journal of Clinical Imaging Science (JCIS) is an open access peer-reviewed journal committed to publishing high-quality articles in the field of Imaging Science. The journal aims to present Imaging Science and relevant clinical information in an understandable and useful format. The journal is owned and published by the Scientific Scholar. Audience Our audience includes Radiologists, Researchers, Clinicians, medical professionals and students. Review process JCIS has a highly rigorous peer-review process that makes sure that manuscripts are scientifically accurate, relevant, novel and important. Authors disclose all conflicts, affiliations and financial associations such that the published content is not biased.
×
引用
GB/T 7714-2015
复制
MLA
复制
APA
复制
导出至
BibTeX EndNote RefMan NoteFirst NoteExpress
×
提示
您的信息不完整,为了账户安全,请先补充。
现在去补充
×
提示
您因"违规操作"
具体请查看互助需知
我知道了
×
提示
确定
请完成安全验证×
copy
已复制链接
快去分享给好友吧!
我知道了
右上角分享
点击右上角分享
0
联系我们:info@booksci.cn Book学术提供免费学术资源搜索服务,方便国内外学者检索中英文文献。致力于提供最便捷和优质的服务体验。 Copyright © 2023 布克学术 All rights reserved.
京ICP备2023020795号-1
ghs 京公网安备 11010802042870号
Book学术文献互助
Book学术文献互助群
群 号:604180095
Book学术官方微信