肝外先天性门系统分流伴血流动力学转移的长期随访及经导管栓塞治疗。

IF 1.3 Q3 RADIOLOGY, NUCLEAR MEDICINE & MEDICAL IMAGING
Journal of Clinical Imaging Science Pub Date : 2025-02-18 eCollection Date: 2025-01-01 DOI:10.25259/JCIS_156_2024
Kento Hatakeyama, Tomoki Tozawa, Atsuko Noguchi, Naoko Mori
{"title":"肝外先天性门系统分流伴血流动力学转移的长期随访及经导管栓塞治疗。","authors":"Kento Hatakeyama, Tomoki Tozawa, Atsuko Noguchi, Naoko Mori","doi":"10.25259/JCIS_156_2024","DOIUrl":null,"url":null,"abstract":"<p><p>Congenital portosystemic shunt (CPSS) is a rare vascular anomaly in which portal vein blood flows into the systemic circulation without passing through the liver. They occur in approximately 1 in 30,000-50,000 live births. We present an 11-year-old patient with an extrahepatic CPSS managed with long-term follow-up. The initial clinical presentation showed no significant abnormalities. Subsequent assessments revealed slightly elevated ammonia (NH<sub>3</sub>) and total bile acids (TBAs). Two times angiography at the ages of 2 and 11 years confirmed a shunt between the portal vein and left renal vein, with a gradual shift in blood flow dominance from the celiac artery-splenic vein system to the superior mesenteric artery-superior mesenteric vein system as the patient aged. Due to the risk of complications, transcatheter shunt embolization was performed, utilizing 12 coils to achieve complete shunt embolization. Post-embolization, NH3, and TBA levels normalized, and the patient remained asymptomatic. This case highlights the importance of timing in CPSS intervention, particularly with shifting hemodynamics and underscores the need for further studies on optimal intervention timing in pediatric CPSS.</p>","PeriodicalId":15512,"journal":{"name":"Journal of Clinical Imaging Science","volume":"15 ","pages":"9"},"PeriodicalIF":1.3000,"publicationDate":"2025-02-18","publicationTypes":"Journal Article","fieldsOfStudy":null,"isOpenAccess":false,"openAccessPdf":"https://www.ncbi.nlm.nih.gov/pmc/articles/PMC11878720/pdf/","citationCount":"0","resultStr":"{\"title\":\"Long-term follow-up and transcatheter embolization of extrahepatic congenital portosystemic shunt with shifting hemodynamics.\",\"authors\":\"Kento Hatakeyama, Tomoki Tozawa, Atsuko Noguchi, Naoko Mori\",\"doi\":\"10.25259/JCIS_156_2024\",\"DOIUrl\":null,\"url\":null,\"abstract\":\"<p><p>Congenital portosystemic shunt (CPSS) is a rare vascular anomaly in which portal vein blood flows into the systemic circulation without passing through the liver. They occur in approximately 1 in 30,000-50,000 live births. We present an 11-year-old patient with an extrahepatic CPSS managed with long-term follow-up. The initial clinical presentation showed no significant abnormalities. Subsequent assessments revealed slightly elevated ammonia (NH<sub>3</sub>) and total bile acids (TBAs). Two times angiography at the ages of 2 and 11 years confirmed a shunt between the portal vein and left renal vein, with a gradual shift in blood flow dominance from the celiac artery-splenic vein system to the superior mesenteric artery-superior mesenteric vein system as the patient aged. Due to the risk of complications, transcatheter shunt embolization was performed, utilizing 12 coils to achieve complete shunt embolization. Post-embolization, NH3, and TBA levels normalized, and the patient remained asymptomatic. This case highlights the importance of timing in CPSS intervention, particularly with shifting hemodynamics and underscores the need for further studies on optimal intervention timing in pediatric CPSS.</p>\",\"PeriodicalId\":15512,\"journal\":{\"name\":\"Journal of Clinical Imaging Science\",\"volume\":\"15 \",\"pages\":\"9\"},\"PeriodicalIF\":1.3000,\"publicationDate\":\"2025-02-18\",\"publicationTypes\":\"Journal Article\",\"fieldsOfStudy\":null,\"isOpenAccess\":false,\"openAccessPdf\":\"https://www.ncbi.nlm.nih.gov/pmc/articles/PMC11878720/pdf/\",\"citationCount\":\"0\",\"resultStr\":null,\"platform\":\"Semanticscholar\",\"paperid\":null,\"PeriodicalName\":\"Journal of Clinical Imaging Science\",\"FirstCategoryId\":\"1085\",\"ListUrlMain\":\"https://doi.org/10.25259/JCIS_156_2024\",\"RegionNum\":0,\"RegionCategory\":null,\"ArticlePicture\":[],\"TitleCN\":null,\"AbstractTextCN\":null,\"PMCID\":null,\"EPubDate\":\"2025/1/1 0:00:00\",\"PubModel\":\"eCollection\",\"JCR\":\"Q3\",\"JCRName\":\"RADIOLOGY, NUCLEAR MEDICINE & MEDICAL IMAGING\",\"Score\":null,\"Total\":0}","platform":"Semanticscholar","paperid":null,"PeriodicalName":"Journal of Clinical Imaging Science","FirstCategoryId":"1085","ListUrlMain":"https://doi.org/10.25259/JCIS_156_2024","RegionNum":0,"RegionCategory":null,"ArticlePicture":[],"TitleCN":null,"AbstractTextCN":null,"PMCID":null,"EPubDate":"2025/1/1 0:00:00","PubModel":"eCollection","JCR":"Q3","JCRName":"RADIOLOGY, NUCLEAR MEDICINE & MEDICAL IMAGING","Score":null,"Total":0}
引用次数: 0

摘要

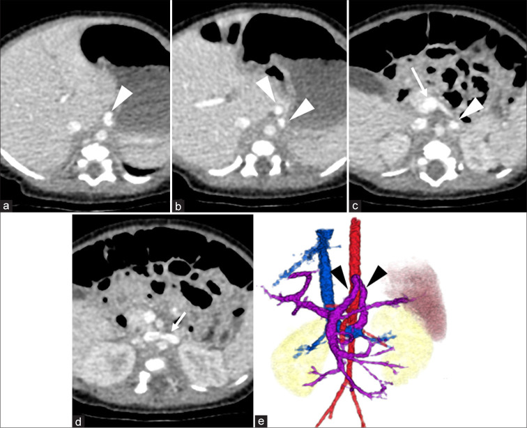
先天性门静脉系统分流(CPSS)是一种罕见的血管异常,其中门静脉血液流入体循环而不经过肝脏。大约每3万到5万例活产婴儿中就有1例。我们报告了一位11岁的肝外CPSS患者,并进行了长期随访。最初的临床表现没有明显的异常。随后的评估显示氨(NH3)和总胆汁酸(TBAs)略有升高。2岁和11岁时两次血管造影证实门静脉和左肾静脉分流,随着患者年龄的增长,血流优势逐渐从腹腔动脉-脾静脉系统转移到肠系膜上动脉-肠系膜上静脉系统。由于并发症的风险,我们进行了经导管分流栓塞,使用12个线圈实现了完全的分流栓塞。栓塞后,NH3和TBA水平恢复正常,患者无症状。该病例强调了CPSS干预时机的重要性,特别是在血流动力学变化的情况下,并强调了儿科CPSS最佳干预时机的进一步研究的必要性。
本文章由计算机程序翻译,如有差异,请以英文原文为准。

Long-term follow-up and transcatheter embolization of extrahepatic congenital portosystemic shunt with shifting hemodynamics.

Long-term follow-up and transcatheter embolization of extrahepatic congenital portosystemic shunt with shifting hemodynamics.

Long-term follow-up and transcatheter embolization of extrahepatic congenital portosystemic shunt with shifting hemodynamics.

Long-term follow-up and transcatheter embolization of extrahepatic congenital portosystemic shunt with shifting hemodynamics.

Congenital portosystemic shunt (CPSS) is a rare vascular anomaly in which portal vein blood flows into the systemic circulation without passing through the liver. They occur in approximately 1 in 30,000-50,000 live births. We present an 11-year-old patient with an extrahepatic CPSS managed with long-term follow-up. The initial clinical presentation showed no significant abnormalities. Subsequent assessments revealed slightly elevated ammonia (NH3) and total bile acids (TBAs). Two times angiography at the ages of 2 and 11 years confirmed a shunt between the portal vein and left renal vein, with a gradual shift in blood flow dominance from the celiac artery-splenic vein system to the superior mesenteric artery-superior mesenteric vein system as the patient aged. Due to the risk of complications, transcatheter shunt embolization was performed, utilizing 12 coils to achieve complete shunt embolization. Post-embolization, NH3, and TBA levels normalized, and the patient remained asymptomatic. This case highlights the importance of timing in CPSS intervention, particularly with shifting hemodynamics and underscores the need for further studies on optimal intervention timing in pediatric CPSS.

求助全文
通过发布文献求助,成功后即可免费获取论文全文。 去求助
来源期刊
Journal of Clinical Imaging Science
Journal of Clinical Imaging Science RADIOLOGY, NUCLEAR MEDICINE & MEDICAL IMAGING-
CiteScore
2.00
自引率
0.00%
发文量
65
期刊介绍: The Journal of Clinical Imaging Science (JCIS) is an open access peer-reviewed journal committed to publishing high-quality articles in the field of Imaging Science. The journal aims to present Imaging Science and relevant clinical information in an understandable and useful format. The journal is owned and published by the Scientific Scholar. Audience Our audience includes Radiologists, Researchers, Clinicians, medical professionals and students. Review process JCIS has a highly rigorous peer-review process that makes sure that manuscripts are scientifically accurate, relevant, novel and important. Authors disclose all conflicts, affiliations and financial associations such that the published content is not biased.
×
引用
GB/T 7714-2015
复制
MLA
复制
APA
复制
导出至
BibTeX EndNote RefMan NoteFirst NoteExpress
×
提示
您的信息不完整,为了账户安全,请先补充。
现在去补充
×
提示
您因"违规操作"
具体请查看互助需知
我知道了
×
提示
确定
请完成安全验证×
copy
已复制链接
快去分享给好友吧!
我知道了
右上角分享
点击右上角分享
0
联系我们:info@booksci.cn Book学术提供免费学术资源搜索服务,方便国内外学者检索中英文文献。致力于提供最便捷和优质的服务体验。 Copyright © 2023 布克学术 All rights reserved.
京ICP备2023020795号-1
ghs 京公网安备 11010802042870号
Book学术文献互助
Book学术文献互助群
群 号:604180095
Book学术官方微信