灌注对正常和青光眼视神经形态的评价。

IF 2.2 Q2 OPHTHALMOLOGY
Eduardo Jerez-Olivera, Marta Gonzalez-Hernandez, Daniel Gonzalez-Hernandez, Manuel Gonzalez de la Rosa
{"title":"灌注对正常和青光眼视神经形态的评价。","authors":"Eduardo Jerez-Olivera, Marta Gonzalez-Hernandez, Daniel Gonzalez-Hernandez, Manuel Gonzalez de la Rosa","doi":"10.1136/bmjophth-2024-002024","DOIUrl":null,"url":null,"abstract":"<p><strong>Objective: </strong>To estimate the optic nerve head morphology from its haemoglobin (Hb) distribution.</p><p><strong>Methods and analysis: </strong>The optic disc of 189 normal eyes and 292 with confirmed and suspected glaucoma were analysed with Spectralis-OCT and the Laguna ONhE application using the Topcon NW400 fundus camera. Topographic Hb values were correlated with OCT tissue thicknesses from Bruch's membrane. The neuroretinal rim volume (RV), the cup volume (CV) and their relation to the globin distribution function (GDF) index of Laguna ONhE were analysed. The results were applied to 1 163 241 optic nerve images obtained in a glaucoma screening setting. Differences in segmentation and the presence of vessels without local nutritional function are the main limitations of the comparison.</p><p><strong>Results: </strong>The correlation between local Hb density and the tissue thicknesses from Bruch's membrane was R=0.953 (p<0.0001). RV could be estimated from pixel-to-pixel Hb values with an R=0.650 (p<0.0001) and from six Laguna ONhE indices with an R=0.786 (p<0.0001). CV could be estimated with an R=0.762 (p<0.0001). RV had a mean value of 0.396 mm<sup>3</sup> (SD=0.187) for positive GDF values and usually below 0.210 mm<sup>3</sup> for negative GDF. The distribution of RV values in the screening series was congruent with that found in the prospective series, with a higher value in large nerves.</p><p><strong>Conclusions: </strong>The volume and shape of the optic nerve tissue are closely related to its perfusion and can be deduced from it. The relationship between the RV and GDF is curvilinear and suggests that perfusion measurement may bring the diagnosis forward in earlier stages.</p>","PeriodicalId":9286,"journal":{"name":"BMJ Open Ophthalmology","volume":"10 1","pages":""},"PeriodicalIF":2.2000,"publicationDate":"2025-03-04","publicationTypes":"Journal Article","fieldsOfStudy":null,"isOpenAccess":false,"openAccessPdf":"https://www.ncbi.nlm.nih.gov/pmc/articles/PMC11881183/pdf/","citationCount":"0","resultStr":"{\"title\":\"Estimation of normal and glaucomatous optic nerve morphology from perfusion.\",\"authors\":\"Eduardo Jerez-Olivera, Marta Gonzalez-Hernandez, Daniel Gonzalez-Hernandez, Manuel Gonzalez de la Rosa\",\"doi\":\"10.1136/bmjophth-2024-002024\",\"DOIUrl\":null,\"url\":null,\"abstract\":\"<p><strong>Objective: </strong>To estimate the optic nerve head morphology from its haemoglobin (Hb) distribution.</p><p><strong>Methods and analysis: </strong>The optic disc of 189 normal eyes and 292 with confirmed and suspected glaucoma were analysed with Spectralis-OCT and the Laguna ONhE application using the Topcon NW400 fundus camera. Topographic Hb values were correlated with OCT tissue thicknesses from Bruch's membrane. The neuroretinal rim volume (RV), the cup volume (CV) and their relation to the globin distribution function (GDF) index of Laguna ONhE were analysed. The results were applied to 1 163 241 optic nerve images obtained in a glaucoma screening setting. Differences in segmentation and the presence of vessels without local nutritional function are the main limitations of the comparison.</p><p><strong>Results: </strong>The correlation between local Hb density and the tissue thicknesses from Bruch's membrane was R=0.953 (p<0.0001). RV could be estimated from pixel-to-pixel Hb values with an R=0.650 (p<0.0001) and from six Laguna ONhE indices with an R=0.786 (p<0.0001). CV could be estimated with an R=0.762 (p<0.0001). RV had a mean value of 0.396 mm<sup>3</sup> (SD=0.187) for positive GDF values and usually below 0.210 mm<sup>3</sup> for negative GDF. The distribution of RV values in the screening series was congruent with that found in the prospective series, with a higher value in large nerves.</p><p><strong>Conclusions: </strong>The volume and shape of the optic nerve tissue are closely related to its perfusion and can be deduced from it. The relationship between the RV and GDF is curvilinear and suggests that perfusion measurement may bring the diagnosis forward in earlier stages.</p>\",\"PeriodicalId\":9286,\"journal\":{\"name\":\"BMJ Open Ophthalmology\",\"volume\":\"10 1\",\"pages\":\"\"},\"PeriodicalIF\":2.2000,\"publicationDate\":\"2025-03-04\",\"publicationTypes\":\"Journal Article\",\"fieldsOfStudy\":null,\"isOpenAccess\":false,\"openAccessPdf\":\"https://www.ncbi.nlm.nih.gov/pmc/articles/PMC11881183/pdf/\",\"citationCount\":\"0\",\"resultStr\":null,\"platform\":\"Semanticscholar\",\"paperid\":null,\"PeriodicalName\":\"BMJ Open Ophthalmology\",\"FirstCategoryId\":\"1085\",\"ListUrlMain\":\"https://doi.org/10.1136/bmjophth-2024-002024\",\"RegionNum\":0,\"RegionCategory\":null,\"ArticlePicture\":[],\"TitleCN\":null,\"AbstractTextCN\":null,\"PMCID\":null,\"EPubDate\":\"\",\"PubModel\":\"\",\"JCR\":\"Q2\",\"JCRName\":\"OPHTHALMOLOGY\",\"Score\":null,\"Total\":0}","platform":"Semanticscholar","paperid":null,"PeriodicalName":"BMJ Open Ophthalmology","FirstCategoryId":"1085","ListUrlMain":"https://doi.org/10.1136/bmjophth-2024-002024","RegionNum":0,"RegionCategory":null,"ArticlePicture":[],"TitleCN":null,"AbstractTextCN":null,"PMCID":null,"EPubDate":"","PubModel":"","JCR":"Q2","JCRName":"OPHTHALMOLOGY","Score":null,"Total":0}
引用次数: 0

摘要

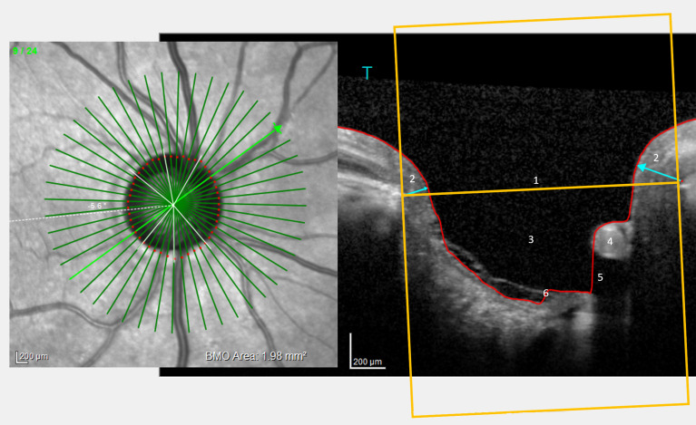
目的:从视神经头的血红蛋白(Hb)分布判断视神经头的形态。方法与分析:采用Topcon NW400眼底相机,应用Spectralis-OCT和Laguna ONhE对189只正常眼和292只确诊和疑似青光眼的视盘进行分析。地形Hb值与Bruch膜OCT组织厚度相关。分析了拉古纳视网膜神经圈体积(RV)、杯体积(CV)及其与珠蛋白分布函数(GDF)指数的关系。结果应用于在青光眼筛查中获得的1 163 241张视神经图像。分割的差异和没有局部营养功能的血管的存在是比较的主要局限性。结果:GDF阳性时,局部Hb密度与Bruch膜组织厚度的相关性R=0.953 (p3 (SD=0.187)), GDF阴性时通常小于0.210 mm3。筛选系列的RV值分布与前瞻性系列一致,大神经的RV值更高。结论:视神经组织的体积和形态与其灌注密切相关,并可由此推断。RV和GDF之间呈曲线关系,提示灌注测量可在早期阶段提前诊断。
本文章由计算机程序翻译,如有差异,请以英文原文为准。

Estimation of normal and glaucomatous optic nerve morphology from perfusion.

Estimation of normal and glaucomatous optic nerve morphology from perfusion.

Estimation of normal and glaucomatous optic nerve morphology from perfusion.

Estimation of normal and glaucomatous optic nerve morphology from perfusion.

Objective: To estimate the optic nerve head morphology from its haemoglobin (Hb) distribution.

Methods and analysis: The optic disc of 189 normal eyes and 292 with confirmed and suspected glaucoma were analysed with Spectralis-OCT and the Laguna ONhE application using the Topcon NW400 fundus camera. Topographic Hb values were correlated with OCT tissue thicknesses from Bruch's membrane. The neuroretinal rim volume (RV), the cup volume (CV) and their relation to the globin distribution function (GDF) index of Laguna ONhE were analysed. The results were applied to 1 163 241 optic nerve images obtained in a glaucoma screening setting. Differences in segmentation and the presence of vessels without local nutritional function are the main limitations of the comparison.

Results: The correlation between local Hb density and the tissue thicknesses from Bruch's membrane was R=0.953 (p<0.0001). RV could be estimated from pixel-to-pixel Hb values with an R=0.650 (p<0.0001) and from six Laguna ONhE indices with an R=0.786 (p<0.0001). CV could be estimated with an R=0.762 (p<0.0001). RV had a mean value of 0.396 mm3 (SD=0.187) for positive GDF values and usually below 0.210 mm3 for negative GDF. The distribution of RV values in the screening series was congruent with that found in the prospective series, with a higher value in large nerves.

Conclusions: The volume and shape of the optic nerve tissue are closely related to its perfusion and can be deduced from it. The relationship between the RV and GDF is curvilinear and suggests that perfusion measurement may bring the diagnosis forward in earlier stages.

求助全文
通过发布文献求助,成功后即可免费获取论文全文。 去求助
来源期刊
BMJ Open Ophthalmology
BMJ Open Ophthalmology OPHTHALMOLOGY-
CiteScore
3.40
自引率
4.20%
发文量
104
审稿时长
20 weeks
×
引用
GB/T 7714-2015
复制
MLA
复制
APA
复制
导出至
BibTeX EndNote RefMan NoteFirst NoteExpress
×
提示
您的信息不完整,为了账户安全,请先补充。
现在去补充
×
提示
您因"违规操作"
具体请查看互助需知
我知道了
×
提示
确定
请完成安全验证×
copy
已复制链接
快去分享给好友吧!
我知道了
右上角分享
点击右上角分享
0
联系我们:info@booksci.cn Book学术提供免费学术资源搜索服务,方便国内外学者检索中英文文献。致力于提供最便捷和优质的服务体验。 Copyright © 2023 布克学术 All rights reserved.
京ICP备2023020795号-1
ghs 京公网安备 11010802042870号
Book学术文献互助
Book学术文献互助群
群 号:604180095
Book学术官方微信